1/11
Looks like no tags are added yet.
Name | Mastery | Learn | Test | Matching | Spaced | Call with Kai |
|---|
No analytics yet
Send a link to your students to track their progress
What is prostate cancer?
Prostate cancer is a malignant adenocarcinoma arising from the glandular epithelium of the prostate and is characterised by disorganised glandular architecture and invasive growth.
How do you describe high-grade prostate cancer in an exam?
High-grade prostate cancer demonstrates poor differentiation with minimal or absent gland formation, often forming solid sheets of tumour cells, and is associated with a high Gleason score and aggressive clinical behaviour.
How do you identify low-grade prostate cancer?
Low-grade prostate cancer shows well-formed, discrete glandular structures that closely resemble normal tissue, indicating preserved differentiation and correlating with a low Gleason score and favourable prognosis.
How is prostate cancer graded using the Gleason system?
Prostate cancer is graded by identifying the predominant and secondary architectural patterns and summing these to produce a Gleason score that reflects tumour differentiation and aggressiveness.
What are the treatment options for prostate cancer?
Treatment depends on tumour grade and stage, with low-grade disease often managed by active surveillance or surgery, while high-grade disease typically requires radiotherapy, androgen deprivation therapy, and possibly chemotherapy.
What determines survival in prostate cancer?
Survival is primarily determined by the Gleason score, tumour stage, and presence of metastasis, with higher scores correlating with significantly reduced survival outcomes.
What are the clinical signs of prostate cancer?
Prostate cancer commonly presents with lower urinary tract symptoms such as frequency, hesitancy, and weak stream, while advanced disease may present with bone pain due to metastasis.

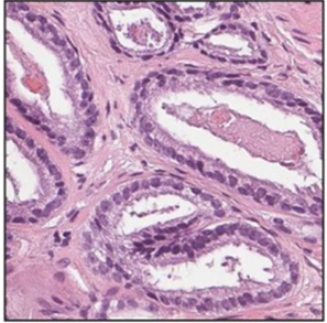
What grade of cancer is this
This image demonstrates well-formed, closely packed glandular structures consistent with a low-grade tumour, corresponding to a Gleason score of 3 + 3 = 6.

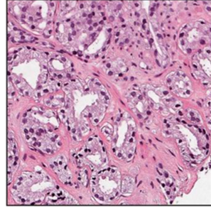
What grade of cancer is this for prostate
This image shows larger and more irregular glands with increased spacing, indicating intermediate differentiation and a Gleason score of 3 + 4 = 7cancer.

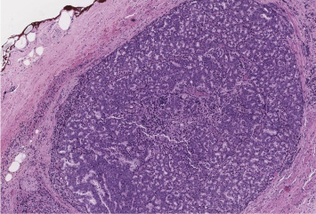
What does the histological image of this prostate cancer grade indicate?
This histological image indicates a high Gleason score and aggressive behavior typical of poorly differentiated prostate carcinoma, usually ranging from 8 to 10, which correlates with increased risk of metastasis and worse clinical outcomes.

What does the histological image of this prostate cancer grade indicate?
This histological image indicates a moderately differentiated carcinoma of the prostate, typically correlating with a Gleason score of 7, suggesting a balance of well-formed glands and some less differentiated areas, which is associated with a moderate risk of progression and metastasis.
How do you assign a Gleason score and convert it into a Grade Group?
You assign a number to each architectural pattern, where pattern 3 represents well-formed glands, pattern 4 represents fused or poorly formed glands, and pattern 5 represents absence of gland formation.
If only one pattern is present, it is doubled to give the Gleason score, for example 3 + 3 = 6.
If two patterns are present, the most predominant pattern is added to the second most common pattern to give the final score.
The Gleason score is then converted into a Grade Group, where a score of 6 corresponds to Grade Group 1, a score of 3 + 4 = 7 corresponds to Grade Group 2, a score of 4 + 3 = 7 corresponds to Grade Group 3, a score of 8 corresponds to Grade Group 4, and scores of 9 to 10 correspond to Grade Group 5.