1/18
Looks like no tags are added yet.
Name | Mastery | Learn | Test | Matching | Spaced | Call with Kai |
|---|
No analytics yet
Send a link to your students to track their progress
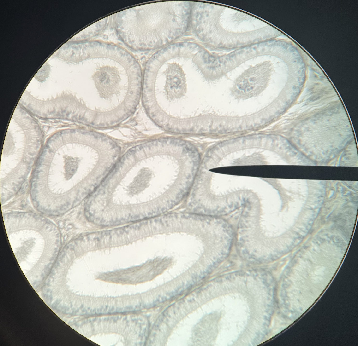
testis
slide

seminiferous tubules - testis
1

interstitial cells - testis
2

epididymis
slide

penis
slide

urethra - penis
1

corpus spongiosum - penis
2

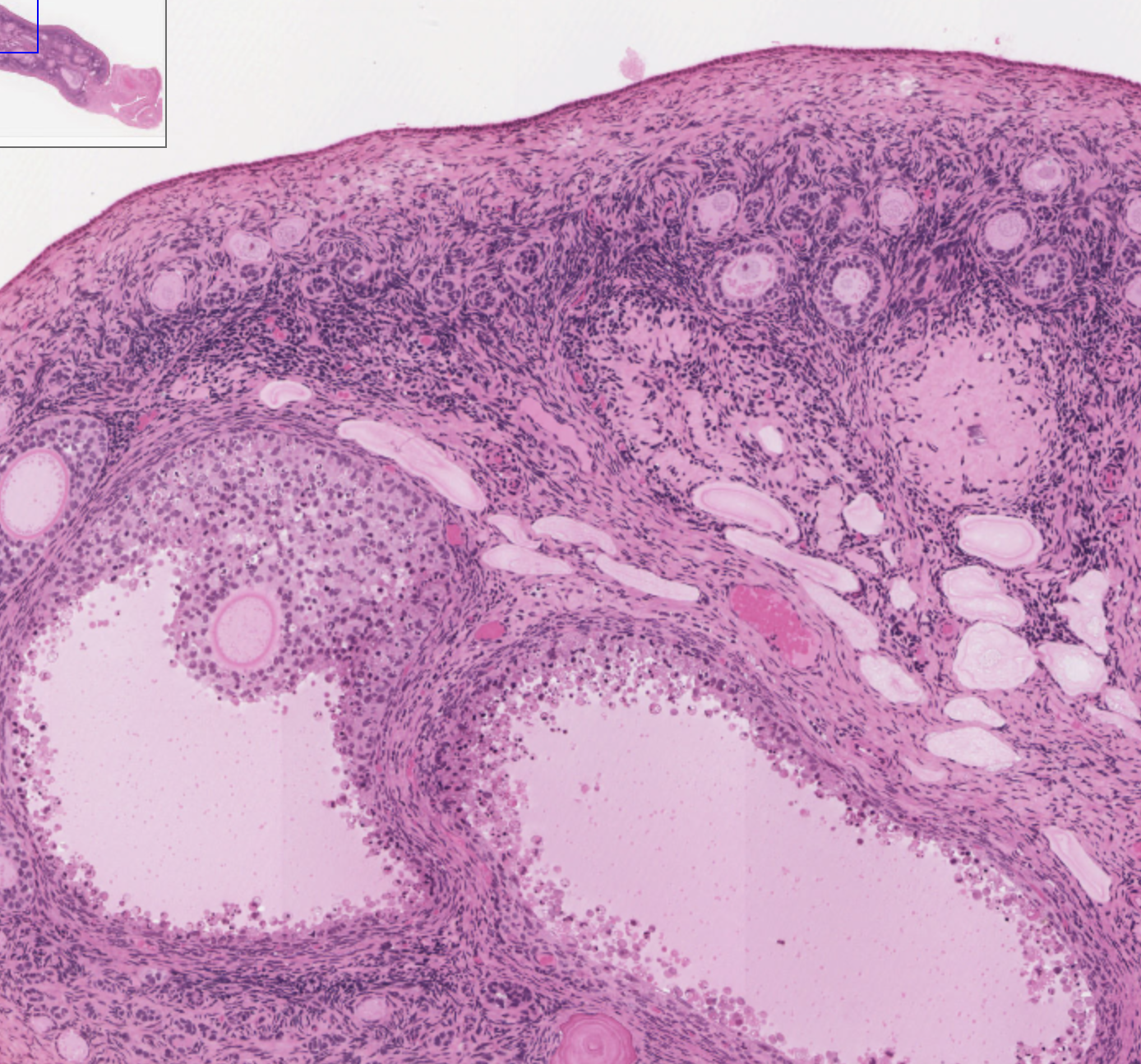
ovary
slide

primordial ovarian follicle - ovary

primary ovarian follicle - ovary

secondary ovarian follicle - ovary

tertiary ovarian follicle - ovary
1

secondary oocyte - ovary
2

vagina
slide

non-keratinized stratified squamous epithelium - vagina

uterus
slide

endometrium - uterus
1

myometrium - uterus
2

perimetrium - uterus
3
