1/110
Looks like no tags are added yet.
Name | Mastery | Learn | Test | Matching | Spaced | Call with Kai |
|---|
No study sessions yet.
external naris of the nasal cavity

Internal Naris of the nasal cavity

Nasal Septum of the nasal cavity

Superior Nasal Concha of the nasal cavity

Middle Nasal Concha of the nasal cavity

Inferior Nasal Concha of the nasal cavity

Superior Meatus of the nasal cavity

Middle Meatus of the nasal cavity

Inferior Meatus of the nasal cavity

Nasopharynx

Auditory Tube of the nasopharynx

Oropharynx

Palatine Tonsil of the oropharynx

Laryngopharynx

Thyroid Cartilage

Cricoid Cartilage

Arytenoid Cartilage

Corniculate Cartilage

Cuneiform Cartilage

Epiglottis of the larynx

Vestibule of the Larynx

Ventricular Fold (Vestibular) of the larynx

Ventricle of the Larynx

Vocal Fold of the larynx

Rima Glottidis of the larynx

Glottis of the larynx

Carina of the trachea

Primary (main) Bronchus

Secondary (lobar) Bronchus

Tertiary (segmental) Bronchus

terminal bronchiole

Respiratory Bronchiole

Costal Surface of the lungs

Mediastinal Surface of the lungs

Diaphragmatic Surface of the lungs

Cardiac Impression of the lungs

Root of the lungs

Hilum of the lungs

Apex of the lungs

Base of the lungs

Alveolar Sac of the lungs
Clusters

Alveolus of the lungs

Superior Lobe of the right lung

Middle Lobe of the right lung

Inferior Lobe of the right lung

oblique fissure of the right lung

Oblique Fissure of the right lung

Horizontal Fissure of the right lung

Superior Lobe of the left lung

Inferior Lobe of the left lung

Oblique Fissure of the left lung

Groove of Aortic Arch of the left lung

Cardiac Notch of the left lung

Parietal Pleura

Visceral Pleura

Pleural Cavity

Right Atrium of the heart

Superior Vena Cava of the right atrium

Inferior Vena Cava of the right atrium

Auricle of the right atrium

Auricle of the left atrium

Musculi Pectinati of the right atrium

Right Ventricle of the heart

Tricuspid Valve (right AV) of the right ventricle

Chordae Tendinea of the ventricles

Papillary Muscle of the ventricles

Trabeculae Carnea of the ventricles

Pulmonary Semilunar Valve of the right ventricle

Left Atrium of the heart

auricle of the left atrium

Superior Pulmonary Vein of the left atrium

Inferior Pulmonary Vein of the left atrium

Bicuspid Valve (left AV, or Mitral) of the left ventricle

Aortic Semilunar Valve of the left ventricle

Interatrial Septum of the heart

Fossa Ovalis of the heart

Interventricular Septum of the heart

Pulmonary Trunk

Left Pulmonary Artery

Right Pulmonary Artery

Ascending Aorta

Right Coronary Artery

Posterior Descending Coronary Artery

Right Marginal Coronary Artery

Left Coronary Artery

Anterior Descending Coronary Artery

Circumflex Coronary Artery

Left Marginal Coronary Artery

Aortic Arch

Brachiocephalic Trunk

Left Common Carotid Artery

Left Subclavian Artery

Ligamentum Arteriosum

Small Coronary Vein

Great Coronary Vein

Middle Coronary Vein

Coronary Sinus

Simple Squamous Epithelium

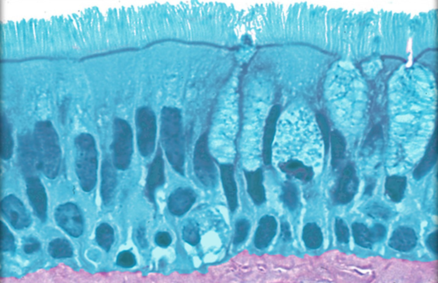
Pseudostratified Ciliated Columnar Epithelium

Stratified Squamous Epithelium
