1/107
UT 405 - Neonatal Sonography
Name | Mastery | Learn | Test | Matching | Spaced | Call with Kai |
|---|
No analytics yet
Send a link to your students to track their progress

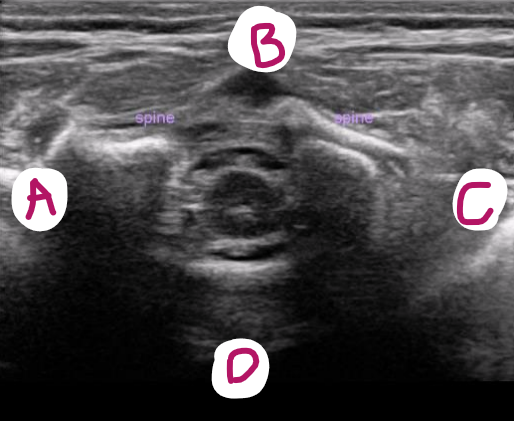
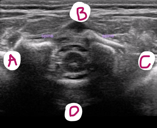
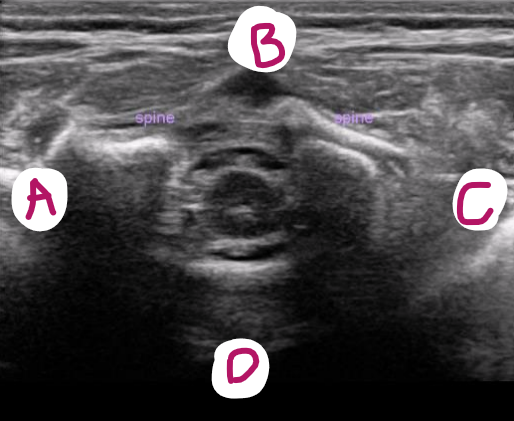
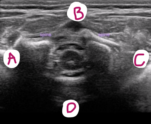
a
right

b
posterior

c
left

d
anterior

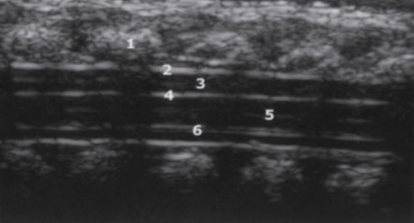
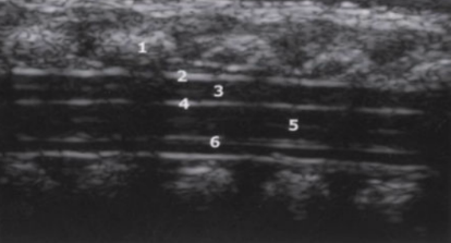
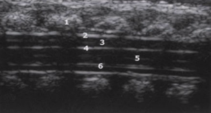
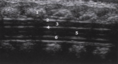
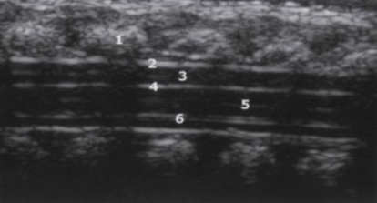
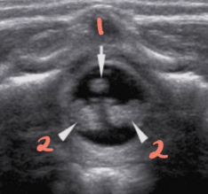
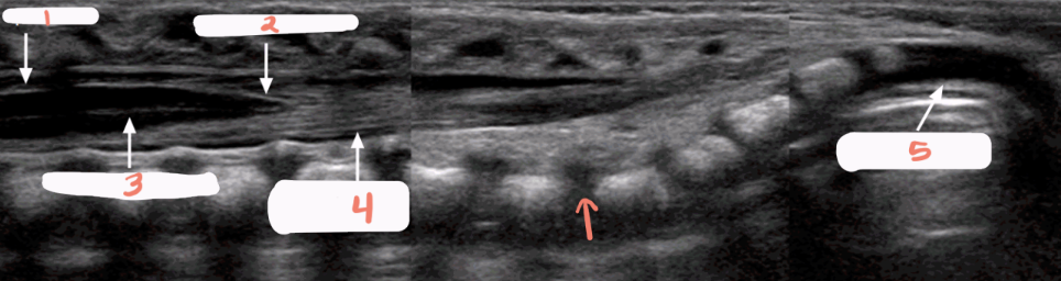
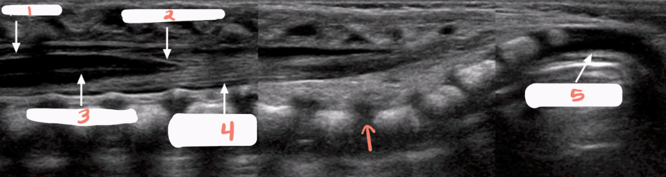
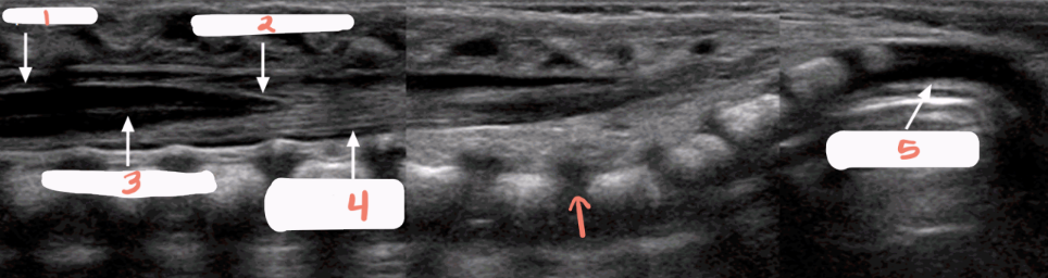
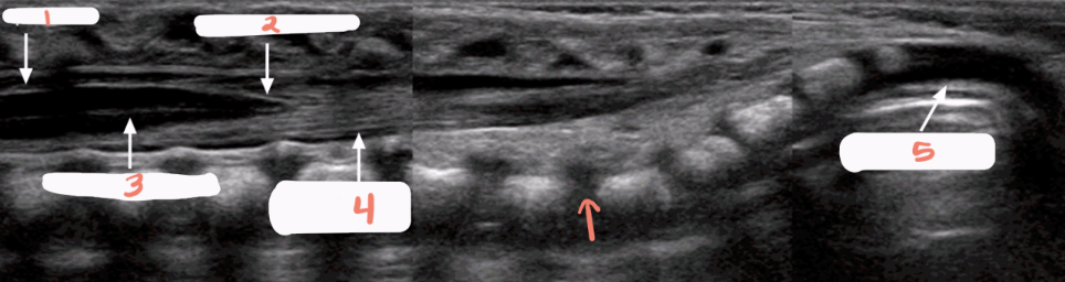
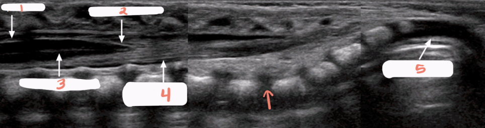
1
subarachnoid space

2
cartilaginous spinous processes

3
dura mater

4
epidural space

5
central echo complex in hypoechoic spinal cord

6
conus medullaris

7
vertebral bodies

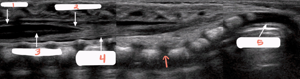
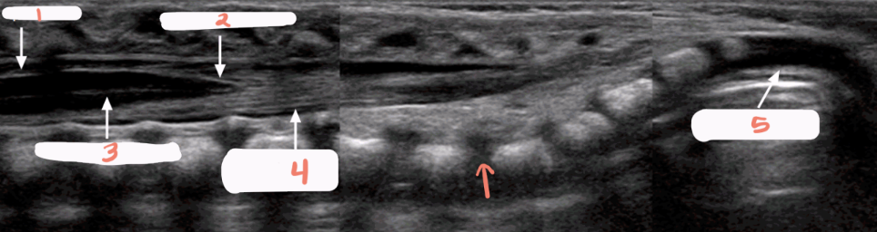
1
spinal cord

2
subarachnoid space

3
arachnoid and dura mater

4
cartilaginous spinous process

5
conus medullaris

6
central echo complex in hypoechoic spinal cord

7
vertebral bodies

8
nerve roots forming the cauda equina

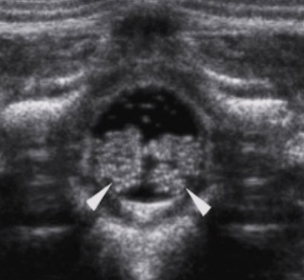
solid white arrow
echogenic epidural fat

vb
vertebral bodies

d
intervertebral disks

p
spinous processes

arrowheads
arachnoid/dural layer

e
epidural space

*
subarachnoid space w/ CSF

sc
hypoechoic spinal cord

1
spinous processes

2
subarachnoid/dural layer

3
subarachnoid space filled with CSF

4
posterior margin of spinal cord

5
spinal cord with central echo complex

6
anterior margin of the spinal cord

f
filum terminale

c
conus medullaris

a
anterior and posterior margins of spinal cord

b
echogenic nerve roots in the subarachnoid space

c
conus medullaris

what are the calipers measuring?
filum terminale

s
thecal sac

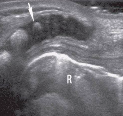
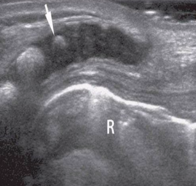
white arrow
end of thecal sac (about s2)

white arrow
partially calcified coccyx

r
rectum filled with air

c
hypoechoic spinal cord

arrows
echogenic nerve roots of cauda equina

arrowheads
echogenic dura

*
echogenic vertebral arches

p
spinous process

1
prominent echogenic round filum terminale

2
echogenic nerve roots

arrowheads
nerve roots (small echogenic dots) obscuring filum terminale

circle
coccyx

1
spinal cord

2
conus medullaris

3
central echo complex in hypoechoic spinal cord

4
filum terminale and nerve roots

5
unossified coccyx

arrow
lumbosacral joint

is this spine normal?
yes

1
dura

2
spinal cord

3
central echo

4
dorsal nerve root

5
unossified spinous process

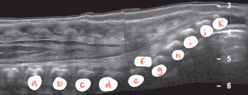
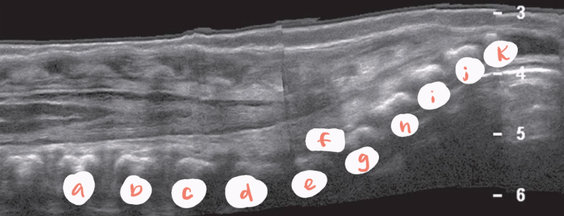
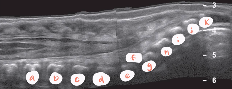
a
L1

b
L2

c
L3

d
L4

e
L5

f
LSJ

g
S1

h
S2

i
S3

J
S4

k
S5

yellow arrow
S1

a
central canal of spinal cord

b
hypoechoic spinal cord

c
conus medullaris

d
pedicles/vertebral arches

f
nerve roots

g
coccygeal segments

h
T12

i
L1

e
filum terminale

J
L5

k
S1

arrow
LSJ

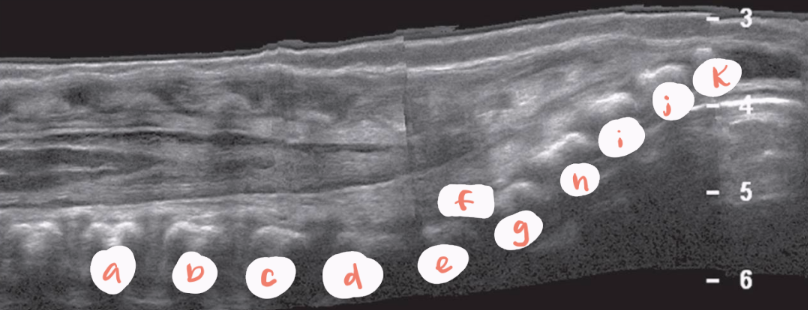
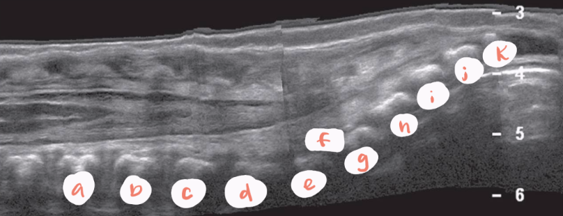
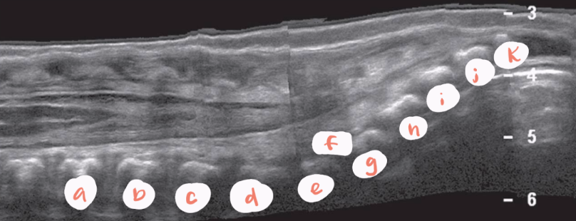
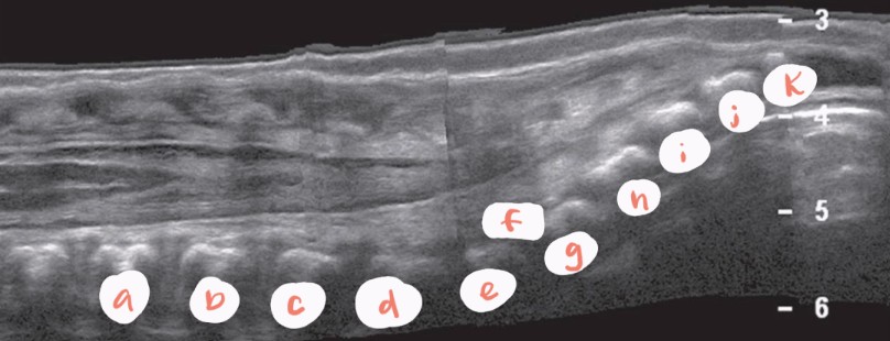
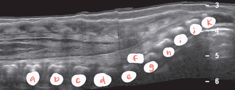
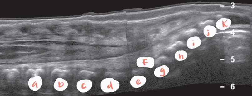
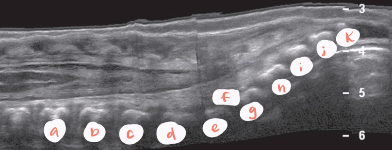
a
L1

b
L2

c
L3

d
L4

e
L5

f
S1

g
S2

h
S3

i
S4

J
S5

arrow
filum terminale

red arrow
filum terminale