1/17
Insuline en Glucagon
Name | Mastery | Learn | Test | Matching | Spaced | Call with Kai |
|---|
No analytics yet
Send a link to your students to track their progress
Pancreas

Endocriene functie (Hormonen)
Dit gebeurt in kleine eilandjes van cellen die verspreid liggen door de pancreas: de Eilandjes van Langerhans.
Wat doet het? Het meet continu je bloedsuikerspiegel en maakt hormonen om die stabiel te houden.
Waar gaat het heen? Direct in de bloedbaan.
De Hormonen:
Insuline (uit Bèta-cellen): Wordt gemaakt als je bloedsuiker hoog is (na het eten). Het zorgt ervoor dat cellen suiker opnemen (bloedsuiker daalt).
Glucagon (uit Alfa-cellen): Wordt gemaakt als je bloedsuiker laag is (bij honger). Het zorgt ervoor dat de lever voorraadsuiker vrijgeeft (bloedsuiker stijgt).
Kortom:
Exocrien: Helpt voedsel verteren (enzymen naar darm).
Endocrien: Regelt je bloedsuiker (insuline/glucagon naar bloed).
Verschillende type cellen in Pancreas (eilandjes van Lagerhans)
1. Alpha cellen (a-cellen_
Produceren: Glucagon.
Functie: Verhoogt de bloedsuikerspiegel.
Wanneer je bloedsuiker te laag is (bijv. bij honger), geeft glucagon de lever opdracht om opgeslagen suiker (glycogeen) vrij te maken in het bloed.
2. Beta cellen (b-cellen)
Produceren: Insuline.
Functie: Verlaagt de bloedsuikerspiegel.
Wanneer je bloedsuiker te hoog is (na het eten), zorgt insuline ervoor dat je lichaamscellen (spier, vet, lever) de suiker opnemen uit het bloed.
3. Delta cellen
Produceren: Somatostatine.
Functie: De "Scheidsrechter" of Regelaar.
Het remt de afgifte van zowel insuline als glucagon. Het zorgt ervoor dat de andere cellen niet te hard werken en houdt de balans stabiel.
4. F cellen (ook wel PP-cellen)
Produceren: Pancreatisch Polypeptide.
Functie: Regelt de spijsvertering.
Het speelt een rol bij het remmen van de afgifte van spijsverteringsenzymen (exocriene functie) en galblaascontracties. Het helpt ook bij het reguleren van de eetlust.
Bloedglucose homeostase

Insuline (Beta-cellen): Verlaagt bloedsuiker (opslag).
Glucagon (Alpha-cellen): Verhoogt bloedsuiker (vrijmaken). Samen houden ze de wipwap in evenwicht rond het paarse bolletje (Homeostasis).

Type I diabetes
→ auto-immuunziekte
Betekent dat immuunsysteem zich vergist en eigen gezonde cellen aanvalt
Virale infectie kan de trigger zijn:
→ immuunsysteem leert om dit virus te herkennen en aan te vallen, maar de bètacellen lijken sterk op die eiwitten → permanente vernietiging van bètacellen
→ bèta cellen zijn de enige die insuline produceren → absoluut insulinetekort
→ zonder insuline kunnen lichaamscellen geen glucose (suiker) meer opnemen uit het bloed (herkent niet meer)
→→ gevolg: bloedsuiker stijgt extreem (Hyperglykemie) en de cellen verhongeren

Type 2 diabetes
→ de langzame slijtageslag
Fase 1: Insuline Resistentie (De "Dove" Cellen): In het begin maakt de alvleesklier nog genoeg insuline (soms zelfs te veel). Het probleem is dat de cellen (spier, lever, vet) niet luisteren. De "sloten" op de cellen zijn verroest; insuline krijgt de deur niet open.
Fase 2: De Compensatie & Burn-out: Om de suiker toch de cel in te krijgen, gaan de bètacellen harder werken ("overwerken") om nog meer insuline te maken. Dit houden ze een tijdje vol, maar uiteindelijk raken ze uitgeput.
Fase 3: Deficiëntie: De overwerkte bètacellen sterven af of stoppen met werken ("gaan kapot"). Nu is er, net als bij Type 1, uiteindelijk te weinig insuline (deficiëntie). Op dit punt moet een patiënt vaak insuline gaan spuiten.
2. Waarom geen Ketoacidose?
Geleidelijk: Omdat de bètacellen niet in één keer doodgaan (zoals bij Type 1), ontstaat de ziekte langzaam over jaren.
De Rem op Ketonen: Zelfs als de cellen resistent zijn, is er meestal nog wel een klein beetje insuline aanwezig in het bloed.
Dit beetje insuline is niet genoeg om je bloedsuiker perfect te regelen (daarom heb je diabetes),
MAAR het is wel genoeg om de vetverbranding te remmen.
Gevolg: Omdat je vetten niet massaal worden afgebroken, ontstaan er geen ketonen en verzuurt je bloed niet (geen ketoacidose).
3. De Oorzaken: Genen en Gewicht
Genetica: Type 2 is sterk erfelijk. Als je ouders het hebben, is jouw kans groot. Je erft de aanleg voor zwakkere bètacellen of insulineresistentie.
Overgewicht (Visceraal vet): Dit is de belangrijkste trigger.
Vooral buikvet is actief weefsel dat ontstekingsstofjes maakt. Deze stofjes zorgen ervoor dat je cellen doof worden voor insuline (resistentie).
Daarom is afvallen vaak de eerste en beste behandeling: minder vet = minder resistentie = de alvleesklier hoeft minder hard te werken.
Samenvatting: Type 2 is een slijtageslag. Het begint met resistentie (door overgewicht/genen), waardoor de alvleesklier zich overwerkt. Omdat er altijd nog wel een beetje insuline is, krijg je geen ketoacidose, maar uiteindelijk gaan de cellen wel kapot en ontstaat er een tekort.
Diabetische Ketoacidose (DKA)
= kan een gevolg zijn van type I Diabetes
Het Probleem (Geen Insuline): Omdat er geen insuline is, kunnen je cellen geen suiker opnemen. Het suiker blijft in je bloed (hyperglykemie), maar je cellen verhongeren.
De Noodoplossing (Vetverbranding): In paniek gaat je lichaam massaal vetten (lipiden) afbreken om toch aan energie te komen.
Het Gif (Ketonen): Bij die snelle vetverbranding komen afvalstoffen vrij: Ketonen.
Ketonen zijn zuren.
Omdat er te veel ketonen in het bloed komen, daalt de pH-waarde van je bloed. Je bloed wordt zuur (acidose).
Het gevolg: Je lichaam kan niet functioneren met zuur bloed. Dit leidt tot uitdroging, braken, een "fruitige" ademgeur (door de ketonen), coma en uiteindelijk shock.
Hoe heeft obesitas effect op diabetes type 2?
1. De Normale Situatie (De Blauwe Route)
De Sleutel: Insuline bindt aan de Insulin Receptor (de blauwe poortwachter in het membraan).
Het Signaal: Dit zet een kettingreactie in gang binnenin de cel (de pijltjes via IRS-1 naar PI(3)K naar Akt).
Het Resultaat: Het commando wordt gegeven aan Glucose Transport (het rode rondje linksonder). Dit kanaal (GLUT4) gaat naar de rand van de cel om glucose binnen te laten.
2. De Verstoorder: Vrije Vetzuren (De Zwarte Lijn)
Bovenaan zie je met grote letters "Vrije vetzuren" staan.
De Bron: Deze komen uit vetweefsel. Mensen met obesitas (vooral buikvet) hebben veel meer van deze vrije vetzuren in hun bloed zwemmen.
De Blokkade: Kijk naar de zwarte lijn met het platte dwarsstreepje (T-bar). Dit betekent inhibitie (remming).
Het Effect: De vetzuren dringen de cel binnen en blokkeren het signaal van de receptor naar de binnenkant van de cel (ter hoogte van IRS-1 en PI(3)K).
3. De Conclusie: Insuline Resistentie
Dit plaatje verklaart precies wat insulineresistentie is:
Er is wel insuline.
De insuline bindt ook gewoon aan de receptor (de bel doet het).
MAAR: Door de vrije vetzuren wordt de telefoondraad binnenin de cel doorgeknipt.
Gevolg: Het signaal komt nooit aan bij het glucosekanaal. De deur blijft dicht, en de suiker blijft in het bloed $\rightarrow$ Diabetes.

Complicaties van Diabetes Mellitus
- diabetische voet, bloedcirculatie verslechterd, met name ver weg van het hart
- schade aan het hart, met name kransslagader (cardiopathie)
- schade aan zenuwen (neuropathie), bijvoorbeeld niet door hebben van het trappen in een spijker
Opbouw zenuwen
1. De "Verpakking" (Bindweefsel)
Net als een elektriciteitskabel heeft een zenuw verschillende beschermlagen:
Epineurium: De buitenste laag die de gehele zenuw bij elkaar houdt.
Perineurium: De laag die bundels van zenuwvezels (fascikels) omhult.
Endoneurium: De binnenste, dunne laag die elk individueel axon (zenuwvezel) inpakt.
2. De "Bedrading" (Axonen & Isolatie)
Axon: De lange uitloper die het signaal verstuurt.
Myeline (Schwann cell): De isolatielaag om het axon heen. In het ingezoomde cirkeltje zie je dat een Schwann-cel zich als een pannenkoek om het axon wikkelt om myeline te vormen. Dit zorgt ervoor dat signalen razendsnel verstuurd worden.

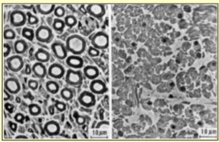
Perifere neuropathie

1. De Kern van het Probleem: Verminderde Myelinisering
De tekst zegt: "-> verminderde myelinisering".
Dit is direct te zien als je de twee plaatjes met elkaar vergelijkt:
Linker plaatje (Gezond): Je ziet heel veel duidelijke, dikke zwarte cirkels.
Dit zijn de myelineschedes (de isolatielaag) om de zenuwvezels heen. Ze zijn intact en dik, waardoor signalen snel verstuurd worden.
Rechter plaatje (Ziek/Neuropathie): Je ziet bijna geen zwarte cirkels meer.
De isolatie is verdwenen of heel dun geworden ("verminderd").
Het weefsel ziet er rommelig uit. Zonder deze isolatie lekt de elektriciteit weg en komt het signaal niet goed aan.
2. De Symptomen (Gekoppeld aan de functie)
De tekst somt vier symptomen op die ontstaan doordat de isolatie wegvalt. Omdat een zenuw vaak gemengd is (zowel draden voor beweging als voor gevoel), krijg je problemen op beide vlakken:
A. Motorische Problemen (Beweging): De signalen van je hersenen naar je spieren komen niet aan.
Verlamming: De spier krijgt geen commando meer om samen te trekken en doet niks meer.
Kramp: Soms 'vuren' de beschadigde zenuwen juist per ongeluk willekeurige signalen af, waardoor de spier in de kramp schiet.
B. Sensorische Problemen (Gevoel): De signalen van je huid naar je hersenen komen niet aan of worden vervormd.
Sensorisch verlies: Je voelt aanraking of temperatuur niet meer goed (doof gevoel).
Pijn: Dit noemen we neuropathische pijn. De beschadigde draadjes sturen foute signalen naar de hersenen die worden geïnterpreteerd als brandende of schietende pijn, terwijl er aan de buitenkant niets te zien is.
Wat is er gebeurt met deze zenuwen?
→→ segmentaire demylinisatie
Segmentaire demylinisatie
1. De Normale Situatie (Links: "Normal")
Kijk eerst naar de linker zenuw. Dit is hoe het hoort:
Axon: De dunne lijn in het midden loopt ononderbroken door van het cellichaam (boven) naar de spier (onder).
Schwann Cell / Myeline: Je ziet dikke, worst-achtige blokken om het axon heen. Dit zijn de Internodes. Ze isoleren de zenuw.
Node of Ranvier: Tussen de blokken myeline zitten kleine openingen. Het signaal springt van opening naar opening. Dit zorgt voor super snelle geleiding.
2. De Ziekte (Rechts: "Segmental Demyelination")
Kijk nu naar het rechter plaatje. Hier zie je wat er gebeurt bij segmentaire demyelinisatie (zoals bij het Guillain-Barré syndroom):
Het Axon is Intact: Dit is cruciaal! Kijk naar de dunne centrale lijn. Die is niet gebroken. De verbinding tussen hoofd en spier bestaat fysiek nog steeds.
De Myeline is weg: Kijk naar de plekken waar links de dikke blokken zaten. Rechts zie je dat de Schwann cellen kapot zijn gegaan.
De isolatie is verdwenen of afgebrokkeld (je ziet kleine kruimeltjes/stippjes langs de draad).
Dit gebeurt in "segmenten" (stukjes), vandaar de naam.
3. Het Gevolg (Functieverlies)
Omdat de isolatie weg is op bepaalde stukken, "lekt" de elektrische stroom weg.
Het signaal kan niet meer springen van knoop naar knoop.
Resultaat: Het signaal wordt heel traag of stopt helemaal (conductieblokkade). De spier onderaan krijgt geen bericht meer en verlamt.
4. Het Goede Nieuws (Herstel)
Omdat het Axon (de draad) nog heel is, is herstel vaak goed mogelijk.
De Schwann-cellen kunnen delen en nieuwe myeline maken.
Ze gebruiken het intacte axon als "rails" om weer netjes omheen te groeien.
Dit heet remyelinisatie.

Snelheid: Vertraagd.
Normaal springt het signaal razendsnel van knoop naar knoop (saltatoire geleiding).
Zonder myeline moet het signaal het hele stuk "kruipen" langs het membraan. Dit gaat veel langzamer.
Sterkte: Blijft (grotendeels) behouden.
Het signaal komt wel aan, maar het komt gewoon veel later aan.
Let op: Als de schade heel erg is, kan het signaal onderweg uitdoven (conductieblokkade), maar het hoofdkenmerk is vertraging.
Axon degeneratie

1. De "Koperdraad" is kapot
Kijk naar de rechterkant ("Axonal Degeneration"):
Het Axon: In tegenstelling tot het vorige plaatje, zie je hier dat de dunne centrale lijn onderbroken en verbrokkeld is.
De zenuwvezel valt in losse stukjes uiteen. De verbinding tussen het cellichaam (boven) en de spier (onder) is fysiek verbroken.
2. Secundaire Schade aan Myeline
Omdat de draad (het axon) sterft, heeft de isolatie (myeline) niks meer om zich aan vast te houden.
De Schwann-cellen en de myeline breken daardoor ook af.
Let op het verschil: Bij het vorige plaatje was de myeline het doelwit. Hier is de myeline-schade een gevolg van de axon-schade.
3. Het Gevolg voor de Spier (Atrofie)
Kijk naar de spier onderaan ("Muscle"):
Links (Gezond): Een dikke, gestreepte spier.
Rechts (Ziek): De spier is verschrompeld en dunner geworden.
Waarom? Een spier heeft signalen nodig om 'fit' te blijven. Als de draad doorgeknipt is, krijgt de spier totaal geen prikkels meer ("denervatie"). De spier verliest massa en kracht (spieratrofie).
4. Herstel (Moeilijk)
Dit type schade is veel ernstiger dan demyelinisatie.
Als de "isolatie" kapot is, repareer je dat snel.
Maar als de "draad" kapot is, moet deze helemaal opnieuw uitgroeien vanuit het cellichaam bovenin. Dit gaat heel langzaam (ongeveer 1 mm per dag). Als de afstand te groot is, herstelt het nooit meer volledig.
Snelheid: omlaag
Sterkte: Verlaagd (Zwakker).
Omdat er fysiek minder draden zijn, komen er minder signalen aan bij de spier. De totale "som" van de reactie (amplitude) is veel lager.
Wallerian (actieve) degeneratie (Wallerse)
1. De Oorzaak: De "Knip"
Hoewel je de knip zelf niet ziet in het plaatje, is Wallerse degeneratie altijd het gevolg van een breuk tussen het cellichaam (boven) en de rest van de draad. Het deel onder de breuk (distaal) wordt afgesneden van zijn voedingsbron en sterft af.
2. Het Cellichaam: Chromatolyse (Bovenin)
Kijk goed naar het verschil in de "kop" van de zenuwcel (Nerve Cell Body):
Links (Normaal): De kern (nucleus) zit netjes in het midden.
Rechts (Wallerian): De cel is opgezwollen en de kern is naar de zijkant geduwd.
Dit proces heet Chromatolyse. Het is een teken dat de cel in de "reparatiestand" gaat. Hij gaat keihard eiwitten maken om te proberen de draad weer aan te groeien.
3. Het Axon: Fragmentatie (Midden)
Het stuk axon dat los is gekomen van het lichaam, valt in kleine stukjes uiteen.
Je ziet in het plaatje dat de doorlopende lijn veranderd is in losse brokstukken en druppels. Het skelet van de cel zakt in elkaar.
4. De Myeline: Opruimen (Omhulsel)
Omdat de draad weg is, hebben de Schwann-cellen niets meer om te isoleren.
De myeline breekt op in vetdruppels (de onregelmatige klonten die je ziet in de buis).
Opruimdienst: Macrofagen (immuuncellen) komen dit afval opruimen. Dit is essentieel, want alleen als de buis schoon is, kan de zenuw later weer teruggroeien.
5. De Spier: Atrofie (Onderin)
Net als bij het vorige plaatje zie je dat de spier onderaan verschrompelt (Muscle atrofie) omdat hij geen signalen meer krijgt.

snelheid = omlaag
sterkte = sterk verlaagd, signaal kan niet meer aankomen bij de spier
Diabetische perifere neuropathie
→ het afsterven van de langste zenuwen (axonale degeneratie) en hun isolatie (demyelinisatie) door een gebrek aan zuurstof en suiker-vergiftiging. Dit leidt tot het klassieke beeld van gevoelloze, pijnlijke voeten.
- met name sensorisch (pijn, kou, aanraking)
- kleinere en grotere vezels worden beschadigd
- met name distaal vindt het als eerste plaats en verder geleidelijk

Paranodale demylinisatie - Wallerse degeneratie
→ bewijst dat bij diabetes de zenuwschade begint met het loslaten en afbreken van de isolatie (myeline) rondom de knooppunten. Hierdoor kan het signaal niet meer springen, vertraagt het, en uiteindelijk sterft de hele zenuwvezel af. Dit verklaart waarom patiënten eerst tintelingen voelen (verstoord signaal) en later gevoelloosheid (geen signaal).

Pathogenese van Diabetische Perifere Neuropathie (samenvatting)

→ Te veel suiker vergiftigt de zenuwcel direct. Eerst zorgt dit voor functionele problemen (elektrische storing/pijn), maar op lange termijn zorgt het voor structurele afbraak van zowel de isolatie als de zenuwvezel zelf.
Type I Diabetes - behandeling
Eilandjes van Langerhans van donor getransporteert naar patiënt
Werkt alleen bij type 1 diabetes
-> en genetisch vergelijkbare donoren zijn nodig, anders wordt het afgebroken (dus niet ideaal)
Betere therapie:
- patiënt behandelen met eigen cellen, vetcellen worden chemisch geprogrammeerd naar eilandjes van Lagerhans
-> kunnen vervolgens reageren op bloed en insuline afgeven
Veelbelovende ontwikkeling
Vooral in NL:
-> kunstmatige alvleesklier
Type II Diabetes - behandeling
GLP-1 receptor agonist (Ozempic), zorgt ervoor dat functie GLP-1 stimuleert wordt
-> insuline stimulatie extra geïnduceerd, nog meer insuline productie
-> glucagon geremd
Maar ook negatieve effecten:
- glucose in het bloed verlaagd
- meer vet geproduceerd
- lever gaat minder produceren
- verzadigingsgevoel wordt sterk verminderd, maaglediging ook geremd
- misselijkheid, diarree
- serieuze terugval