1/27
Looks like no tags are added yet.
Name | Mastery | Learn | Test | Matching | Spaced | Call with Kai |
|---|
No study sessions yet.

Erythrocyte

Erythrocyte

Erythrocyte

Platelets

Platelets

Platelets

Monocytes

Monocytes

Monocytes

Lymphocytes

Lymphocytes

Lymphocytes

Eosinophils

Eosinophils

Eosinophils

Neutrophils

Neutrophils

Neutrophils

Basophils

Basophils

Basophils
Neutrophils
Fine light-purple granules
Nucleus single to five lobes (highly variable)
Immature neutrophils, called bands, have a single C-shaped nucleus
Mature neutrophils, called segs, have a lobes nucleus
Often called polymorphonuclear leukocytes when older
Eosinophils
Coarse reddish granules
Nucleus usually bilobed
Basophils
Coarse deep blue to almost black granules
Nucleus often almost hidden by granules
Lymphocytes
Slightly larger that RBC’s
Thin rim of nearly clear cytoplasm
Nearly round nucleus appears to fill most of cell in smaller lymphocytes
Larger lymphocytes hard to distinguish from monocytes
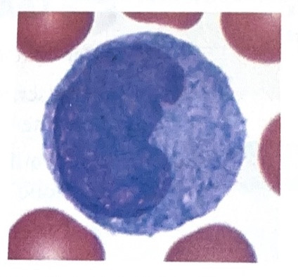
Monocytes
Largest WBC; 2-3X larger than RBCs
Cytoplasm nearly clear
Nucleus round, kidney-shaped, oval, or lobed
Platelets
Cell fragments
Single to small clusters
Erythrocytes
Lack nucleus (mature cell)
Biconcave discs
Thin centers appear almost hollow