HEENT/Clinical reasoning/Documentation PCCR

0.0(0)
studied byStudied by 1 person
0.0(0)
full-widthCall with Kai
GameKnowt Play
New
learnLearn
examPractice Test
spaced repetitionSpaced Repetition
heart puzzleMatch
flashcardsFlashcards
Card Sorting

1/113

encourage image

There's no tags or description

Looks like no tags are added yet.

Study Analytics
Name
Mastery
Learn
Test
Matching
Spaced

No study sessions yet.

114 Terms

1
New cards

Conductive hearing loss

Turn the volume louder on tv

Hear better in noisy environments

Soft speaking voice

Have info repeated often

2
New cards

Sensorineural hearing loss

Not be able to hear in noisy environments

Loud speaky voice

Complain that people are mumbling

Difficulty understanding speech

3
New cards

Menieres disease

Inner ear disorder;

Episodic vertigo lasting 20 min to hours

Tinnitus

Sensorineural hearing loss

Nystagmus

Imbalance

4
New cards

Vertigo

exaggerate sense of motion in response to movement

5
New cards

dizziness

nonspecific term

6
New cards

disequilibrium

feeling of unsteadiness, imbalance, or sensation of floating

7
New cards

syncope

transient loss of consciousness with the loss of tone

8
New cards

peripheral vertigo

sudden, more severe, with horizontal/rotary nystagmus dt dysfunction of cranial nerve 8

9
New cards

central vertigo

gradual, less severe, vertical nystagmus dt to dysfunction of the CNS

10
New cards

Benign Paroxysmal Positional Vertigo (BPPV)

episodic vertigo with head or body movement lasting less than 1 minute dt otoliths in semicircular canals, dx: dix-hallpike to test for nystagmus, tx: epley maneuver

11
New cards

vestibular neuritis

episodic vertigo that's less severe over days causing difficultly walking, and horizontal nystagmus dt inflammation of vestibular nerve after a viral URI

12
New cards

labyrinthitis

Vertigo, UNILATERAL hearing loss, nystagmus dt inflammation of vestibular nerve after a viral URI

13
New cards

Acoustic neuroma

Sensorineural hearing loss and tinnitus dt cranial nerve 8 compression

14
New cards

ROS of the ear

hearing loss, pain, discharge, tinnitus, vertigo, infections, masses/lesions

15
New cards

PMH for the ear

Frequent ear infections during childhood

Trauma

Surgery

Labyrinthitis

Antibiotic usage

Ototoxic medications

16
New cards

FH for the ear

Hearing problems or loss

Menieres disease

17
New cards

SH for the ear

Environmental hazards

Use of protective hearing devices

18
New cards

external ear exam

Inspect auricle, tragus, and posterior ear for deformities, lumps, lesions, redness, swelling

19
New cards

palpate external ear

auricle, tragus, mastoid process for warmth and tenderness

20
New cards

keloid

firm, rubbery, fibrous nodule after piercing or surgery

<p>firm, rubbery, fibrous nodule after piercing or surgery</p>
21
New cards

Chondrodermatitis nodularis helicis

benign, painful nodule on helix looks like BCC/SCC

<p>benign, painful nodule on helix looks like BCC/SCC</p>
22
New cards

Tophi

Hx of gout

Discharge, chalky white nodules

<p>Hx of gout</p><p>Discharge, chalky white nodules</p>
23
New cards

rheumatoid nodules on ear

small lumps on helix and additional areas

<p>small lumps on helix and additional areas</p>
24
New cards

Cutaneous cyst on ear

dome shaped, fluid filled nodule

<p>dome shaped, fluid filled nodule</p>
25
New cards

Inspect ear canal

patency, redness, scaliness, cerumen, discharge, foreign bodies

26
New cards

inspect TM

color, contour, injection, perforation, opacities, deformities, landmarks: handle, short process, and umbo of malleus, incus, pars tensa/flaccida, cone of light

27
New cards

Cerumen impaction

plug of ear wax

<p>plug of ear wax</p>
28
New cards

Otitis externa

Pain with manipulation

After swimming

Itching

Conductive HL dt exudate/swelling

Erythema

<p>Pain with manipulation</p><p>After swimming</p><p>Itching</p><p>Conductive HL dt exudate/swelling</p><p>Erythema</p>
29
New cards

otitis media with effusion

NOT INFECTED

Cracking when yawning

Discomfort/aural fullness

Conductive HL dt to fluid

TM retracted with air bubbles

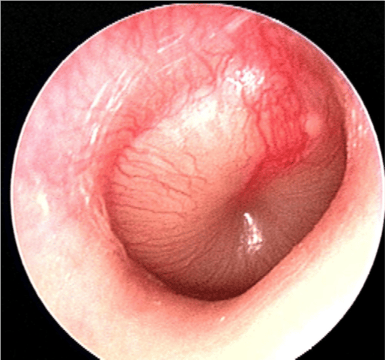
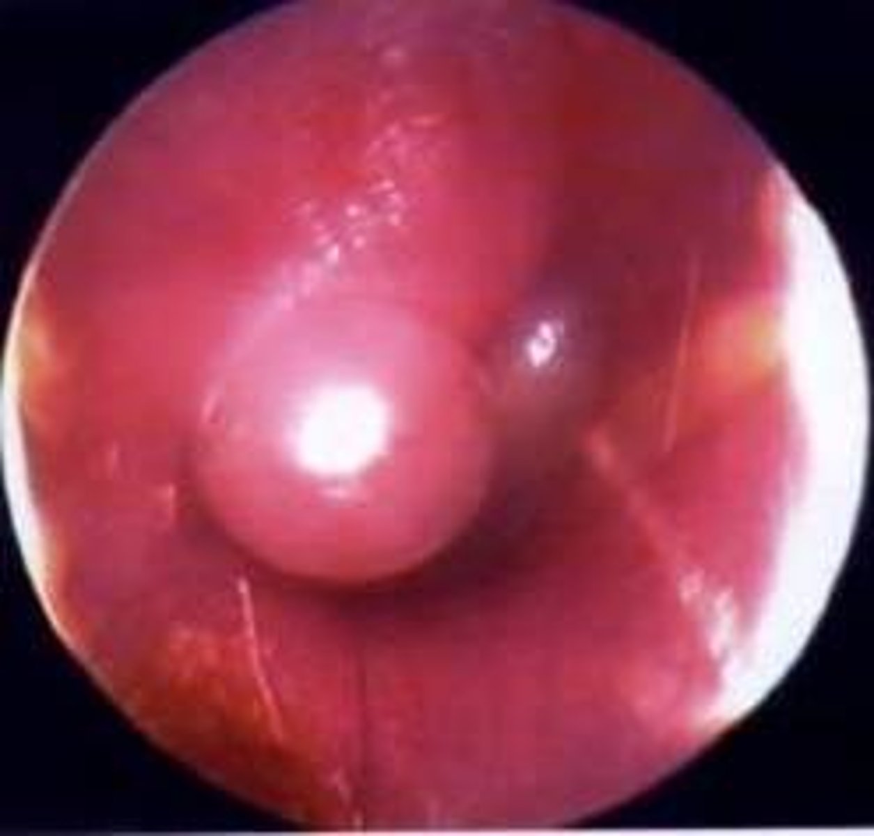
<p>NOT INFECTED</p><p>Cracking when yawning</p><p>Discomfort/aural fullness</p><p>Conductive HL dt to fluid</p><p>TM retracted with air bubbles</p>
30
New cards

Acute otitis media

INFECTION of middle ear

TM bulging

Pain/pulling ear

Conductive HL dt purulent material

Erythema

<p>INFECTION of middle ear</p><p>TM bulging</p><p>Pain/pulling ear</p><p>Conductive HL dt purulent material</p><p>Erythema</p>
31
New cards

Tympansclerosis

white scarring on TM dt ear infection/ear tubes

<p>white scarring on TM dt ear infection/ear tubes</p>
32
New cards

Bullous myringitis

M/C strep pneumoniae

Bullae filled with blood on TM

<p>M/C strep pneumoniae</p><p>Bullae filled with blood on TM</p>
33
New cards

Conductive hearing pathway

Sound travels through auditory canal striking TM causing ossicles to move

34
New cards

Sensorineural hearing pathway

Sound travels through oval window to cochlear causing vibrations that are transmitted to the vestibulocochlear nerve

35
New cards

Weber test in conductive hearing loss

affected ear

36
New cards

weber test sensorineural hearing loss

unaffected ear

37
New cards

M/C cause of conductive hearing loss

cerumen impaction

38
New cards

M/C of sensorineural hearing loss

acoustic neuroma

39
New cards

ROS for the nose

sense of smell, frequency of colds, obstruction, epistaxis, post nasal discharge, sinus pain

40
New cards

PMH for the nose

HTN/bleeding disorders

Nasal trauma/surgery

Chronic nose bleeds

Chronic post nasal drip

Recurrent/chronic sinusitis

Allergies

Asthma

41
New cards

FH for the nose

Allergies

Bleeding disorders

42
New cards

SH for the nose

Intranasal cocaine use

43
New cards

inspect external nose for

assymetry and deformities

44
New cards

Inspect nares for

foreign bodies and symmetry

45
New cards

inspect nasal mucosa and turbinates for

Color

Swelling/Hypertrophy

Discharge/Bleeding

Exudates

Nasal polyps

Edema

46
New cards

Inspect nasal septum for

Deviation

Redness

Swelling

Bleeding

Perforations

Ulceractions

47
New cards

Palpate front and maxillary sinus for

tenderness

48
New cards

sinusitis

Bacterial infection

URI worsens after 7-10 days

Frontal headache/Sinus pain

Purulent nasal discharge

Tenderness over sinuses

Swelling over sinuses

49
New cards

ROS for the head

Frequent or unusual headaches + location

Dizziness

Syncope

Severe head injuries

Concussion

Periods of loss of consciousness

50
New cards

ROS for the neck

thyroid nodule

Range of motion

Redness/Skin irritation

Masses/Lesions

Tracheal deviation

LN - tenderness, enlargement, suppuration

51
New cards

PMH for head and neck

TBI

Subdural hematoma

Recent LP

Radiation to head and neck

Recent surgery/Intubation

Headaches

Seizures

Thyroid dysfunction

52
New cards

FH for the head and neck

Hx of headaches or thyroid dysfunction

Hx of cancer

53
New cards

SH for head and neck

Employment

Stress

Risk of injury

Nutrition

Illicit drugs

Sports participation

HPV, sexual hx

54
New cards

inspect the external neck for

masses, scars, goiter

55
New cards

inspect the thyroid gland for

size, shape, consistency, enlargement, masses, tenderness

56
New cards

inspect the lymph nodes for

symmetry, masses, size, shape, consistency, mobility, tenderness

57
New cards

inspect the head and scalp for

size, shape, symmetry, lice, signs of trauma, scaliness, lumps, lesions, dryness, ecchymosis, lacerations, redness, nevi

58
New cards

inspect the hair for

distribution, texture, quantity, pattern of loss, nits, dandruff

59
New cards

inspect the face for

expression, contours, symmetry, involuntary movement, masses, edema

60
New cards

palpate head and scalp for

tenderness and lesions

61
New cards

inspect the trachea for

deviation noting space between SCM and bony landmarks

62
New cards

hypothyroidism

weight gain, constipation, fatigue, cold intolerance

63
New cards

hyperthyroidism

weight loss, tachycardia, diarrhea, heat intolerance

64
New cards

diffuse thyroid enlargement

uniform, no nodules

graves disease, hashimoto thyroiditis, endemic goiter

65
New cards

Single nodule on thyroid gland

may be a cyst or benign tumor

66
New cards

multinodular goiter

multiple nodules

malignancy

67
New cards

cushing's syndrome

red/moon face

red cheeks

excessive hair growth

<p>red/moon face</p><p>red cheeks</p><p>excessive hair growth</p>
68
New cards

hyperthyroidism facies

moist skin

fine hair

prominent eyes/lid retraction

Staring/startled expression

<p>moist skin</p><p>fine hair</p><p>prominent eyes/lid retraction</p><p>Staring/startled expression</p>
69
New cards

myxedema

dull, puffy skin

non pitting periorbital edema

dry, course, thin eyebrows (missing lat 1/3)

course, thick skin

<p>dull, puffy skin</p><p>non pitting periorbital edema</p><p>dry, course, thin eyebrows (missing lat 1/3)</p><p>course, thick skin</p>
70
New cards

bell palsy

Asymmetry 1 side

eyelid doesn't close completely

Drooping lower eyelid/corner of mouth

Loss of nasolabial fold

<p>Asymmetry 1 side</p><p>eyelid doesn't close completely</p><p>Drooping lower eyelid/corner of mouth</p><p>Loss of nasolabial fold</p>
71
New cards

acromegaly

elongated head

bony prominent features

enlargement of soft tissue

coarse facial features

<p>elongated head</p><p>bony prominent features</p><p>enlargement of soft tissue</p><p>coarse facial features</p>
72
New cards

nephrotic syndrome

periorbital edema

puffy, pale face

swollen lips

slit like eyes

occurs in the morning usually

<p>periorbital edema</p><p>puffy, pale face</p><p>swollen lips</p><p>slit like eyes</p><p>occurs in the morning usually</p>
73
New cards

parotid enlargement

swelling anterior ear

<p>swelling anterior ear</p>
74
New cards

ROS of mouth and pharynx

Hoarseness

Frequent sore throats

Bleeding/swelling of gums

Recent tooth abscess/extractions

Soreness of tongue or buccal mucosa

Ulcers

Disturbance of taste

Dental care

75
New cards

PMH for mouth and pharynx

GERD

Frequent strep infections

Tonsillectomy/adenoidectomy

76
New cards

FH for mouth and pharynx

allergies

77
New cards

SH for mouth and pharynx

Excess sugar intake

Tooth brushing/flossing

Last dental care, frequency

Appliances: braces, denture crowns

Tobacco use, vaping

78
New cards

angular cheilitis

inflammation and painful cracking of the corners of the mouth

Nutritional deficiency

No teeth/ill-fitting dentures

Secondary infection with candida

<p>inflammation and painful cracking of the corners of the mouth</p><p>Nutritional deficiency</p><p>No teeth/ill-fitting dentures</p><p>Secondary infection with candida</p>
79
New cards

Carcinoma of the lip

ulceration not healing

<p>ulceration not healing</p>
80
New cards

chancre of primary syphilis

usually round, small, painless

<p>usually round, small, painless</p>
81
New cards

peutz-jeghers syndrome

mucocutaneous melanotic patches (dark spots)

<p>mucocutaneous melanotic patches (dark spots)</p>
82
New cards

hereditary hemorrhagic telangiectasia

small red spots on lips

Iron deficiency anemia

Nose bleeds

GI bleeding

<p>small red spots on lips</p><p>Iron deficiency anemia</p><p>Nose bleeds</p><p>GI bleeding</p>
83
New cards

angioedema

swollen lips

anaphylaxis

<p>swollen lips</p><p>anaphylaxis</p>
84
New cards

Actinic Cheilitis

scaly thickened everted lip

<p>scaly thickened everted lip</p>
85
New cards

herpes simplex

painful vesicles on lips

HSV

<p>painful vesicles on lips</p><p>HSV</p>
86
New cards

large normal tonsils

peds

<p>peds</p>
87
New cards

leukoplakia

white plaque, painless, cant scrape off

<p>white plaque, painless, cant scrape off</p>
88
New cards

candidiasis/thrush

white thick plaques usually irritated to patient, can be scraped off

prolonged exposure to AB or corticosteroids

<p>white thick plaques usually irritated to patient, can be scraped off</p><p>prolonged exposure to AB or corticosteroids</p>
89
New cards

petechiae in mouth

small, red spots

decreased platelets

infection

trauma

<p>small, red spots</p><p>decreased platelets</p><p>infection</p><p>trauma</p>
90
New cards

koplik spots

small, white specks

measles

<p>small, white specks</p><p>measles</p>
91
New cards

fordyce spots

small, yellow spots

<p>small, yellow spots</p>
92
New cards

torus palatine

midline bony growth in hard palate

<p>midline bony growth in hard palate</p>
93
New cards

kaposi sarcoma

deep purple, nontender lesions may be raised or flat

HHV 8

<p>deep purple, nontender lesions may be raised or flat</p><p>HHV 8</p>
94
New cards

diphtheria

dull, red throat, gray exudate

<p>dull, red throat, gray exudate</p>
95
New cards

pharyngitis

red throat without exudate

<p>red throat without exudate</p>
96
New cards

exudative tonsilitis

red throat with exudate on tonsils

strep

infectious mononucleosis

<p>red throat with exudate on tonsils</p><p>strep</p><p>infectious mononucleosis</p>
97
New cards

marginal gingivitis

red and swollen

brushing teeth too often

<p>red and swollen</p><p>brushing teeth too often</p>
98
New cards

hutchinson's teeth

smaller teeth, widely spaced, notched surface

congenital syphilis

<p>smaller teeth, widely spaced, notched surface</p><p>congenital syphilis</p>
99
New cards

abrasion of teeth with notching

biting surface abraded or notched with normal contours, sizing, spacing

recurrent trauma

<p>biting surface abraded or notched with normal contours, sizing, spacing</p><p>recurrent trauma</p>
100
New cards

erosion of teeth

yellow brown dentition

Bulimia

Severed acid reflux

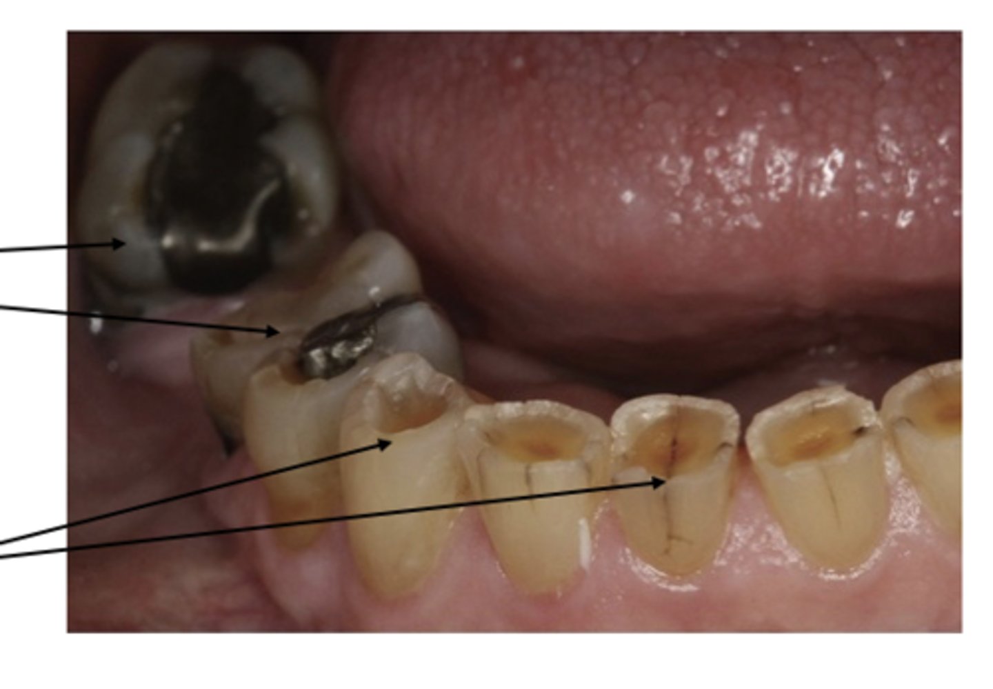
<p>yellow brown dentition</p><p>Bulimia</p><p>Severed acid reflux</p>

Explore top flashcards

Unit 11: Evolution
Updated 861d ago
flashcards Flashcards (95)
Biology Test 2
Updated 712d ago
flashcards Flashcards (24)
Unit 6 MWH
Updated 994d ago
flashcards Flashcards (28)
CRIM EXAM 2
Updated 733d ago
flashcards Flashcards (113)
Unit 11: Evolution
Updated 861d ago
flashcards Flashcards (95)
Biology Test 2
Updated 712d ago
flashcards Flashcards (24)
Unit 6 MWH
Updated 994d ago
flashcards Flashcards (28)
CRIM EXAM 2
Updated 733d ago
flashcards Flashcards (113)