1/27
Looks like no tags are added yet.
Name | Mastery | Learn | Test | Matching | Spaced |
|---|
No study sessions yet.
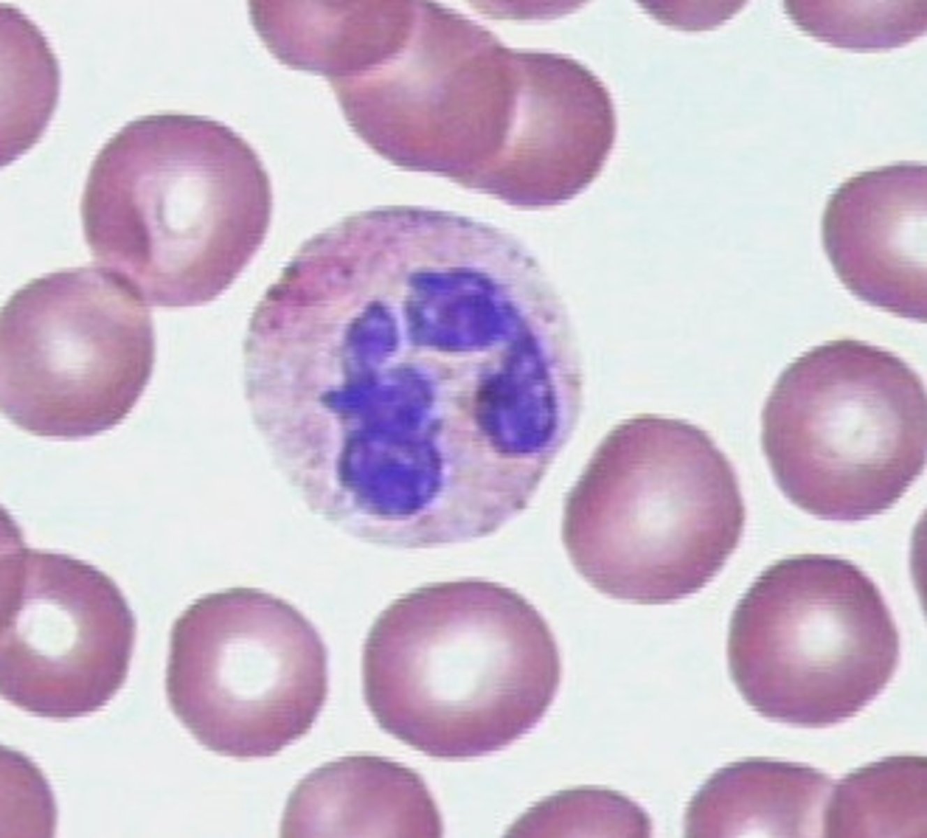
neutrophil

neutrophil

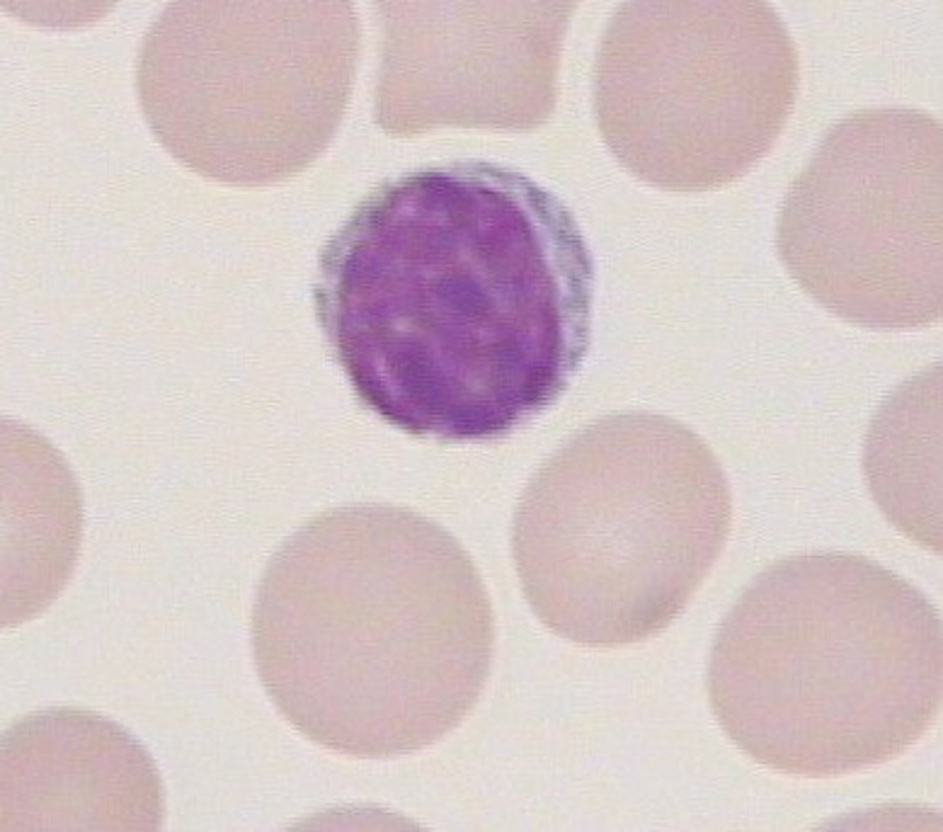
lymphocyte

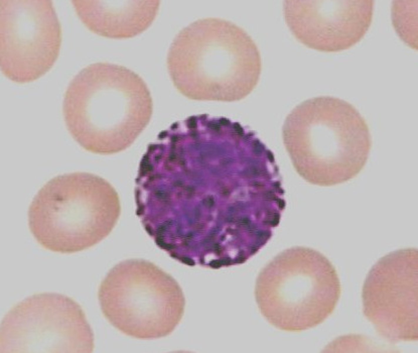
basophil

eosinophil

lymphocyte

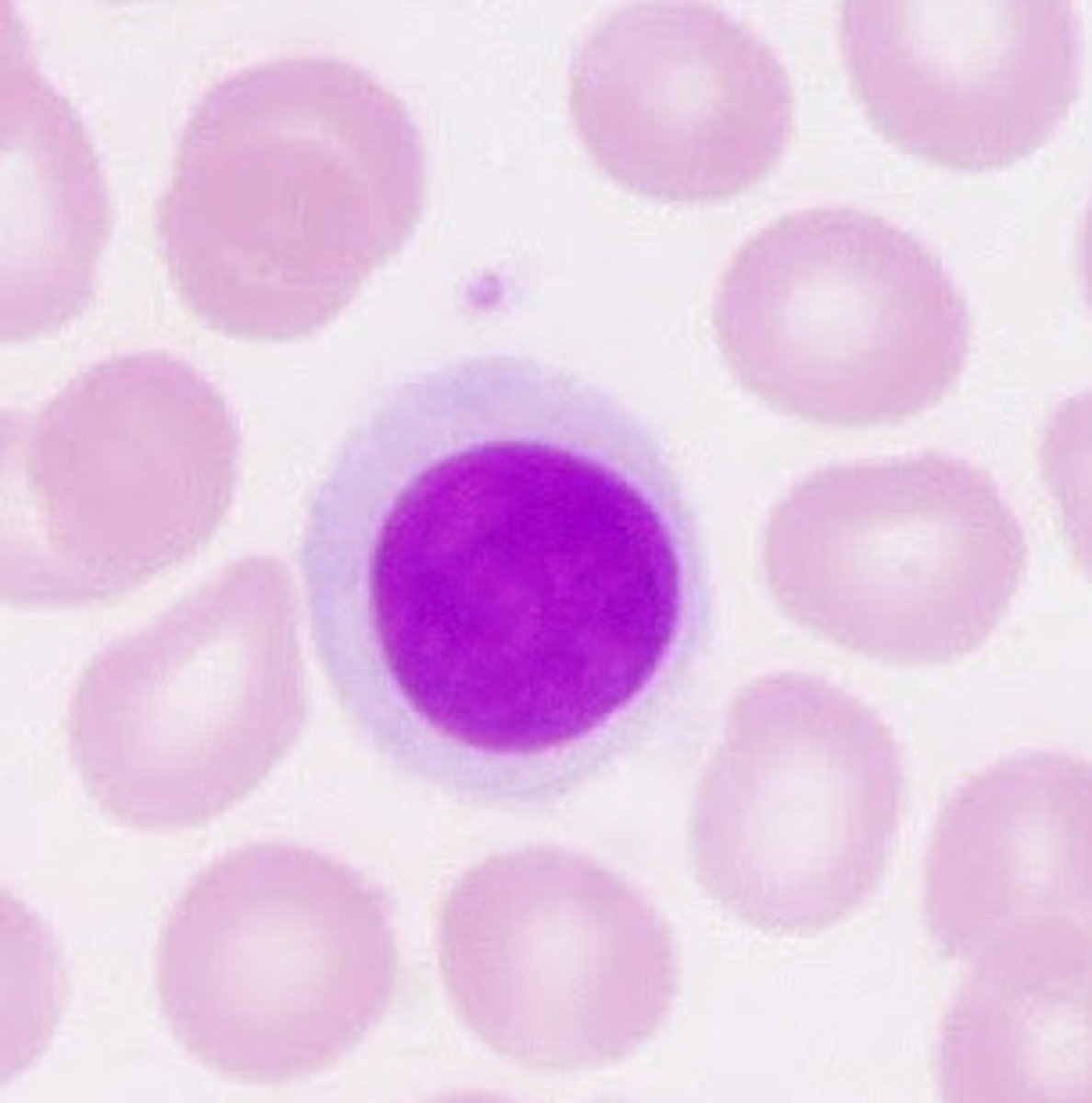
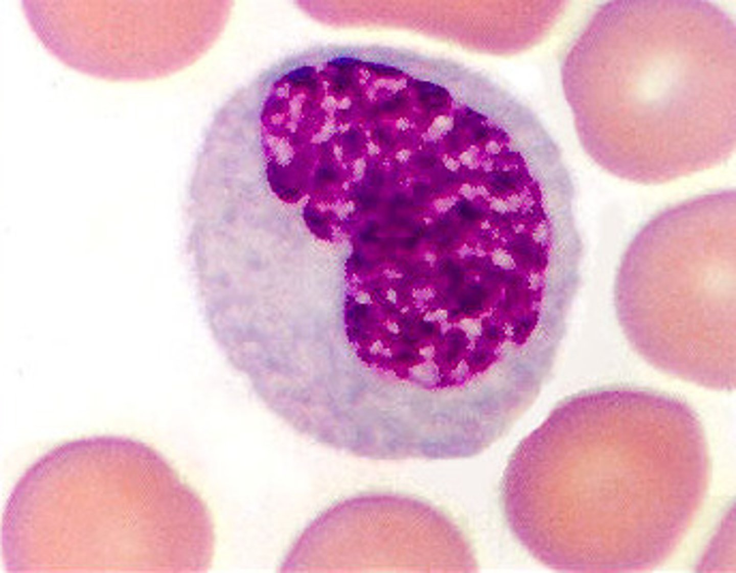
monocyte

eosinophil

basophil

monocyte

Neutrophil function
First ones to infection site and breaks down and kills bacteria, viruses, etc.
Eosinophil function
Uses exocytosis to release toxins onto surface of large parasite.
Basophil function
[Histamine] Increases permeability of capillaries and [Heparin] reduces blood clotting.
Monocyte function
Leave vessel and become macrophages.
Lymphocyte function
Migrates from blood to tissue through lymph and returns to blood.
White blood cells that phagocytize
Neutrophils, Eosinophils, Monocytes
White blood cells that do not phagocytize
Basophils and Lymphocytes
Neutrophils release
Toxins to kill bacteria and chemicals to call white blood cells to site
Eosinophils release
Chemicals that cause allergic reactions
Basophils release
Granules of Histamine and Heparin
Monocytes release
Chemical messengers
Lymphocytes release
Nothing
Leukocytes (WBCs) that are granulocytes/stain dark
Neutrophils, Eosinophils, and Basophils
Leukocytes (WBCs) that are agranulocytes
Monocytes and Lymphocytes
3 general properties of leukocytes
Defend, have nuclei, and is made in lymphatic tissue (such as bone marrow)
Location of most leukocytes
Bone marrow, Thymus, Spleen, mostly in tissues or organs of the Lymphatic System.
General characteristics of WBCs
Move along capillaries by amoeboid movement, detect injured cells, leave the capillary by squeezing through cells-diapedesis, positively chemotactic in the tissue, and finally, can destroy things by phagocytosis.
List WBCs in order of abundance
Neutrophils (54-62%), Lymphocytes (25-33%), Monocytes (2-8%), Eosinophils (3%), and Basophils (<1%)