1/125
Looks like no tags are added yet.
Name | Mastery | Learn | Test | Matching | Spaced | Call with Kai |
|---|
No analytics yet
Send a link to your students to track their progress
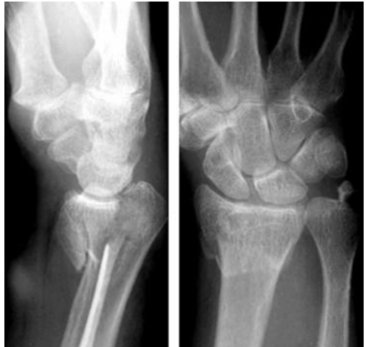
Mecanismo de accion de esta fractura

Fractura de barton

Dorsiflexión (o extension), desviación radial y pronación
Fractura de metafisis de radio mas probable y su porcentaje
Colles, 90%
Nervio que se debe explorar especialmente en desplazamientos volares o anteriores de fracturas de radio
Mediano (13-25% lo presenta)

Que fractura se presenta en esta imagen
Colles
Fractura que presenta deformida “En tenedor”

Colles
Inclinacion radial promedio

23° (13-30°)
Altura’longitud radial promedio

11mm
Inclunacion palmar/volar promedio

11° (11-14°)

que clasficacion es esta?
Frymann
IZQUIERDA→ NUMEROS NONES INVOLUCRA SOLO AL RADIO
A. 1 → EXTRARTICULAR
B. 3→ INTRARRTICULAR
C. 5→ ARTICULACION RADIO CUBITAL DISTAL
D. 7→ AMBAS ARTICULACIONES AFECTADAS

Clasficacion de fernandez de esta fractura
Tipo 1
Flexión→ la metáfisis falla bajo tensión-estrés (Colles, Smith)

Clasficacion de fernandez de esta fractura
Tipo 2
fracturas-cizalladas de la superficie articular (Barton, estiloides radial)

Clasficacion de fernandez de esta fractura
Tipo 3
compresión—-> fractura INTRAARTICULAR con impactación del hueso
subcondral y metafisaria (troquel)
Multifrage¿mentada (inestable)

Clasficacion de fernandez de esta fractura
Tipo 4
AVULSION->-fractura por la inserción de ligamentos (cúbito, estiloide radial)

Clasficacion de fernandez de esta fractura
Tipo 5
complejo combinado- lesiones de alta velocidad
Llega hasta la diafisis
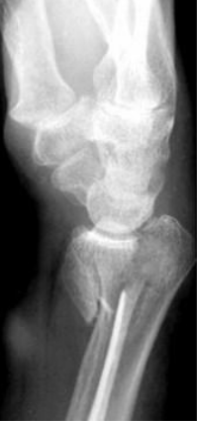
En un paciente con una fractura con esta radiografia, que tratamiento se recomienda?

Clavillos + yeso, fijador externo o placas
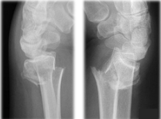
Fractura que se presenta en esta radiografia

Fractura de Smith
Mecanismo de accion de esta fractura

Caida sobre mano en flexion con antebrazo en supinacion
Deformida que presentan los pacientes con esta fractura

En pala de jardin

Tipo de fractura

Fractura de Barton (volar o anterior)
Mecanismo de lesion de esta fractura

Fractura de barton
Caída sobre la muñeca en dorsiflexión con el antebrazo en SUPINACIÓN
Tratamiento de esta fractura

Quirurgico, con placa
Mecanismo de accion de esta fractura


Fractura del chofer/hutchinson
Compresión del escafoides sobre la apófisis estiloides del radio con la muñeca en dorsiflexión y desviación cubital
Tratamiento de esta fractura

Osteosintesis
Indicaciones quirurgicas de fracturas de diafisis del radio
Acortamiento del radio: > de 2 a 3 mm con respecto a la muñeca sana
Inclinación palmar: neutra (0°) hasta 10° de angulación dorsal
Escalón articular: < 2mm
Inclinación radial: < 15° (MENOS DE 5° de la contralateral)
Mecanismo de accion de esta fractura

Fractura de escafoides
Caída sobre la mano abierta con la muñeca en dorsiflexión y desviación radial + SUPINACIÓN
Estudio confirmatorio (primera eleccion si no se ve nada en RX) para fractura de escafoides
RM
Si no hay —> TAC
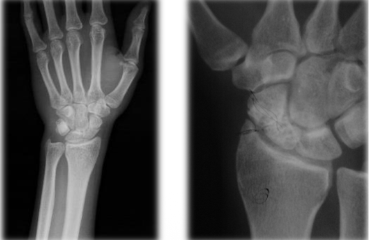
Ubicacion mas frecuente de fractura de escafoides

Cintura (66-70%)
Tratamiento para esta fractura

Yeso con pulgar inmovil
6 semanas largo
6 semanas corto (debajo de codo)
Tratamiento QUIRURGICO para fractura de escafoides (desplazada)
Clavillo percutaneo
Tornillo de Herbert (hace compresion bilateral)
Ubicacion mas comun de fracturas de falanges/metacarpianos
Falange distal

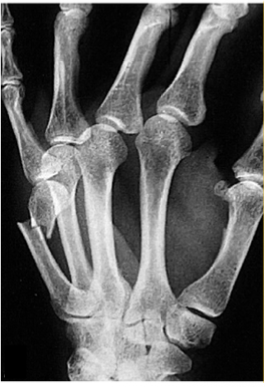
Que fractura se presenta en esta rx
Fractura del cuello del 5to metacariano (del mal boxeador)
Tratamiento de esta fractura

Reduccion cerrada: Maniobra de jazz (compresión en pinza con dedo pulgar, indice y dedo medio haciendo algo de traccion y manteniendo reducción palmar)
Molde de yeso tipo guante
Quirurgico: Placas pequeñas

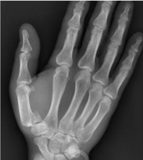
Que tipo de fractura es?
Fractura de Bennet
Mecanismo de lesion de esta fractura

Fuerza longitudinal a lo largo del eje del primer MTC con el pulgar flexionado.
Tratamiento de esta fractura

Clavillos de Kirschner
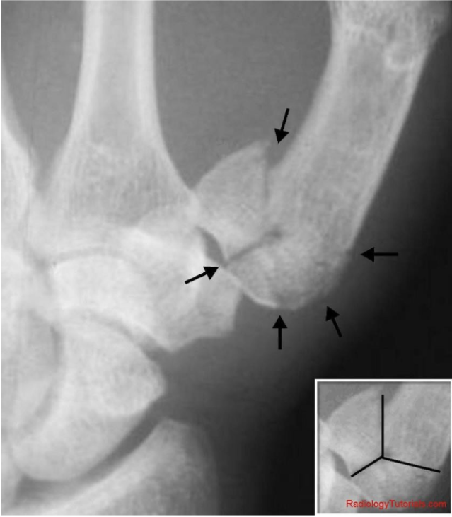
Fractura de esta radiografia

Fractura de rolando
Tratamiento de esta fractura

RAFI con placas

Fractura de esta rx

Mallet finger/dedo en martillo
Mecanismo de lesion de esta fractura

Flexión brusca de la articulación interfalángica distal —> ruptura pura o avulsion del tendon extensor profundo
Tratamiento de esta fractura

Ferula tipo stalk 3 semanas o fijacion con clavillo de Kirschner
Tratamiento de fracturas de primera y segunda falange no desplazadas
ferula con dedo vecino
tratamiento para feacturas de primera y segunda falange deszplazadas
Clavillos de Kirschner, tornillos o minimplantes
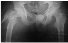
Mecanismo de lesion de fractura luxacion posterior de cabeza femoral
Avulsión del ligamento redondo o escisión acetabular con carga axial
Accidente automovil con la pierna NEUTRA GOLPEA
Angulo normal de la cabeza del femur
120-135°
Mecanismo de lesion de fractura luxacion anterior de cabeza femoral
Fractura por hundimiento —> trauma contra borde anterior del acetabulo con pierna en abduccion
Clasificacion de pipkin

Tipo 1: luxacion de cadera + fractura de cabeza del fémur DEBAJO de la fóvea (zona de
carga)
Tratamiento de pipkin 1 (fractura cabeza femoral)
Reduccion adecuada —> conservador
Inadecuada —> RAFI con tornillos subarticulares
Clasificacion de pipkin

Tipo 2 —> luxación de cadera + fractura de cabeza del fémur ENCIMA de la fóvea
Afectan la superficie de carga→ practicamente TODA la cabeza del femur
Tratamiento pipkin 2
Si TAC n muestra desplazamiento: Conservador
Tornllos
Implantes si hay mucho desplazamiento —> mucho riesgo de necrosis avascular
Clasificacion Pipkin

Tipo 3 —> Tipo 1 o 2 asociado a fractura de cuello del femur
Mal pronostico (mayor riesgo de necrosis avascular)
Desplazamiento PARCIAL
Tratamiento fractura pipkin 3 y 4
Jovenes: RAFI urgente
Ancianos: Reemplazo de cadera
Clasifcacion pipkin

Tipo 4: fragmentos completamente desvinculados entre si
Cabeza se queda en su posicion normal
Tratamiento de fx de cabeza del femur
DHS —> Tornillo deslizable de cadera
Tratamiento de fx de cabeza de femur en ANCIANOS
Protesis total de cadera
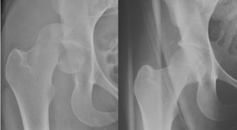
Fractura presente en esta radiografia

Intertrocanterica
Mecanismo de lesion de esta fractura

Jovenes: Alta energia
Ancianos: Caisa simple, impacto directo en trocanter mayor
De acuerdo a la clasificacion de EVANS esta fractura se considera

Inestable
De acuerdo a la clasificacion de EVANS esta fractura se considera

Estable
Tratamiento de fractura intertrocanterica
Idealmente <48hrs post lesion
Clavo endomedular con tornillo deslizante

Tratamiento de fractura intertrocanterica en pacientes con comorbilidades graves
Protesis parcial (De Thompson)
Tipo de fractura de esta radiografia

Subtrocanterica femoral
Mecanismo de lesion de esta fractura

Lesiones de alta energia en jovenes (Trafico, caidas, armas de fuego)
Fracturas patologicas
Lesiones de baja energia (caida de propia altura) en ancianos
Clasificacion de Fielding (para fracturas subtrocantericas de femur)
1. Tipo I → altura del trocánter menor.
2. Tipo II → menos de 2.5 cm por debajo del trocánter menor.
3. Tipo III 2.5 a 5 cm por debajo del trocánter menor.
Tratamiento de esta fractura

Clavo intramedular con pernos de segunda generacion
Implantes si no hay recursos
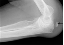
Mecanismo de lesion de esta fractura

Mecanismo INDIRECTO
Caida sobre la mano extendida con el codo en flexion
Se produce por avulsion de una parte de la apofisis por una contraccion del triceps
Mecanismo de lesion de esta fractura

Mecanismo DIRECTO
Golpe directo al codo por caida o trauma
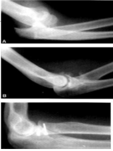
Tipo de fractura en la clasificacion de Mayo

1a (no desplazada, no conminutada)
Tipo de fractura en la clasificacion de Mayo

2a (Desplazada estable, no conminutada)
Tipo de fractura en la clasificacion de Mayo

3b (Desplazada inestable (por la luxacion) y conminutada)
Tratamiento de esta fractura

Conservador
Inmovilizar con yeso o ferula a 45-90°, inicio gradural de movilizacion a las 4 semanas
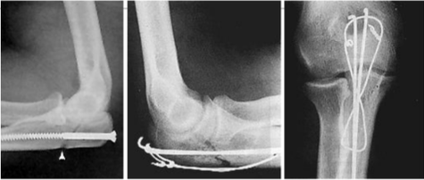
Tratamiento de esta fractura
Obenque con clavillos de kirschner y alambre

Trtamiento de esta fractura

Fijacion con placa y tornillos (por multifragmentada)
En una fractura de olecranon, cuales son las indicaciones de una excision del mismo
Pacientes de edad avanzada con osteopenia, perdida de >50% de la articulacion, no union
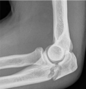
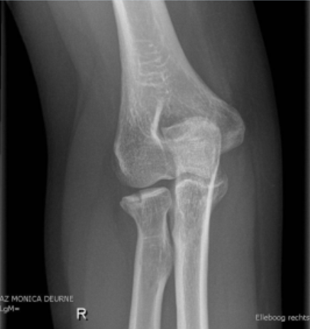
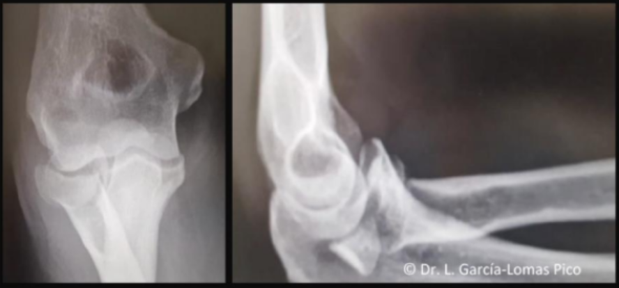
Nervio que es importante evaluar en una fx de cabeza del radio
Radial
Signo para evaluar el nervio radial
Thumbs up
Mecanismo de lesion de esta fractura

Fractura de la parte LATERAL del radio —> rotacion externa con carga axial al codo con fuerza combinada de valgo
Mecanismo de lesion de esta fractura

Fractura de la parte INTERNA del radio —> rotacion interna con carga axial al codo con fuerza combinada de valgo
Clasificacion de Mason de esta fractura

Tipo 1: fisura o fractura marginal con <2mm de desplazamiento
Tratamiento de fractura de mason tipo 1
Cabestrillo
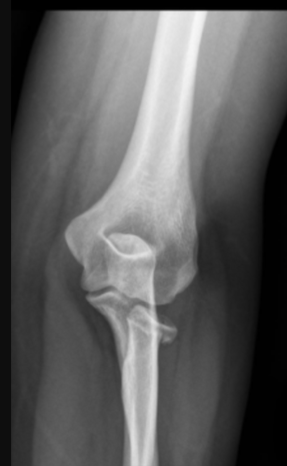
Clasificacion de mason de esta fractura

Tipo 2: Fractura marginal desplazada >2mm (en este caso hacia abajo)
Tratamiento de fractura de mason tipo 2
Reseccion de fragmento si es muy pequeño para fijar
Fijacion interna con tornillo o minimplante
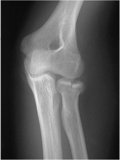
Clasificacion de fractura de mason de esta fractura

Tipo 3 —> conminutada
Tratamiento de la fractura de mason tipo 3
Protesis de silicon o metalica
Clasificacion de mason de estas fracturas

Tipo 4 —> fractura de cabeza radial asociada a luxacion de codo
Tratamiento de fractura tipo 4 de mason
Protesis de silicon o metal
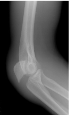
Tipo de fractura de esta rx

Essex Lopresti
Tres elementos
1. Fractura de cabeza de radio
2. Rotura de membrana interosea (migra distalmente)
3. luxacion de articulacion radio-cubital distal

Mecanismo de accion de esta fractura
Carga axial

Tratamiento de esta fractura
Reparacion o sustitucion de cabeza radial

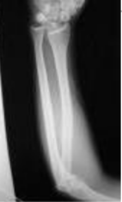
Tipo de fractura en esta rx
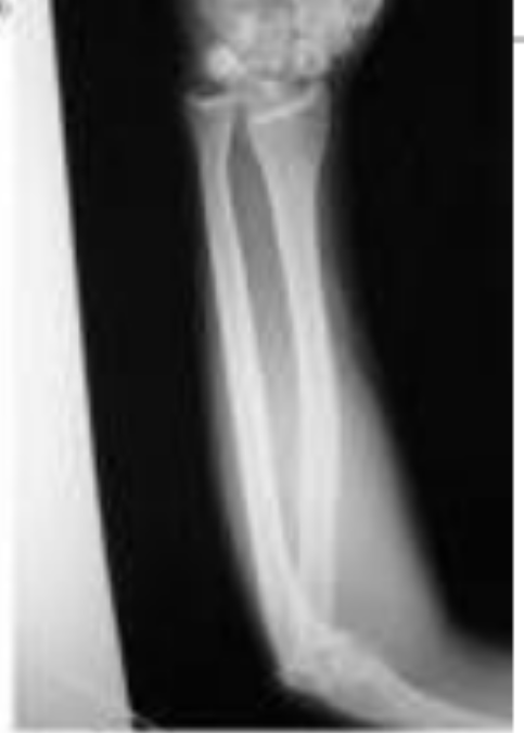
Fractura de bastonazo
Rotura aislada del cubito (por golpe directo)

Tratamiento
Placas de compresion dinamicas
Clavo endomedular para fx patologicas

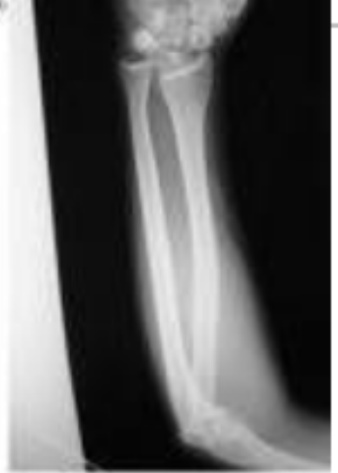
Tratamiento de esta fractura
Reduccion cerrada e inmvolizacion (es niño. no es necesario nada mas)
Yeso braquipalmar moldeado con rotacion neutra con codo a 90°

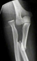
Tipo de fractura en esta rx
Fractura Monteggia anterior (tipo 1)

Mecanismo de lesion de esta fractura
Caída sobre mano extendida con antebrazo en pronación
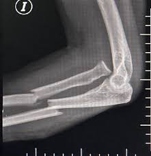
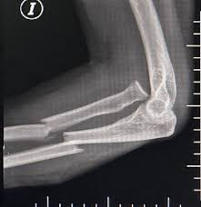
Tipo de fractura en esta rx

Fractura de Monteggia posterior (tipo 2)
Mecanismo de lesion de esta fractura

Trauma directo o lesión de alta energía del antebrazo
CARGA AXIAL CON CODO FLEXIONADO
Tipo de fractura

Fractura de Monteggia tipo 3 (lateral)
Mecanismo de lesion de esta fractura

Trauma directo al antebrazo o codo, abduccion forzada

Fractura en esta rx
Fractura Monteggia tipo 4

Mecanismo de lesion de la fx
Trauma de alta energía o caída con antebrazo en pronación
PRONACIÓN FORZADA
Tratamiento de fractura de Monteggia
Fijar el cubito con placa (regresa el radio a su lugar), reparacion de ligamentos