Shiva PC2: Benign Soft Tissue Pathology

0.0(0)
studied byStudied by 0 people
0.0(0)
full-widthCall Kai
learnLearn
examPractice Test
spaced repetitionSpaced Repetition
heart puzzleMatch
flashcardsFlashcards
GameKnowt Play
Card Sorting

1/68

encourage image

There's no tags or description

Looks like no tags are added yet.

Study Analytics
Name
Mastery
Learn
Test
Matching
Spaced

No study sessions yet.

69 Terms

1
New cards

Soft tissue tumors

• Derived from mesenchymal tissues

• Majority of benign soft tissue tumors are reactive

• Due to low-grade chronic irritation

• Some are neoplastic

2
New cards

• Fibrous

• Adipose

• Vascular

• Lymphatic

• Neural

• Muscle

• Uncertain Origin

Soft tissue pathology categories

3
New cards

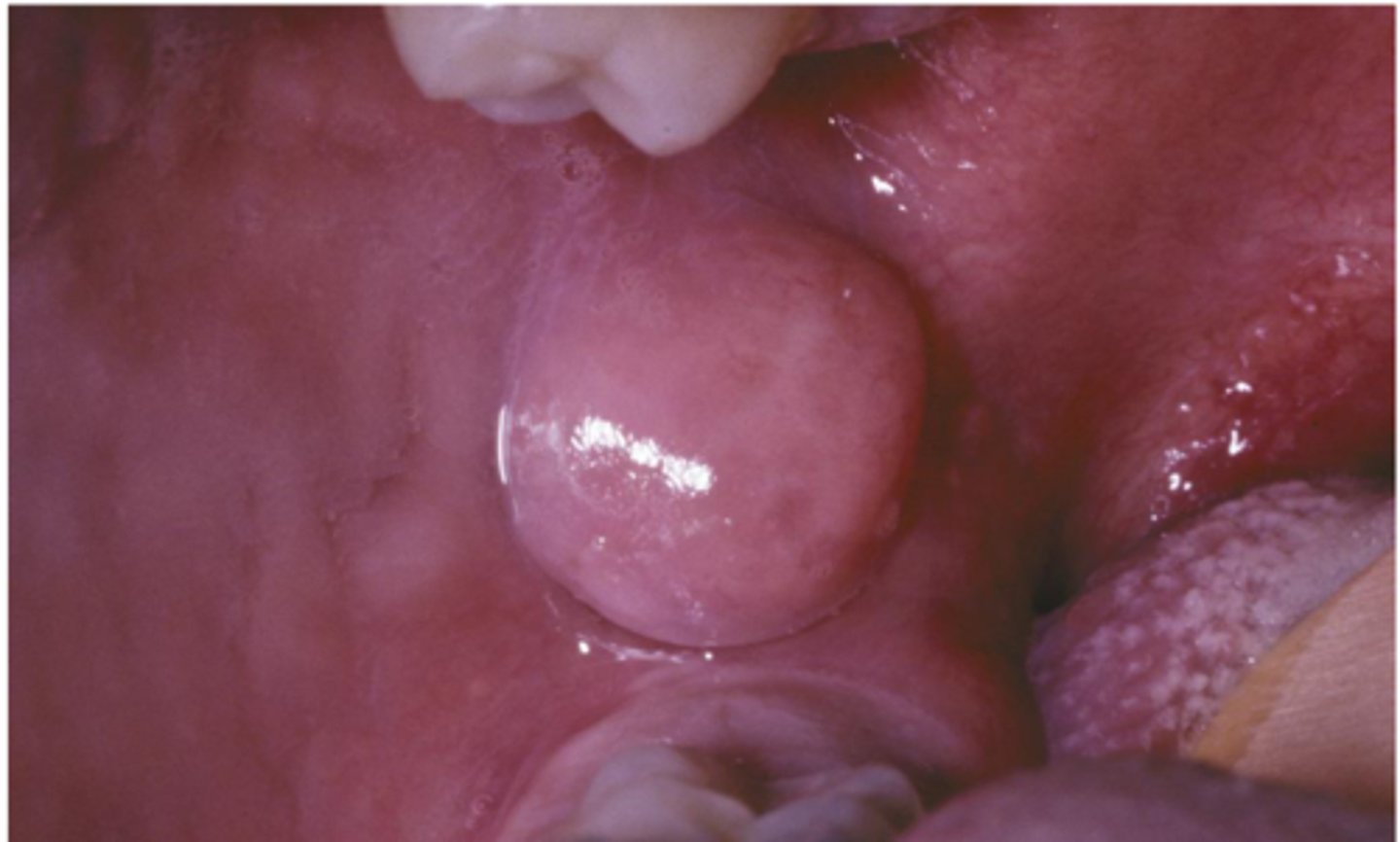
Fibroma

• Most common benign soft

tissue mass

• Results from irritation or trauma

• Reactive lesion

<p>• Most common benign soft</p><p>tissue mass</p><p>• Results from irritation or trauma</p><p>• Reactive lesion</p>
4
New cards

Fibroma

• Well-localized

• Dome-shaped

• Asymptomatic (unless secondary

ulceration)

• Smooth surface

• Often pink but may be ulcerated

if traumatized

• Sessile or pedunculated

<p>• Well-localized</p><p>• Dome-shaped</p><p>• Asymptomatic (unless secondary</p><p>ulceration)</p><p>• Smooth surface</p><p>• Often pink but may be ulcerated</p><p>if traumatized</p><p>• Sessile or pedunculated</p>
5
New cards

Fibroma (histology)

Nodular mass of fibrous connective tissue covered by stratified

squamous epithelium

• Surface may exhibit hyperkeratosis from secondary trauma

<p>Nodular mass of fibrous connective tissue covered by stratified</p><p>squamous epithelium</p><p>• Surface may exhibit hyperkeratosis from secondary trauma</p>
6
New cards

Frenal tag (type of fibroma)

• Fibrous hyperplasia

• Most common on the maxillary

labial frenum

• Small, asymptomatic, exophytic

growths

• Can be diagnosed clinically so no

treatment is necessary

<p>• Fibrous hyperplasia</p><p>• Most common on the maxillary</p><p>labial frenum</p><p>• Small, asymptomatic, exophytic</p><p>growths</p><p>• Can be diagnosed clinically so no</p><p>treatment is necessary</p>
7
New cards

Surgical excision, biopsy, Malignancies can mimic

benign entities!

Fibroma - treatment

8
New cards

Epulis fissuratum

Reactive hyperplasia due to an

ill-fitting denture or alveolar

resorption

<p>Reactive hyperplasia due to an</p><p>ill-fitting denture or alveolar</p><p>resorption</p>
9
New cards

Epulis fissuratum

• Found in the vestibules

• Redundant folds

• Rubbery

• May be ulcerated

• Overgrowth of tissue along the

border of a denture

<p>• Found in the vestibules</p><p>• Redundant folds</p><p>• Rubbery</p><p>• May be ulcerated</p><p>• Overgrowth of tissue along the</p><p>border of a denture</p>
10
New cards

Epulis fissuratum

knowt flashcard image
11
New cards

Excision, remake denture

Epulis fissuratum - treatment

<p>Epulis fissuratum - treatment</p>
12
New cards

Inflammatory papillary hyperplasia

• Reactive tissue growth related to

• An ill-fitting denture

• Poor denture hygiene

• 24-hour denture wearing

<p>• Reactive tissue growth related to</p><p>• An ill-fitting denture</p><p>• Poor denture hygiene</p><p>• 24-hour denture wearing</p>
13
New cards

mouth-breathers

Inflammatory papillary hyperplasia may also

be seen in patients who are ...

<p>Inflammatory papillary hyperplasia may also</p><p>be seen in patients who are ...</p>
14
New cards

Inflammatory papillary hyperplasia

• Usually occurs on the hard

palate beneath a denture base

• Usually asymptomatic

• Mucosa is erythematous and has

a pebbly or papillary surface

<p>• Usually occurs on the hard</p><p>palate beneath a denture base</p><p>• Usually asymptomatic</p><p>• Mucosa is erythematous and has</p><p>a pebbly or papillary surface</p>
15
New cards

removal of dentures at night, Excise excessive tissue if necessary, Antifungal therapy

Inflammatory papillary hyperplasia - treatment

16
New cards

Gingival hyperplasia

• May be hereditary

• May be medication related

• Dilantin (Phenytoin)

• Cyclosporine

• Nifedipine

<p>• May be hereditary</p><p>• May be medication related</p><p>• Dilantin (Phenytoin)</p><p>• Cyclosporine</p><p>• Nifedipine</p>
17
New cards

Dilantin (Phenytoin), Cyclosporine, Nifedipine

3 medications that are linked to medication induced Gingival hyperplasia

18
New cards

Gingival hyperplasia

• Begins in the interdental

papillae

• Gingiva may cover the crowns

• Firm

<p>• Begins in the interdental</p><p>papillae</p><p>• Gingiva may cover the crowns</p><p>• Firm</p>
19
New cards

Discontinuation of the offending medication, Gingivectomy

Gingival hyperplasia - treatment

20
New cards

• Pyogenic Granuloma

• Peripheral Giant Cell Granuloma

• Peripheral Ossifying Fibroma

• Peripheral Fibroma

The 4 P’s (Dr. Cohen emphasized these!)

<p>The 4 P’s (Dr. Cohen emphasized these!) </p>
21
New cards

Pyogenic granuloma (AKA Lobular capillary hemangioma)

• Common

• Cause: local irritation or trauma

<p>• Common</p><p>• Cause: local irritation or trauma</p>
22
New cards

Pyogenic granuloma

• 75% on the gingiva

• Sometimes called the

“pregnancy tumor”

• Smooth or lobulated vascular

mass

• Pink-red-purple

• Usually ulcerated

<p>• 75% on the gingiva</p><p>• Sometimes called the</p><p>“pregnancy tumor”</p><p>• Smooth or lobulated vascular</p><p>mass</p><p>• Pink-red-purple</p><p>• Usually ulcerated</p>
23
New cards

Pyogenic granuloma (histopathology)

• Ulcerated stratified squamous epithelium

• Vascularized fibrous connective tissue

• Mixed inflammatory infiltrate

<p>• Ulcerated stratified squamous epithelium</p><p>• Vascularized fibrous connective tissue</p><p>• Mixed inflammatory infiltrate</p>
24
New cards

Surgical excision, biopsy, In pregnant patients defer treatment

Pyogenic granuloma - treatment

25
New cards

Peripheral Giant Cell Granuloma

• Common

• Reactive lesion caused by local

irritation or trauma

<p>• Common</p><p>• Reactive lesion caused by local</p><p>irritation or trauma</p>
26
New cards

Peripheral Giant Cell Granuloma

• Occurs exclusively on the gingiva

or edentulous alveolar ridge

• Red or red-blue nodular mass

• Frequently ulcerated

• "Cupping" resorption of the

underlying alveolar bone may be

noted

<p>• Occurs exclusively on the gingiva</p><p>or edentulous alveolar ridge</p><p>• Red or red-blue nodular mass</p><p>• Frequently ulcerated</p><p>• "Cupping" resorption of the</p><p>underlying alveolar bone may be</p><p>noted</p>
27
New cards

surgical excision down to the underlying bone, biopsy, Adjacent teeth should be carefully scaled

Peripheral Giant Cell Granuloma - Treatment

28
New cards

Peripheral Ossifying Fibroma

• Common

• Reactive lesion caused by local

irritation or trauma

<p>• Common</p><p>• Reactive lesion caused by local</p><p>irritation or trauma</p>
29
New cards

Peripheral Ossifying Fibroma

• Occurs exclusively on the gingiva

• Nodular mass

• Frequently ulcerated

• Red to pink

• Seen most commonly in teens

and young adults

<p>• Occurs exclusively on the gingiva</p><p>• Nodular mass</p><p>• Frequently ulcerated</p><p>• Red to pink</p><p>• Seen most commonly in teens</p><p>and young adults</p>
30
New cards

Local surgical excision down to periosteum, biopsy, Adjacent teeth should be thoroughly scaled

Peripheral Ossifying Fibroma - Treatment

31
New cards

Giant cell fibroma

• Fibrous tumor

• Unlike the traumatic fibroma, it

does not appear to be

associated with chronic irritation

<p>• Fibrous tumor</p><p>• Unlike the traumatic fibroma, it</p><p>does not appear to be</p><p>associated with chronic irritation</p>
32
New cards

Giant cell fibroma

• Asymptomatic

• The surface of the mass often

appears papillary

• More common in young patients

• Approximately 50% of all cases

occur on the gingiva

• Tongue and palate also are

common sites

<p>• Asymptomatic</p><p>• The surface of the mass often</p><p>appears papillary</p><p>• More common in young patients</p><p>• Approximately 50% of all cases</p><p>occur on the gingiva</p><p>• Tongue and palate also are</p><p>common sites</p>
33
New cards

Retrocuspid papilla

• Papillary-like growth

• Mandibular gingiva lingual to

canine

• Frequently bilateral

• 25-99% of children/YA

• Involutes with age

• Should be recognized clinically

as a normal anatomic variation

<p>• Papillary-like growth</p><p>• Mandibular gingiva lingual to</p><p>canine</p><p>• Frequently bilateral</p><p>• 25-99% of children/YA</p><p>• Involutes with age</p><p>• Should be recognized clinically</p><p>as a normal anatomic variation</p>
34
New cards

surgical excision, biopsy, recurrence is rare

Giant cell fibroma - Treatment

35
New cards

Granular cell tumor

• Uncommon

• Derived for Schwann cells

• Cytoplasm is granular because of

lysosomes

<p>• Uncommon</p><p>• Derived for Schwann cells</p><p>• Cytoplasm is granular because of</p><p>lysosomes</p>
36
New cards

Granular cell tumor

• Most commonly found on the

dorsal tongue

• Asymptomatic sessile nodule

• Pink to yellowish in color

<p>• Most commonly found on the</p><p>dorsal tongue</p><p>• Asymptomatic sessile nodule</p><p>• Pink to yellowish in color</p>
37
New cards

Conservative local excision, biopsy, recurrence is rare

Granular cell tumor - treatment

38
New cards

Congenital epulis (Congenital granular cell lesion)

• Uncommon

• Occurs almost exclusively on the

alveolar ridges of newborns

• Bears a microscopic

resemblance to the granular cell

tumor

<p>• Uncommon</p><p>• Occurs almost exclusively on the</p><p>alveolar ridges of newborns</p><p>• Bears a microscopic</p><p>resemblance to the granular cell</p><p>tumor</p>
39
New cards

Congenital epulis

• Pink-to-red, smooth-surfaced,

polypoid mass on the alveolar

ridge of a newborn

• More common on the maxilla

than the mandible

• 90% occur in females

<p>• Pink-to-red, smooth-surfaced,</p><p>polypoid mass on the alveolar</p><p>ridge of a newborn</p><p>• More common on the maxilla</p><p>than the mandible</p><p>• 90% occur in females</p>
40
New cards

Surgical excision, biopsy, no reports of recurrence

Congenital epulis - treatment

41
New cards

Lipoma

• Benign tumor of fat

• 4% of mesenchymal tumors of

oral cavity

<p>• Benign tumor of fat</p><p>• 4% of mesenchymal tumors of</p><p>oral cavity</p>
42
New cards

Lipoma

• Soft, doughy, smooth-surfaced

nodular

• Asymptomatic

• Pink to yellow in color

<p>• Soft, doughy, smooth-surfaced</p><p>nodular</p><p>• Asymptomatic</p><p>• Pink to yellow in color</p>
43
New cards

Conservative local excision, biopsy, Recurrence is rare

Lipoma - treatment

44
New cards

Hemangioma

• Congenital lesion

• Most common tumor of infancy

• Vascular proliferation

• Often red/blue

• Early rapid growth, followed by

slow involution

<p>• Congenital lesion</p><p>• Most common tumor of infancy</p><p>• Vascular proliferation</p><p>• Often red/blue</p><p>• Early rapid growth, followed by</p><p>slow involution</p>
45
New cards

Vascular malformation

◦ Most common sites in the head

and neck:

◦ Lips, tongue, buccal mucosa, or

palate

◦ Deep red or blue compressible

lesion

◦ Lesions can in the soft tissue or

central (intraosseous) in location

<p>◦ Most common sites in the head</p><p>and neck:</p><p>◦ Lips, tongue, buccal mucosa, or</p><p>palate</p><p>◦ Deep red or blue compressible</p><p>lesion</p><p>◦ Lesions can in the soft tissue or</p><p>central (intraosseous) in location</p>
46
New cards

spontaneous remission, surgery, embolization, sclerosing agents, cryotherapy, laser , DO NOT BIOPSY (refer it)

Vascular malformation - treatment

<p>Vascular malformation - treatment</p>
47
New cards

Lymphangioma

• Benign, hamartomatous

tumorlike growths of lymphatic

vessels

• Likely represent developmental

anomalies that arise from

sequestrations of lymphatic

tissue that do not communicate

normally with the rest of the

lymphatic system

<p>• Benign, hamartomatous</p><p>tumorlike growths of lymphatic</p><p>vessels</p><p>• Likely represent developmental</p><p>anomalies that arise from</p><p>sequestrations of lymphatic</p><p>tissue that do not communicate</p><p>normally with the rest of the</p><p>lymphatic system</p>
48
New cards

Lymphangioma

• Predilection for the head and

neck

• Oral lymphatic malformations

are most frequent on the

anterior two thirds of the

tongue, where they often result

in macroglossia

• Demonstrates a pebbly surface

that resembles a cluster of

translucent vesicles

<p>• Predilection for the head and</p><p>neck</p><p>• Oral lymphatic malformations</p><p>are most frequent on the</p><p>anterior two thirds of the</p><p>tongue, where they often result</p><p>in macroglossia</p><p>• Demonstrates a pebbly surface</p><p>that resembles a cluster of</p><p>translucent vesicles</p>
49
New cards

Surgical excision, Sclerotherapy, May recur

Lymphangioma - treatment

<p>Lymphangioma - treatment</p>
50
New cards

Neurofibroma

• Most common peripheral nerve

neoplasm

• Can be a solitary tumor or be a

component of

neurofibromatosis*

<p>• Most common peripheral nerve</p><p>neoplasm</p><p>• Can be a solitary tumor or be a</p><p>component of</p><p>neurofibromatosis*</p>
51
New cards

Neurofibroma

• Slow-growing, soft, painless

lesions that vary in size from

small nodules to larger masses

• Can be in the soft tissue or

central (in bone)

<p>• Slow-growing, soft, painless</p><p>lesions that vary in size from</p><p>small nodules to larger masses</p><p>• Can be in the soft tissue or</p><p>central (in bone)</p>
52
New cards

Neurofibroma

inferior alveolar nerve canal looks extremely expanded

<p>inferior alveolar nerve canal looks extremely expanded</p>
53
New cards

Surgical excision

Neurofibroma - treatment

54
New cards

Schwannoma

• Benign neural neoplasm of

Schwann cell origin

• Uncommon

<p>• Benign neural neoplasm of</p><p>Schwann cell origin</p><p>• Uncommon</p>
55
New cards

Schwannoma

• Slow-growing, encapsulated

tumor that typically arises in

association with a nerve trunk

• Asymptomatic

• The tongue is the most common

location for oral _____

• Can arise centrally

<p>• Slow-growing, encapsulated</p><p>tumor that typically arises in</p><p>association with a nerve trunk</p><p>• Asymptomatic</p><p>• The tongue is the most common</p><p>location for oral _____</p><p>• Can arise centrally</p>
56
New cards

Surgical excision

Schwannoma - treatment

57
New cards

Traumatic neuroma

• Reactive proliferation of neural

tissue after transection or other

damage of a nerve bundle

<p>• Reactive proliferation of neural</p><p>tissue after transection or other</p><p>damage of a nerve bundle</p>
58
New cards

Traumatic neuroma

• Smooth-surfaced, nonulcerated

nodules

• Most common in the mental

foramen area, tongue, and lower

lip

• A history of trauma often can be

elicited

• May be intraosseous

• About 1/3 are painful

<p>• Smooth-surfaced, nonulcerated</p><p>nodules</p><p>• Most common in the mental</p><p>foramen area, tongue, and lower</p><p>lip</p><p>• A history of trauma often can be</p><p>elicited</p><p>• May be intraosseous</p><p>• About 1/3 are painful</p>
59
New cards

60
New cards

Squamous papilloma

Verruca vulgaris

Condyloma acuminatum

What is your differential for the lesion pictured?

<p>What is your differential for the lesion pictured?</p>
61
New cards

1. Squamous papilloma

2. Verruca vulgaris

3. Giant cell

What is you differential for the lesion pictured?

<p>What is you differential for the lesion pictured?</p>
62
New cards

1. oral melanotic macul

2. Acquired melanocytic nevus

3. Blue nevus

What is you differential?

<p>What is you differential?</p>
63
New cards

seborrheic keratosis

Diagnosis:

-74-year-old female

-Admits to a long history of sun exposure

-CC: "This thing on my face is so ugly"

<p>Diagnosis:</p><p>-74-year-old female</p><p>-Admits to a long history of sun exposure</p><p>-CC: "This thing on my face is so ugly"</p>
64
New cards

Epulis Fissuratum

-64-year-old male

-Non-contributory medical and social history

-Are there any questions you'd like to ask before you answer the question above?

<p>-64-year-old male</p><p>-Non-contributory medical and social history</p><p>-Are there any questions you'd like to ask before you answer the question above?</p>
65
New cards

Gingival hyperplasia, ask questions about medications (Dylantin), frequent hygiene and gingivectomy

Diagnosis and treatments

<p>Diagnosis and treatments</p>
66
New cards

1. Giant Cell Granulomas

2. Pyogenic granuloma

3. Peripheral Ossifying Fibroma

knowt flashcard image
67
New cards

peripheral giant cell granuloma, peripheral Ossifying Fibroma

Which of the 4 P's occur exclusively on the gingiva?

68
New cards

69
New cards

Lipoma

Fibroma

Schwanomma

knowt flashcard image