DMS 101 cross sectional: unit 2

0.0(0)
studied byStudied by 0 people
0.0(0)
full-widthCall with Kai
GameKnowt Play
New
learnLearn
examPractice Test
spaced repetitionSpaced Repetition
heart puzzleMatch
flashcardsFlashcards
Card Sorting

1/146

encourage image

There's no tags or description

Looks like no tags are added yet.

Study Analytics
Name
Mastery
Learn
Test
Matching
Spaced

No study sessions yet.

147 Terms

1
New cards
<p>In this sagittal view, what is the structure in this image?</p>

In this sagittal view, what is the structure in this image?

Celiac Trunk

2
New cards
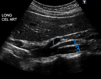
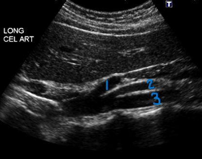
<p>What is #1?</p>

What is #1?

Tunica Adventitia

3
New cards
<p>What is #2?</p>

What is #2?

Tunica Media

4
New cards
<p>What is #3?</p>

What is #3?

Tunica Intima

5
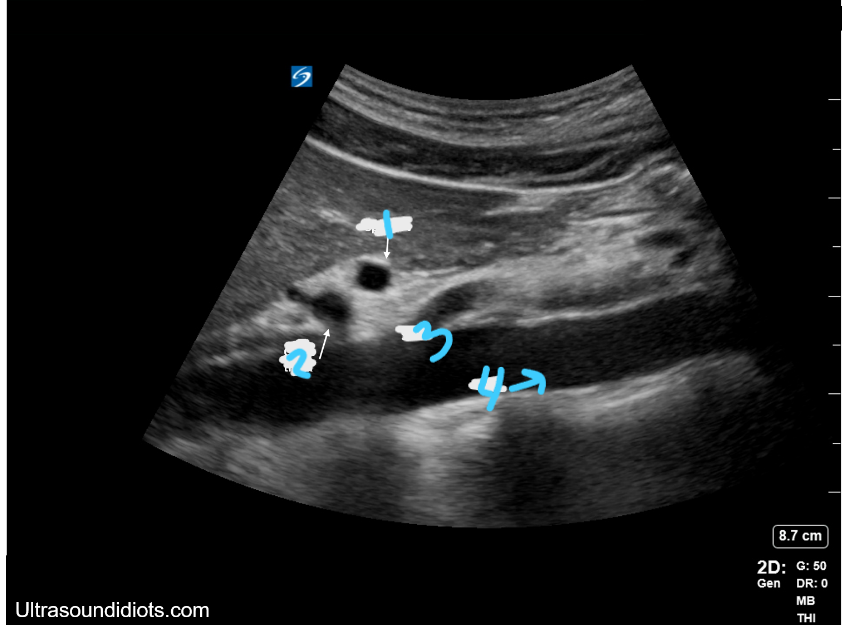
New cards
<p>In this sagittal view, what is #1?</p>

In this sagittal view, what is #1?

Splenic Vein

6
New cards
<p>In this sagittal view, what is #2?</p>

In this sagittal view, what is #2?

Celiac Trunk

7
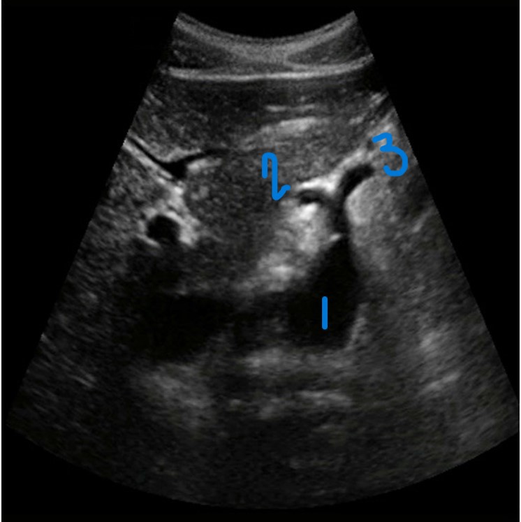
New cards
<p>In this sagittal view, what is #3?</p>

In this sagittal view, what is #3?

SMA

8
New cards
<p>In this sagittal view, what is #4?</p>

In this sagittal view, what is #4?

Aorta

9
New cards
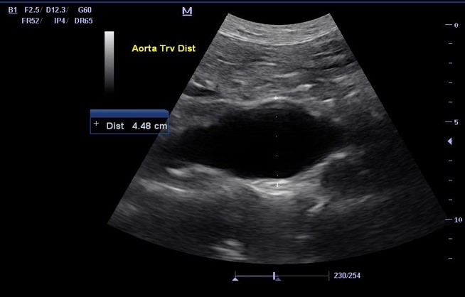
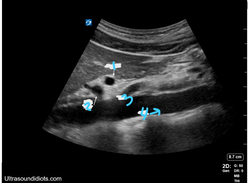
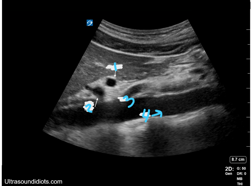
<p>In this transverse view, what is #1?</p>

In this transverse view, what is #1?

Aorta

10
New cards
<p>In this transverse view, what is #2?</p>

In this transverse view, what is #2?

Common Hepatic Artery

11
New cards
<p>In this transverse view, what is #3?</p>

In this transverse view, what is #3?

Left Splenic Artery

12
New cards
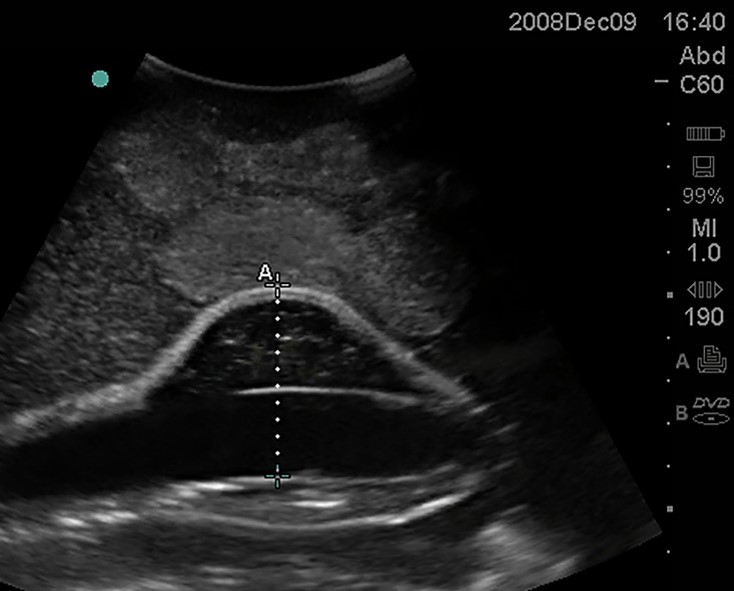
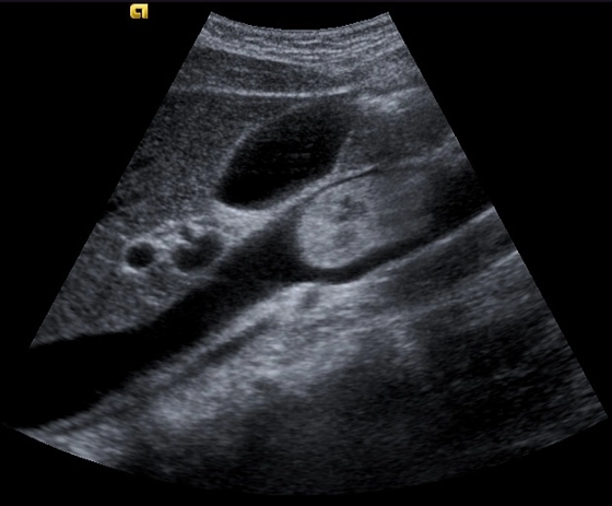
<p>In this sagittal plane, what is this structure?</p>

In this sagittal plane, what is this structure?

Aorta

13
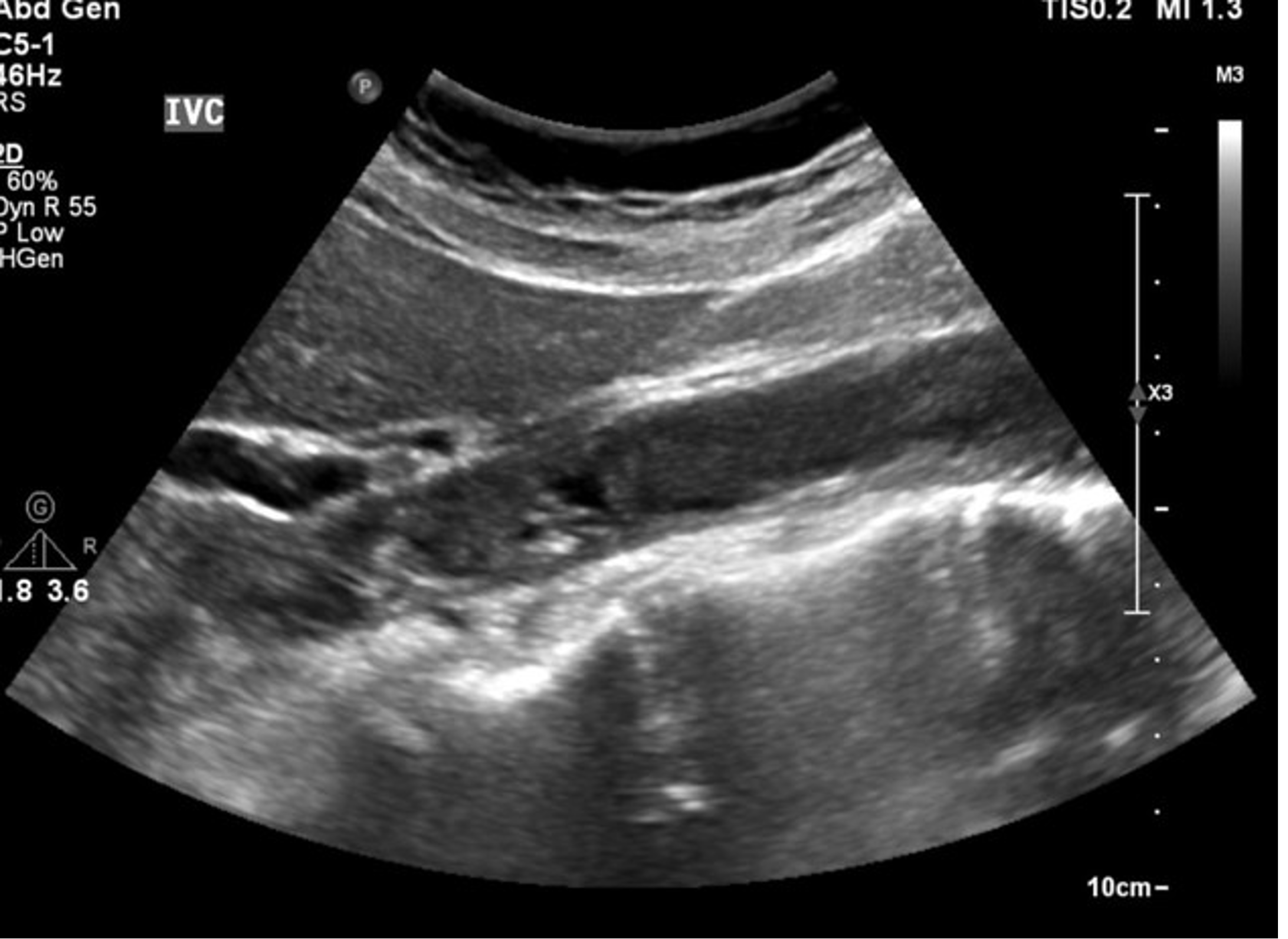
New cards
<p>In this sagittal plane, what is this structure?</p>

In this sagittal plane, what is this structure?

IVC

14
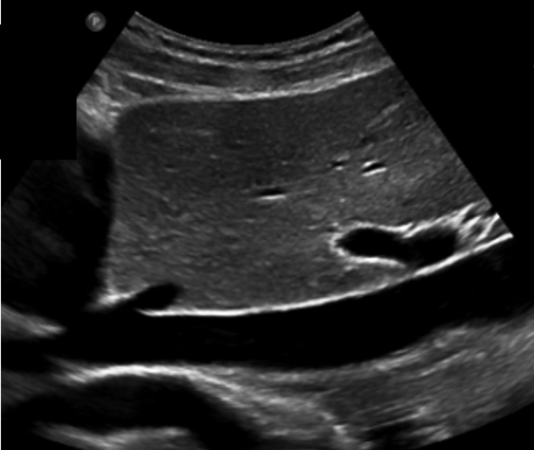
New cards
<p>What is this structure?</p>

What is this structure?

IVC

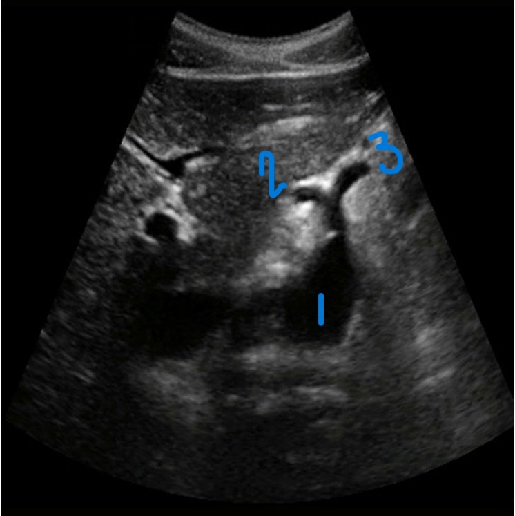
15
New cards
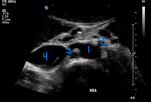
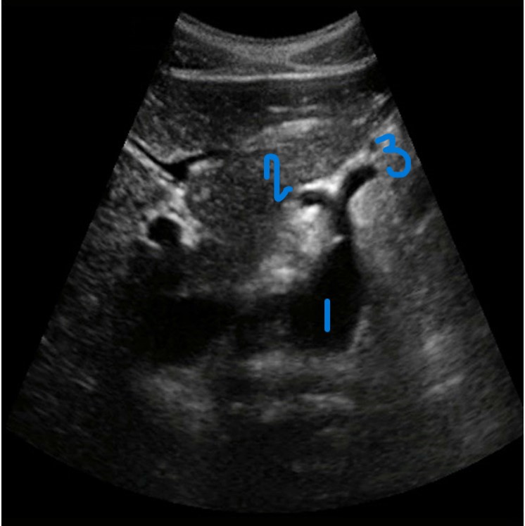
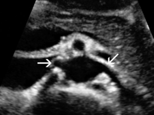
<p>In this Sagittal-Coronal plane, what is #1?</p>

In this Sagittal-Coronal plane, what is #1?

Right Renal Artery

16
New cards
<p>In this Sagittal-Coronal plane, what is #2?</p>

In this Sagittal-Coronal plane, what is #2?

Left Renal Artery

17
New cards
<p>In this Sagittal-Coronal plane, what is #3?</p>

In this Sagittal-Coronal plane, what is #3?

Aorta

18
New cards
<p>What is this structure ?</p>

What is this structure ?

Abnormal Aorta

19
New cards
<p>What is starting to from in this Aorta?</p>

What is starting to from in this Aorta?

A blood clot

20
New cards
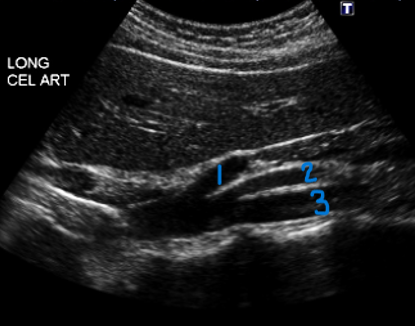
<p>In this Sagittal view, what is #1?</p>

In this Sagittal view, what is #1?

Celiac Trunk

21
New cards
<p>In this Sagittal view, what is #2?</p>

In this Sagittal view, what is #2?

SMA

22
New cards
<p>In this Sagittal view, what is #3?</p>

In this Sagittal view, what is #3?

Aorta

23
New cards
<p>What is this structure in this the picture?</p>

What is this structure in this the picture?

Celiac Trunk

24
New cards
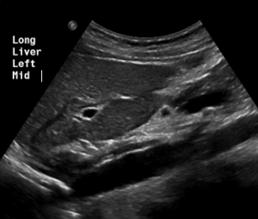
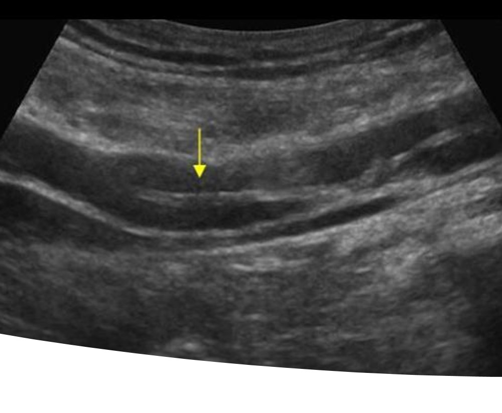
<p>What is this structure?</p>

What is this structure?

Aorta with the SMA coming off the top

25
New cards
<p>What number is known as the RRA</p>

What number is known as the RRA

#3

26
New cards
<p>What is this structure?</p>

What is this structure?

The right and left renal arteries

27
New cards
<p>What is the structure in this picture?</p>

What is the structure in this picture?

The iliac arteries

28
New cards
<p>What is this image showing?</p>

What is this image showing?

Tumor Invasion of the IVC

29
New cards
<p>What is this image showing ?</p>

What is this image showing ?

Thrombus in the IVC

30
New cards
<p>In this sagittal plane, what is #1?</p>

In this sagittal plane, what is #1?

RHV

31
New cards
<p>In this sagittal plane, what is #2?</p>

In this sagittal plane, what is #2?

MHV

32
New cards
<p>In this sagittal plane, what is #3?</p>

In this sagittal plane, what is #3?

LHV

33
New cards
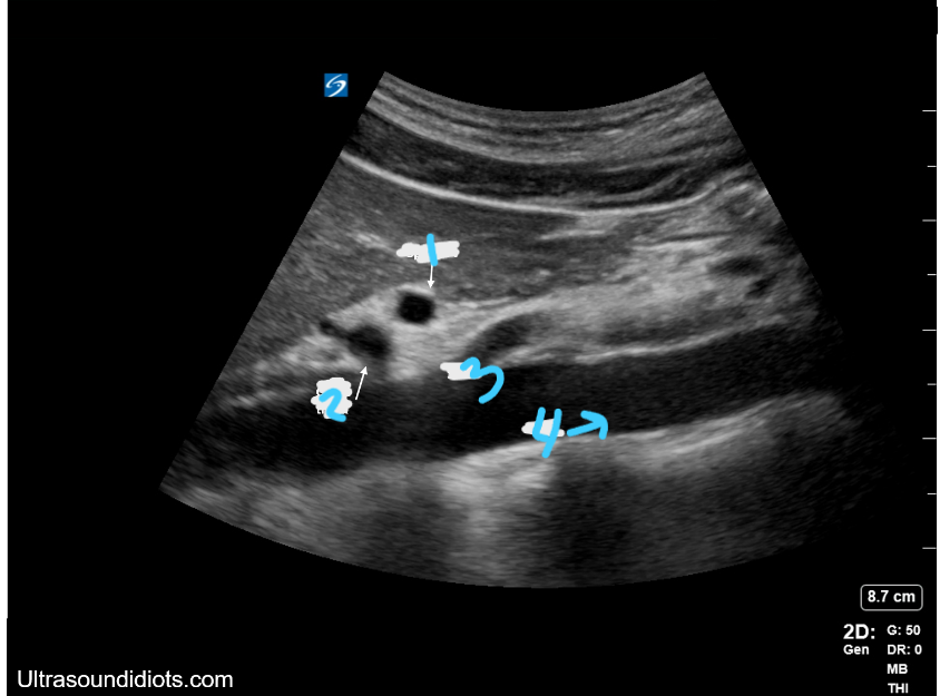
<p>In this transverse view, what is #1?</p>

In this transverse view, what is #1?

Portal Vein

34
New cards
<p>In this transverse view, what is #2?</p>

In this transverse view, what is #2?

IVC

35
New cards
<p>In this transverse view, what is #3?</p>

In this transverse view, what is #3?

Aorta

36
New cards
<p>In this transverse view, what is #4?</p>

In this transverse view, what is #4?

Left Renal Vein

37
New cards
<p>In this transverse view, what is #5?</p>

In this transverse view, what is #5?

SMA

38
New cards
<p>In this transverse view, what is #6?</p>

In this transverse view, what is #6?

Splenic vein

39
New cards

What part of the Aorta does DM sonographers scan?

Abdominal Aorta

40
New cards

What blood does the aorta work with?

Oxygen rich blood

41
New cards

Where does the aorta take blood?

To the whole body

42
New cards

Aorta’s have…

Strong, muscular walls that can handle high pressure

43
New cards

What can aorta’s have within them?

Atherosclerosis (narrowing of arteries), aneurysm, or blood clot

44
New cards

Arteries DO NOT…

Compress with pressure

45
New cards

Why do arteries not have valves?

The force of blood coming from the heart ensures flow only travels in one direction

46
New cards

What is the arterial structure?

Tunica adventitia (connective tissue), Tunica media (smooth muscle layer and elastic tissue), and Tunica intima (endothelium)

47
New cards

What layer of the arterial/venous structure is the thickest in arteries?

Tunica media

48
New cards

Which layer is thicker for veins?

Tunica adventitia

49
New cards

What is the aorta also known as?

The greater vessel

50
New cards

What is the function of the aorta?

Delivers oxygenated blood to the body from the left ventricle of the heart

51
New cards

Where is the abdominal aorta located?

Through the diaphragm at the Aortic Hiatus, posterior to the left lobe of the liver

52
New cards

What is designated as the Abdominal Aorta?

Diaphragm to bifurcation into iliac arteries

53
New cards

What is a retroperitoneal structure?

Anatomical elements that lie behind the peritoneum

54
New cards

What kind of structure is the aorta?

Retroperitoneal structure

55
New cards

What is the normal diameter of the proximal aorta?

2.0cm

56
New cards

What is the normal diameter of the mid aorta?

1.5cm

57
New cards

What is the normal diameter of the distal aorta?

.8-1.0cm

58
New cards

What is the diameter for aneurysmal in the aorta?

>3cm

59
New cards

What is the course of the aorta?

Superior to inferior

60
New cards

The aorta lies …

Slightly to the left of the patient’s midline

61
New cards

The IVC lies …

Slightly to the right of the patient’s midline

62
New cards

What does stagnant mean?

Not being pushed, no movement

63
New cards

What are the primary abdominal aortic branches?

Celiac Trunk, SMA, Renal Arteries, Gonadal Arteries, IMA, Common Iliac Arteries

64
New cards

Where does the Celiac Trunk arise from?

Anterior aorta, just distal to the diaphragm

65
New cards

Where does the Celiac Trunk supply blood too?

Abdominal Esophagus, Stomach, Liver, Gallbladder, Spleen, Part of duodenum and pancreas

66
New cards

What is the normal diameter of the Celiac Trunk?

Less than (<) one centimeter

67
New cards

What are the other names of the Celiac Trunk?

Artery, or Axis

68
New cards

What does the Celiac Trunk branch into?

Common Hepatic Artery, Left Gastric Artery, and Splenic Artery

69
New cards

Where does the Splenic Artery course?

Toward the patients left, posterosuperior margin of pancreatic body & tail

70
New cards

Where does the Splenic Artery terminate?

The splenic hilum by dividing into numerous branches

71
New cards

When looking at the Celiac Trunk, which plane is best to see the orgin?

Transverse

72
New cards

Where does the Common Hepatic Artery course?

Toward the patients right, superior border of pancreatic head

73
New cards

The Common Hepatic Artery branches into?

Gastroduodenal and Proper Hepatic Artery

74
New cards

Where does the Gastroduodenal Artery course?

Anterosuperior border of the pancreatic head

75
New cards

The Gastroduodenal Artery branches into?

Pancreaticoduodenal Artery

76
New cards

What does the Pancreaticoduodenal Artery do?

Allows communication between Celiac Axis & SMA

77
New cards

The Common Hepatic Artery is also split into the?

Porta Hepatis, RHA & LHA (follows the Portal Vein)

78
New cards

In the longitudinal view, what is visualized of the Celiac Trunk?

Only the orgin

79
New cards

In the transverse view, what is visualized of the Celiac Trunk?

T-shaped bifurcation of CHA & CA (“Sea-gull”) appearance

80
New cards

Where are the Adrenal (Suprarenal) Arteries located?

Direct from the Aorta, indirectly from branches of phrenic arteries, and sit superior / anterior to the Renal Arteries

81
New cards

Where does the Superior Mesenteric Artery arise from?

Anterior of the Aorta, 1cm distal (inferior) to the Celiac Trunk

82
New cards

What does the SMA supply blood to?

Distal Duodenum, small bowel, colon - right side, portions of pancreatic head

83
New cards

In the longitudinal view, what is visualized of the SMA?

Run parallel to Aorta, and may course slightly to the right

84
New cards

In the transverse view, what is visualized of the SMA?

Dense echogenic ring of connective tissue / fat

85
New cards

What is the origin of the Renal Arteries?

From the Aorta just distal to the SMA

86
New cards

What is important about the RRA?

Longer than LRA & courses behind the IVC

87
New cards

What is important about the LRA?

Lies posterior to SMA & anterior to the Aorta

88
New cards

The Renal Arteries…?

Divide into multiple branches as they enter the renal hilum

89
New cards

What do the Renal Arteries supply blood to?

Kidneys, adrenals, & ureters

90
New cards

Where do the Ovarian / Testicular (Gonadal) Arteries arise?

Anterolateral off Aorta caudad to Renal Arteries, and course inferiorly

91
New cards

Which arteries are not routinely identified with sonography?

Gonadal Arteries, Adrenal (Suprarenal) Arteries, and IMA

92
New cards

Where does the Inferior Mesenteric Artery arise?

ANTERIOR Aorta, DISTAL to renal arteries near umbilicus and course anteroinferior

93
New cards

What does the IMA supply blood to?

Colon and rectum

94
New cards

Where is the Iliac Arteries located?

Near the umbilicus the Aorta tapers and then bifurcates into Right and Left Common Iliac Arteries

95
New cards

Common Iliac Arteries divide into?

Internal & external branches

96
New cards

What does the Internal Iliac Branch supply blood to?

Pelvic organs

97
New cards

What does the External Iliac branch supply blood to?

Lower extremities

98
New cards

What blood does the IVC work with?

Oxygen poor blood

99
New cards

Where does the IVC take blood to?

Back to the heart

100
New cards

Veins carry …

The same volume of blood as arteries, but at a lower pressure

Explore top flashcards

Unit 11: Evolution
Updated 861d ago
flashcards Flashcards (95)
Biology Test 2
Updated 712d ago
flashcards Flashcards (24)
Unit 6 MWH
Updated 994d ago
flashcards Flashcards (28)
CRIM EXAM 2
Updated 733d ago
flashcards Flashcards (113)
Unit 11: Evolution
Updated 861d ago
flashcards Flashcards (95)
Biology Test 2
Updated 712d ago
flashcards Flashcards (24)
Unit 6 MWH
Updated 994d ago
flashcards Flashcards (28)
CRIM EXAM 2
Updated 733d ago
flashcards Flashcards (113)