Imagen de los riñones

0.0(0)
studied byStudied by 0 people
0.0(0)
full-widthCall with Kai
GameKnowt Play
New
learnLearn
examPractice Test
spaced repetitionSpaced Repetition
heart puzzleMatch
flashcardsFlashcards
Card Sorting

1/11

encourage image

There's no tags or description

Looks like no tags are added yet.

Study Analytics
Name
Mastery
Learn
Test
Matching
Spaced

No study sessions yet.

12 Terms

1
New cards

RX

  • Utilidad limitada

2
New cards

Urografía IV

  • Sustituida por TAC

3
New cards

TAC

4
New cards

US

5
New cards

Hidronefrosis

6
New cards

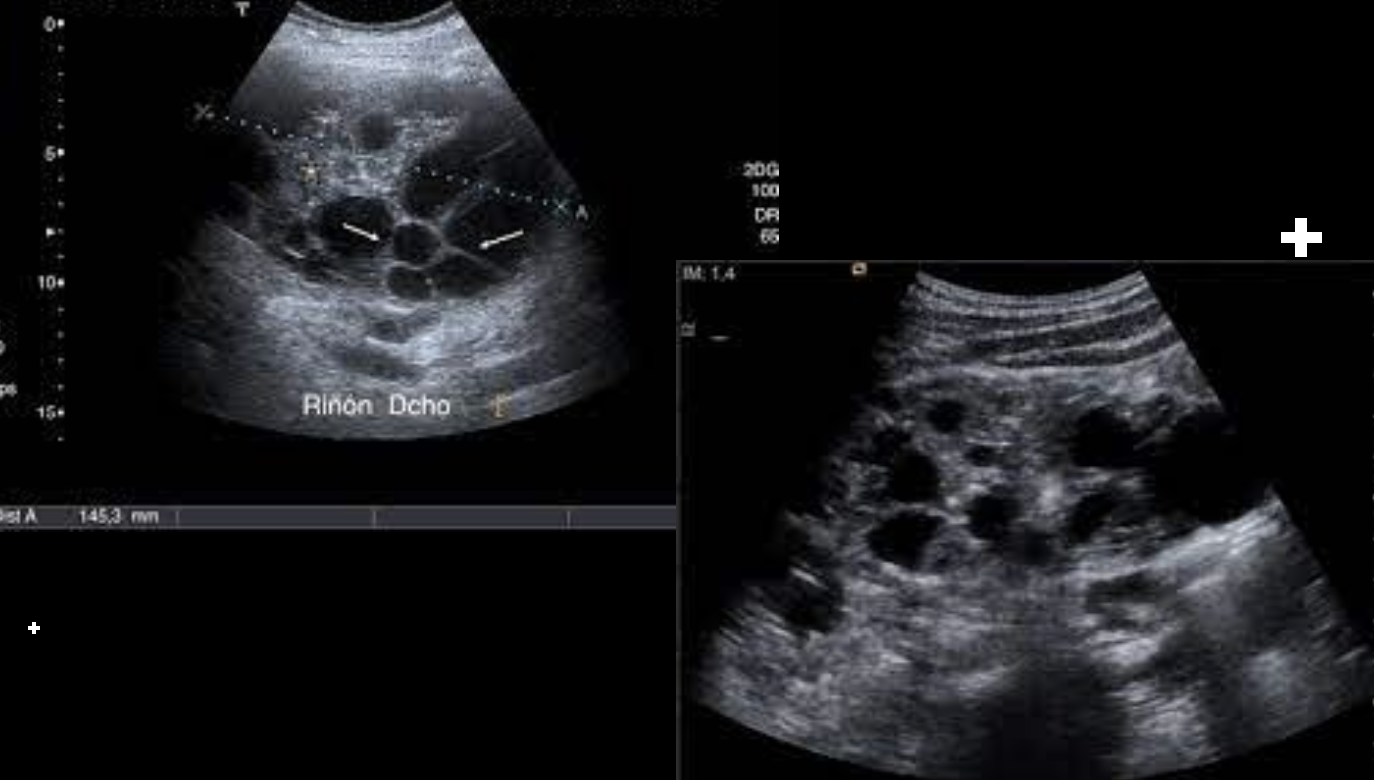
Quistes renales

7
New cards

Gammagrama renal

  • Utiliza un radioisótopo para medir el funcionamiento renal

  • Tecnecio 99 mercaptoacetiltriglicina(Tc-99mMAG3)

  • Filtrado de cada riñón

8
New cards

Medios de contraste

9
New cards

Gold standard para el diagnóstico de las enfermedades glomerulares

Biopsia renal

10
New cards

Complicaciones biopsia renal

  • Sangrado que requiere cirugía < 1%

  • Fístula arteriovenosa intrarenal < 1%

  • Muerte < 0.1%

  • Hematoma perinéfrico

  • Hematuria macroscópica

11
New cards

Contraindicaciones biopsia renal

  • Problemas coagulación

  • Uso de anticoagulantes o antiplaquetarios

  • Hipertensión no controlada

  • Anemia severa

  • Riñón único

  • Hidronefrosis

  • Aneurisma renal

  • Infección renal activa

  • Paciente no cooperador

  • Enfermedad renal crónica

12
New cards

Biopsia renal

  • Se analiza microscopía de luz, inmunofluorescencia y microscopía electrónica.

Explore top flashcards