1/43
Looks like no tags are added yet.
Name | Mastery | Learn | Test | Matching | Spaced | Call with Kai |
|---|
No analytics yet
Send a link to your students to track their progress
Need to know examples of protozoan and helminth parasites for each mode of transmission, and also need to knwo an example of each group of parasites (next lecture)
- also need to know some examples of anti-protozoan and anti-helminth drugs
LEARNING OUTCOMES
Vaccines for parasitic diseases
- July 2015 RTS,S/AS01 (Mosquirix) against malaria - 29%effective (57% against severe disease)
- December 2023 R21 vaccine - improved adjuvant, 70-80% efficacy
- Protection can wane quickly

Parasite Incidence
DIAGRAM ON SLIDE 3


Example of Outbreak of Parasitic Disease
DIAGRAM ON SLIDE 4 (whole slide)

Which country has the highest incidence of the roundworm Strongyloides
Australia
Except - Leishmanisation
- Variolation and First vaccine Edward Jenner 1796 for smallpox is not the first vaccine
.
- Leishmanisation predates the 1700s and probably dates back over 1000 years. Inoculation of live parasites into the buttock
- Good news is that it works
- Bad news is that it only works as the parasites remain with you for life

When was the last new anti-helminth drug licensed for humans
DIAGRAM ON SLIDE 8

What is a parasite
PARASITES:
- are much smaller than their hosts
- Are all eukaryotes (like you and me)
- in many cases, it's difficult to demonstrate that the host is harmed, but most
- reduce host fitness: exploit hosts for food, habitat, dispersal.
- show a high degree of specialization
- reproduce more quickly in greater numbers than hosts - faster to adapt
Why do you need to know about parasites?
BECAUSE SOME ARE MAJOR CAUSES OF HUMAN AND ANIMAL DISEASE
- there are many major human pathogens
- Often, but no means exclusively in tropical or less- developed countries
- And others are very dangerous to immunocompromised people
- Because they are eukaryotic and are related (very distantly) to you, they are often very difficult to treat!

True impact of parasitic diseases
DIAGRAM ON SLIDE 11


Are parasites a serious problem
DIAGRAM ON SLIDE 12

Opportunistic Parasites
- Eukaryotic organisms that are generally not pathogenic or that can reoccur from a quiescent stage, harmless to the immunocompetent, lethal to the immunocompromised
- the AIDs epidemic has reminded us that pathogenicity depends on the host as well as the organism
- should we call these organisms human pathogens?
.
Immunosupression can be due to:
- other infections (AIDS)
- cancer
- Drug or radiotherapy (in organ transplant or cancer traetment)
- More subtle, due to age or even pregnancy
.
- many are quiescent, re-emerge many years later
.
- quiescent means dormant
Parasite Life Cycles
ALL PARASITES PASS THROUGH A SERIES OF DEVELOPMENTAL STAGES TO COMPLETE THEIR LIFE CYCLES
- Direct = only one host in life cycle (basically means one person gives parasitic infection to another)
- Indirect = Two or more host required
- Definitive or primary host - where parasite reaches maturity and undergoes sexual reproduction
- Reservoir host - can harbour pathogen often with minimal effect
- Secondary or intermediate host - where the parasite usually undergoes asexual reproduction
.
- have both asexual and sexual reproduction(which normally occurs in definitive host).
Direct Transmission
- Passed directly from one infected host to another by some physical means or by direct invasion by the parasite
Food or Waterborne Transmission
- just an example of transmission
Intermediate Host or Vector (Transmission)
- Very common amongst parasites
- The stage where the sexual stages of the life cycle take place is the definitive host - may or may not be the human
- Sometimes just mechanical but usually one or more essential life-cycle stages take place here
- The distinction between intermediate host and vector is fairly arbitrary and depends on size, speed of movement and active involvement - e.g. a pig versus a mosquito!

Protozoan Parasites
- single celled
- Intracellular - difficult to treat (they have capacity to enter host cell, which is why its difficult to treat)
- Extracellular - poor immune response (a lot of parasites live in the gut, and elicit poor immune response)
- Co-evolution (co-evolved with humans)


Protozoan parasites of humans
- you can get a parasitic infection anywhere in the body


Protozoan parasites direct transmission
Very few protozoal pathogens in humans are spread by direct contact, most are by either a vector or by consuming contaminated food or water.
.
Trichomonas vaginalis - very common ~200 million cases per year, commonest sexually transmitted disease
.
Acanthamoeba spp. - uncommon condition - can cause encephalitis and keratitis (more common since the 1980s due to the use of contact lenses
.
Primary amoebic encephalitis Naegleria fowleri - very uncommon (could also be described as water borne) - 99% fatal even with aggressive treatment. Very few protozoal pathogens in humans are spread by direct contact, most are by either a vector or by consuming contaminated food or water.


Food and water borne parasites
GIARDIASIS - Giardia intestinalis
.
Amoebiasis - Entamoeba histolytica (amoebic dysentry - common in low income countries)
.
Cryptosporidiosis - Cryptosporidium
- Parvum + hominis - common globally, outbreaks occur frequently in Australia associated with swimming pools. Causes deadly infections in immunocompromised people
.
Toxoplasmosis - Toxoplasma gondii
- Most successful parasite ever, 30% of world population is infected, no country is free of the diseases. Infects every mammal and every nucleated cell type - infection for life


Vector Borne Protozoan Parasites
MALARIA
- plasmodium spp - biggest killer
BABESIOSIS
- Zoonosis, mild infections, tick borne
.
LEISHMANIASIS
- Leishmania spp - most pleitropic disease
.
CHAGAS DISEASE
- Trypanosoma cruzi - silent killer
.
SLEEPING SICKNESS
- trypanosoma brucei gambiensie/rhodesiense
- Fatal without treatment, tertiary stage uses the only arsenical drug licensed

Anti-protozoan drugs
THE ONES YOU SHOULD REMEMBER:
- Paromomycin 1960: Good general anti protozoal drug for amoebiasis, giardiasis, leishmaniasis. Protein synthesis inhibitor
- Metronidazole/ Tinidazole 1960/1972: Antibiotic used to treat enteric protozoan pathogens, inhibit nucleic acid synthesis
.
THE OTHERS YOU DONT REALLY HAVE TO RMBR
- Pentavalent antimony - 1929 - meglutamine antimonial. Sodium stibogluconate - Frontline drug for leishmaniasis, mode of action unclear
- Nitazoxanide - 1980s - Alina - Broad spectrum anti parasitic, only drug for cryptosporidiosis, interferes with pyruvate and ferredoxin oxidoreductase
- Nifurtimox - 1965 - Lampit - One of only two drugs active against Chagas disease
- Eflornithine - 1990 - Used to treat African trypanosomiasis (T gambiensie only), blocks ornithine interactions
- Melarsoprol - 1949 - - Only arsenical licensed for human use, for African trypanosomiasis. Will directly kill 2-8% of patients

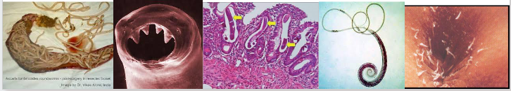
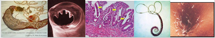
Helminth parasites
- Complex, multicellular, much larger
- Extracellular (except for one - Trichinella spp)
- Large genomes, very immunogenic
- Can survive for decades
- Drugs are toxic


Helminth Parasites IMAGE
- can infect almost everywhere in body


Helminths - more common then you think
- present in every environment on earth
- 342 infect humans (Crompton 1999)
- Global problem, higher incidence in tropics
- Over half the worlds population infected

Parasites and Health - Helminth infections and atopy/asthma
The association of helminth infections with protection against asthmaand atopy.
- 1913 Herrick " Common to both bronchial asthma and roundworm infestation is anincrease of the eosinophils of the blood, one day we will ask the significance ofthis" - not until 1986 was this revisited with publication of hygiene hypothesis byGodfrey in the Lancet.
- Asthma and other allergies high in developed nations, low in developing countries,Helminth infections low in developed countries, high in developing countries.
- Successful use of helminth therapy for asthma
.
- basically shows that parasites can benefit humans
Parasites and Health - Helminth infctions and IBD (Crohn's and UC)
- Lack of exposure to helminths in developed world has led to increased incidence of IBD, Crohn's and ulcertaive colitis and other autoimmune like disorders.
- IBD more common in people with high socioeconomic status
- Use of Trichuris suis and Necator americanus improve IBD
- Search for non-live worm antigens to treat these diseases
- Review - Shi W et al 2022 in Journal of Inflammation Research. Helminth infections and IBD (Crohn's and UC)
.
- not super important

Studies published on therapeutic use of helminths
DIAGRAM ON SLIDE 26

Which worm has contributed more to medical science then any other? Which worm has contributed to 3 Nobel Prizes (2002, 2006, 2008)? Which worm has been to space twice (and back) and survived the Columbia space shuttle disaster/
Caenorhabditis elegans

Caenorhabditis elegans
NEMATODES (NEMATODA)
- Possibly one of the most important nematodes for medicine
- Nematode used in research
- Transparent, emit blue/green fluorescence when they die
- Subject of three Nobel Prizes
- Only worm in space
.
- the reason its so good for research is becasuse they are super similar to humans


Nematodes - Round worms
NEMATODES (NEMATODA)
Second largest phylum in animal kingdom~25,000 described (1 million species predicted)~ half are parasitic (humans, animals, plants, insects)<1mm to > 1 meter in length
Cylindrical, are dioecious (male& female), have 'teeth'
Have an open intestine and nervous system and body cavity
.
GASTROINTESTINAL
- Ascaris lumbricoides
- Trichuris trichura
- Hookworms
- Strongyloides stercoralis
- Enterobius vermicularis
.
TISSUE OR BLOOD:
- Toxocara canis
- Trichinella spiralis
- Filarial worms
- Guinea worm


Gastrointestinal Nematodes
- Commonest worm infections
- 3.5 Billion people infected (50% of worlds pop)
- 450 million seriously ill (mainly children)
- 125,000 deaths per year, 39 million DALYs (basically total number of years of life lost)
- Situation unchanged for 50 years
- No intermediate host, not zoonotic
- Eggs or larvae infect humans
- Ingested or larvae burrow into skin


Gastrointestinal Nematodes EXAMPLES
- Ascaris lumbricoides - 1 billion infected, ~ 3,000 deaths/yr - Hookworms- Ancyclostoma duadenale and Necator americanus. ~700 million infected, 22 million DALYs lost
- Trichuris trichura - whipworm, 600 million infected
- Strongyloides stercolis- Only free living helminth
- Enterobius vermicularis - Pinworm, global occurrence, common infection in children (pruritus - itchy bum)

Tissue Nematodes
- Filarial worms (filiraisis) - Lymphatic filiariasis - Wuchereria bancrofti, Brugia malayi, Brugia timori - Elephantiasis - 120 million infected - Subcutaneous filiariasis - Onchocerca volvulus (river blindness) 37 million infected, Loa Loa
- Trichinella spiralis - Only intracellular helminth
- Guinea Worm - Dracunculus medinesis - next disease to be eradicated - 1986 3.5 million, 2015 = 22 cases, 2024 = 13 cases
- Toxocara canis - worm often targets the eye, from dogs

Cestodes - tapeworms
- Haemaphrodite - worm has male + female reproductive organs
- Body composed of segments or proglottids, no body cavity
- Adults attach to gut by scolex, have a closed intestine
- Live for decades
- Intestinal worms asymptomatic, tissue stages cause pathology
.
INTESTINAL TAPEWORMS
- Taenia solium (pork TW)*
- Taenia saginata (beef TW)
- Diphyllobothrium latum (fish TW)⢠Hymenolepis nana (dwarf TW)
- Hymenolepis diminuta (Rat TW)
- Exists as worms in intestine
- *can also form cysts in tissues
.
TISSUE TAPEWORMS:
- Echinococcus granulosis (Dog TW)
- Echinococcus multilocularis
- Spargenosis (Spirometra spp)
- Form cysts in the tissues
.
- example of tissue tapeworms is the ones in raw pork


Trematodes - flukes
- Tissue flukes - Simultanoeus Haemaphrodite - have male and female reproductive organs, closed intestine
- Schistosomes are dioecious (separate sexes)
- Complex life cycles (primary vertebrate host, intermediate invertebrate host
- Obligate parasites
- Live for decades
.
BLOOD FLUKES (SCHISTOSOMES)
- Schistosoma mansoni (gut)
- Schistosoma haematobium (bladder)
- Schistosoma japonica (gut)
- Pathology caused by eggs
.
TISSUE (LIVER) FLUKES
- Fasciola hepatica (Liver fluke)
- Clonorchis (Opisthorchis) sinensis
- Opisthorcus viverrini
- Paragonimus westermani
- Live in organs - liver, lung, carcinogenic!

Anti Helminthic drugs
- Benzimidazole family- 1962- triclabendazole, albendazole, mebendazole, thiabendazole, flubendazole ( Treats enteric nematode infections and some systemic tape worm infections)
- Praziquantal - 1970 (not licensed for humans in UK) - Treat Schistosomiasis and fluke infections, paralyses worms
- Macrocyclic lactones - (1978) Avermectin, Ivermectin ( Onchocerciasis, Strongyloides, Filariasis (scabies)
- Diethylcarbamazine - 1947 - Treat filarial worms, may not cure infection
.
- should remember albendazole, praziquantal and ivermectin
- ivermectin is used to treat the things listed next to it, but it cannot treat covid
Treatments for helminths - bad news
Why are there so few drugs and why no recent drug development?
1. Helminths are eukaryotes - similar metabolic pathways to humans - drugs are toxic
2. More prevalent in the tropics, countries that have limited resources - drug companies cannot make a profit - No drug development (there is more money in veterinary use - e.g. 2009, Novartis new class of drugs for use in sheep No Vaccines, no prophylaxis
.
- basically there are no vaccines for helminths, and no prophylaxis for any helminth infection
Treatments for
1. The drugs are cheap, readily available*:
- Praziquantel - $0.20, Albendazol $0.20, Benzimidazole $0.10 --- Cup of coffee $4.00
2. Most of the drugs can target several helminths⢠= Cost to health agencies treating people in highly endemic areas, much more expensive in wealthy countries. All these drugs are on the WHO list of essential medicines
.
- Suggested global drug regime of simultaneous administration of praziquantel and benzimidazole would treat the main intestinal nematodes and schistosomiasis! Patients get re-infected!

Neglected diseases
MOST PARASITIC INFECTIONS COME UNDER THE CATEGORY OF NEGLECTED DISEASES
- Most people with the diseases are poor
- Drugs are often toxic, require monitoring
- Little incentive for drug companies to devleop drugs


Neglected diseases - a question of profits
DIAGRAM ON SLIDE 39 (whole slide)


Summary of parasites
- ones in bold are the ones that will be covered in nxet lecture


Example MCQ questions
- Answers:
Trichomonas
.
Leishmanisation


Exampke Short Answer Questions
- we only have 2 and they are for the same disease
.
- no answer for the second one
Cestodes (tapeworms) and nematodes (roundworms) are both parasitic worms, but differ significantly in structure: cestodes are flat, segmented, and lack a digestive system (absorbing nutrients directly), while nematodes are round, unsegmented, and possess a complete digestive tract
