1/16
Looks like no tags are added yet.
Name | Mastery | Learn | Test | Matching | Spaced | Call with Kai |
|---|
No analytics yet
Send a link to your students to track their progress

Macule mélanotique de la joue

Nævus palatin

Mélanome de la langue

Macule purpurique du plancher

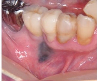
Tatouage du vestibule

Macules mélanotiques multiples de la maladie de Laugier

Téléangiectasies multiples de la maladie de Rendu-Osler

Pigmentation ethnique de la joue

Langue noire

Mélanose tabagique de la lèvre

Lichen plan pigmenté

Maladie d’addison

Pigmentation linguale du à un traitement par capécitabine

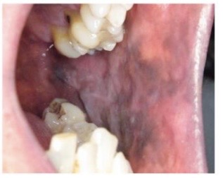
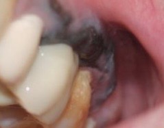
Tatouage

Mélanome gingival
Carcinomes épidermoïdes