1/70
Looks like no tags are added yet.
Name | Mastery | Learn | Test | Matching | Spaced | Call with Kai |
|---|
No analytics yet
Send a link to your students to track their progress
convex
what is this facial profile

concave
what is this facial profile

straight/orthognathic
what is this facial profile

clue to skeletal-dental relationships
what does the overall facial profile provide?
retrognathic
what can a CONVEX profile indicate about MANDIBULAR relationship
prognathic
what can a CONCAVE profile indicate about MANDIBULAR relationship
malocclusion
any anatomic variation of a functional and esthetic optimum
first molars
angle’s classification is based on the relationship of maxillary and mandibular permamanent ____
mesiobuccal cusp
in NORMAL occlusion the BUCCAL groove of the mandibular first mollar occludes with the ______ of the maxillary first molar
catenary curve
line of occlusion through central fossa/cingulum of maxillary and along buccal cusps/incisal of mandibular
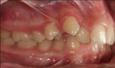
class I malocclusion
normal relationship of first molars, but incorrect line of occlusion due to malposed teeth
class I malocclusion
what is the classification of this occlusion?

class II
mandibular first molar (more than half a cusp) distally positioned relative to maxillary first molar
class I
mandibular canine occludes in MESIAL fossa/embrasure of maxillary canine
class II
mandibular canine occludes in DISTAL fossa embrasure or on cusp tip of maxillary canine
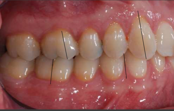
class II
what is the classification of this occlusion

class II division 1
molars class II relationship, labioversion of max incisors, excess overjet, steep curve of spee
narrow pallate and retrusive mandible
skeletal characteristic of class II division 1
side with class I occlusion
in the classiffication “class II, division 1 subdivision LEFT” the subdivision refers to?
class II, division 2
molars class II relationship, lingoversion of max central incisors, labioversion of max lateral incisors
class II, division 2
classification?

end to end class II
class II relationship, molars sit on top of each other
class III
mandibular first molar mesially positioned relative to maxillary first molar
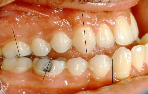
class III
classification?

class III
classification?

retrusive maxilla and prominent mandible
class III malocclusion skeletal and facial characteristic
pseudo class III malocclusion
class I molar relationship in retruded position (CR), end to end incisor relationship attainable by manipulating mandible
class III
mandibular canine mesial to maxillary canines
7-8
eruption of max central incisor
8-9
eruption of max lateral incisor
11-12
eruption of max canine
10-11
eruption of max 1st premolar
10-12
eruption of max 2nd premolar
6-7
eruption of max 1st molar
12-13
eruption of max 2nd molar
6-7
eruption of mand central incisor
7-8
eruption of mand lateral incisor
9-11
eruption of mand canine
10-12
eruption of mand 1st premolar
11-12
eruption of mand 2nd premolar
6-7
eruption of mand 1st molar
11-13
eruption of mand 2nd molar
palmer
what is the tooth numbering system used in orthodontics
d
what is the letter for a primary 1st molar in palmer system
c
what is the letter for a primary canine in palmer system
6
what is the number for a permanent 1st molar in palmer system
4
what is the number for a permanent first premolar in palmer system
pre-eruptive
phase from time tooth begins formation to first radiographic evidence of hard tissue formation
pre-functional
phase from crown completion until function is established
funtional
phase from time occlusal function is established until the tooth is lost
pre-emergent eruption
eruptive movement that begins soon after root formation is evident
ectopic eruption
teeth dont develop in normal positions
maxillary 1st molars and cuspids
most common ectopic teeth
resorption of bone and primary tooth roots
processes necessary for eruption
resorption
rate limiting factor in eruption
post-emergent eruption
rapid eruption once tooth emerges until reaching occlusal level
primary
in what dentition are eruption distances equal for all teeth
permanent
in what dentition do the teeth erupt from various distances to final plane of occlusion
lingual/palatal
permanent dentition develops and begin eruption ____ to the primary dentition
2 years
span of primary dentition eruption
12 years
span of permanent dentition eruption
true
T/F delay in primary dentition eruption corresponds with delay in permanent dentition eruption
primate spaces
natural gaps in primary dentition
between lateral and canine
where are the primate spaces located on the MAXILLARY arch
between canine and first molar
where are the primate spaces located on the MANDIBULAR arch
early mesial shift
mesial movement that occurs before the loss of primary molars uses PRIMATE SPACES for mesial movement of permanent first molars
primate
space used by early mesial shift
leeway space
difference in size between the larger primary canines and molars and their smaller permanent successors

late mesial shift
the natural, late-mixed dentition movement (ages 10–12) where permanent first molars drift forward to close the "leeway space" created when premolar replae primaryr molars
false
T/F the time of eruption is more important thatn the sequence of tooth eeruption
mandibular
teeth in which arch erupt first?