1/17
Looks like no tags are added yet.
Name | Mastery | Learn | Test | Matching | Spaced | Call with Kai |
|---|
No analytics yet
Send a link to your students to track their progress
Types of restorations
1. Metallic - radiopaque
- > Eg. amalgam, gold, metal crowns
2. Nonmetallic - varying shades of radiolucency
- > Eg. composites, bases, veneers
Amalgam restorations
Completely opaque
- One surface amalgam - B,L,O, I
- Multisurface - MO, MOD, ML, OL
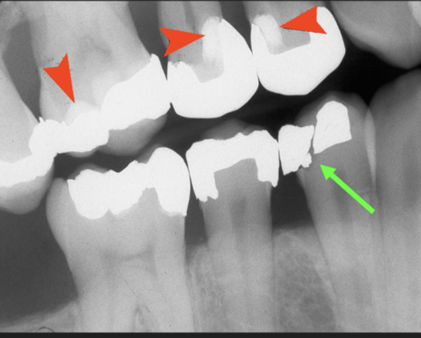
- Overhangs
- Amalgam fragments

Amalgam examples
- Overhang and amalgam fragments

Gold restorations
Radiopaque
- Gold crowns and bridges
- Gold inlays and onlays
- Gold foil restorations - usually occlusals or cervical

Gold crowns, amalgams example

Gold restorations examples
- Gold crowns and amalgam restorations and onlay

Stainless steel crowns
- Prefabricated metal crowns usually seen in children
- Radiopaque but not as dense as an amalgam or gold
- > Sometimes may be able to see thru to tooth

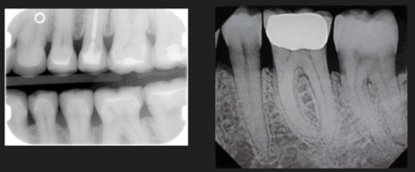
Post and core
- Metallic post and core that is cast at the lab
- Then seated in the root canal system and coronally to support tooth structure

Porcelain restorations
- Varying shades of radiopacity
- > Halo
- Many have a metal substructure
- Some crowns can be all porcelain

Porcelain crowns
- Porcelain-Fused-to-metal (PFM)

Restorative material - Fixed partial dentures/bridge
- Pontic = Missing tooth
- Abutment = Crowned supporting teeth

Comosites
- Varying shades of radiolucency depending on material
- Can sometimes mimic decay
- > Older

Composites examples

Dental materials
- Bases - underneath fillings, or as a temporary filling material-protect pulp
- > Varying shades of radiodensity

Radiopaque materials
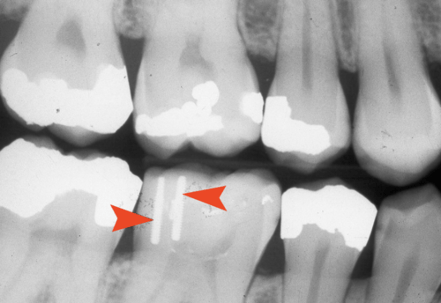
- Metallic pins: for severely broken down teeth used for retention of filling
- > Radiopaque
- Gutta percha: RC filling material
- > Very radiopaque
- Silver points: RC filling material rarely used anymore
Retention pins

Crown, amalgam, crown, cast post, gutta percha, and silver points location

Other
- Orthodontic bands and arch wires
- Oral surgery implants
- Jewelry
- Eyeglasses
- Dentures, or RPD
