1/17
UT 607A - Gynecology Sonography 1
Name | Mastery | Learn | Test | Matching | Spaced | Call with Kai |
|---|
No analytics yet
Send a link to your students to track their progress
Which is not a muscle of the pelvis?
a. Piriformis
b. Levator ani
c. Pectoralis
d. Psoas
Pectoralis
The vagina is directed upwards and backwards forming a ______degree angle.
a. 70
b. 90
c. 20
d. 40
90
The fallopian tubes enter the fundus of the uterus at the:
a. Cervix
b. Isthmus
c. Apex
d. Cornua
Cornua
Which ligament attaches the ovary to the lateral pelvic sidewall?
a. Ovarian
b. Suspensory
c. Mesovarium
d. Tunica albuginea
Suspensory
The ovary has dual blood supply via the:
a. Aorta and renal artery
b. External iliac and internal gonadal arteries
c. Aorta and uterine artery
d. Vaginal and external iliac arteries
Aorta and uterine artery
Which of the following is NOT a pelvic floor muscle?
a. Pubococcygeus
b. Iliococcygeus
c. Puborectalis
d. Psoas
Psoas
Which uterine variant is where the uterus tips toward the abdominal wall?
a. Retroflexed
b. Anteverted
c. Levoflexed
d. Retroverted
Anteverted

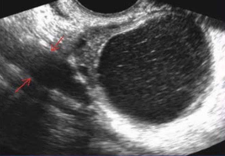
What is the structure the arrows are pointing to?
a. Ovary
b. Iliac artery
c. Psoas muscle
d. Fallopian tube
Psoas muscle
What are typical ovarian measurements during menarche?
a. 2 x 1 x 0.5 cm
b. 3.5 x 2 x 1 cm
c. 8 x 5 x 2 cm
d. 4 x 3 x 2 cm
3.5 x 2 x 1 cm
The left ovarian vein drains into:
a. Left uterine vein
b. IVC
c. Left renal vein
d. Left internal iliac vein
Left renal vein
What part of the endometrium is the inner most layer?
a. Functional zone
b. Basal zone
c. Perimetrium
d. Myometrium
Functional zone
What is a normal menarchal length measurement of the uterus?
a. 1-3 cm
b. 6-8 cm
c. 3-5 cm
d. 10-12 cm
6-8 cm
Which structure are fornices associated with?
a. Fallopian tubes
b. Ovaries
c. Uterus
d. Cervix
Cervix

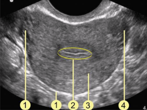
What structure is #3?
a. Bladder
b. Cervix
c. Uterus
d. Rectum
Cervix

Which uterine layer is #2?
a. Myometrium
b. Perimetrium
c. Cornua
d. Endometrium
Endometrium
Which of the following is an organ found in the true pelvis?
a. Ascending colon
b. Common iliac vessels
c. Transverse colon
d. Urinary bladder
Urinary bladder
Which of the following muscles is located in the false pelvis?
a. Levator ani
b. Coccygeus
c. Iliacus
d. Obturator internus
Iliacus

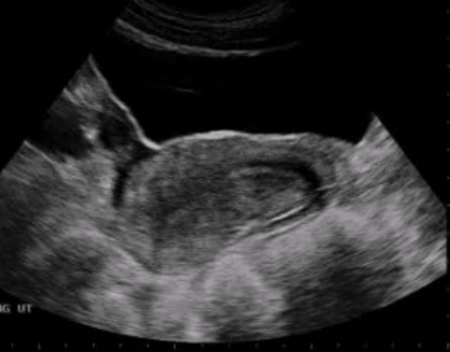
What position is this uterus in?
a. Anteverted
b. Retroverted
c. Anteflexed
d. Retroflexed
Retroverted