IMAGENOLOGÍA P1

0.0(0)
studied byStudied by 0 people
0.0(0)
full-widthCall with Kai
GameKnowt Play
New
learnLearn
examPractice Test
spaced repetitionSpaced Repetition
heart puzzleMatch
flashcardsFlashcards
Card Sorting

1/104

flashcard set

Earn XP

Description and Tags

PARCIAL - N°1

Study Analytics
Name
Mastery
Learn
Test
Matching
Spaced

No study sessions yet.

105 Terms

1
New cards
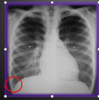
<p>¿Qué estudio es?</p>

¿Qué estudio es?

Radiografía simple

2
New cards
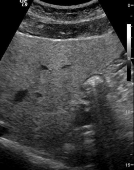
<p>¿Qué estudio es?</p>

¿Qué estudio es?

Ecografía

3
New cards
<p>¿Qué estudio es?</p>

¿Qué estudio es?

Resonancia magnética

4
New cards
<p>¿Qué estudio es?</p>

¿Qué estudio es?

Tomografía computarizada

5
New cards

¿Quién es el padre de la radiología?

Wilhem Conrad Roetgen

6
New cards

La primera radiografía de la historia: la mano de ____ el 22 noviembre del año 1895.

Anna Bertha Ludwing

7
New cards

Qué metodos utilizan Rx. ionizante?

  1. Radiografía Simple

  2. Tomografía

  3. Gammagrafía

  4. PET/SPECT (TC por emisión de positrones o fotón único)

8
New cards

Los Rayos X se originan por fenómenos intranucleares. V o F

Falso, los electrones están fuera del núcleo.

9
New cards

Los rayos X se originan durante el _____ de los electrones al incidir con una velocidad muy ____ con la materia.

frenado.

alta.

10
New cards

¿De qué está compuesto el tubo generador de rayos X?

Tubo sellado al vacio

Ánodo (+)

Cátodo (-)

11
New cards

En los efectos probabilísticos o estocásicos:

Lesión → Depende → Dosis

Gravedad → NO depende → Dosis

12
New cards

¿Qué puede ocurrir cuando la radiación alcanza células somáticas?

  1. Retraso de la mitosis o apoptosis

  2. Mutación del material genético -→ Cáncer

13
New cards

¿Qué puede ocurrir cuando la radiación alcanza células germinales?

  1. Las consecuencias se pueden transmitir a la descendencia.

14
New cards

En los efectos deterministas:

Lesión + Gravedad → dependen → Dosis

15
New cards

En cuál de los dos métodos, probabilísticos o deterministas hay un “umbral del dolor”.

Efectos deterministas

16
New cards

Qué elemento químico, se utiliza en el equipo de protección contra la radiación iónica?

Plomo

17
New cards
<p>¿Qué indica?</p>

¿Qué indica?

Presencia real o potencial de radiación ionizante.

18
New cards

En RX, la densidad agua es más ____ que la densidad grasa.

Radiopaco

19
New cards
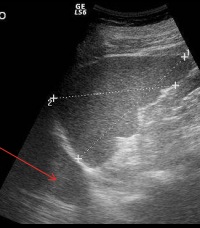
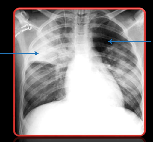
<p>Indica la nomenclatura de la flecha izquierda y derecha, respectivamente:</p>

Indica la nomenclatura de la flecha izquierda y derecha, respectivamente:

Radiopáco, Radiolúcido

20
New cards

Frecuencia de los infrasonidos:

<20 Hz

21
New cards

Frecuencia de los Sonidos audibles (rango)

20 a 20 mil Hz

22
New cards

Frecuencia de los ULTRAsonidos:

>20 Mil Hz

23
New cards

Frecuencia de los HIPERsonidos

> 1 GHz

24
New cards

¿Qué tipo de energía es el sonido?

Energía mecánica

25
New cards

A más frecuencia, más ____.

Calidad de imagen

26
New cards

A menos frecuencia, ____ calidad de imágen

menos

27
New cards

Con una feecuencia mayor, se observan estructuras superficiales. V o F

V. Por ejemplo, vasos o músculos.

28
New cards

Con una freuencia menor, se observan estructuras muy superficiales. V o F

F. Son estructuras profundas como: tórax y abdomen.

29
New cards

Dentro de la nomenclatura de la RADIOGRAFÍA CONVENCIONAL,
lo más blanco es: ________
y lo más negro es: ________

Radiopaco

Radiolúcido

30
New cards

Dentro de la nomenclatura de la ECOGRAFÍA
lo más blanco es: ________
y lo más negro es: ________

Hiperecoico

Anecoico

31
New cards

Dentro de la nomenclatura de la ECOGRAFÍA, como se define al punto entre anecoico y ecoico?

hipoecoico (más gris que el negro, pero no tán gris.)

32
New cards

Cual es el fenómeno más importante para la formación de imágenes?

Reflexión

33
New cards

Nombre de la herramienta que permite la observación en ecografía

Transductores

34
New cards

Los transductores transforman energía e_____ en energía m______-

electrica

mecánica

35
New cards
<p>Nomenclatura de la flehca azul y amarilla</p>

Nomenclatura de la flehca azul y amarilla

Hiperecogénico o Hiperecoico

Anecoico

36
New cards
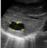
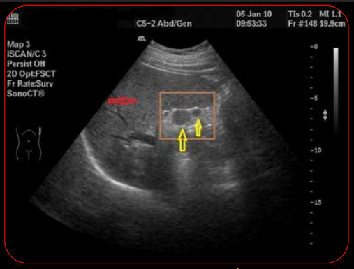
<p>En la imagen ves dos estructuras redondas dentro de un rectángulo y marcadas con flecha amarilla. Qué aspecto ecográfico tienen respecto del parénquima del bazo marcado con flecha roja</p>

En la imagen ves dos estructuras redondas dentro de un rectángulo y marcadas con flecha amarilla. Qué aspecto ecográfico tienen respecto del parénquima del bazo marcado con flecha roja

Isoecogénicas

37
New cards
<p>Nomenclatura del circulo con respecto de su entorno</p>

Nomenclatura del circulo con respecto de su entorno

  1. Isoecogénico

  2. Heterogéneo

  3. Hiperecogénico

  4. Hiperecogénico + sombra acústica posterior

  5. Anecoico + Refuerzo posterior

38
New cards
<p>Qué artefacto es más evidente?</p>

Qué artefacto es más evidente?

Sombra acústica posterior

39
New cards

¿Qué artefacto es util para la detección de cálculos?

Sombra acústica posterior

40
New cards
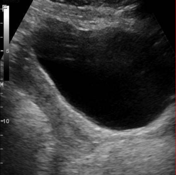
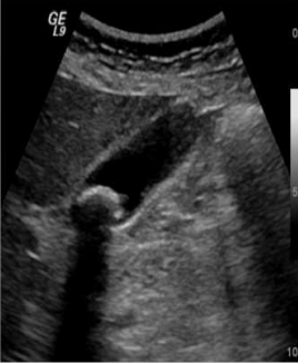
<p>Artefacto más evidente en este quiste</p>

Artefacto más evidente en este quiste

Refuerzo acústico posterior

41
New cards
<p>Artefacto</p>

Artefacto

Imagen en espejo

42
New cards
<p>Artefacto</p>

Artefacto

Imagen en espejo

43
New cards
<p>Artefacto</p>

Artefacto

Reverberación

44
New cards
<p>Artefacto</p>

Artefacto

Reverberación

45
New cards
<p>Artefacto</p>

Artefacto

Cola de cometa

46
New cards
<p>Artefacto</p>

Artefacto

Cola de cometa

47
New cards

Es la propiedad que tienen algunos tejidos de variar su ecogenicidad dependiendo del ángulo de incidencia del haz de ultrasonido sobre ellos.

Anisotropia

48
New cards

La estructura anisotrópica por excelencia es el

Tendón

49
New cards
<p>Artefacto</p>

Artefacto

Anisotropia

50
New cards
<p>Artefactos</p>

Artefactos

Reverberación, Cola de cometa, imagen en espejo, Refuerzo AcP, Sombra AcP, Anisotropía.

51
New cards

Los 3 tipos de transductores más comunes

Convexo

Lineal

Intracavitario

-Endorectal

52
New cards

Creador de la TC

Dr. Godfrey Hounsfield

53
New cards

La TC, no utiliza radiación ionizante, V o F.

F. Sí utiliza.

54
New cards

La tomografía computada, permite observar cortes del cuerpo humano con una resolución de hasta ____.

1 mm.

55
New cards

Es un examen muy rápido ya que solo se requieren 2 a 3 minutos. V o F

Verdadero.

56
New cards

Es una técnica altamente sensible para detectar calcificaciones y hemorragias CRÓNICAS. V o F

Falso, son hemorragias agudas.

57
New cards

Permite una pésima visualización de estructuras óseas. V o F

Falso, es excelente.

<p>Falso, es excelente.</p>
58
New cards
<p>Por el corte ___ pordemos identificar a la TC.</p>

Por el corte ___ pordemos identificar a la TC.

AXIAL

59
New cards
<p>Que se puede concluir</p>

Que se puede concluir

Más positivo es más blanco
Más negativo es más negro

60
New cards

En la escala de HounsField (UH) cual es el valor del agua

0

61
New cards

Nomenclatura de la TC

HiperDENSO (Blanco)

HipoDENSO (Gris)

IsoDENSO (Cuando se compara)

62
New cards
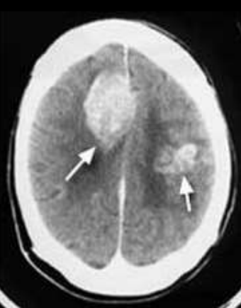
<p>Estudio y nomenclatura</p>

Estudio y nomenclatura

TC, Hiperdensos.

63
New cards
<p>Fue descrita en 1946, por Bloch y Purcell.</p>

Fue descrita en 1946, por Bloch y Purcell.

RM

64
New cards

Se necesitan 3 componentes para un resonador magnético

  1. Campo magnético -→ Magneto

  2. Variabilidad del campo magnético → Sistema de grandientes

  3. Radiofrecuencias (RF o B1) → Sistema de RF (Exitación)

65
New cards

LA ___ DISCRIMINA O DELIMITA MEJOR LOS TEJIDOS BLANDOS A DIFERENCIA DE LA ___.

RM

TC

66
New cards

LA SECUENCIA __ ES LA IDEAL PARA VALORAR EL DETALE ANATOMICO en RM

T1

67
New cards
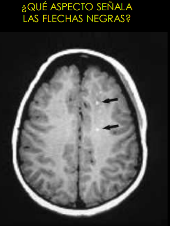
term image

Hiperintensos

68
New cards

Nomenclatura de la RM

Hiperintenso (Blanco)

Isointenso

Hipointenso (Negro o Gris)

69
New cards

La RM, no utiliza radioación ionizante.V o F

Verdadero.

70
New cards
<p>Cuanto de ml</p>

Cuanto de ml

50 a 75

71
New cards

Mediastino anterior

Timo, corazón, pericardio, aorta ascendente, ganglios y grasa

72
New cards

Mediastino medio

Traquea, esófago, arco aórtico y grandes vasos, ganglios y grasa

73
New cards

Mediastino posterior

espacio paravertebral, vertebras, gánglios y estructuras neurales.

74
New cards

Unidad básica de funcion pulmonar

Acino pulmonar

75
New cards

Patron de penetración

Cuando la columna hace signo de la silueta con el corazón, los hemidiafragmas no tienen bordes bien definidos.

76
New cards
77
New cards
78
New cards
79
New cards
80
New cards
81
New cards
82
New cards
83
New cards
84
New cards
85
New cards
86
New cards
87
New cards
88
New cards
89
New cards
90
New cards
91
New cards
92
New cards
93
New cards
94
New cards
95
New cards
96
New cards
97
New cards
98
New cards
99
New cards
100
New cards

Explore top flashcards