1/37
Looks like no tags are added yet.
Name | Mastery | Learn | Test | Matching | Spaced | Call with Kai |
|---|
No analytics yet
Send a link to your students to track their progress
How do you classify epithelial tissue
By shape and how many layers
What do squamous cells look like
Flat and scale like
What do cuboidal cells look like
Box/ cube like with a round nucleus
What do columnar cells look like
Tall, column shaped, with a elongated nucleus
In stratified epithelial, the cell shape is classified from which layer
Apical layer
Were is simple squamous found
Air sacs of lungs
Blood and lymphatic vessels
Kidney glomeruli
Lining of heart
Serous membranes
What is the function of simple squamous
Absorption
Diffusion
Filtration
Secretion
What is endothelium
Lining of blood vessels, heart, lymphatic vessels
What is Mesothelium
Epithelium of serous membranes

What types of tissue is this
Simple squamous epithelial
What epithelial tissue allows materials to pass by diffusion and filtration
Simple squamous epithelial
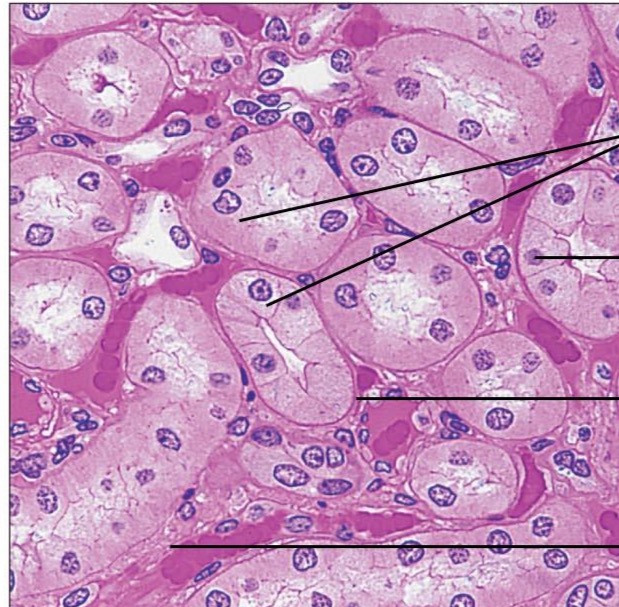
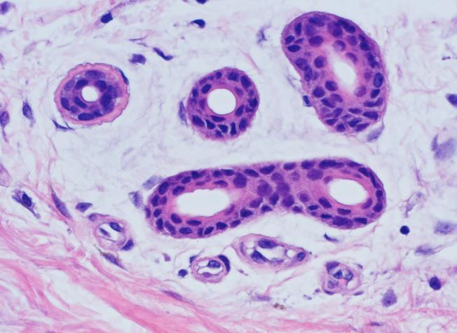
Where can simple cuboidal epithelial be found
Kidney tubules
Ducts and glands
Ovaries
What is the function of simple cuboidal epithelial
Absorption and secretion

What types of tissue is this
Simple cuboidal epithelial
Where is simple columnar epithelial tissue found
Non ciliated: digestive tract (stomach to rectum), gallbladder, some exocrine glands
Ciliated: small bronchi in lungs, uterine tubes, parts of uterus
What is the function of simple columnar epithelial
Absorption
Secretion of mucus
What type of cells do similar columnar epithelial have
Goblet cells- mucus secreting cells

What type of tissue is this
Simple columnar epithelial
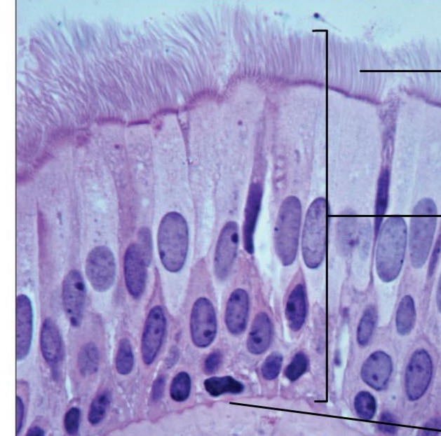
Where is pseudostratified epithelial tissue located
Non ciliated:
Testes and ducts of large glands
Ciliated:
Trachea and upper respiratory tract
What is the function of pseudostratified columnar epithelial
Secretion of mucus
Mucus elevator
Which epithelial tissue involves your mucus elevator
Pseudostratified columnar epithelial

What type of tissue is this
Pseudostratified columnar epithelial
Where is stratified squamous epithelial located
Keratinized- epidermis
Non keratinized - lining of mouth, esophagus, vagina
What is the function of stratified squamous epithelial
Protection of underlying tissues
Are the surface cells of stratified squamous dead?
Yes
What do the basal cells id stratified squamous do?
Active in mitosis
Produces the cells of more superficial layers

What tissue is this
Stratified squamous epithelial
What are the 2 rare tissues
Stratified cuboidal and stratified columnar
Where is stratified cuboidal located
Sweat and mammary glands
What is the function of stratified cuboidal epithelial
Secretion

What type of tissue is this
Stratified cuboidal
Where do you find stratified columnar epithelial tissue
Pharynx
Male urethra
Transition areas of 2 types of epithelial tissues
What is the function of stratified columnar epithelial
Secretion and protection

What type of tissue is this
Stratified columnar epithelial
Where is transitional epithelial tissue located
Lines the uterus, bladder, and part of urethra
What is the function of transitional epithelial
Allows stretch- apical
Basal cell’s cuboidal or columnar
What does transitional epithelial resembles
Both stratified squamous and stratified columnar

What type of tissue is this
Transitional epithelial