1/27
Looks like no tags are added yet.
Name | Mastery | Learn | Test | Matching | Spaced | Call with Kai |
|---|
No analytics yet
Send a link to your students to track their progress
A defect that occurs as a result of a disturbance in the formation of the organic enamel matrix
Enamel hypoplasia
Enamel hypolplasia occurs mainly on which surface?
Mid- coronal cervical region of tooth
Enamel hypoplasia may result from a nutritional deficiency known as Rickets which is which vitamin deficiency?
Vit D

Name the non carious lesion seen in the image shown
Erosion

Name the non carious lesion in the image shown
Attrition

Name the non carious lesion in the image shown
Abrasion
A wearing away of tooth to tooth contact is:
Attrition
A loss of tooth substance by chemical process is known as:
Erosion
Hutchinson’s incisors and mulberry molars are typical crown forms that result from:
Congenital syphilis
Abfraction is a cleaving away of the cervical tooth structure resulting from:
Bruxism

The profile on the right is known as:
Prognathic

The profile in the center is known as:
Mesognathic

This profile is known as:
Retrognathic

Tooth number 7 and 27, & 10 and 22 are in what relation to one another?
Crossbite

The anterior teeth in the image shown are in which malrelation?
Edge to edge

What malrelation is the probe measuring?
Overjet

What malrelation is indicated by tooth 8, 24, and 25?
Cross bite

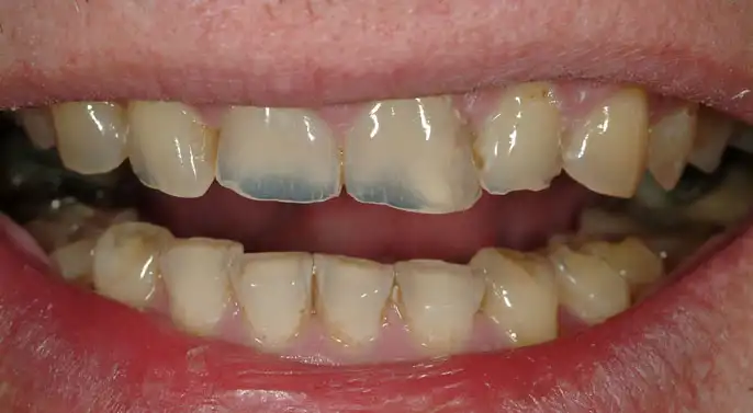
Thinning of the enamel as seen on tooth 8 and 9 is most likely caused by:
Erosion

What is the right molar occlusion? (pt’s right)
Class I with a tendency to II

What is the right canine occlusion? (pt’s right)
Class I with a tendency to II

What is the left molar occlusion? (pt’s left)
Class I

What is the left canine occlusion? (pt’s left)
Class I

What is the malrelation shown?
Open bite
When primary molars form a mesial step, the permanent molars will be in what occlusion?
I
Having a patient who has a class III occlusion would result in a profile that is:
Prognathic
Occlusal contacts that are made outside of normal range of function is called:
Parafunctional contacts
The purpose of the proximal contact is:
All of the above
Radiographic findings of occlusal trauma all but which of the following?
TMJ symptoms such as pain