1/54
Looks like no tags are added yet.
Name | Mastery | Learn | Test | Matching | Spaced | Call with Kai |
|---|
No analytics yet
Send a link to your students to track their progress
What tissues is a bone made up of?
bone tissue
marrow
cartilage
periosteum
What are the functions of bones?
support
protection
movement
blood formation
mineral reservoir
pH balance
detoxification
Why does yellow bone marrow sometimes change to red bone marrow?
When the body needs to increase blood cell production.
What does articular cartilage do?
covers the ends of bones where they come together to form joints.
What are the 4 types of cells in bone tissue? What do they do?
osteogenic cells: stem cells
osteoblasts: builders
osteocytes: maintainers
osteoclasts: breakers
What is bone matrix made of? How does each thing contribute to the strength or flexibility of bone?
collagen=flexibility
minerals=hardness/strength
What is compact bone?
Is the dense, hard outer layer of bone
function: provides strength and support
helps bone resist stress and weight-bearing forces.
Where would you find compact bone?
on the outer, hard exterior layer of all bones
Where is spongy bone located?
inside bones, beneath the compact bone layer
in the ends (epiphyses) of long bones
What is are intramembranous and endochondral ossification? What bones are formed by each?
Explain the steps to each.
Bone forms directly from mesenchyme (connective tissue) without a cartilage model.
Forms:
flat bones of the skull
part of the clavicle
What is the epiphyseal plate?
is a layer of hyaline cartilage found near the ends of long bones in children and teens. where bone length growth occurs.
what it is made of epiphyseal plate:?
hyaline cartilage
chondrocytes arranged in layers
What factors affect bone growth?
genetic
nutritional
hormonal
physical factors
What is meant by bone remodeling?
ongoing process where old or damaged bone is broken down and replaced with new bone.
What are the steps in the repair of a fracture?
hematoma formation
fibrocartilaginous
bony (hard) callus formation
bone remodeling
How does parathyroid hormone ? Why is calcium important?
raises blood calcium by releasing it from bones, increasing kidney retention, and aiding absorption
How calcitonin influence blood calcium levels?
lowers blood calcium by stimulating bone depostition and increasing kidney excretion.
How does exercise affect bone?
by making them build more bone tissue in response to stress.
What happens with demineralization? A decrease in collagen?
loss of mineral salts (like calcium) from bone. This makes bones weaker, softer, and more likely to fracture.
What happens with decrease in collagen?
Loss of the organic collagen fibers reduces bone’s flexibility and tensile strength, making bones brittle and prone to breaking.
Diaphysis
the shaft (middle part) of a long bone.
Epiphysis
the end part of a long bone.
Metaphyses
is the narrow region of a long bone between the diaphysis (shaft) and the epiphysis (end).
Endosteum
a thin membrane that lines the inner surface of bones.
Periosteum
is a tough, fibrous membrane that covers the outer surface of bones (except at joints).
Articular cartilage
is a smooth layer of hyaline cartilage the covers the ends of bones where they meet to form a joint.
Medullary cavity
is the hollow space inside the diaphysis (shaft) of long bones.
Trabeculae
are the thin, bony struts or beams that form the structure of spongy (cancellous) bone.
Osteon
is the basic structural unit of compact bone.
Osteocyte
is a mature bone cell found inside bone tissue.
Osteoblast
is a bone-building cell.
Osteoclast
is a bone-resorbing (bone-breaking) cell.
Osteoprogenitor
is a stem cell for bone.
Mesenchyme
is a type of embryonic connective tissue made of loosely organized cells in a gel-like ground substance.
Cavitation
is the formation or presence of a space or cavity within a structure or tissue.
Canaliculi
are tiny channels in bone tissue
Lacunae
are small spaces in bone or cartilage tissue.
Haversian canal
is the central channel in an osteon (compact bone unit)
Perforating canal
are channels in compact bone that run perpendicular to the harversian (central) canals.
Periosteum
is a tough, fibrous membrane that covers the outer surface of bones (except at joints).
Endosteum
is a thin membrane that lines the inside of bones.
Appositional growth
is the increase in bone thickness (diameter).
Avascular
means without blood vessels.
Acromegaly
is a condition caused by too much growth hormone i adults
Osteoporosis
is a condition where bones become weak, brittle, and more likely to fracture.
Osteogenesis imperfecta
Is a genetic disorder that causes fragile, easily broken bones.
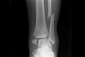
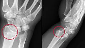
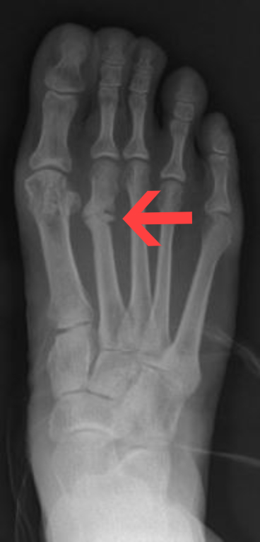
Fractures
are breaks or cracks in bones.

greenstick

Impacted

Closed

Open

Comminuted

Pott’s

Colles’

Stress