1/81
Looks like no tags are added yet.
Name | Mastery | Learn | Test | Matching | Spaced | Call with Kai |
|---|
No analytics yet
Send a link to your students to track their progress

1
Circle of Willis

2
Anterior cerebral artery (L)

3
Anterior communicating artery

4
Middle cerebral artery

5
Posterior communicating artery (L)

6
Posterior cerebral artery (L)

7
Basilar Artery

8
Vertebral Artery (L)

9
Internal Carotid Artery (L)

1
Frontal bone

2
Frontal lobe

3
Parietal lobe

4
Falx cerebri

1
Temporal bone

2
Lateral ventricle

3
Choroid plexus

4
Corpus callosum

5
Caudate nucleus

1
Superior sagittal sinus

2
lateral ventricle

3
parietal bone

4
cerebellar vermis

5
Pineal body

6
third ventricle

1
falx cerebri

2
anterior cerebral artery

3
middle cerebral artery

4
basilar artery

5
fourth ventricle

6
internal occipital protuberance

7
posterior cerebral artery

1
frontal sinus

2
sphenoid bone

3
pituitary gland

4
temporal lobe

5
mastoid air cells

6
sella turcica

1
ethmoid sinus

2
medial rectus muscle

3
pons

4
auricle

5
EAM

6
optic nerve

7
globe of eye

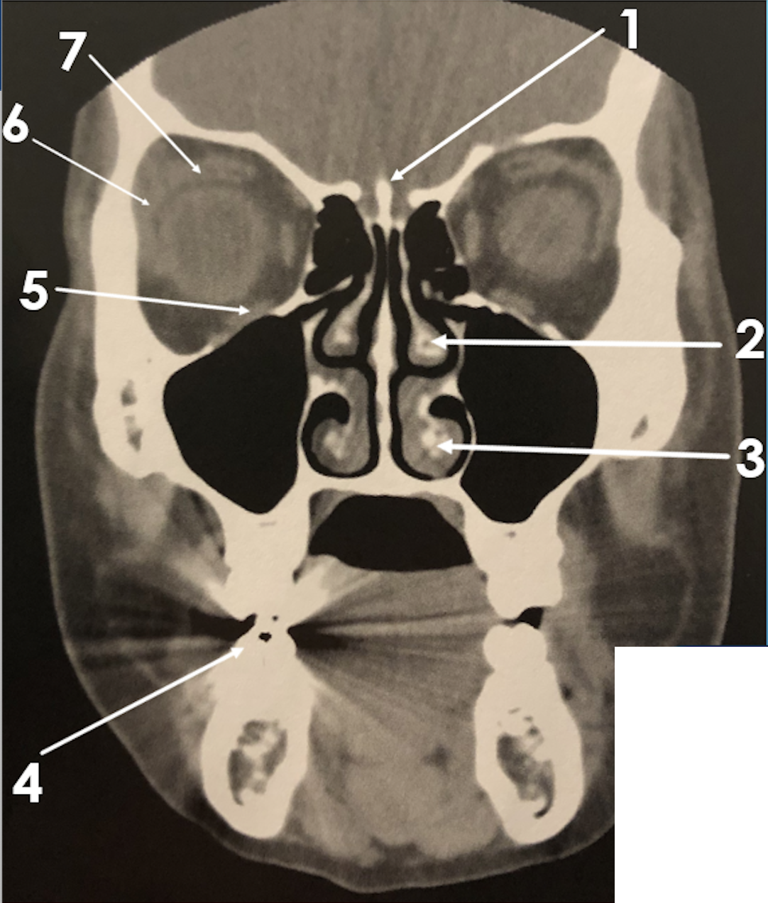
1
nasal bone

2
lens of eye

3
maxillary sinus

4
vomer

5
medulla oblongata

6
vertebral artery

7
zygoma

1
hypothalamus

2
thalamus

3
midbrain

4
corpus callosum

5
pons

6
medulla oblongata

7
pituitary gland

8
cerebellum

9
spinal cord

1
frontal lobe

2
globe of eye

3
maxillary sinus

4
maxillary bone

5
mandible

6
nasal septum

7
ethmoid sinus

1
crista galli

2
middle nasal turbinate

3
inferior nasal turbinate

4
tooth/dental filling

1
sphenoid sinus

2
optic foramen

3
zygoma

4
tongue

1
sphenoid sinus

2
sphenoid bone

3
pharynx

4
hyoid bone

5
epiglottic fold

6
mandible

7
floor of sella turcica