CT 1

0.0(0)
studied byStudied by 1 person
call kaiCall Kai
learnLearn
examPractice Test
spaced repetitionSpaced Repetition
heart puzzleMatch
flashcardsFlashcards
GameKnowt Play
Card Sorting

1/188

flashcard set

Earn XP

Description and Tags

Last updated 10:02 AM on 4/14/23
Name
Mastery
Learn
Test
Matching
Spaced
Call with Kai

No analytics yet

Send a link to your students to track their progress

189 Terms

1
New cards
Hepar
knowt flashcard image
2
New cards
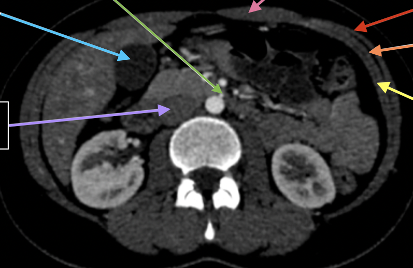
aorta abdominalas
knowt flashcard image
3
New cards
gaster
knowt flashcard image
4
New cards
splen
knowt flashcard image
5
New cards
truncus coeliacus
rosa
rosa
6
New cards
a gastrica sinistra
blå
blå
7
New cards
v splenica
röd
röd
8
New cards
ren sin
grön
grön
9
New cards
a hepatica communis
röd
röd
10
New cards
a mesenterica superior
orange
orange
11
New cards
a splenica
grön
grön
12
New cards
v splenica
lila
lila
13
New cards
a renalis dx
röd
röd
14
New cards
v renalis sin
lila
lila
15
New cards
a renalis sin
grön
grön
16
New cards
vena cava inferior
blå
blå
17
New cards
v porta hepatit
rosa
rosa
18
New cards
v renalis sin
röd
röd
19
New cards
ren dx
grön
grön
20
New cards
v renalis dx
lila
lila
21
New cards
vena cava inferior
lila
lila
22
New cards
Vesica billiards
blå
blå
23
New cards
v mesenterica inferior
grön
grön
24
New cards
m rectus abdominis
rosa
rosa
25
New cards
m obliquus externus abdominis
röd
röd
26
New cards
m obliquus internes abdominis
orange
orange
27
New cards
m transversus abdominis
knowt flashcard image
28
New cards
ren dx
lila
lila
29
New cards
vena cava inferior
rosa
rosa
30
New cards
aorta abdominalis
orange
orange
31
New cards
m psoas major sin
grön
grön
32
New cards
v iliaca communis dx
grön
grön
33
New cards
a iliaca communis dx
orange
orange
34
New cards
a iliaca communis sin
gul
gul
35
New cards
v iliaca communis sin
röd
röd
36
New cards
v iliaca interna dx
röd
röd
37
New cards
a iliaca interna dx
rosa
rosa
38
New cards
v iliaca externa dx
ljusblå
ljusblå
39
New cards
a iliaca externa dx
orange
orange
40
New cards
a iliaca externa sin
gul
gul
41
New cards
a iliaca interna sin
grön
grön
42
New cards
v iliaca externa sin
brun
brun
43
New cards
v iliaca interna sin
mörkblå
mörkblå
44
New cards
spina iliaca posterior superior
blå
blå
45
New cards
m psoas major dx
röd
röd
46
New cards
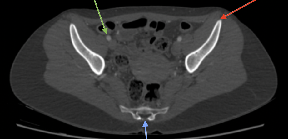
promontorium
grön
grön
47
New cards
m iliacus sin
gul
gul
48
New cards
foramina sacralis
orange
orange
49
New cards
os sacrum
blå
blå
50
New cards
spina iliaca anterior superior
lila
lila
51
New cards
a iliaca externa dx
rosa
rosa
52
New cards
a iliaca interna sin
röd
röd
53
New cards
os ilium
grön
grön
54
New cards
art sacroiliaca
gul
gul
55
New cards
a iliaca externa
grön
grön
56
New cards
spina iliaca anterior inferior
röd
röd
57
New cards
hiatus sacrais
blå
blå
58
New cards
os coccygis
röd
röd
59
New cards
spina ischiadica
blå
blå
60
New cards
acetabulum
grön
grön
61
New cards
ramus superior ossis pubis
rosa
rosa
62
New cards
os ischii
orange
orange
63
New cards
rectum
lila
lila
64
New cards
tuberculum pubicum
grön
grön
65
New cards
symphysis pubis
blå
blå
66
New cards
ramus inferior ossis pubis
grön
grön
67
New cards
tuber ischiadicum
blå
blå
68
New cards
os pubis
lila
lila
69
New cards
foramen obturatorium
rosa
rosa
70
New cards
crista iliaca
lila
lila
71
New cards
foramen obturatorium
rosa
rosa
72
New cards
art sacroiliaca
blå
blå
73
New cards
foramen obturatorium
rosa
rosa
74
New cards
vesica urinaria
grön
grön
75
New cards
uterus
lila
lila
76
New cards
vesica urinaria
rosa
rosa
77
New cards
uterus
blå
blå
78
New cards
os coccygis
grön
grön
79
New cards
v mesenterica superior
grön
grön
80
New cards
v porta hepatis
blå
blå
81
New cards
splen
lila
lila
82
New cards
v splenica
rosa
rosa
83
New cards
v mesenterica inferior
röd
röd
84
New cards
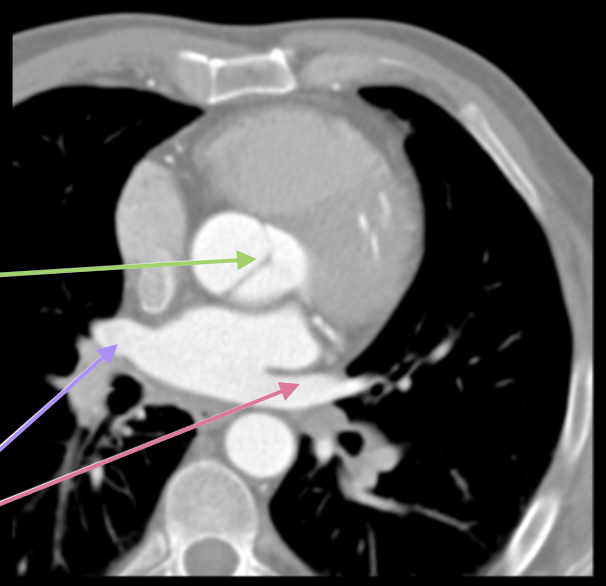
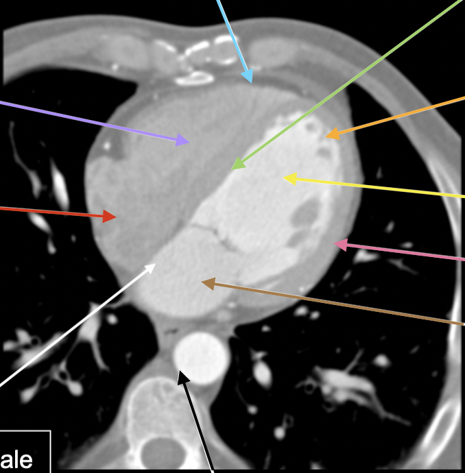
apex cordis
röd
röd
85
New cards
trabeculae carneae
svart
svart
86
New cards
atrium sinistrum
lila
lila
87
New cards
aorta descendens
svart
svart
88
New cards
septum interatriale
vit
vit
89
New cards
atrium dx
röd
röd
90
New cards
ventriculus dx
lila
lila
91
New cards
cavum pericardi
blå
blå
92
New cards
septum interventriculare
grön
grön
93
New cards
trabeculae carneae
orange
orange
94
New cards
ventriculus sin
gul
gul
95
New cards
myocardium
rosa
rosa
96
New cards
atrium sin
brun
97
New cards
valva aortae
grön
grön
98
New cards
vv pulmonalis dx
lila
lila
99
New cards
vv pulmonalis sin
rosa
rosa
100
New cards
esophagus
rosa
rosa