1/52
Looks like no tags are added yet.
Name | Mastery | Learn | Test | Matching | Spaced | Call with Kai |
|---|
No analytics yet
Send a link to your students to track their progress

What tryponosome cell form is this?
Amastigote

What tryponosome cell form is this?
Promastigote

What tryponosome cell form is this?
Epimastigote

What tryponosome cell form is this?
Trypomastigote

What parasite is this?
Tryponosoma brucei

What parasite is this?
Trypanosoma cruzi

What species is this?
Leishmania sp.

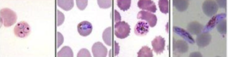
What malaria parasite is this?
Plasmodium falciparum

What parasite is this?
Plasmodium vivax
First stage of Malaria
Ring stage
Second stage Malaria
trophozoite
Third phase Malaria
Schizont
Fourth stage malaria
Gametocyte
parasitaemia equation?
Number of infected cells/ Number of total cells x 100

What is the name of this structure and disease?
Oocysts, Plasmodium
What is the infective stage from mosquito to human?
Sporozoite
Where are sporozoites in the mosquito?
In the saliva and salivary glands

What parasite and form is this?
Malaria sporozoites

What is this and what parasite does it transmit?
Sand fly transmits Leishmania
Phylum,class, order and family of Tsetse flies
Arthropoda, Insecta, Diptera, Glossinidae
Phylum, class, order and family of Triatomine bug
Arthropoda, insecta, hemiptera, Reduviidae
Sand Fly Phylum, class, order, family
Arthropoda, Insecta, Diptera, Psychodidae
What protein optiMAL-IT test detect?
parasite Lactate dehydrogenase
Differences between Anopheles and Culex
Anopheles transmits malaria and culex transmits arboviruses.

What type of mosquito is this?
Anopheles

What mosquito is this?
Culex
Name of the organ of bugs that bite you they use to extract blood from your body
Proboscis

What parasite is this?
triatomine bug and trypanosoma cruzi

What vector is this and for what parasite?
TseTse Fly and trypanosoma brucei

What egg parasite is this?
Schistosoma mansoni

What parasite egg is this?
schistosoma haematobium

What parasite egg is this?
Schistosoma japonicum

what parasite is this and gender?
schistosoma big male small female
What i the life cycle stages of schistosoma?
Egg, Miracidium, Sporocysts and cercaria

What life cycle stage is this?
Miracidium

What life cycle of schistosoma is this?
cercaria

What life cycle stage of schistosoma is this?
Schistosomula (Cercaria looses its tail when epentrates humans)

Name snail and parasite it transmits
oncomelania and schistosoma japonicum

Name snail and parasite it transmits
Biomphalaria and schistosoma mansoni

Name snail and parasite it transmits
Bulinus and Schistosoma haematobium

What parasite does this egg belong to?
Ascharis lumbricoides (nematoda)

What parasite does this egg belong to?
Trichuris Trichuria (nematoda)

What parasite does this egg belong to?
Schisstosoma (platyhelminthes)

What parasite does this egg belong to?
Taenia species

Name what parasite this egg belongs to?
Ascaris lumbricoids (fertilised egg)
Symptoms of Trypanosoma brucei
headache, lymphadenopathe, no neurological symptoms, fever, swelling around the eyes, headache, painful muscles and joints
Symptoms of Trypanosoma cuzi
swollen eye, headache, fever
What technique is the gold standard for malaria
Microscopic diagnosis
What blood stains work for Malaria?
Both thick and thin
Is Giemsa stain the best option?
Yes
Composition of Giemsa
Eosin and Methylene blue

Which mosquito is which?
Left: Culex (parallel posture and Right: Anopheles, Anged Posture