1/199
Looks like no tags are added yet.
Name | Mastery | Learn | Test | Matching | Spaced | Call with Kai |
|---|
No analytics yet
Send a link to your students to track their progress
When performing MRI to rule out brain tumors, the weighted images acquired to evaluate the extent of lesion involvement, after injection of gadolinium, are:
T1
DCE MRA sequences of the mesenteric arteries are performed using:
incoherent GRE
How is the MR signal produced ?
Signal produced when in phase transverse magnetization cuts across a receive coil
The gradients in the MRI system -
alter the main magnetic field
On a T2 weighted image, edema appears bright because it has a _________ relaxation time.
long T2
A gradient echo sequence in which all the remaining residual transverse magnetization is removed prior to the next excitation pulse is known as:
incoherent or spoiled
Vertigo, Headaches, nausea, metal taste, are examples of ?
Short term effects of exposure to MR imaging

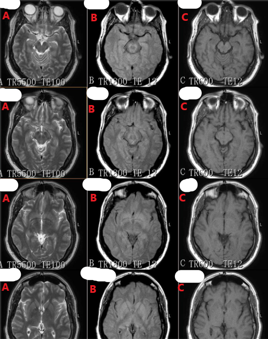
Which row of these images is T2 weighted with fat signal suppressed ?
D
All of the following would aid in reducing scan time EXCEPT:
TE
What is effective TE?
The calculated TE value
The gradient slew rate is:
how quickly the gradient magnetic field can be applied at a given amplitude and over a given distance measured in meters.

What type of pulse sequence is this ?
CSE
If the third ventricle is dilated, but the fourth ventricle is not, there would then be pathology associated with:
aqueduct of Sylvius
When imaging a geriatric patient, while performing a PCA MRA sequence, what imaging parameter might the operator adjust?
VENC
If a 192 phase resolution is required, the TR must then be repeated _______ times (for 1 NEX).
192
What is required if the MRI table is not detachable ?
there must be an MRI safe gurney readily available

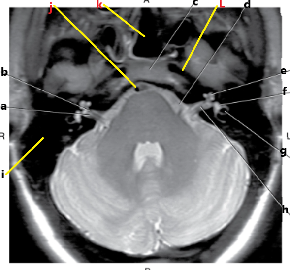
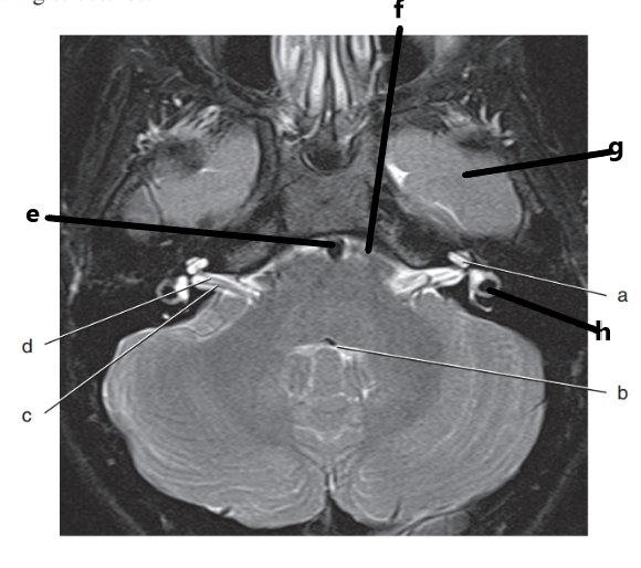
What is h ?
vestibulocochlear nerve

What is g ?
spinal cord
What is the FDA recommended amount of SAR for the head averaged over 10 minutes ?
2 w/Kg
When imaging the spine, to rule out metastatic lesions of the spinal cord, contrast enhancement is used with T1 weighted images because:
metastatic lesions (in the cord) enhance and normal cord does not
Using the SAR method, What is tissue heating measured in ?
w/kg
What is a type of fomite found in an MRI environment?
all of the above

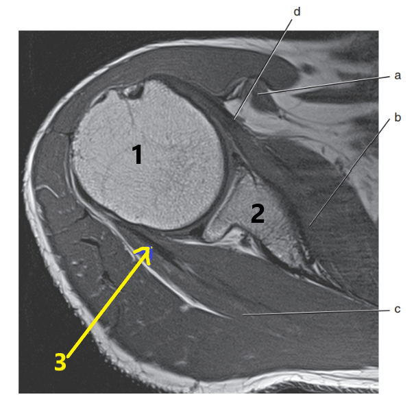
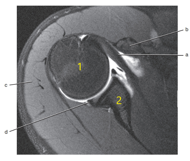
What is 1 ?
humeral head
Collecting the low frequency (high amplitude signal) data points in k-space at the start of the scan (in a spiral fashion) is known as:
elliptic centric
What unit is B1+RMS measured in ?
micro Tesla
In a Fast Spin Echo (FSE) sequence acquired with a long TE, yielding T2 weighted images, scan time can be reduced by:
increase ETL
A STIR sequence with a TI time of 150 ms will null signal from fat at what field strength?
1.5T
The precessional frequency difference between fat and water at 1.5T is -
220 Hz
The __________________ runs the length of the falx cerebri.
superior sagittal sinus
The extent to which a material or tissue becomes magnetized in an external magnetic field is called:
magnetic susceptibility
When imaging a hemorrhagic infarct in the brain, which pulse sequence would demonstrate the magnetic susceptibility effects better?
C and/or D

What is D ?
supraspinatus tendon
Which of the following best describes a FSE sequence?
a train of 180° rephasing pulses are used

What letter is the intervertebral disc at L2-3 ?
C

What is c ?
anterior cruciate ligament
In a medical malpractice lawsuit, the ______ must be able to prove medical malpractice.
plaintiff
The pixel size of the images which result from a 3D acquisition using a 260mm FOV, a 320 x 320 matrix, 32 locations (views) and a volume of 64 mm is:
0.81 x 0.81 mm

What is 4 ?
C1/C2
What weighted image would be created with the following parameters: TR 200 TE 20 FA 15
T2*
The unit of measurement of the magnetic field surrounding the periphery of the MR scanner is expressed as:
gauss

c and d are inside what structure ?
internal auditory canal
When a gradient echo sequence is selected for fast, breath hold dynamic contrast enhanced imaging of the abdomen, _____________ is utilized.
spoiling
What combination of TR and TE on a FSE would create a T2 contrast image ?
TR 5000, TE 100
What determines the amount of ferromagnetic reaction?
all of the above
Gradient echo sequences resulting in high signal from fluid are known as
T2*

What is d ?
glenoid labrum
Chemical or spectral fat suppression techniques suppress fat signal based on the:
Precessional frequency of fat
Reducing the flip angle in a GRE 2 will yield images with what change in image contrast?
decreased T1 weighting
What combination of TR and TE on a CSE would create a T1 contrast image ?
TR 500, TE 10
What is the percentage of patients reported to have allergic reactions to gadolinium contrast agents?
<1%
T2 weighted images are characterized by:
Dark fat and bright water
What is SAR ?
a measurement of RF absorption

Which letter is the superior sagittal sinus ?
a

What is letter D ?
nucleus pulposis
With regard to energy, protons in parallel alignment are in the _________ state, whereas protons in anti-parallel alignment are in the __________ state.
A and B
The process that digitizes the MR signals is known as:
Fourier transform
FSE uses _________, to fill multiple lines of ___________ per TR.
ETL, k-space
Reducing the TE in a CSE yields images with what change in image contrast?
A and B
Phase contrast MRA techniques produce images in which the signal intensity within the vessel is dependent upon the:
flow velocity
In what orientation would a tear of the collateral ligaments of the knee be best visualized?
coronal
The readout gradient is usually turned on during the sampling or readout of the peak echo and also during which other process?
frequency encoding
As the number of phase encodings is increased from 256 to 512, SNR (signal to noise ratio):
decreases

What is letter h ?
cerebral aqueduct
In order to acquire an intracranial arterial blood flow sequence, a presaturation pulse would be applied in which location?
superior to the slice group
A magnetic vector possesses attributes of both __________ and _____________.
magnitude and direction

Which row of these images are T2 weighted ?
A
Which of the following sequences is the most insensitive to magnetic field inhomogeneity?
FSE
Healthcare workers generally practice ___________, which states the "goal is to do no harm."
Beneficence
A remedy for a Gibbs truncation artifact would be:
increase phase matrix

What is c ?
lateral meniscus

What is letter E ?
annulus fibrosis
Choose the correct slice thickness to create an isotropic voxel for the following: TR 2000, TE 90, Matrix 272 x 272, FOV 24cm.
.88mm
Gradient echo sequences differ from spin echo sequences:
A and B
Ferromagnetic material attraction is also known as?
missile effect
Which of the following is not a factor affecting the patients thermoregulatory response ?
Hypotension
As the TR is increased,
I. SNR is increased
II. Available number of slices is increased
III. T2 information is maximized
I,II

What is d ?
posterior cruciate ligament
What controls the amount of T2 dephasing that occurs when the signal is read ?
TE
What is/are the major factor or factors, used to calculate SAR ?
A, B and C
What is "resonance" ?
transfer of energy

What type of pulse sequence is this ?
IR
CSF suppression is performed with which type of technique?
FLAIR
The phase encoding step is performed:
Prior to frequency encoding
The Ernst angle can be defined as the optimal ___________ that yields the ____________ signal for a particular spin in the least amount of time.
flip angle; maximum
What zone should all persons be supervised ?
zone 3 and 4

What is d ?
acromion process
To produce an image based on differences in T1, the time interval between 90° excitation pulses should be:
short
What is a Hahn echo ?
Any two 90° RF pulses produce one
In a fast spin echo sequence with a 25 cm FOV, 224 x 320 matrix, TR 2500, 100 TE, 3mm slice thickness, 12 ETL and 4 NEX, the scan time would be:
3 minutes and 7 seconds
________ sequences use T1 gradient echoes with TR and FA selections to suppress
signal from stationary tissues, visualizing flowing blood by flow-related enhancement, whereas
__________ sequences use T2 gradient echoes with parameter selections that suppress stationary
tissue and rely on velocity-induced phase shifts for vascular signal.
TOF MRA; PC MRA
What is dB/dT ?
gradient amplitude change over time
The structures that comprise the rotator cuff in the shoulder are:
I. Deltoid muscle
II. Subscapularis muscle and tendon
III. Infraspinatus muscle and tendon
IV. Teres minor muscle and tendon
V. Supraspinatus muscle and tendon
VI. Trapezius muscle and tendon
II,III,IV,V
To increase the voxel volume, which parameters would be adjusted?
FOV, slice thickness, matrix

Which row of these images are T1 weighted ?
C
Which parameter combination will yield the best spatial resolution?
3mm slice thickness, 256 x 256 matrix

What is b ?
supraspinatus muscle
The receiver bandwidth (rBW) affects:
I. Signal-to-noise ratio (SNR)
II. Slice thickness
III. Chemical shift
IV. Spatial resolution
I and III only
All of the following yield a higher signal-to-noise ratio EXCEPT:
decrease slice thickness

What is letter G ?
spleen
The MRI system component that produces the magnetization of proton spins (alignment) is known as the:
Bo