1/34
Looks like no tags are added yet.
Name | Mastery | Learn | Test | Matching | Spaced | Call with Kai |
|---|
No analytics yet
Send a link to your students to track their progress

What kingdom and phylum is the does following preserved specimen?
Kingdom: Plantae
Phylum:Cycadophyta
common name is Cycads
What is the phylum of Gingko biloba?
Phylum: Gingkophyta

Look at the Ginkgophyta Turtox Chart
no structure needed to know

Look at the Coniferophyta specimen

Look at the Coniferophyta specimen

Identify the following structures from the Turtox Chart
Cones – male
1. Microsporangium
2. Gametophyte – male
Cones – female
1. Megasporangium
2. Megaspore mother cells
3. Gametophyte – female Sporophyte
4. Microsporagium (male)
9. Male Gametophyte
14. Megasporangium (female)
15. Megaspore mother cell
19. Female Gametophyte
Sporophyte

Look at the Gnetophyta preserved specimen 1

Look at the Gnetophyta preserved specimen 2

Look at the Gnetophyta preserved specimen 3
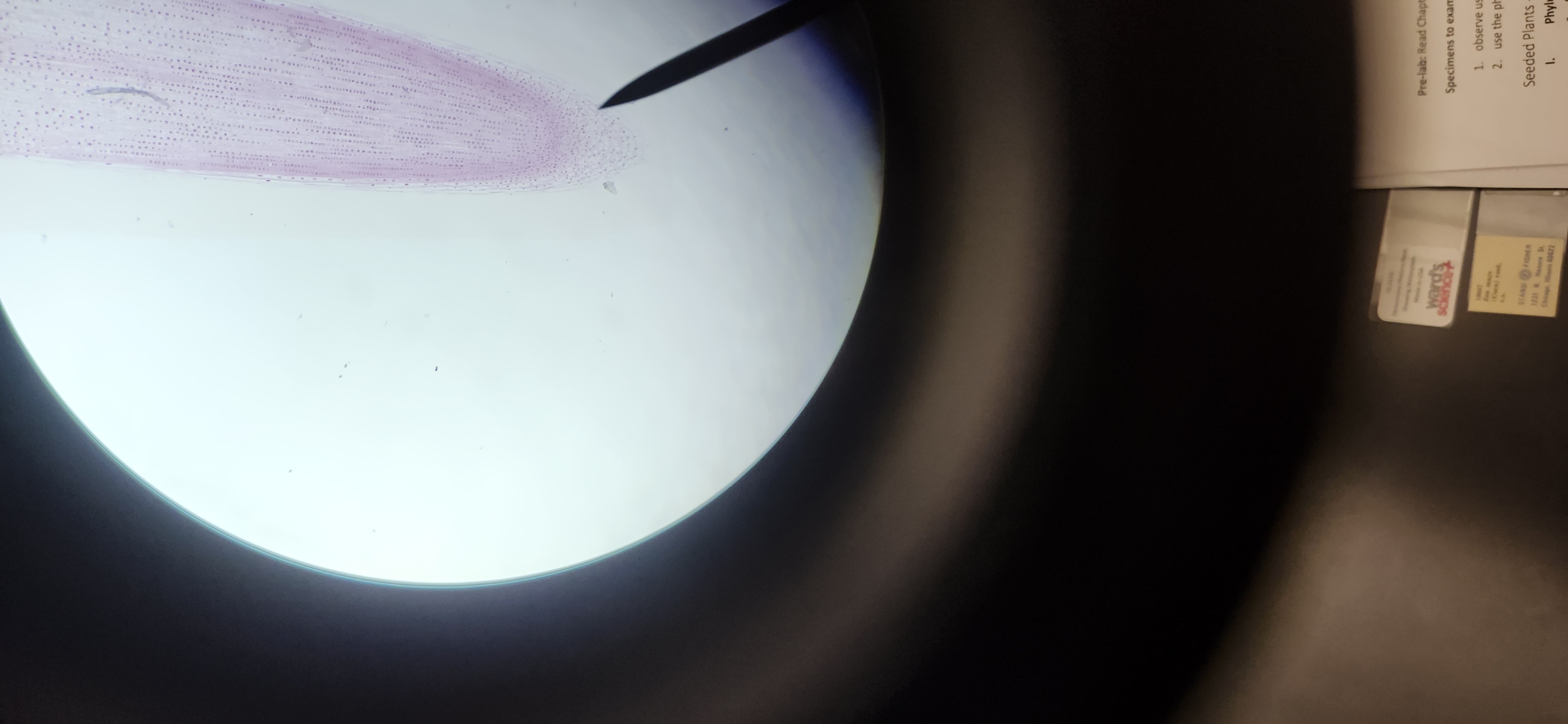
What is the phylum and genus of ls monocot root we say?
Kingdom Plantae
Phylum: Anthophyta
Genus: Allium

What is the kingdom, phylum, and genus of the organism in the picture?
Kingdom: Plantae
Phylum: Anthophyta
Genus: Allium
Identify the following structures from the Turtox Chart 68: Monocot vs. Dicot for Phylum: Anthophyta, Genus: Monocot Root - Allium
Maturation region
Elongation region
Root cap
Root hairs
Maturation region
13. Elongation region
11.Root cap
15.Root hairs

What is the kingdom, phylum, and genus of the organism?
Kingdom: Plantae
Phylum: Anthophyta
Genus: Zea

Identify the following structure from the Turtox chart – CR 75 #F - Lilium
Epidermis
Parenchyma
Endodermis – barrier for entry into plant
Stele
Xylem
Phloem
9. Epidermis
Parenchyma
4.Endodermis – barrier for entry into plant
Stele
3. Xylem
2. Phloem
What is the phylum and genus of the dicot root we covered in class?
Phylum: Anthophyta
Genus: Helianthus or Ranunculus

What is the phylum and genus of organism?
Phylum: Anthophyta
Genus: Helianthus or Ranunculus

Identify the following structures on the Dicot Root - Helianthus or Ranunculus - Turtox chart – CR 74, CR 75)
Epidermis
Cortex
Endodermis – barrier for entry into plant
Stele
Xylem
Phloem
18. Epidermis
16. Cortex
20/27.Endodermis – barrier for entry into plant
17. Stele
22. Xylem
25Phloem

What is the kingdom, phylum, and genus of the organism?
Kingdom: Plantae
Phylum: Anthophyta
Genus: Zea

Identify the following structures on the Monocot Stem - Zea mays (c.s.) – (slide, Turtox chart – CR 73.6, CR 69)
Epidermis
Parenchyma cells
Vascular bundles (monkey faces)
Sclerenchyma
Xylem
Phloem
Air space
CR 69
3. Epidermis
1.Parenchyma cells
2. Vascular bundles (monkey faces)
13.Sclerenchyma
11. Xylem
8. Phloem
14. Air space

What is the kingdom, phylum, and genus of the organism?
Kingdom: Plantae
Phylum: Anthophyta
Genus: Medicago or Helianthus

Identify the following structures on the Dicot Stem - Medicago or Helianthus (c.s.) (slide)
(Turtox chart – CR 73.5)
Epidermis
Vascular bundles
Phloem
Xylem
Pith
14. Epidermis+
4+8 Vascular bundles
8.Phloem
4.Xylem
1.Pith

What is the Kingdom, phylum, and genus of the organism?
Kingdom: Plantae
Phylum: Anthophyta
Genus: Zea

What part of Zea mays are we looking at?
the leaf

Identify the following structures on the Monocot Leaf - Zea mays (c.s.) – (slide)
Upper epidermis
Lower epidermis
Mesophyll
Stomata
Vascular bundles
Xylem
Phloem
Upper epidermis
Lower epidermis
Mesophyll all the soft tissue between the epidermises
Stomata on the epidermis places that look like they are caving’
Vascular bundles
Xylem
Phloem

What is the Kingdom, phylum, and genus of the organism?
Kingdom: Plantae
Phylum: Anthophyta
Genus: Syringa

What part of the Syringa organism are we looking at
a cross section of the leaf

Identify the following structures on the Dicot Leaf - Syringa (c.s.) – (slide)
Upper epidermis
Lower epidermis
Mesophyll
Palisade cells
Spongy cells
Stomata
Vascular bundles
Xylem
Phloem
Upper epidermis
Lower epidermis
Mesophyll (anything soft tissue between the epidermis)
Palisade cells (columnar looking cells)?
Spongy cells ( green cells below the palisades cells)
Stomata (red portions on the right they look like the epidermis is caving in)
Vascular bundles (the red big cells that look like adipose)
Xylem (adipocytes looking things)?
Phloem (small cuboidal cells that follow the adipocyte looking cells)?

Identify the following structures on the Flowers – (fresh specimens, model, Turtox chart – CR 70, CR 71)
Calyx
Sepals
Corolla
Petals
Pistil
Stigma
Style
Ovary
Ovule
Stamen
Anther
Filament
Turtox chart – CR 70
12. Calyx (are both sepals)
11. Sepals
2. Corolla
1. Petals
10. Pistil (a combination of the stigma, style, and ovary;also known as the carpel)
7. Stigma
8. Style
9. Ovary
Ovule (not labeled, 6 balls in the ovule)
5. Stamen (3=4)
3. Anther
4.Filament

Identify the following structures on the Flowers – (fresh specimens, model, Turtox chart – CR 70, CR 71)
Calyx
Sepals
Corolla
Petals
Pistil
Stigma
Style
Ovary
Ovule
Stamen
Anther
Filament
Turtox chart – CR 71
Calyx (not label, but it is both sepals)
20. Sepals
Corolla (the sumation of petals, but there are no petals)
Petals (no petals)
4. Pistil
1. Stigma
2. Style
3. Ovary
5. Ovule
14. Stamen
12. Anther
13. Filament

look at the model try to identify the following structures
Calyx
Sepals
Corolla
Petals
Pistil
Stigma
Style
Ovary
Ovule
Stamen
Anther
Filament

Look at the flower structures

Identify the structures listed below on both the flower and the tomatoe
Ovary
Stigma
Ovules

Look Turtox chart – CR 68
Look at the Monocot and Dicot plants and compare their structures

Identify the following structures on Fruit – (fresh specimen: tomato, apple, or string bean); Turtox chart – CR 71.3
Ovary
Stigma
Ovules
For the most part the ovary is the sweet flesh part we consume and the ovules are the seeds
State whether the following organisms are monocot or dicot
Zea mays - Corn
Lilium - Lily
Allium- Onion
Medicago – Alfalfa
Rananculus – Buttercup
Helianthus – Sunflower
Syringa – Lilac
Quercus – Oak
Tilia - Basswood
