Epithelial Tissue|4 Medical Histology

0.0(0)
studied byStudied by 0 people
0.0(0)
full-widthCall with Kai
GameKnowt Play
New
learnLearn
examPractice Test
spaced repetitionSpaced Repetition
heart puzzleMatch
flashcardsFlashcards
Card Sorting

1/102

flashcard set

Earn XP

Description and Tags

Test #2 Tissues

Study Analytics
Name
Mastery
Learn
Test
Matching
Spaced

No study sessions yet.

103 Terms

1
New cards
<p>Identify the Epithelium</p>

Identify the Epithelium

Simple Cuboidal

2
New cards
<p>Identify the Epithelium</p>

Identify the Epithelium

Simple Cuboidal

3
New cards
<p>Identify the Epithelium</p>

Identify the Epithelium

Simple Cuboidal

4
New cards
<p>Identify the Epithelium</p>

Identify the Epithelium

Simple Cuboidal

5
New cards
<p>Identify the Epithelium</p>

Identify the Epithelium

Simple Squamous

6
New cards
<p>Identify the Epithelium</p>

Identify the Epithelium

Simple Columnar

7
New cards
<p>Identify the Epithelium</p>

Identify the Epithelium

Simple Columnar (with goblet cells)

8
New cards
<p>Identify the Epithelium</p>

Identify the Epithelium

Pseudostratified Columnar

9
New cards
<p>Identify the Epithelium</p>

Identify the Epithelium

Pseudostratified Columnar

10
New cards
<p>Identify the Epithelium</p>

Identify the Epithelium

Pseudostratified Columnar

11
New cards
<p>Identify the Epithelium</p>

Identify the Epithelium

ciliated pseudostratified columnar epithelium

12
New cards
<p>Identify the Epithelium</p>

Identify the Epithelium

Stratified Squamous

13
New cards
<p>Identify the Epithelium</p>

Identify the Epithelium

Stratified Squamous

14
New cards
<p>Identify the Epithelium</p>

Identify the Epithelium

Stratified Cuboidal

15
New cards
<p>Identify the Epithelium</p>

Identify the Epithelium

Stratified Cuboidal and Stratified Columnar

16
New cards
<p>Identify the Epithelium</p>

Identify the Epithelium

Stratified Cuboidal and Stratified Columnar

17
New cards
<p>Identify the Epithelium (Circle)</p>

Identify the Epithelium (Circle)

Simple Columnar

18
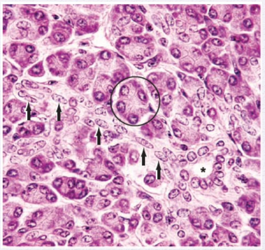
New cards
<p>Identify the Epithelium (Arrows)</p>

Identify the Epithelium (Arrows)

Simple Squamous

19
New cards
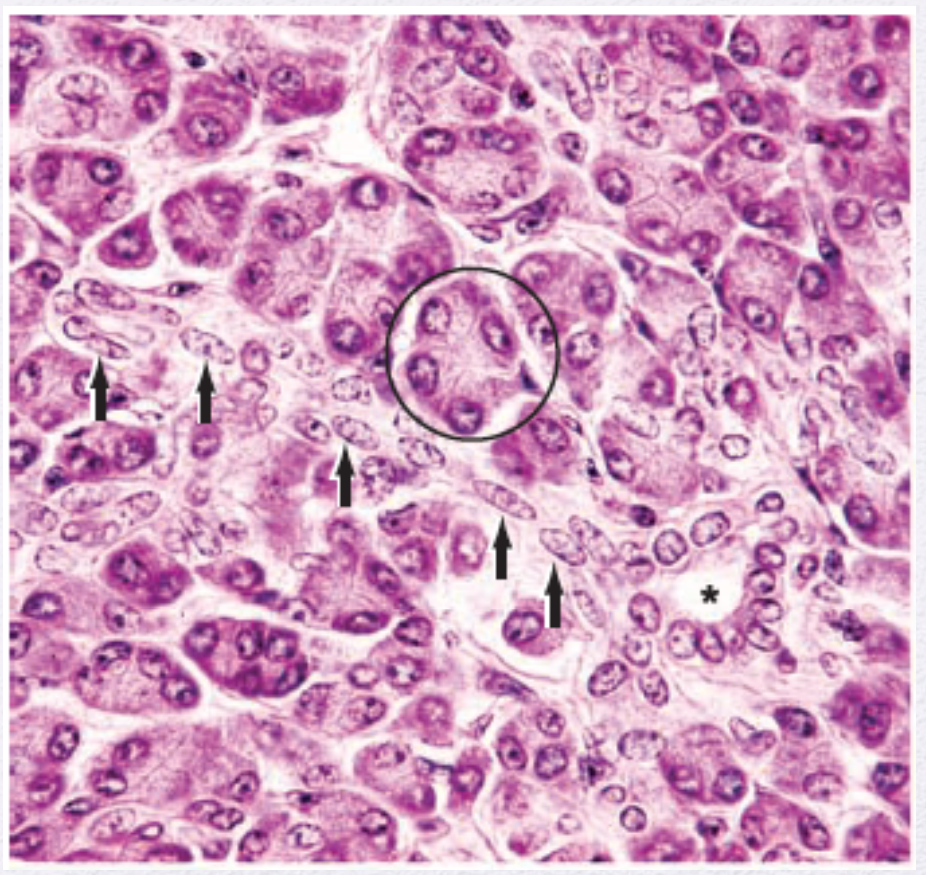
<p>Identify the Epithelium (Asterisk)</p>

Identify the Epithelium (Asterisk)

Simple Cuboidal

20
New cards
<p>Identify the Epithelium </p>

Identify the Epithelium

Stratified Columnar

21
New cards
<p>Identify the Epithelium </p>

Identify the Epithelium

Transition Epithelium (Urothelium)

22
New cards
<p>Identify the Epithelium </p>

Identify the Epithelium

Transition Epithelium (Urothelium)

23
New cards
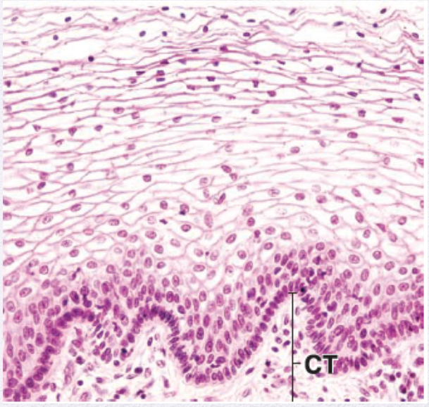
<p>Identify the Epithelium (arrow)</p>

Identify the Epithelium (arrow)

Stratified Squamous

24
New cards
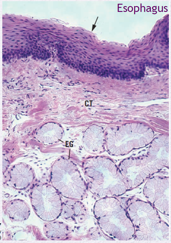
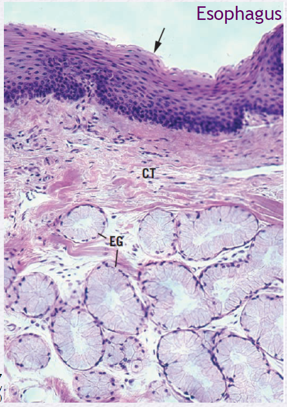
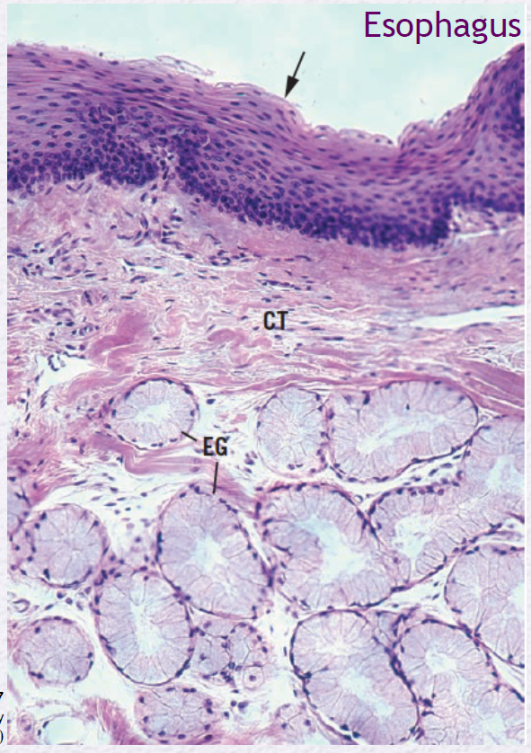
<p>Identify the Epithelium (EG)</p>

Identify the Epithelium (EG)

Esophageal Gland

25
New cards
<p>Mention the parts of a Gland</p>

Mention the parts of a Gland

Parenchyma and Stroma

26
New cards

Parenchyma

Functional portion of secretory and ductal epithelial cells.

27
New cards

Stroma

Supporting CT, separated from parenchyma by a basal lamina.

28
New cards

Supporting CT, separated from parenchyma by a basal lamina.

Stroma

29
New cards

Functional portion of secretory and ductal epithelial cells.

Parenchyma

30
New cards

Mention the 4 types of Body Tissue (4)

  1. Epithelial Tissue

  2. Connective Tissue

  3. Muscle Tissue

  4. Nervous Tissue

31
New cards

Simple Squamous Typical Locations (4)

  1. vascular system (endothelium)

  2. body cavities (mesothelium)

  3. Bowman’s Capsule (kidney)

  4. Respiratory Spaces in Lungs

32
New cards

Simple Squamous vascular system (endothelium) function

Exchange, barrier in CNS

33
New cards

Simple Squamous body cavities (mesothelium) function

Exchange & lubrication

34
New cards

Simple Squamous Bowman’s Capsule (kidney) function

Barrier

35
New cards

Simple Squamous Respiratory Spaces in Lungs function

Exchange

36
New cards

Simple Cuboidal Typical Locations (4)

  1. small ducts of exocrine glands

  2. surface of ovary (germinal epithelium)

  3. kidney tubules

  4. thyroid follicules

37
New cards

Simple Cuboidal small ducts of exocrine glands function

Absorption and counduit

38
New cards

Simple Cuboidal surface of ovary (germinal epithelium) function

Barrier

39
New cards

Simple cuboidal kidney tubules function

Absorption & secretion

40
New cards

Simple cuboidal thyroid follicules function

Absorption & secretion

41
New cards

Simple Columnar Typical Locations (3)

  1. Small intestines and colon

  2. Stomach lining and gastric glands

  3. Gallbladder

42
New cards

Simple columnar Small intestines and colon function

Absorption & secretion

43
New cards

Simple Columnar lining and gastric glands function

Secretion

44
New cards

Simple Columnar gallbladder function

Absorption

45
New cards

Pseudostratified Columnar typical locations (3)

  1. Trachea and branchial tree

  2. ducts deferens

  3. efferent ductules of epididymis

46
New cards

Pseudostratified columnar trachea and branchial tree function

Secretion & Conduit

47
New cards

Pseudostratified columnar ducts deferens function

Secretion & Conduit

48
New cards

Pseudostratified columnar efferent ductules of epididymis

Absorption & Conduit

49
New cards

Stratified Squamous typical locations (3)

  1. Epidermis

  2. Oral Cavity and esophagus

  3. Vagina

50
New cards

Stratified Squamous Epidermis function

Barrier & Protection

51
New cards

Stratified Squamous Oral Cavity and Esophagus function

Barrier & Protection

52
New cards

Stratified Squamous vagina function

Barrier & Protection

53
New cards

Stratified Cuboidal Typical Locations (3)

  1. Sweat Gland duct

  2. Large duct of exocrine glands

  3. anorectal junction

54
New cards

Stratified Cuboidal sweat gland duct function

barrier and conduit

55
New cards

Stratified Cuboidal large ducts of exocrine glands function

barrier and conduit

56
New cards

Stratified Cuboidal anorectal junction funtion

barrier and conduit

57
New cards

Stratified columnar typical locations (2)

  1. large ducts of exocrine glands

  2. anorectal junction

58
New cards

Stratified columnar large ducts of exocrine glands function

barrier and conduit

59
New cards

Stratified columnar anorectal junction function

barrier and conduit

60
New cards

Transition (Urothelium) Typical Locations (4)

  1. Renal Calyces

  2. Ureteres

  3. Bladder

  4. Urethra

61
New cards

Transition (Urothelium) Major Functions

Barrier, Distensible Porperty

62
New cards

Mention the Exocrine Glands (3)

  1. Merocrine

  2. Apocrine

  3. Holocrine

63
New cards

where the exocrine glands secrete their contents

Into a duct or a surface

64
New cards

where the endocrine glands secrete their contents

into the blood

65
New cards

where the paracrine or autocrine glands secrete their contents

into the local extracellular space

66
New cards

An example of an unicelllular exocrine gland

Goblet Cell

67
New cards

What are the exocrine secretion of multicelullar glands? (3)

  1. mucus

  2. serous

  3. mixed secretion (both mucus and serous)

68
New cards

Exocrine Glands mechanism of secretion for Merocrine

  1. parotid gland

  2. eccrine sweat gland

69
New cards

Exocrine Glands mechanism of secretion for apocrine

  1. mammary gland

  2. apocrine sweat glands

70
New cards

Exocrine Glands mechanism of secretion for holocrine

sebaceous gland

71
New cards
<p>Identify the exocrine gland</p>

Identify the exocrine gland

Simple alveolar (acinar)

72
New cards
<p>Identify the exocrine gland</p>

Identify the exocrine gland

Simpled branched alveolar

73
New cards
<p>Identify the exocrine gland</p>

Identify the exocrine gland

Simple tubular

74
New cards
<p>Identify the exocrine gland</p>

Identify the exocrine gland

simple coiled tubular

75
New cards
<p>Identify the exocrine gland</p>

Identify the exocrine gland

simple branched tubular

76
New cards
<p>Identify the exocrine gland</p>

Identify the exocrine gland

Compound alveolar (acinar)

77
New cards
<p>Identify the exocrine gland</p>

Identify the exocrine gland

Compound tubuloalveolar

78
New cards
<p>Identify the exocrine gland</p>

Identify the exocrine gland

compound tubular

79
New cards
<p>Name the gland’s duct (blue box)</p>

Name the gland’s duct (blue box)

Inter-lobular duct

80
New cards
<p>Name the gland’s duct (blue box)</p>

Name the gland’s duct (blue box)

Intra-lobar duct

81
New cards
<p>Name the gland’s duct (blue box)</p>

Name the gland’s duct (blue box)

intra-lobular duct

82
New cards
<p>Name the gland’s duct (blue box)</p>

Name the gland’s duct (blue box)

intercalary (teriary duct)

83
New cards
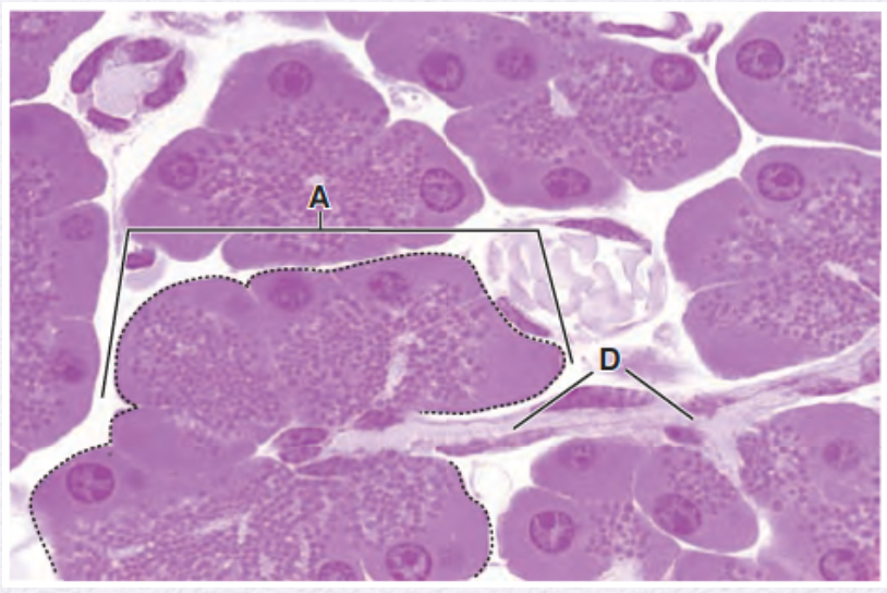
<p>Identify the gland (mocus or serous secreting /simple or compound)</p>

Identify the gland (mocus or serous secreting /simple or compound)

Mucus-secreting compound gland

84
New cards
<p>Identify the gland (mocus or serous secreting /simple or compound)</p>

Identify the gland (mocus or serous secreting /simple or compound)

serous-secreting compoud gland

85
New cards

endocrine glands\unicellular gland typical locations (2)

  1. GI epithelial

  2. Respiratory epithelial

86
New cards

endocrine glands\multicellular gland typical location (1)

  1. Adrenal Gland

87
New cards

endocrine glands\multicellular gland how the secretory material is released? 

fenestThe secretory material is released into fenestrated capillaries, allowing hormones to rapidly enter circulation.

88
New cards

endocrine glands lacks?

Duct System

89
New cards

Where are fenestrated capillaries found in relation to the adrenal gland epithelium? (endocrine glands\multicellular)

They are abundant just outside the basal lamina of the glandular epithelium, facilitating hormone exchange between cells and blood.

90
New cards

What type of gland is the adrenal gland?

The adrenal gland is a multicellular endocrine gland composed of epithelial cells that secrete hormones directly into the bloodstream.

91
New cards

What is metaplasia?

Metaplasia is the conversion of one type of differentiated epithelium into another in response to chronic irritation or stress.

92
New cards

What usually causes metaplasia to occur?

It often develops as a response to persistent injury or irritation, allowing tissue to better tolerate the stress.

93
New cards

What is the most common type of epithelial metaplasia?

The most common type is glandular columnar epithelium changing into stratified squamous epithelium.

94
New cards

What happens to the esophageal epithelium in chronic acid reflux?

The stratified squamous non-keratinized epithelium is replaced by glandular mucus-secreting epithelium, known as Barrett epithelium.

95
New cards

Why is Barrett epithelium clinically significant?

Because it can progress to dysplasia and increase the risk of esophageal adenocarcinoma if the chronic irritation continues.

96
New cards
97
New cards

What causes epithelial cell tumors to develop?

They occur when epithelial cells fail to respond to normal growth regulatory mechanisms, leading to uncontrolled proliferation.

98
New cards

What distinguishes a benign epithelial tumor from a malignant one?

  • Benign: Remains localized and does not invade nearby tissues.

  • Malignant: Invades neighboring tissues and may or may not metastasize to distant organs.

99
New cards

What is the general term for malignant epithelial tumors?

Carcinomas.

100
New cards

From where do carcinomas arise?

They arise from surface epithelia (such as skin or mucosal linings).