1/258
2. Präsentation
Name | Mastery | Learn | Test | Matching | Spaced |
|---|
No study sessions yet.
Traumatologische Notfälle
Verletzung Lebenswichtiger Organe
Organe des Alltags
Nenne mind. 3
Schädelhirntrauma
Wirbelsäulentrauma
Thoraxtrauma (Verletzung Brustkorb)
Abdominaltrauma
Beckentrauma
Extremitätentrauma
Polytrauma (mehrere Verletzungen)
längerer Heilprozess
Abgrenzung Mehrfachverletzten - keine Vitale Bedrohung
Traumatologie
Diagnostik, Therapie & Wiederherstellung eines Verletzten
Traumaursache
Qualität der Einwirkung
Geschädigtes Organ
Kausalzusammenhänge (wichtig für BG - Leistungspflicht?
Qualität der Einwirkung
Ausmaß Schädigung
Abhängig von … eines schädigendes Gegenstandes
Größe
Gewicht
Geschwindigkeit
Wucht
Gewalt
Zeit der Einwirkung
Geschädigtes Organ
Weichteile
Knochen
innere Organe
Körperhöhle
Kausalzusammenhänge
Unfallkausalität
Zusammenhang versicherter Tätigkeit und Unfallereignis
Haftungsbegründende Kausalität
Zusammenhang Unfallereignis und Gesundheitserstschaden
Haftungsausfüllende Kausalität
Zusammenhang Gesundheitserstschaden und Unfallfolgen
Traumaursache - mechanisch
Sturz, Stoß, Schlag, Stich, Schuss
Traumaursache - chemisch
Säure, Lauge
Traumaursache - thermisch
Hitze, Kälte
Traumaursache - physikalisch
Strahlung, elektrisch
Traumaursache - akustisch
Schall, Knall
Traumaursache - biologisch
Infektion durch Erreger
Verletzung des Bewegungsapparates - Weichteile
geschlossene Verletzungen (Mantel nicht offen)
Offene Weichteilverletzung
Sehnenruptur
Muskelverletzung
Gefäßverletzung
Nervenverletzung
Verletzung des Bewegungsapparates - Knochen
Traumatische Knochenbrüche
spontanfrakturen - pathologische Frakturen
Tumore des Knochens selbst
Absiedlungen von Tumoren in den Knochen (Metastasen)
Schwinden der Knochensubstanz durch natürliche Alterung oder durch Medikamente (Osteoporose)
Brüche durch anlangebedingte Knochenzysten
Marschfraktur bei chronischer Belastung
Verletzungen ohne Stabilitätsverlust
Kontusion
Prellung (z.B. Knochen)
Verletzungen ohne Stabilitätsverlust
Distorsion
Zerrung/Dehnung (z.B. Gelenk)
Verletzungen ohne Stabilitätsverlust
Fissur
Knochenriss
Verletzungen ohne Stabilitätsverlust
Infraktion
Anbruch des Knochens
Verletzung mit Stabilitätsverlust
Fraktur
Bruch
Verletzung mit Stabilitätsverlust
Ruptur
Riss im Kapselbandapparat/Sehne
Verletzung mit Stabilitätsverlust
Luxation
Verrenkung

Verletzung mit Stabilitätsverlust
Luxationsfraktur
Verrenkungsbruch
Frakturen - Einteilung nach der Ätiologie (wie etwas passiert)
direktes Trauma
Stoß, Schlag, Geschoss, Aufprall
Frakturen - Einteilung nach der Ätiologie (wie etwas passiert)
indirektes Trauma
Biegung, Stauchung, Scherung, Torsion, Abriss
Frakturen - Einteilung nach der Ätiologie (wie etwas passiert)
Überbelastung
Ermüdungsfraktur
Frakturen - Einteilung nach der Ätiologie (wie etwas passiert)
Tumor, Knochenerkrankungen
pathologische Fraktur

Frakturen - Einteilung nach der Frakturform
geschlossene Frakturen
offene Frakturen (durchstoßener Weichteilmantel)
inkomplette Frakturen (Fissur, Grünholzbruch)
komplette Frakturen
nicht dislozierte Frakturen
dislozierte Frakturen
b) kleines Loch, meist weniger kompliziert
c) von außen kommend, größere Weichteilschäden, komplexer
d) Aterie, Wehne, Nerv auch betroffen, komplizierter

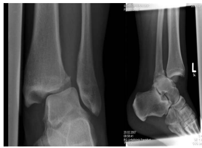
Knochenbruchzeichen
Klinisch:
Fehlstellung der Gliedmaßen
abnorme Beweglichkeit
Frakturschmerz
Frakturhämatom
Weichteilkontusion
Knochenreiben
offene Wunde in der Nähe der Fraktur (offene Fraktur)
Knochenbruchzeichen
bildgebend:
Röntgenaufnahmen in 2 oder 3 Ebenen
CT,MRT
Durchleuchtung unter Funktion (ggf. unter Narkose)
Sichere Frakturzeichen:
abnorme Beweglichkeit
groteske Fehlstellung
Krepitation (Knochenknirschen bei Bewegung, meist schmerzhaft)
sichtbare freie Knochenenden (offene Fraktur)
röntgenologischer Nachweis
Unsichere Frakturzeichen
(Kompressions)Schmerz, Schwellung, Hämatom
Functio laesa = gestörte Funktionsfähigkeit der betroffenen Extremität durch Schonhaltung

Knochenbruchformen
a) Impressionsbruch
b) Infraktion
c) Fissur


Knochenbruchformen
d) Querbruch
e) Schrägbruch/Spiralbruch
f) Biegungsbruch


Knochenbruchformen
g) Drehbruch
h) Stückbruch
i) Trümmerbruch


Heilkompetenz: Querfrakturen sind schwerer einzuschätzen als der Rest
Mehrfragmentfraktur → Trümmerfraktur → Defektfraktur
Luxationsfraktur - Verrenkung kombiniert mit Bruch

Einteilung der Frakturen nach der Lokalisation
Schaftfraktur
Gelenkfraktur
Etagenfraktur (mehrere Frakturen eines Knochens)
Mehrfachverletzungen
Serienfraktur (mehrere Frakturen an einer Extremität/Rippen)
Etagenfraktur
Polytrauma (mind. eine Verletzung muss Lebensbedrohlich sein)

Klassifikation nach AO
1 Humerus - Oberarm
2 Ulna + Radius - Elle + Speiche
3 Femur - Oberschenkel
4 Tibia + Fibula - Schien- + Wadenbein

Klassifikation des Segmentes
1 proximal - körpernah
2 diaphysär - Schaftbereich
3 distal - körperfern


Klassifikation nach Frakturtyp: Schaftbereich
A: einfach
B: einfach Mehrfragment
C: komplexe Fraktur


Frakturtyp im Gelenkbereich
A: extraartikulär
B: artikulär partiell
C: artikulär vollständig


Kindliche Knochenbrüche
nur Haut des Knochens gebrochen

Epiphysen(Wachtumszonen)fraktuen nach Aitken - körperferne Tibia (Schienbein)
a) Aitken 0
Epiphysen-Lösung
b) Aitken 1
Fraktur am körpernahen Anteil


Epiphysen(Wachtumszonen)fraktuen nach Aitken - körperferne Tibia (Schienbein)
c) Aitken 2
Fraktur körperferner Anteil
Epiphyse evtl. mit abgebrochen
d) Aitken 3
Fraktur: körpernaher/körperferner Anteil
Beide teile ober/unterhalb Epiphyse ab
Frakturbehandlung
Diagnose:
Anamnese des Unfallhergangs
körperliche Untersuchung
Röntgen in 2 Ebenen mit den benachbarten Gelenken (ggf. Seitenvergleich), CT, MRT
neben offensichtlicher Verletzung kann benachbartes Gelenk auch betroffen sein
Seitenvergleich, damit man sieht obs normal ist
Frakturbehandlung
Prinzipien der Frakturbehandlung
anatomische Reposition
Fixation durch Ruhigstellung bis zur Heilung
Wiederherstellung der Funktion durch Physiotherapie
Frakturbehandlung
Therapie
konservative
Extension
geschlossene Reposition
Gips-/Kunststoffverbände
Fixierende Ruhigstellung bis zur Knochenheilung
z.T. Ruhigstellung angrenzender Gelenke
operative
bessere anatomische Reposition



Gipsbehandlung Vorteile
keine OP-Trauma
Fraktur bleibt geschlossen, keine Infektion
kein OP-Risiko
Kosten zunächst niedriger → durch Nachbehandlung/Sprechstunde kommen Kosten auf
Gipsbehandlung Nachteile
keine exakte Ruhigstellung
Gefährdung der Weichteile, Druckstelle
erhöhtes Risiko für CRPS (Komplexes Regionales Schmerzsyndrom)
Immobilisation unverletzer Gelenke
Operative Behandlung - Prinzip
blutige Reposition
Fixation der Knochenfragmente durch Implantate
Erzielen von Übungs- bzw. Belastungsstabilität
Operative Behandlung - Ziele
Reposition/Rekonstruktion
Retention/Stabilisierung
Rehabilitation/Bewegungsübungen
Arthrosevermeidung
OP-Indikation
Frakturen bei Mehrfachverletzten
Gelenkfrakturen
instabile Frakturen
offene Frakturen
Frakturen mit Gefäß-/Nervenschaden
pathologische Frakturen

Operative Behandlung Vorteile
Keine Ruhigstellung unverletzter Gelenke - frühfunktionelle Therapie!
keine Immobilisationsschaden
Senkung des Thromboserisiko
Pflegeerleichterung
Operative Behandlung Nachteile
Narkose/Op-Risiko
Implantatinfektion, Osteomyelitis, Weichteilinfekt
Narbenbildung
Implantat/OP-Kosten → teurer
ggf. Zweiteingriff zur Metallentfernung

Prinzip der Knochenbruchbehandlung
3 Schritt
Reposition - Wiederherstellung der natürlichen Stellung
Retention - Fixation des eingerichteten Bruches bis zu Heilung durch Verbände / Osteosynthese
Rehabilitation - Wiederherstellung aller Funktionen möglichst wie vor dem Trauma

Operative Frakturbehandlung
Kirschnerdraht-Osteosynthese
kleines Loch
manipulation zur besseren einrichtung
erneutes bohren möglich
Operative Frakturbehandlung
Zuggurtung - Intramedulläre Schienung
Drähte wandern auch gerne mal aus
nicht so stabil


Operative Frakturbehandlung
Schraubenosteosynthese
Druck ausüben auf Fraktur
vermeiden der Verdrehung
Operative Frakturbehandlung
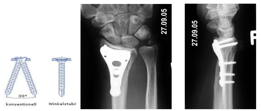
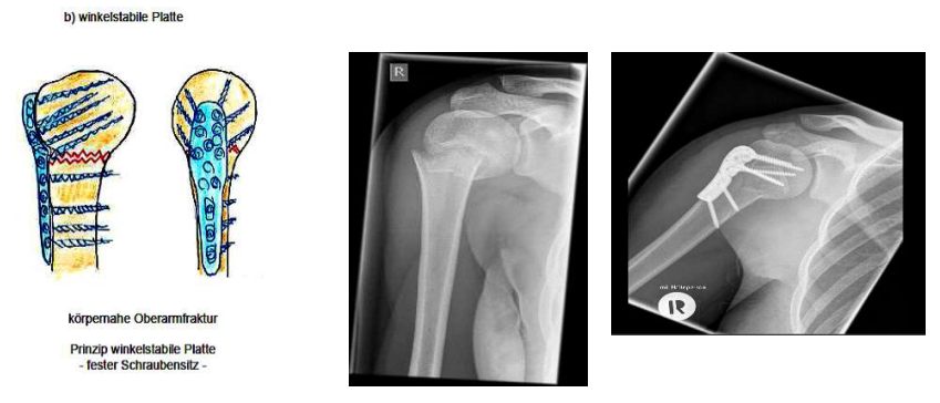
Plattensysteme


Besonderheit Winkelstabile Platte
in Plattenlöchern gewinde eingebaut die zu Schrauben passen
Schrauben können sich weniger bewegen → stabilere Osteosynthese
Nachteil: zu stabil - Platten Wandern aus und Schrauben evtl die Knochen


Operative Frakturbehandlung
Intramedulläre Schienung
a) Nagel im Hohlraum des Knochens - Knochen kann nicht verrutschen - Druck auf Fraktur
b) Nägel lassen sich gegenseitig verspannen - sehr fest eingewachsen - schwer zu entfernen
Operative Frakturbehandlung
Fixateur externe - Fixateur interne
a) Minimal Schrauben in Knochen, möglichst wenig Weichteilschädigung, durch äußere Spannung, potentielle Keimschleuder
b) Stäbe sind innen statt außen, aber nicht direkt an der Fraktur


Operative Frakturbehandlung
Kombinationsosteosynthese
Verwendung mehrerer Materialien
Operative Frakturbehandlung
Endoprothese
völlig zerstörtes Gelenk
nicht erhaltene Knochendurchblutung
in der Regel großes Gelenk (Oberarmkopf, Ellenbogen, Hüfte, Knie, Sprunggelenk)
evlt in Verbindung mit Knochenzement
Teil- oder Totalersatz

Weichteilschonende Operationsverfahren
Schonung der Knochendurchblutung als Voraussetzung für rasche Knochenheilung
Erhalt des Muskelsgewebes, Vermeidung von Narbenbildung
Arthoskopie (mit Kamerasystemen innerhalb des Gelenks) → meist eine Kombination
→Minimal-invasive Chirurgie
Computernavigierte Chirgurgie

Probleme bei Frakturen mit Weichteilschaden
primäre Verschmutzung - Kontamination
sekundäre Knochen- und Weichteilinfektion
Weichteilquetschung und Nekrose
Devastierung von Knochen
Kompartmentsyndrom (Druck im Geweben nimmt durch einblutungen zu)
neuro-vaskuläre Störungen (Gefäße werden abgedrückt)
Thrombose - Gewebsthrombose
Pseudarthrosenbildung

Weichteilschaden
a) Grad 0 = fehlende/unbedeutende Weichteilverletzung, einfache Frakturfromen
b) Grad 1 = oberflächliche Schürfung, einfache bis mittelschwere Frakturformen
c) Grad 2 = tiefe kontaminierte Schürfung, mittelschweren bis schweren Frakturformen
d) Grad 3 = ausgedehnte Hautkontusion, quetschung/Zerstörung der Muskulatur, schwere Frakturformen
Gustilo und Anderson - Klassifikation der offenen Fraktur
Grad 1 Hautläsion < 1cm
Grad 2 Hautläsion > 1cm
Grad 3 ausgedehnter Weichteilschaden
Grad 3 A ausgedehnter Weichteilschaden mit noch adäquater Knochendeckung
Grad 3 B ausgedehnter Weichteilschade mit Deperiostierung und freiliegendem Knochen
Grad 3 C rekonstruktionspflichtige arterielle Gefäßverletzung
Tscherne und Oestern - Klassifikation der offenen Fraktur
Grad 1 Durchspießung der Haut, unbedeutende Kontamination, einfache Frakturformen
Grad 2 Durchtrennung der Haut, umschriebene Haut- und Weichteilkontusion, mittelschwere Kontamination, alle Frakturformen
Grad 3 ausgedehnte Weichteildestruktion, häufig Gefäß- & Nervenverletzungen, starke Wundkontamination, ausgedehnte Knochenzertrümmerung
Grad 4 totale und subtotale Amputation, Durchtrennung der wichtigstens Strukturen
→ wichtig ist die gute Beschreibung und Nennung des Regelwerks
Komplikationen der Frakturheilung
Weichteilschäden - Kompartmentsyndrom
Falschgelenkbildung - Pseudarthrose
Osteomyelitis
Komplexes Regionales Schmerzsyndrom (CRPS)
Lungenembolie - Thrombose
Kompartmentsyndrom
Symptome:
Einschnüren der Weichteile durch komprimierende Verbände
Wundverschluss unter Spannung
Weichteilschwellung: Hämatom / Ödem
Folge:
Kompression von Gefäßen & Nerven in Muskellogen → Mangeldurchblutung → Absterben, Nerven etc
Therapie:
Spalten der Faszien und Freilegen der Muskellogen

Knochenbruchheilung
Primäre Frakturheilung
Knochenbruchstücke passen gut aufeinander - Kontaktheilung
primäre Blutversorgung schnell wieder hergestellt

Knochenbruchheilung
Sekundäre Frakturheilung
Frakturphase = Zerstörung Durchblutung → angrenzenden Weichteile, Knochenhaut, Knochenmark betroffen - Frakturhämatom
Entzündungsphase = örtlich vermehrte Durchblutung, mehr Gefäßbildung
Granulationsphase = Bildung weiches Knochen, Überbrückung Defekt - Kallus
Phase der Kallushärtung = Einlagerung von Mineralsalzen → Aushärtung des Kallus & Verknöcherung
Modeling & Remodeling-Phase = Knochen versucht normale Knochenstruktur herzustellen
→ Heilung weitgehend abgeschlossen

Dauer Knochenheilung
je größer der Knochen desto länger
Störung der Knochenbruchheilung
mechanisch-technisch
Kompression auf Bruch nicht gut ausgeübt
biologisch-medikamentös
Infektionen
Verzögerte Knochenbruchheilung - Pseudarthrose
Definition:
verzögert: nach 3 bis 6 Monaten
Pseudarthrose: nach 3 bis zu 9 Monaten
Knochenbruchheilung die nicht stattfindet

Pseudarthrose - Ursachen
mangelhafte Ruhigstellung Fraktur
schlechte Fragmentdurchblutung mit Devitalisierung
Infekt im Frakturbereich
Pseudarthrose - Einteilung
aseptische Pseudarthrose (hypertroph - überschüssiges Knochenwachstum/ atroph - Knochenlücke)
Defektpseudarthrose (großer Defekt)
Infektpseudarthrose (begleitende Infektion des Knochens)
Pseudarthrose- Therapie
stabile Osteosynthese
Anfrischen der Pseudarthrose
Spongiosaplastik (schwammknochen, Knochentransplantation)
Infektionssanierung mit Sequesterentfernung (toten Knochen entfernen)
Ultraschall hilft evt. auch

Komplikationen der Frakturheilung
Osteitis - Osteomyelitis
Bakterielle Besiedulung von Knochengewebe & Knochenmark - primär - sekundär
Entzündung im Frakturbereich
Fieber, Rötung, Schwellung, Schmerzen
Erhöhte Entzündungswerte → sepsis
Ausräumen des Infektherdes, Entfernung Osteosynthesematerial, Antibiose lokas und systematisch ggf Fixateur externe
Komplikationen der Frakturheilung
Complexes Regionales Schmerz-Syndrom (CPRS)
Schmerzsyndrom unabhängig von Schwere eines Traumas
Verlauf in Stadien (1-3)
vorwiegend and körperfernen Extremitäten
Typ 1: ohne Typ 2: mit Nervenläsion
psychische Begleiterkrankung berücksichtigen
Therapie:
Schmerzkontrolle, Funktion, Physiotherapie, Ergotherapie, Spiegelthearipie, Reha-Management, Berufshelfer
Ziel: Maximale Funktion bei Schmerzreduktion
kann bis zur Amputation der Extremität führen
Komplikationen der Frakturheilung
Thrombose - Lungenembolie
Entstehung Blutgerinsel / Thrombose:
Verminderte Fließgeschwindigkeit des Blutes durch Bewegungsmangel und Ausfall der Muskelpumpe durch Immobilisation der unteren Extremität
Entstehung Lungenembolie:
Ausschwemmen des Thrombus aus der Vene in die Lungenarterie
Sehnenruptur
plötzliche, überfallartige, richtungsändernde Überdehnung einer maximal angespannten Muskel - Sehneneinheit
Beweiskette zur Ursachenfindung (sehnenruptur)
Unfallanamnese
zeitpunkt erstmalige Vorstellung D-Arzt
erstmalig geschilderte Beschwerden
genauer klinischer Befund
bildgebendes Verfahren: Röntgen, Sonographie, CT, MRT
arthtoskopischer Befund
feingewebliche Untersuchungen der Rupturzone sowie eines rupturfernen Gewebsanteiles (ist es eine frische oder chronische Verletzung)

Muskelbauch rutscht nach unten
auswirkung 10% auf Kraft
nicht unbedingt zu versorgen
Delle unten
Kraftübertragender komplex
zu versorgen


Riss lange Bizepssehne - SLAP-Läsion
reisst innerhalb schultergelenkes

Rotatorenmanschette
muskulärer Mantel des Schultergelenks
stellt beweglichkeit sicher
Stabilisierung
vorallem Muskulär geführt
4 Säulen der Zusammenhangsbegutachtung
Vorgeschichte (Vorerkrankung, Beruf, Anamnese..)
Ereignisanalyse (Genauer Bewegungsablauf Unfall, Nachstellung, Arbeitseinstellung, Arztbesuch)
Klinischer Befund &Verlauf (Initialbefund(Rotatorentest), Verlaufsbefunden, Durchgeführte Therapie)
Apparative- & morphologische Befunde (Röntgen-, Sonographie-, MRT-, Arthroskopischer Befund, Feingewebliche Untersuchung (Histologie))
Rotatorenmanschettenruptur - geeignete Unfallmechanismen
(Sub)Luxation(Herrausspringen Knochen aus Gelenk, Sub = bisschen), Schulterluxation (bis 32J 25% WSL - über 40J bis 70%WSL)
passiv forcierte Außen-/Innenrotation (Sturz mit Festhalten)
Passive Traktion nach unten, vorne, Mitte (Auffangen fallendes Objekt)
Axiale Stauchung nach oben, vorne, Mitte (Sturz auf nach hinten gestreckten Arm)
Rotatorenmanschettenruptur - ungeeignete Unfallmechanismen
Stauchung nach oben, hinten, Mitte (Sturz nach vorn, auf den Arm)
Direktes Schulteranpralltrauma ( Sturz auf Schulter)
Kraftanstrengung (Anheben Last)
Indikation zu Operation
Pro-Operation
Frische traumatische Verletzung ohne Vorschaden
Erwerbstätig
Patient macht mit (compliant)
Indikation zu Operation
Relative Indikation
Erwartung einer Funktionsverbesserung bei degenerativen Verletzung trotz Atrophie (Schrumpfung Sehne)
Motivierter Patient
Indikation zu Operation
Kontra-Operation
Kontraktur im Schultergelenk
Begleitschäden (Nerven, Gefäße)
Bereits bestehende degenerative Gelenkveränderung (Alter, mangelnde Einsicht zu Behandlung)
einsicht ist wichtig, weil Behandlunsgplan eingehalten werde muss, sonst bringt OP nix
Zeitnahe Arthroskopie (Spiegelung durch Kamera)
Operationsbefund
Gewebeprobe von Rupturzone & angrenzenden gesundem Gewebe
erlaubt exakte Rückschlüsse zur Zusammenhangsfrage: Traumatischer Schaden, Gelegenheitstrauma
Gilt für alle Sehnen und Weichteilverletzungen


Spezielle Knochen- und Gelenkverletzungen
Schlüsselbein - Calviculafraktur
umso weiter Knochenenden voneinander entfernt sind desto eher eine Operation
auch konservative Therapie möglich
gute Ausheilung
Ziel Rucksackverband → Aufrechte Position → Druck aufs Schlüsselbein → durch anatomische Haltung kommt es zur Abheilung
unangenehm & unpraktisch


Schulterblattfraktur - Scapulafraktur
eher selten
a) Pfannenhalsfraktur
b) Fraktur von Korakoid & Akromion
c) Korpusfraktur
d) Kantenabsprengung
c) & d) relativ selten - eher konservative Behandlung

Schultereckgelenkverletzung
Einteilung nach Tossy (1-3)
wie weit weicht das Schlüsselbein ab vom Schulterblatt
wie viele Sehnen/Bänder sind kaputt
wie sehr kann man das Schlüsselbein in anatomische Grundfunktion
Tossy 1: Auseinanderweichen Schlüsselbein, Schulterhöhe um halbe Schaftbreite, keine wesentliche Bandverletzung
Tossy 2 : Auseinanderweichen um Schaftbreite, Zerreißung schultereckgelenk-Band
Tossy 3 : Zerreißung aller Bandstrukturen


Schultereckgelenksprengung
Einteilung nach Rockwood (1-6)
1-3 konservativ
4-6 operativ


Schulterluxation
Abschlagen, Eindellen des Knochen → Hill-Sachs-Läsion


Schultergelenkluxation
a) Nach unten
b) Nach vorn
c) Nach hinten
d) Sonderform
c & d sind selten
Schulter zügig einrencken



verschiedene Arten der einrenckung
normalerweise kurze Einsätze der Rettungskräfte
Vorsicht ist wichtig → kann sich um andere Luxation handeln

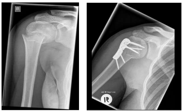
Oberarmbruch - Subcapital
Nagel soll Position fixieren und Knochen zum heilen bringen
mit vielen, zielgerichteten Schrauben Knochen an richtigen Platz bringen


Oberarmfraktur
Schaft & distales Ende - einfach
Druck ist wichtig
Distale Oberarmfraktur - kompliziert
viele Schrauben notwendig
Doppelplattensynthese


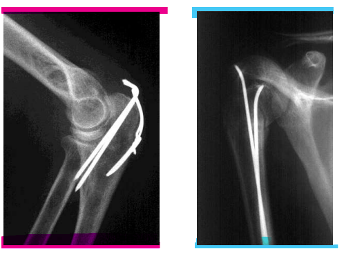
Ellenbogenverletzung
Ellenbogenluxation
distale Oberarm springt aus Ellenhaken raus


Ellenbogenluxation
a) Reine Luxation
b) Luxation mit Abriss des Processus coronoideus


Proximale Ulnafraktur
a) Olekranonquerfraktur - ohne OP nicht heilbar
b) Abriss des Processus coronoideus - kann man konservativ behandeln, kommt auf größe an
c) Mehrfachfraktur - operativ


Radiuskopffraktur
Durch Druck auf Radiuskopf
a) Meißelfraktur ohne Dislokation
b) Meißelfraktur mit Dislokation
c) Halsfraktur
d) Trümmerfraktur