1/50
Looks like no tags are added yet.
Name | Mastery | Learn | Test | Matching | Spaced | Call with Kai |
|---|
No analytics yet
Send a link to your students to track their progress
What are the epithelial odontogenic tumors?
⢠Ameloblastoma
⢠Peripheral ameloblastoma
⢠Adenomatoid odontogenic tumor
What are the mixed (epithelium & mesenchyme) odontogenic tumors?
⢠Odontoma
ā compound odontoma
ā complex odontoma
⢠Ameloblastic fibroma
ā¢Ameloblastic fibro-odontoma
What is the definition of odontogenic?
pertaining to tissue that forms teeth
What is the definition of radiopaque?
area on x-ray film that appears white
⢠indicates presence of denser material
⢠x-ray beams do not pass through completely

What is the definition of radiolucent?
area on x-ray film that appears black
⢠indicates less dense material
⢠x-ray beams pass easily through

What is the definition of unilocular?
radiolucency with one compartment

What is the definition of multilocular?
radiolucency with multiple compartments

What is an ameloblastoma?
benign, slow-growing but locally aggressive tumor

What is the cause of an ameloblastoma?
neoplasia - may arise from dental lamina or enamel organ
What are common locations of ameloblastomas?
1) mandible = 80%
2) posterior regions

What are the clinical features of ameloblastomas?
⢠asymptomatic; painless; unencapsulated - infiltrating
⢠can be associated with impacted teeth

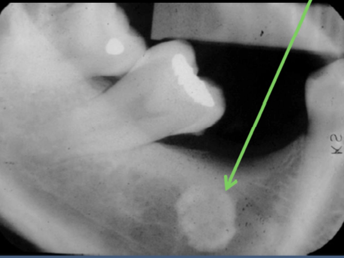
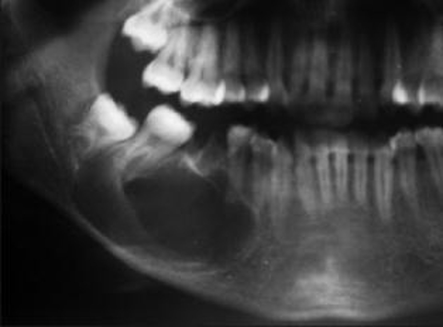
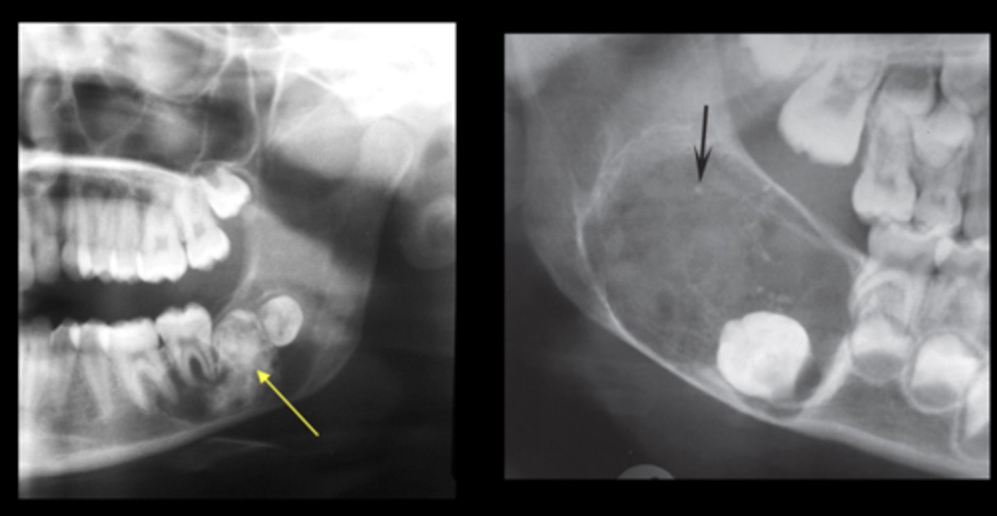
What are the radiographic features of ameloblastomas?
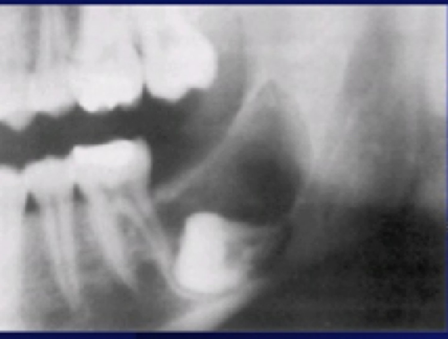
⢠unilocular radiolucency (early lesions)
⢠multilocular radiolucency (honeycomb/soap bubble) (large lesions)
⢠cortical thinning/bone expansion
⢠resorption of adjacent tooth roots + tooth displacement

What is the treatment & prognosis of an ameloblastoma?
⢠treatment: surgical excision - resection for large lesions
⢠prognosis: guarded -- 55-90% recurrence (15% if resection)
ā rare malignant transformation
What is the population of ameloblastomas?
young to middle-aged adults (20yrs+) - wide age range
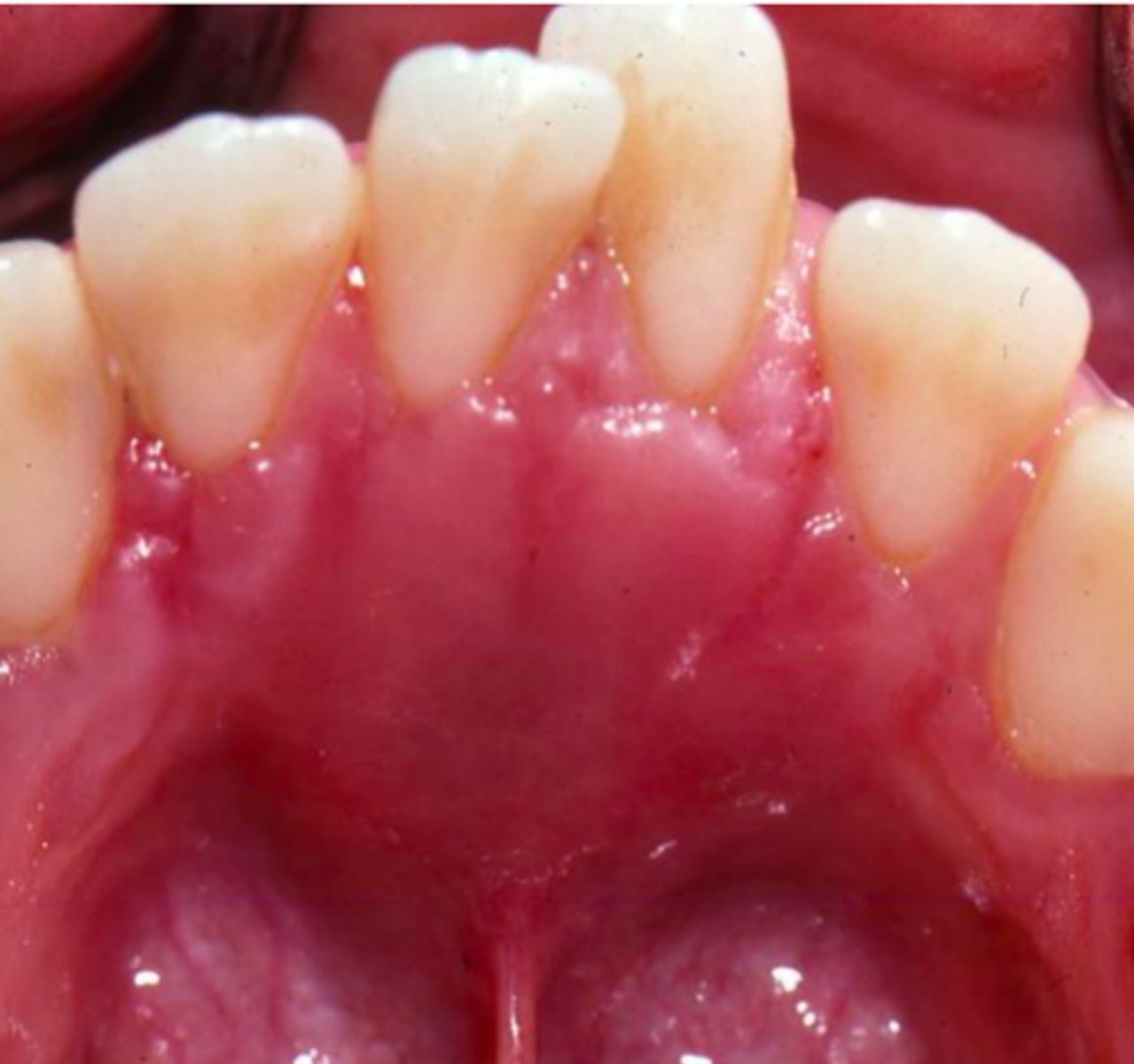
What is a peripheral ameloblastoma?
ameloblastoma of gingiva
⢠central = lesion in bone, peripheral = lesion in soft tissues
⢠RARE presentation of ameloblastoma
ā most odontogenic cysts/tumors can have peripheral presentations
⢠little to no bony involvement
⢠not as invasive
⢠treatment = surgical excision
⢠prognosis = excellent - recurrence is rare

What is an Adenomatoid Odontogenic Tumor? (AOT)
encapsulated benign tumor; also called Odontogenic Adenomatoid Tumor (OAT)

What is the cause of an adenomatoid odontogenic tumor?
neoplasm
What are common locations of adenomatoid odontogenic tumors?
1) maxilla
2) anterior (80%)
3) associated with impacted tooth (75%)

What are clinical features of adenomatoid odontogenic tumors?
⢠asymptomatic
⢠can be present with localized swelling

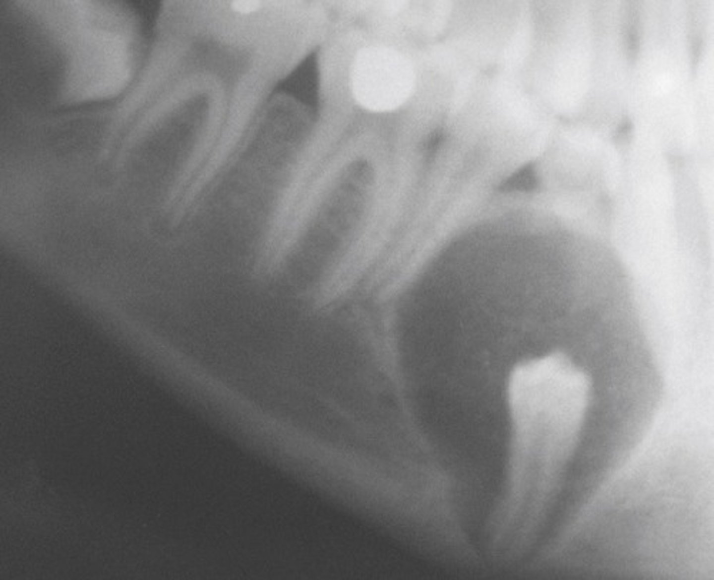
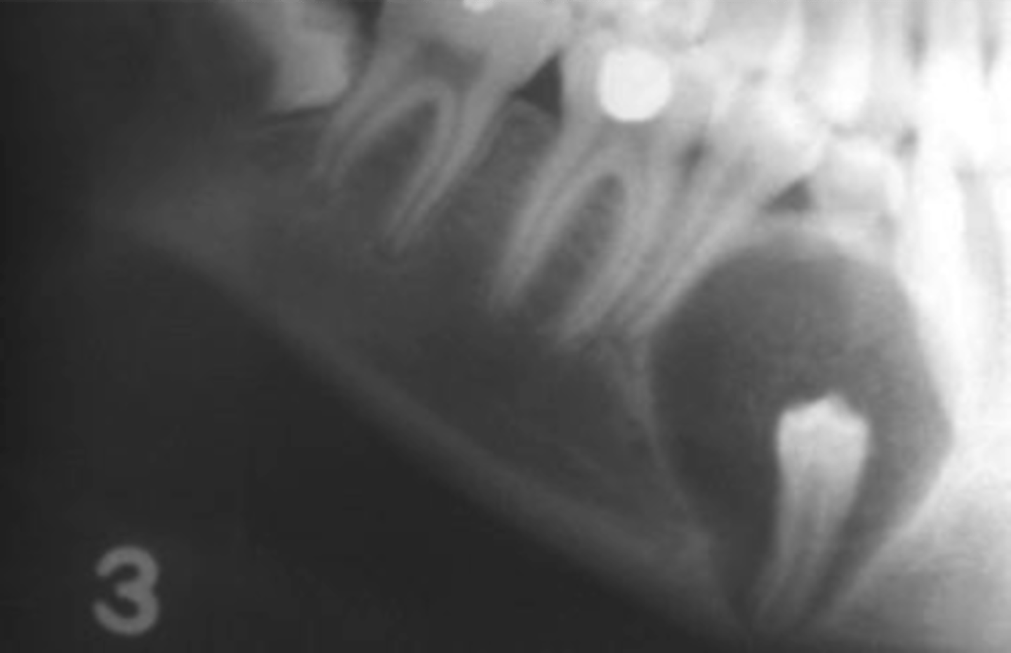
What are radiographic features of adenomatoid odontogenic tumors?
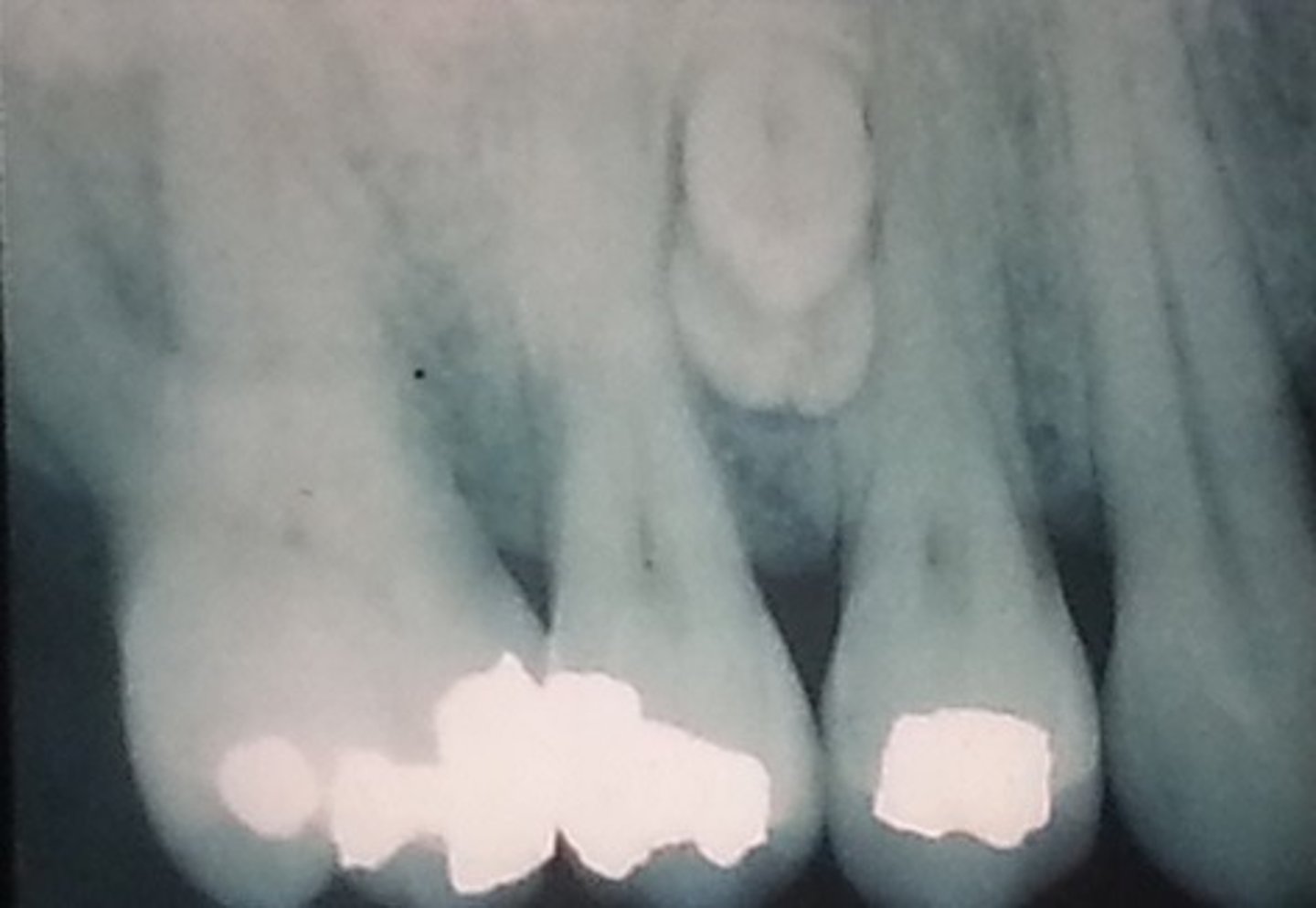
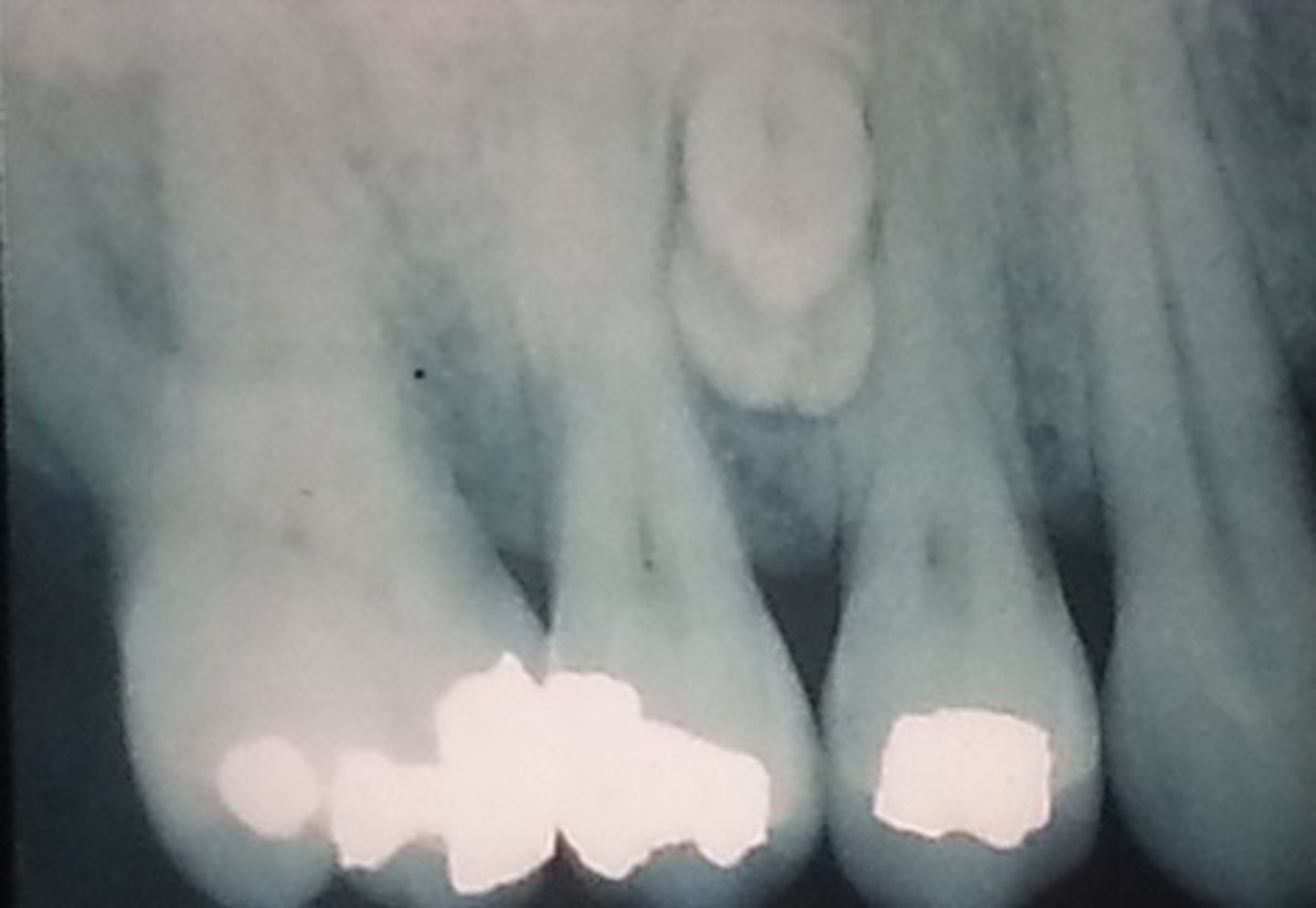
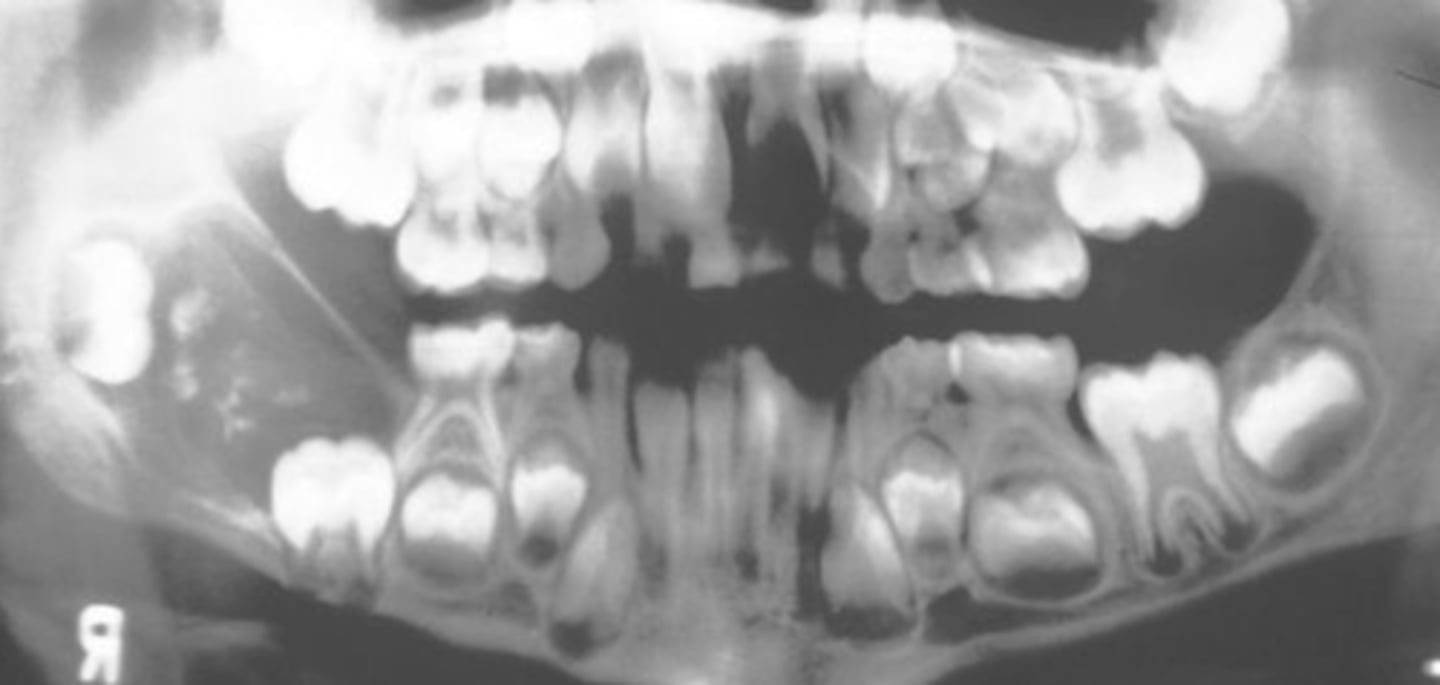
unilocular radiolucency with opaque flecks - "snowflakes"

What is the treatment and prognosis of an adenomatoid odontogenic tumor?
⢠treatment: surgical removal
⢠prognosis: excellent - no recurrence
What is the population of adenomatoid odontogenic tumors?
young: 70% = less than 20 yrs old; females
What is the most common odontogenic tumor?
odontoma
What is an odontoma?
tumor composed of enamel, dentin, cementum, and pulp tissue
⢠2 types: Compound Odontoma + Complex Odontoma

What is the cause of odontomas?
neoplasia
What is a compound odontoma?
resembles small teeth (toothlets/denticles)

What are the common locations of compound odontomas?
anterior jaws
*most common = mesiodens

What are clinical features of compound odontomas?
⢠asymptomatic
⢠associated with impacted/unerupted teeth

What is the radiographic appearance of compound odontomas?
cluster of miniature teeth (or extra mini tooth)

What is the treatment and prognosis for compound odontomas?
⢠treatment: surgical excision
⢠prognosis: excellent
What is the population of compound odontomas?
young: 10-20 yrs old
What is a complex odontoma?
contains odontogenic tissues but doesn't form small tooth-appearing structures

What are common locations of complex odontomas?
posterior jaws

What are clinical features of complex odontomas?
⢠asymptomatic
⢠associated with impacted/unerupted teeth

What are radiographic features of complex odontomas?
radiopaque mass

What is the treatment and prognosis for complex odontomas?
⢠treatment: surgical excision
⢠prognosis: excellent
What is the population of complex odontomas?
young: 10-20 years old
What is an ameloblastic fibroma?
benign non-encapsulated tumor

What is the cause of an ameloblastic fibroma?
neoplasia arising from dental lamina or enamel organ
What is the common location of an ameloblastic fibroma?
posterior mandible

What are clinical features of ameloblastic fibromas?
asymptomatic swelling

What are radiographic features of ameloblastic fibromas?
⢠unilocular/multilocular radiolucency
⢠usually associated with unerupted tooth (75%)

What is the treatment and prognosis for ameloblastic fibromas?
⢠treatment: surgical excision + aggressive curettage (scrape bone)
⢠prognosis: good - 20-40% recurrence
ā rare sarcoma transformation
What is the population of ameloblastic fibromas?
young: 10-20 years old; males
What is an ameloblastic fibro-odontoma?
tumor with features of both ameloblastic fibroma and odontoma

What is the cause of an ameloblastic fibro-odontoma?
neoplasia
What is the common location of an ameloblastic fibro-odontoma?
posterior mandible

What are clinical features of ameloblastic fibro-odontomas?
⢠asymptomatic
⢠usually associated with impacted tooth

What are radiographic features of ameloblastic fibro-odontomas?
⢠well-defined radiolucency + radiopaque component
*small fleck to large calcified masses

What is the treatment and prognosis of ameloblastic fibro-odontomas?
⢠treatment: surgical excision
⢠prognosis: excellent - rare recurrence
What is the population of ameloblastic fibro-odontomas?
young: less than 15 years old