1/21
Looks like no tags are added yet.
Name | Mastery | Learn | Test | Matching | Spaced |
|---|
No study sessions yet.

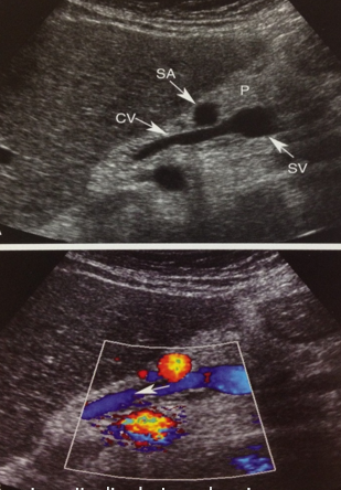
portal hypertension

portosystemic venous collaterals

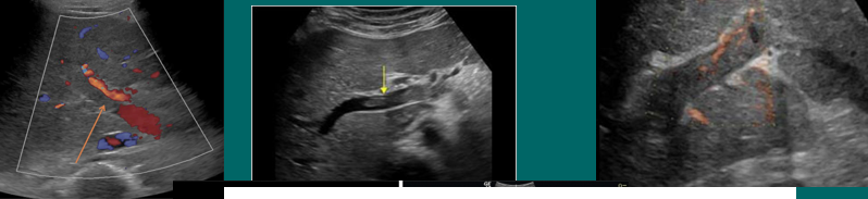
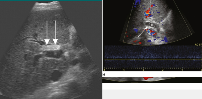
portal vein occlusion

PV obstruction

cavernous transformation of PV

schistosomiasis/bilharziasis

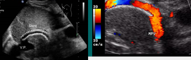
trans jugular intrahepatic portocaval shunt
TIPS

liver tranplantation

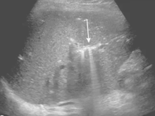
HA thrombosis
HAT

hepatic artery stenosis (HAS)

hepatic artery aneurysm

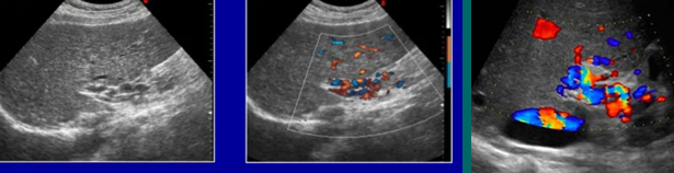
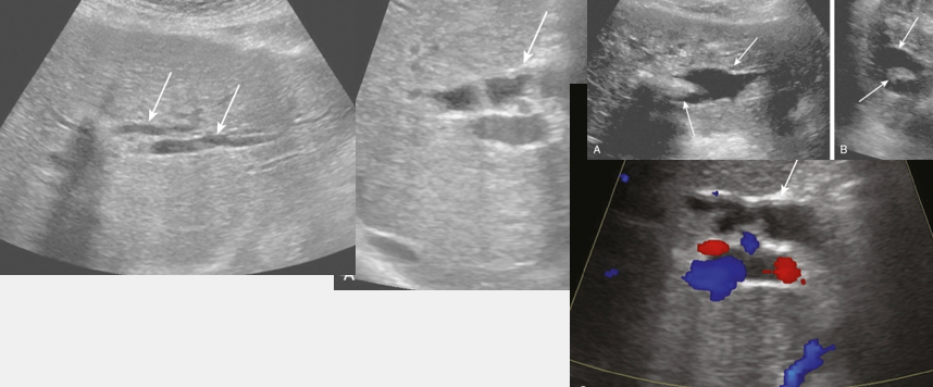
portal vein thrombosis (PVT)

portal vein stenosis (PVS)

HA to PV fistula (AVF)

HV/IVC thrombosis

biliary complications

PV gas

biloma (fluid collection)

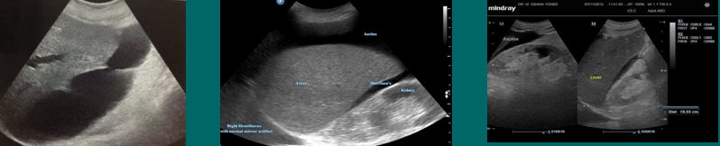
ascites (fluid collection)

pleural effusion (fluid collection)

hematoma (fluid collection)

abscess (fluid collection)