1/12
Looks like no tags are added yet.
Name | Mastery | Learn | Test | Matching | Spaced | Call with Kai |
|---|
No analytics yet
Send a link to your students to track their progress
Epidermis
What is the name of the skin layer indicated by number 1 on the diagram?

Dermis
What is the name of the skin layer indicated by number 2 on the diagram?

Hypodermis (subcutaneous layer)
What is the name of the skin layer indicated by number 3 on the diagram?

papillary layer of dermis
What is the name of the layer indicated by 1 on the diagram?

reticular layer of dermis
What is the name of the layer indicated by 2 on the diagram?

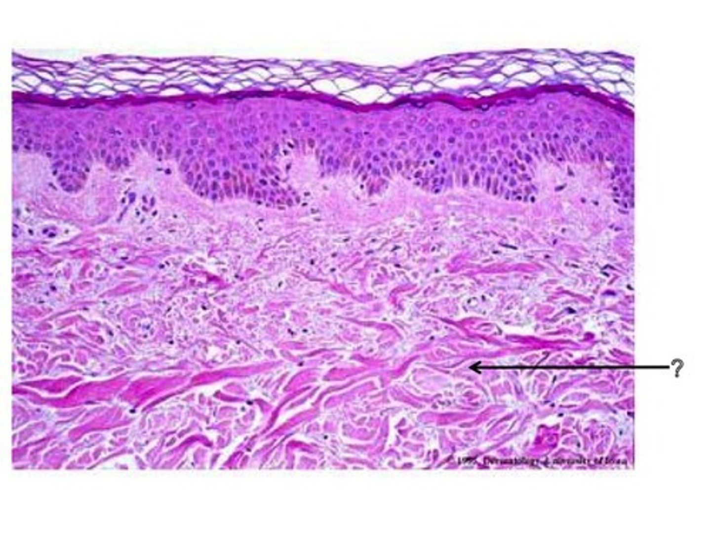
reticular layer of dermis
What layer is the arrow pointing to?

dermal papillae
What is the name of structure indicated by 3 on the diagram?

dermal papillae
what is the red outline called?

Tactile corpuscles (Meissner's corpuscles)
What is the red arrow pointing to?

Tactile corpuscles (Meissner's corpuscles)
what is this called?

Lamellated corpuscles (Pacinian corpuscles)
what is this called?

Lamellated (Pacinian) corpuscles
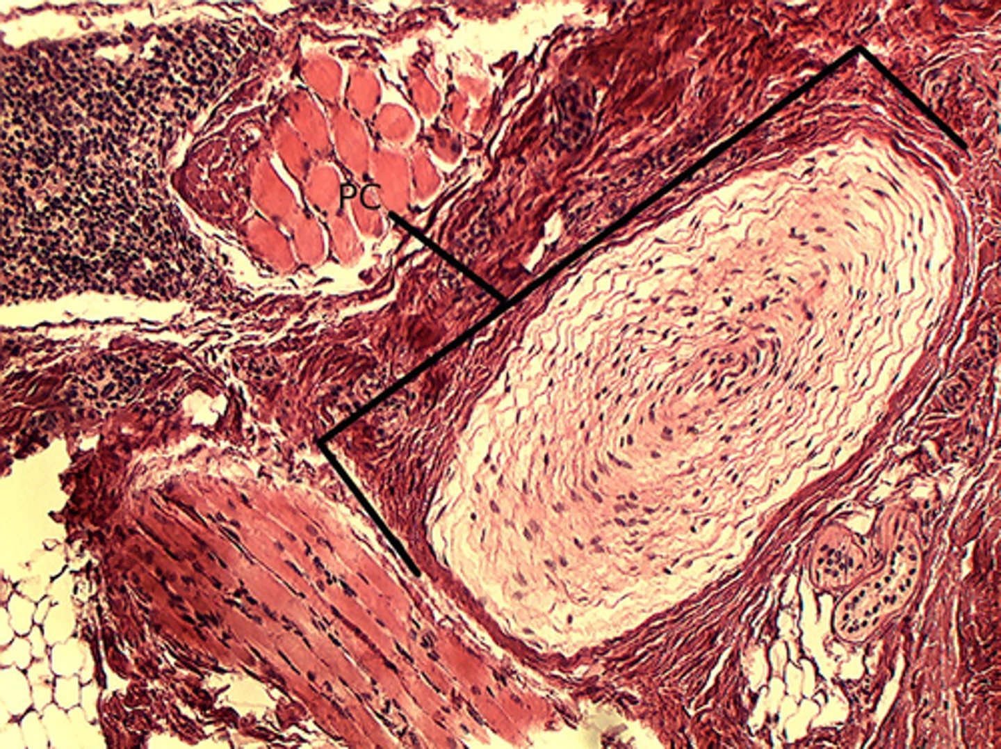
what is the structure in the bracket called?

Lamellated (Pacinian) corpuscles
What is the red arrow pointing to?
