1/8
Looks like no tags are added yet.
Name | Mastery | Learn | Test | Matching | Spaced | Call with Kai |
|---|
No analytics yet
Send a link to your students to track their progress
purple - trachea
pink - bronchi
blue - bronchioles
orange - respiratory bronchioles
yellow - terminal bronchioles
green - pulmonary capillaries
red - alveoli

Tracheal Mucosa
purple - cilia
pink - goblet cells
red - multiple nuclei layers
blue - lamina propria w/glands and vessels

trachea
red - trachealis
green - CT (LP and submucosa)
pink - adventitia
purple - cartilage ring

Tracheal Mucosa/ Submucosa
yellow - cilia
purple - respiratory epithelium
pink - lamina propria
blue - submucosa

Lung
purple (upper) - bronchus
purple (lower) - cartilage plate
blue - smaller airways
red - blood vessels
purples are different things

bronchioles
blue - respiratory epi
purple - smooth muscle

Lung
yellow - blood vessel
blue - bronchioles

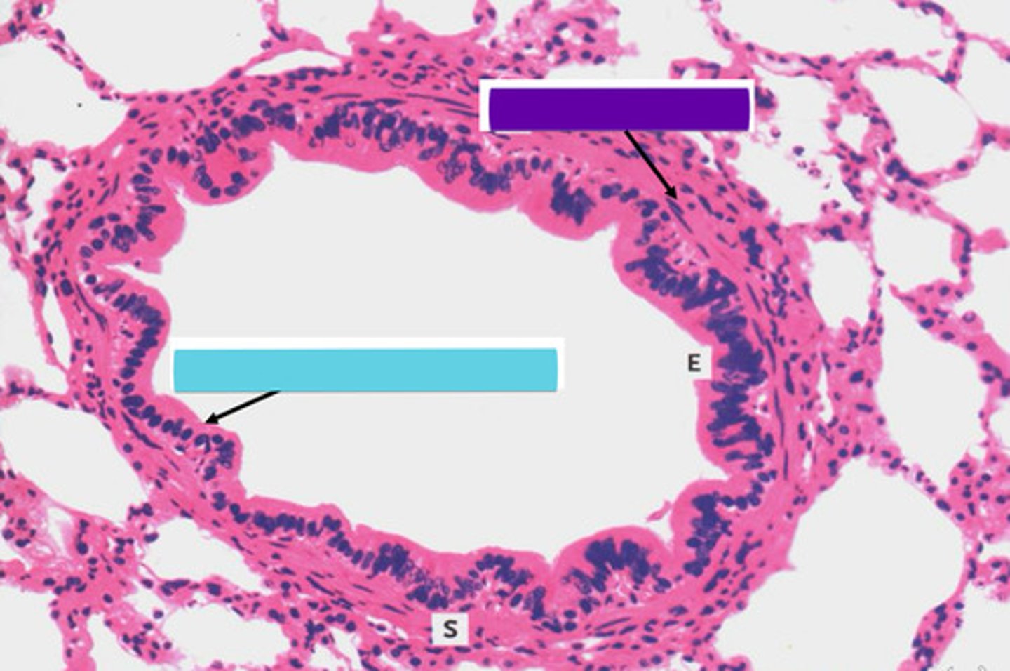
Lung - Bronchiole/Terminal Bronchiole
pink - ciliated cells
blue - clara cells
orange - smooth muscle

Lung
blue - vessel
purple - bronchiole
pink - terminal bronchiole
green - resp. bronchioles
