1/29
Looks like no tags are added yet.
Name | Mastery | Learn | Test | Matching | Spaced | Call with Kai |
|---|
No analytics yet
Send a link to your students to track their progress
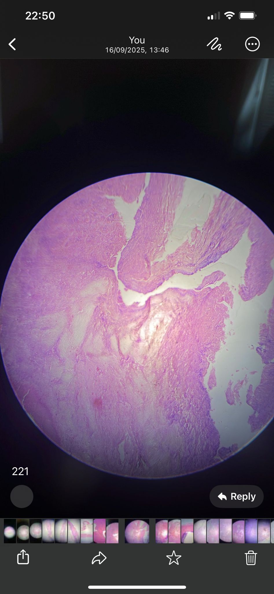
Chronic fibrous pulpitis. (H-E stain

Chronic granulating periodontitis. (H-E stain).

oral lichen planus (h-e stain)

oral phempegus

Oral erythema multiforme. (H-E. stain).

Acute gastric ulcer. (H.E. stain)

.Active chronic gastric ulcer. (H.E. stain)

Gastric tubular adenocarcinoma – intestinal type. (H.E. stain).

Metastasis of gastric carcinoma into lymph node. (H.E. stain).

Acute suppurative appendicitis. (H-E. stain)

Chronic appendicitis. (H-E. stain).

Appendiceal mucinous neoplasm. (H-E. stain)

Mucinous carcinoma of the colon (signet-ring cell). (H-E. stain)

Crohn's disease with oral manifestations. (H-E stain).

Massive necrosis of liver. (H-E. stain).

Acute viral hepatitis. (H-E. stain).

Micronodular cirrhosis of the liver. (pycrofuxin by van Gieson method stain)

Hepatocellular carcinoma on the background of liver cirrhosis. (H-E. stain).

stomach carcinoma

gastric polyp.

.chronic gastric ulcer

esophageal carcinoma

chronic gastric ulcer with preforation

chronic duodenal ulcer

acute apendicitis

sigmoid carcinima

massive necrosis of liver

micronodular liver cirrhosis

metastasis of cancer into liver

bilary calculi
