1/20
Looks like no tags are added yet.
Name | Mastery | Learn | Test | Matching | Spaced | Call with Kai |
|---|
No analytics yet
Send a link to your students to track their progress

gymnospermen
phylum Coniferophyta
familie Pinaceae
genus Pinus
microstrobilus (mannelijk)

gymnospermen
phylum Coniferophyta
familie Pinaceae
genus Pinus
microstrobilus (mannelijk)
microsporangium met microsporen en omgeven door microsporofyl

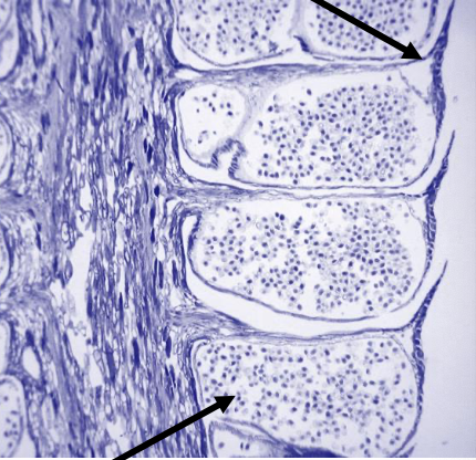
gymnospermen
phylum Coniferophyta
familie Pinaceae
genus Pinus
microstrobilus (mannelijk)
microsporangium met microsporen (onderste pijl) en omgeven door microsporofyl (bovenste pijl)

gymnospermen
phylum Coniferophyta
familie Pinaceae
genus Pinus
megastrobilus

gymnospermen
phylum Coniferophyta
familie Pinaceae
genus Pinus
megastrobilus

gymnospermen
phylum Coniferophyta
familie Pinaceae
genus Pinus
megastrobilus
bovenste cirkel: megasporofyl
onderste pijl: ovule

gymnospermen
phylum Coniferophyta
familie Pinaceae
genus Pinus
rijpe ovule
boven naar beneden: micropyle, integument, pollenkamer, megasporangium of nucellus, archegoniumkamer, archegonium met eicel, primair endosperm of megaprothallium

gymnospermen
phylum Coniferophyta
familie Pinaceae
genus Pinus
zaad
links: endosperm
rechts van boven naar beneden: cotylen, plumula, hypocotyl, radicula

angiospermen
genus Lilium
vruchtbeginsel

angiospermen
genus Lilium
links van boven naar beneden: vasculaire bundel, buitenste integument, funiculus
rechts van boven naar beneden: chalaze, embryozak, binnenste integument, micropyle

angiospermen
genus Lilium
onrijpe helmknoppen
4 helmknoppen met in het midden aanzet naar helmdraad

angiospermen
genus Lilium
onrijpe helmknoppen
helmknop
lagen van buiten naar binnen:
epidermis, endothecium, tapetum, pollen

angiospermen
genus Lilium
rijpe helmknop
links van boven naar beneden: pollenkorrels, tapetum
rechts van boven naar beneden: stomium

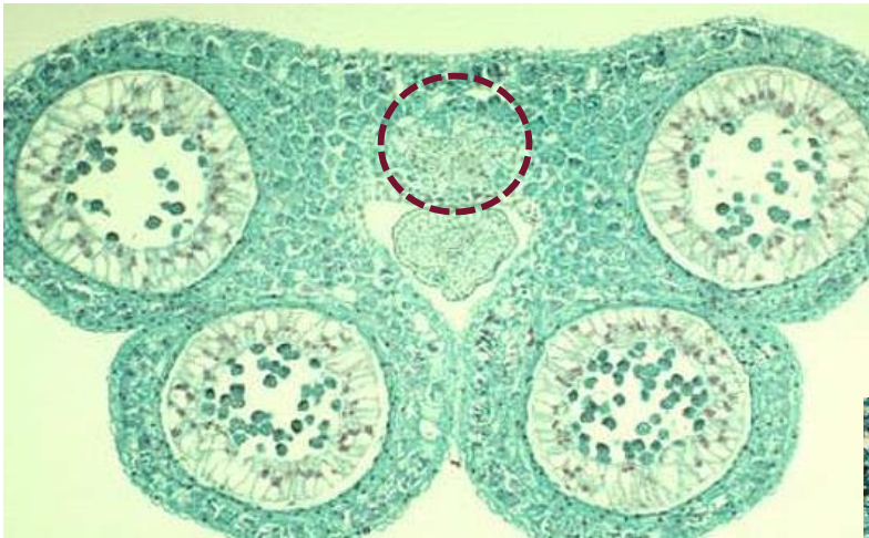
angiospermen
genus Papaver
bloem, bovenstandig
links van boven naar beneden: helmhok, helmdraden,veelhokkig vruchtbeginsel, petaal
rechts: sepaal

angiospermen
genus Epilobium
van links naar rechts: helmdraad, helmhok, stempel
onderstandig, dus geen vruchtbeginsel

angiospermen
genus Epilobium
pijl: stijl
onderstandig, dus geen vruchtbeginsel

angiospermen
genus Epilobium
vruchtbeginsel

angiospermen
genus Datura
zaad
dicotyl zaad
cirkel: embryo

angiospermen
genus Datura
zaad
dicotyl zaad
van boven naar beneden: stengelapex, endosperm, perisperm, zaadhuid, cotylen, wortel, antopodiaal weefsel, wortelapex

angiospermen
genus Triticum
monocotyl zaad
cirkel: embryo
pijlen van boven naar beneden: endosperm, aleuronenlaag

gymnospermen
phylum Coniferophyta
familie Pinaceae
genus Pinus
zaad