1/11
Looks like no tags are added yet.
Name | Mastery | Learn | Test | Matching | Spaced | Call with Kai |
|---|
No analytics yet
Send a link to your students to track their progress

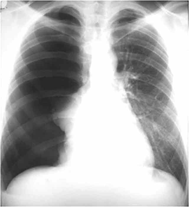
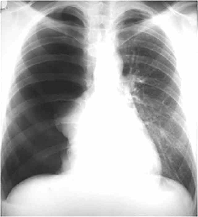
What is the name of the pathology as seen in this image?
Pneumothorax

What could the collapsed portion of lung tissue adjacent to the right side of the mediastinum also be known as?
Atelectasis
In Sinusitis, what is the patient position for radiography?
erect

What is the pathology which is seen in this image?
Bronchiectasis

What is the classification of this pathology?
inflammatory and degenerative

The pathology in this image is seen radiographically as
Diluted and fluid filled bronchioles

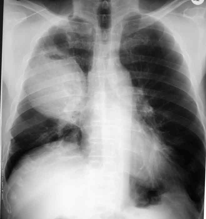
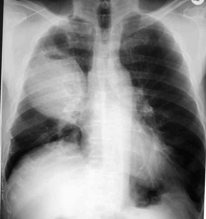
What is the pathology shown in this image?
bronchogenic carcinoma

What is the classification of this pathology?
neoplastic and malignant
Match the chest pathology and their radiographic sign or appearance.
Tuberculosis - Ghon tubercle
Pulmonary embolism - Hamptons hump
Atelectasis - Silhouette sign
Hyaline Membrane disease - Air bronchogram
Epiglottitis - Thumb sign
Bronchiectasis - Honeycomb sign
Empyema - Split sign
Croup - Steeple sign
When an area of the lung is deprived of its blood supply, what is the resultant condition called?
Pulmonary infarction
A patient recovering from hip surgery experiences acute right-sided chest pain with dyspnea. What may be suspected?
Pulmonary embolus
Which sinuses are most often occluded in a patient suffering from sinusitis?
Maxillary