1/9
Looks like no tags are added yet.
Name | Mastery | Learn | Test | Matching | Spaced | Call with Kai |
|---|
No analytics yet
Send a link to your students to track their progress

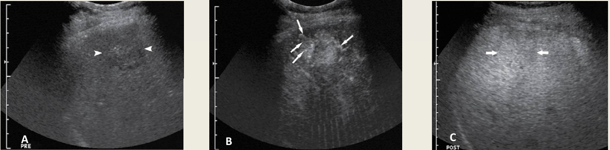
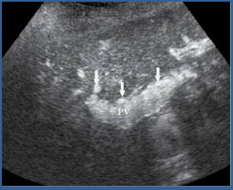
what lesion is this on CEU?
FNH

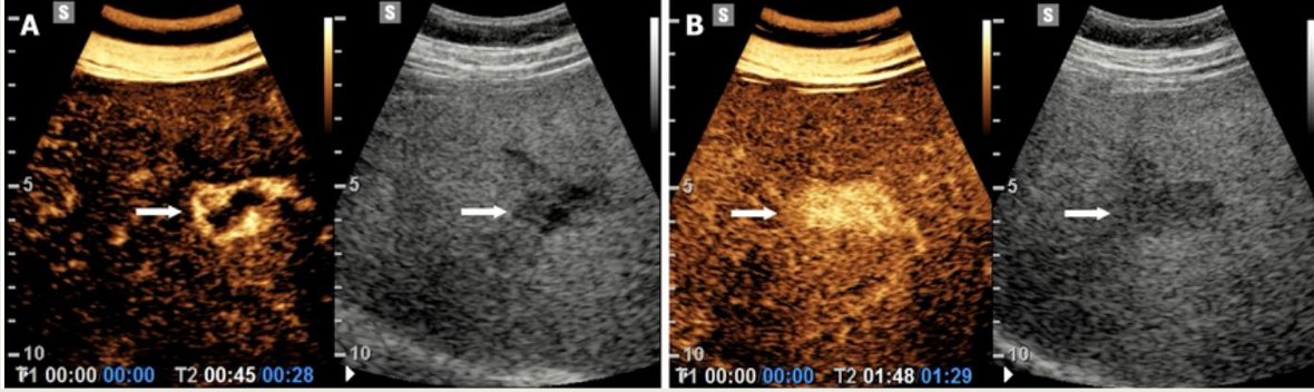
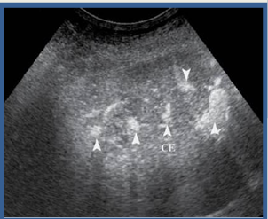
what lesion is seen on this CEU?
HCC

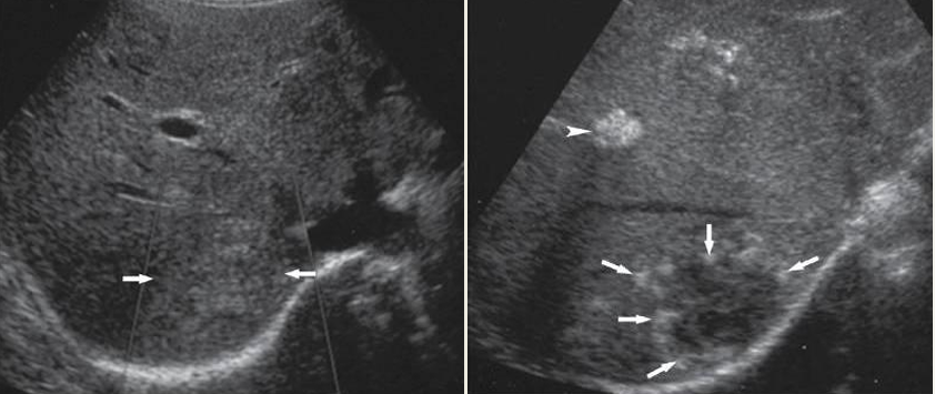
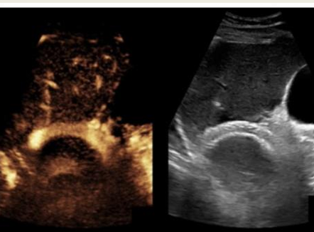
what lesion is seen on this CEU?
Hemangiomas

what lesion is this?
hemangiomas

what phase is this
arterial or early vascular

what phase is this
portal venous phase

what phase is this
late vascular phase

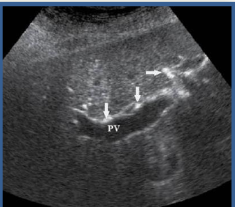
patent TIPS

clotted TIPS

what is happening in this image?
rupture of microbubbles