1/13
Nematodes, Cestodes, Trematodes, Acanthocephalans
Name | Mastery | Learn | Test | Matching | Spaced | Call with Kai |
|---|
No analytics yet
Send a link to your students to track their progress

Ancylostoma caninum adult

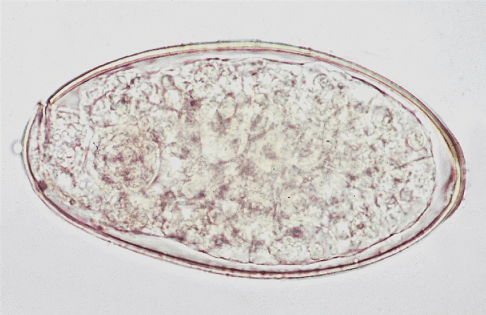
Ancylostoma caninum egg

Trichuris vulpis (left), Baylisascaris (right)

Dirofilaria immitis microfilaria

Oxyuris equi egg, operculate

Parascaris equorum

Parascaris equorum

Trichinella spiralis larva

Trichuris vulpis adult

Dipylidium caninum

Dipylidium caninum egg packet

Echinococcus granulosus

Monezia adult

Fasciola hepatica egg, operculated