SDL 8: tumors of thyroid gland

0.0(0)
studied byStudied by 0 people
full-widthCall with Kai
GameKnowt Play
learnLearn
examPractice Test
spaced repetitionSpaced Repetition
heart puzzleMatch
flashcardsFlashcards
Card Sorting

1/57

encourage image

There's no tags or description

Looks like no tags are added yet.

Study Analytics
Name
Mastery
Learn
Test
Matching
Spaced

No study sessions yet.

58 Terms

1
New cards

a result of metastasis

secondary thyroid tumors are

2
New cards

Follicular adenomas outnumber thyroid carcinomas by a ratio of nearly 10:1

most common type of thyroid tumor

3
New cards

thyroid cancer

diagnosed at a younger age in women than most other adult cancers

4
New cards

-external radiation to the cervical region and iodine deficiency

most significant risk factors for thyroid neoplasm

5
New cards

follicular and anaplastic adenomas

iodine deficiency is an especially associated risk factor for what thyroid tumors?

6
New cards

follicular cells

-C cells (parafollicular cells)

two cell types that give rise to thyroid carcinomas:

7
New cards

-papillary, follicular, and anaplastic carcinomas

follicular cells give rise to what thyroid cancers

8
New cards

MTC

C cells give rise to what thyroid carcinoma

9
New cards

increase

serum TSH levels ________ when thyroid nodule is malignant

10
New cards

-ultrasound provide more anatomic detail than physical exam

-need FNA to check malignancy

imaging used to assess thyroid noddules

11
New cards

mostly solid, hyperechoic nodules

US findings of malignant thyroid nodules

<p>US findings of malignant thyroid nodules</p>
12
New cards

follicular adenoma and follicular carcinoma

what thyroid cancers can FNA not diagnose?

13
New cards

follicular adenoma

benign encapsulated tumor with follicular cell differentiation

-seen surrounded by a thin fibrous capsule

<p>benign encapsulated tumor with follicular cell differentiation</p><p>-seen surrounded by a thin fibrous capsule</p>
14
New cards

presence of an intact, well formed capsule encircling the tumor

hallmark of follicular adenoma

15
New cards

normofollicular adenoma

most common subtype of follicular adenoma

<p>most common subtype of follicular adenoma</p>
16
New cards

microfollicular adenoma

smalll, closelly packed follicles

<p>smalll, closelly packed follicles</p>
17
New cards

trabecular adenoma

subtype of follicular adenoma with cords or trabeculae with few follicles

<p>subtype of follicular adenoma with cords or trabeculae with few follicles</p>
18
New cards

solid (embryonal) adenoma

follilcular adenoma composed of solid sheets

<p>follilcular adenoma composed of solid sheets</p>
19
New cards

no

are toxic adenomas and toxic multinodular goiters precursors to folllicular carcinoma?

20
New cards

follicular adenoma

-US shows solitary nodule

-most are euthhyroid

-RAIU shows a cold nodule (hot if bigger)

21
New cards

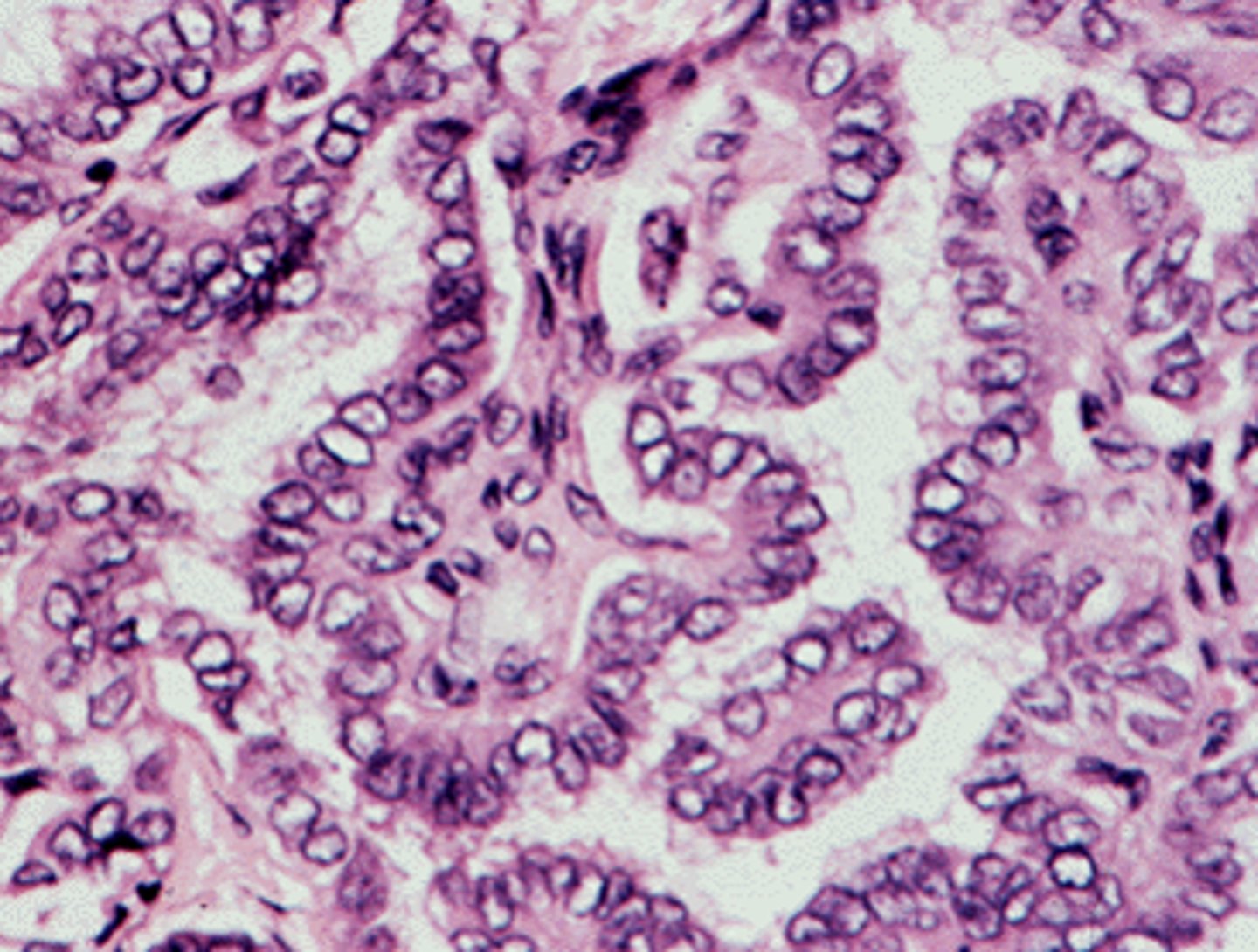
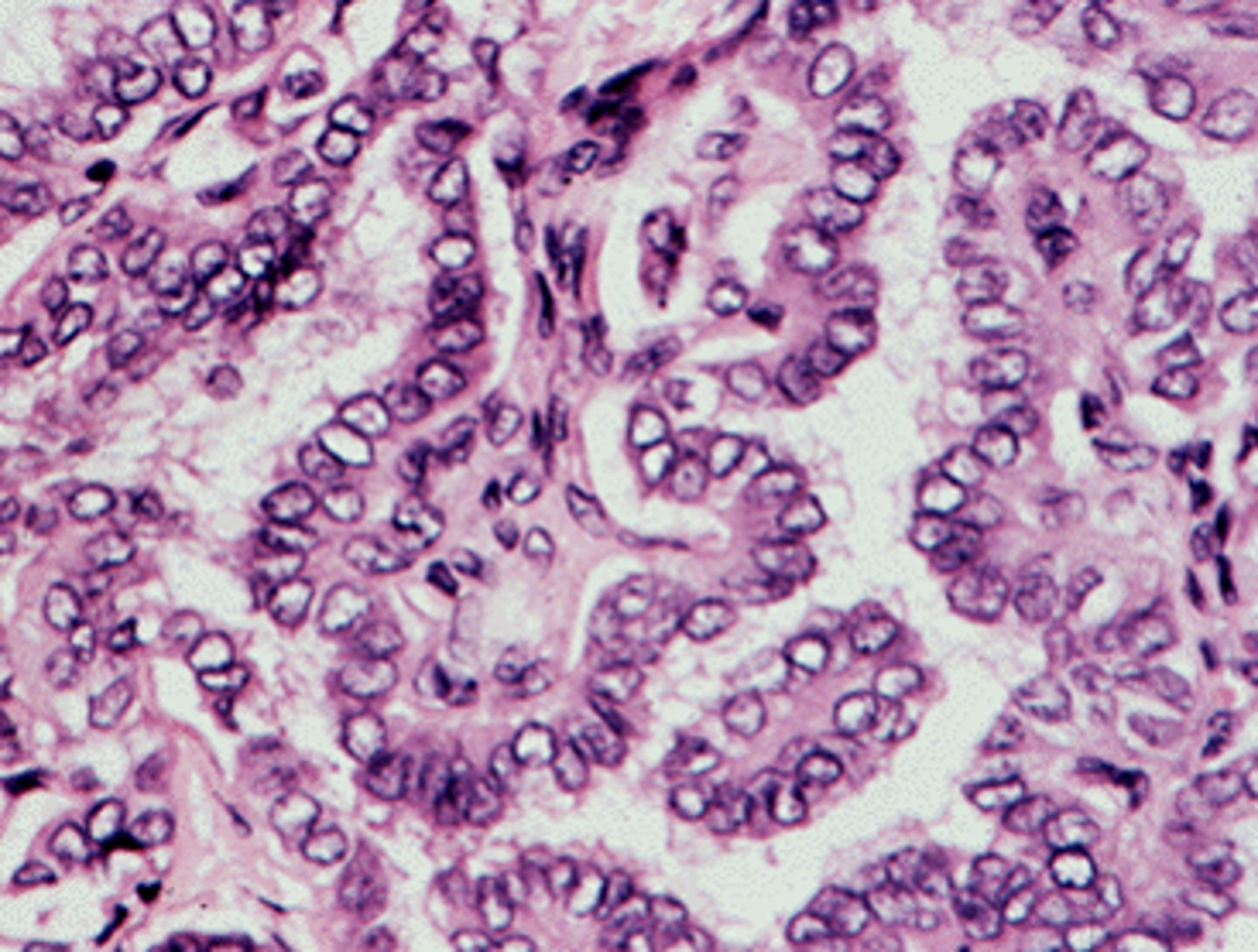
papillary thyroid carcinoma

slow growing tumor characterized by papillary pattern with distinctive nulcar features

<p>slow growing tumor characterized by papillary pattern with distinctive nulcar features</p>
22
New cards

papillary thyroid carcinoma

tumor is pale white with cystic degeneration

<p>tumor is pale white with cystic degeneration</p>
23
New cards

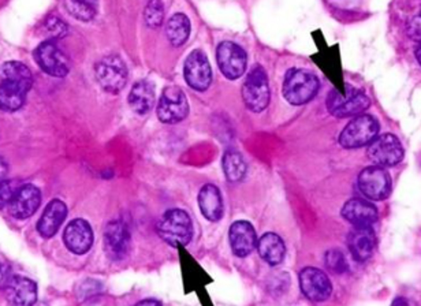
-clear/empty appearance---> ground glass or orphan annie eye nuclei

nuclear morphology of pappillary carcinoma

24
New cards

orphan annie eye nuclei

Seen in Papillary Carcinoma of the Thyroid. Enlarged thyroid cells with ground glass nuclei

<p>Seen in Papillary Carcinoma of the Thyroid. Enlarged thyroid cells with ground glass nuclei</p>
25
New cards

intranuclear "pseudo-inclusion"

intranuclear grooves of papilllary carcinoma

<p>intranuclear grooves of papilllary carcinoma</p>
26
New cards

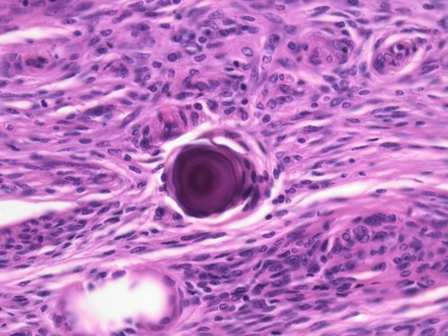
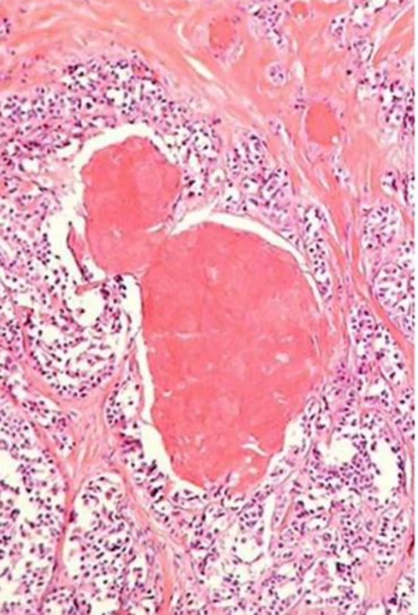
Psammoma bodies

calcified struuctures in papilllary carcinoma

-indicates lymphatic invasion

<p>calcified struuctures in papilllary carcinoma</p><p>-indicates lymphatic invasion</p>
27
New cards

follicular variant

most common variant of papillary carcinoma

-has characteristic nuclei, but totally follicullar architecture

28
New cards

BAY 43-9006 (Sorafenib)

-kinase inhibitor with activity against BRAF--> papillary carcinoma

29
New cards

papillary carcinoma

BRAF mutations, RET rearrangement indicates

30
New cards

Sunitinib

oral, multitargeted RET tyrosine kinase inhibitor that has been developed as targeted therapy for papillary thyroid carcinomas

31
New cards

asymptomatic thyroid mass or an enlarged lymph nodule

-no signs of hypo or hyper thyroidism

presentation of papillary carcinoma

32
New cards

solid and hypoechoic

malignant nodules on sonography appear

33
New cards

cold

hot or cold masses in pap carcinoma?

34
New cards

excellent

prognosis of papillary carcinoma

35
New cards

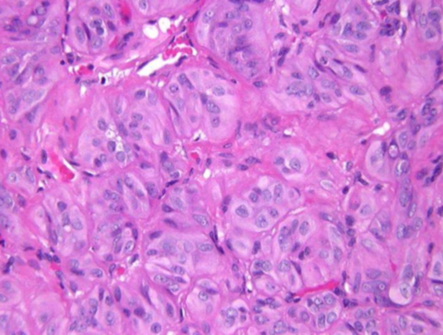
follicular thyroid carcinoma

second most common malignant thyroid tumor

36
New cards

follicular thyroid

gross pathology: solitary nodules well circumscribed with thick white fibrous capsule

-nodules are yellow tan on cut section

<p>gross pathology: solitary nodules well circumscribed with thick white fibrous capsule</p><p>-nodules are yellow tan on cut section</p>
37
New cards

FTCs are differentiated from benign follicular adenomas by tumor capsule invasion and/or vascular invasion

how is follicular carcinoma differentiated from follicular adenoma on groww pathology?

38
New cards

indicates follicular carcinoma

-PI3K/AKT pathway mutations

-RAS mutations

PTEN mutations

39
New cards

PTEN

Inactivating somatic mutations of ____ gene are found in 27% of follicular carcinomas

40
New cards

PAX8-PPAR rearrangement

fusion transcript associated with follicular carcinoma

41
New cards

asymptomatic, painless solitary thyroid nodule

-nodule is fixed to surrounding tissue

presentation of follicular carcinoma

42
New cards

cold nodule

RAIU finding on follicular carcinoma

<p>RAIU finding on follicular carcinoma</p>
43
New cards

-FTC metastases are hematogenous, not lymphatic, and are direct to the bones, shoulder, pelvic girdles, sternum, and skull

how does follicular carcinoma differ from papillary carcinoma?

44
New cards

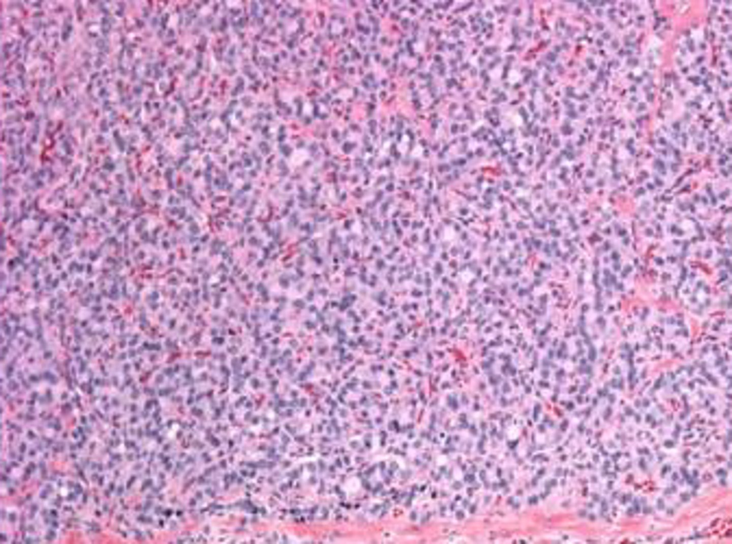
anaplastic thyroid carcinoma

the most aggrressive thyroid malignancy?

45
New cards

anaplastic carcinoma

cancer may derive from papillary or follicular types; peak incidence in 6th and 7th decade of life

46
New cards

anaplastic carcinoma gross pathology

highly necrotic and hemorrhagic solid mass; tan to brown cut

HUGE

<p>highly necrotic and hemorrhagic solid mass; tan to brown cut</p><p>HUGE</p>
47
New cards

squamous pattern, spindle pattern, giant cell type

what are the three histologic patterns of aanaplastic thyroid carcinoma?

48
New cards

anaplastic carcinoma

presentation: rapidly enlarging neck mass, rapidly lethal clinical course

49
New cards

medullary thyroid carcinoma

neuroendocrine neoplasms derived form the parafollicular (C cells)

50
New cards

calcitonin

medullary thyroid carcinomas secrete

51
New cards

medullary thyroid carcinoma

amyloid stains positively with calcitonin immunostains

<p>amyloid stains positively with calcitonin immunostains</p>
52
New cards

RET protooncogene

key molecule associated with the development of MTC

53
New cards

RET oncogene

in mosst pts with MEN2A or MEN 2b have activatinng point mutations in

54
New cards

Sunitinib

RET kinase inhibitor currently in clinicla trails for treatment of MTC

55
New cards

asymptomatic thyroid nodule

-larger ones cause difficulty swallowing

-may cause hoarseness

-flushing and diarrhea from increased electrolyte secretion secondary to high calictonin

presentation of medullary thyroid carcinoma

56
New cards

elevated basal serum calcitonin levels

diagnostic lab values of MTC

57
New cards

thyroglobulins

primary biochemical marker for pts with differentiated thyroid cancers

58
New cards

predicts te absencce of recurrence during long term follow up!

undetectable postoperative Tg predicts what prognosis of thyroid cancer?