1/58
Looks like no tags are added yet.
Name | Mastery | Learn | Test | Matching | Spaced | Call with Kai |
|---|
No analytics yet
Send a link to your students to track their progress
To eliminate the etiology of pulpal disease
What is the goal of root canal therapy?
Root canal treatment
The biological aim of ___________ is to prevent or cure apical periodontitis by controlled asepsis or disinfection of the root canal system, thus creating an environment in which the periradicular repair can occur.
Endodontic retreatment
What treatment should be considered first: Endodontic retreatment or surgery?
Coronal microleakage
Untreated canals
Poorly instrumented canals
Root fractures
What are 4 reasons root canals fail?
Incision and Drainage
Apical curettage
Apicoectomy: with/without retrograde filling
Intentional Replantation
Root Amputation
Hemisection
6 types of surgical endo procedures
incision and drainage
ID the surgical procedure:
- To allow the release of pus and toxins
- To alleviate pain
- Fluctuant swelling

Microscope
Surgical instruments
Ultrasonic tips
What is 3 parts of the armamentarium for incision and drainage?
apical curettage
What is the treatment for a lesion that has walled itself off from body's defenses?
- Biofilms, Cysts
- Resistant bacteria (Actinomycosis (sulfur granules))

apical curettage
ID the surgical procedure:

NO ... By sealing off routes of microbial escape, stop the ability of bacteria to continue to grow and multiply
When doing RCT, do we completely elimate bacteria in the RC system?
apicoectomy
ID the surgical procedure:
- Aim: To create an environment that is conducive to regeneration of the periodontium
- 1st objective: To remove the etiologic factor (via root end resection)
- 2nd objective: To prevent recontamination of PA tissues (via root end prep and fill)

apicoectomy
ID the surgical procedure:
- Root end resection
- Root end preparation
- Root end filling

root end resection
root end preparation
root end filling
R P F
3 steps of an apicoectomy
Root end resection
ID the surgical procedure:
- Remove diseased root tip (many will have resorptive defects)
- Iatrogenic complications prevent adequate apical debridement and seal (ledge/transportation)
- Resect the entire root end up to 3mm to eliminate most accessory canals.
- Crown to root ratio
- Minimal bevel (0-20%)
Root end resection
ID the surgical procedure:

3mm
During a root end resection, resect the entire root end up to ___mm to eliminate most accessory canals
perpendicular (includes most apical ramifications and visualizations for any cracks)
During a root end resection, the ideal cutting plane is ________ to the root
3mm
During a root end resection, after the apical portion is resected, how much in mm of the remaining canal is prepped and filled?
E) Minimum 5mm (should be 3mm)
Which of the following is incorrect about a root end preparation?
A) Clean and shape the apical canal
B) Allows isthmus cleaning
C) Allows placement of the filling material into the root end
D) Provides an apical seal
E) Minimum 5mm
Root end preparation
ID the surgical procedure:

C) Be toxic (should be NONtoxic)
Which of the following is incorrect about root end materials?
A) Seal canal in three dimensions
B) Be well tolerated with no inflammatory reaction
C) Be toxic
D) Not promote, and preferably inhibit, the growth of pathogenic microorganisms
E) Stimulate the regeneration of normal periradicular tissues
F) Not be affected by moisture
C) Should NOT corrode or be electrochemically active
Which of the following is incorrect about root end materials?
A) Not be absorbable within the confines of the tooth, but excess should be resorbable
B) Be dimensionally stable
C) Corrode or be electrochemically active
D) Not stain the tooth or tissues
E) Be easily distinguishable on radiographs
F) Adhere or bond to the tooth without undercuts
MTA (Mineral Trioxide Aggregate)
BC Putty (Bioceramic Root Repair Material)
What are the 2 most commonly used root end materials?
to create apical plugs during apexification
repairing root perforations during RCTs
internal root resorption
pulp capping
4 indications for MTA use
resorptions
root perforations
pulp capping
apexification
retrograde fillings
dentin replacement
6 indications for BC use
true
t/f: The clinical applications for using MTA vis BC putty are very similar/the same
MTA
Which one commonly stains teeth: MTA or BC Putty?
15-20 minutes on, 15-20 minutes off
How long should a patient ice after surgery?
Endodontic microsurgery
All of the following are characteristics of what?
- Microscope with illumination
- Small Osteotomy (<5mm)
- 0 bevel angle, 3mm
- Retroprep w/ untrasonic tips
- Retrofill w/ MTA (Precise)
- High Success Rate (94%)
75-97%
What is the success rate of a root canal?
F) Proper obturation
All of the reasons are why root canals FAIL except:
A) Persistent radiolucency or pain
B) Calcified canals
C) Procedural errors
D) Presence of posts/ Irretrievable Materials
E) Resorption Repair
F) Proper obturation
persistent radiolucency/pain
calcified canals
procedural errors
presence of posts/irretrievable materials
resorption repair
5 indications for endo surgery
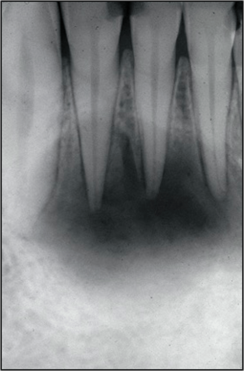
Persistant radiolucency
ID the reason for RC failure:
- Host defenses cannot eliminate true cysts
- Extraradicular microorganisms may form colonies and establish biofilms
- - Actinomycosis (sulphur granules)

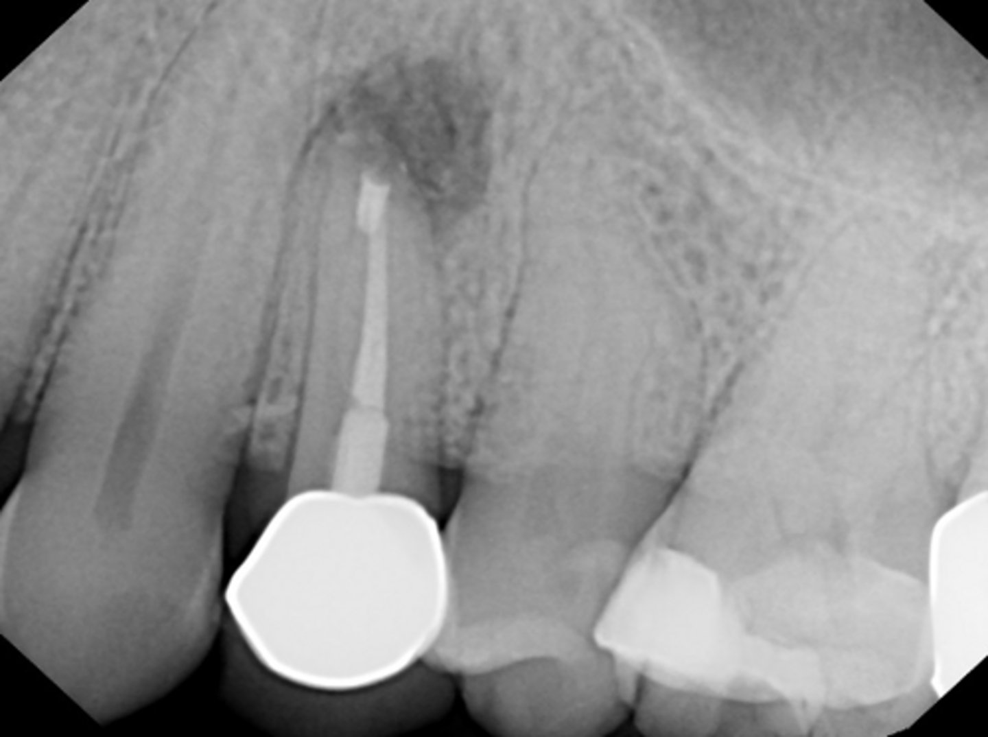
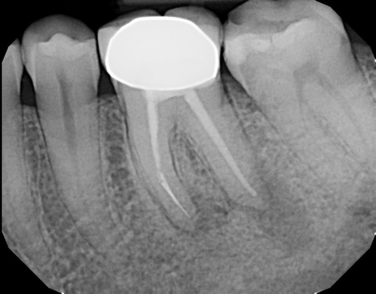
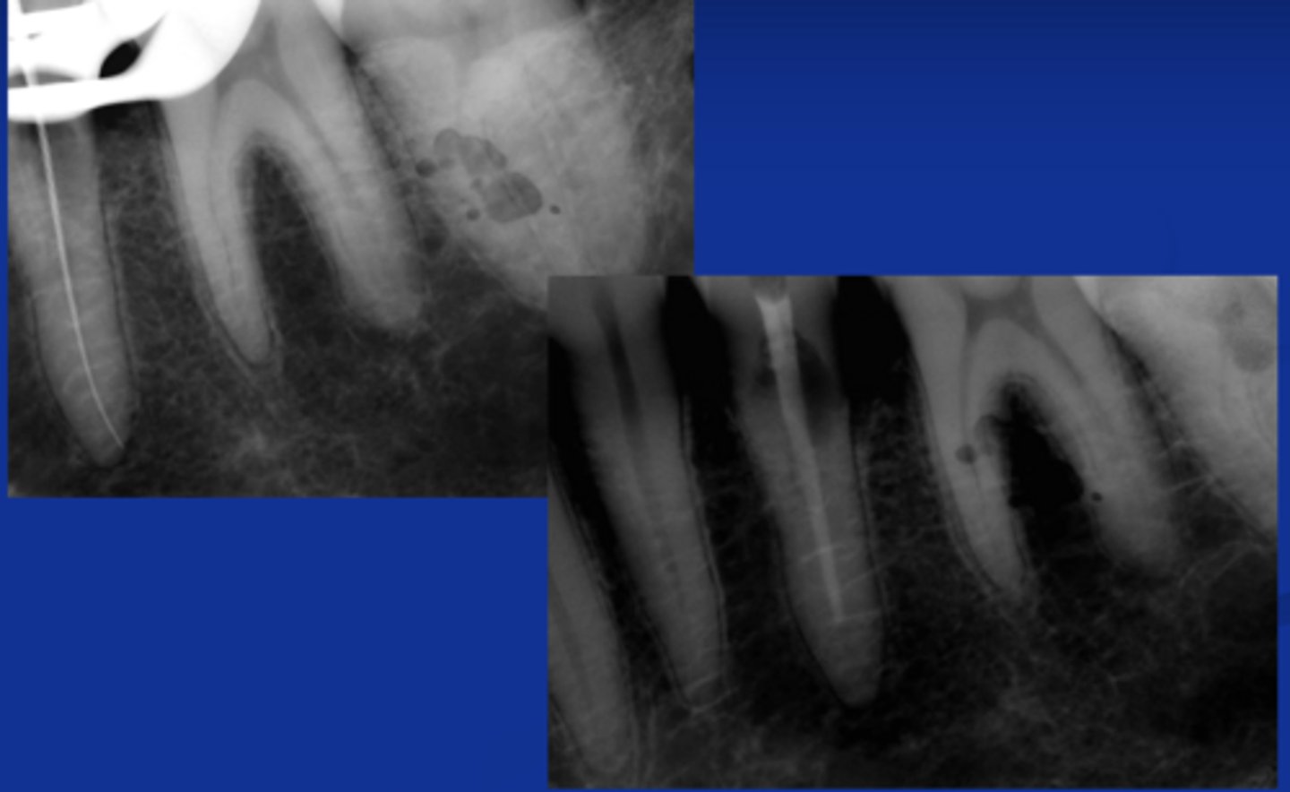
Infected silver point (Retreatment should be attempted first)
What is the cause of this apical radiolucency?

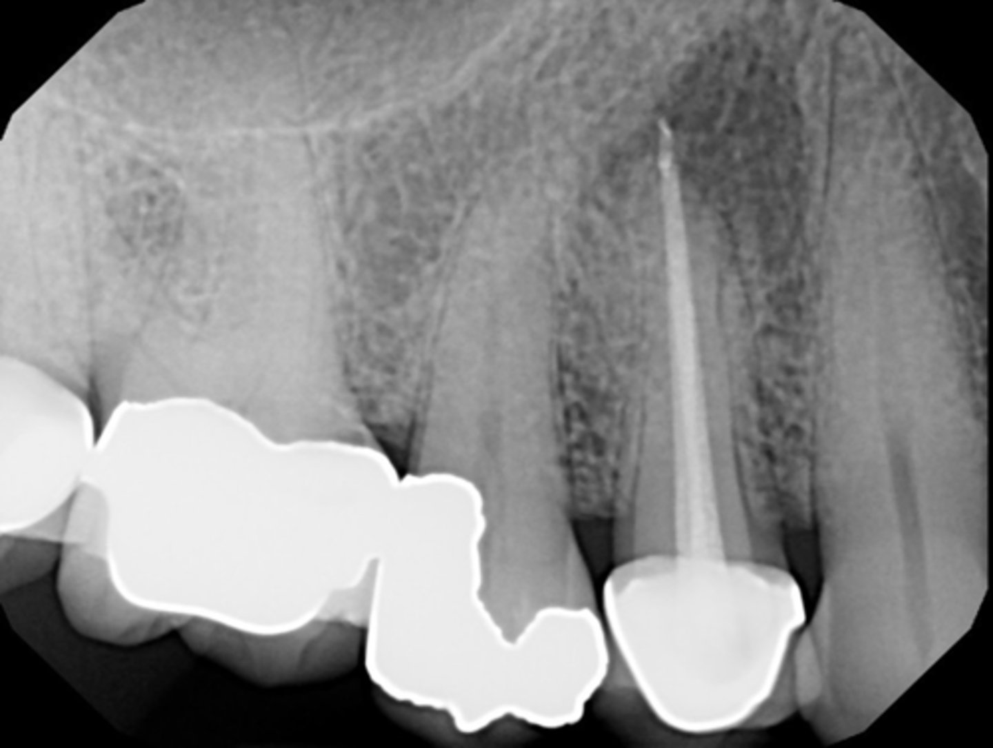
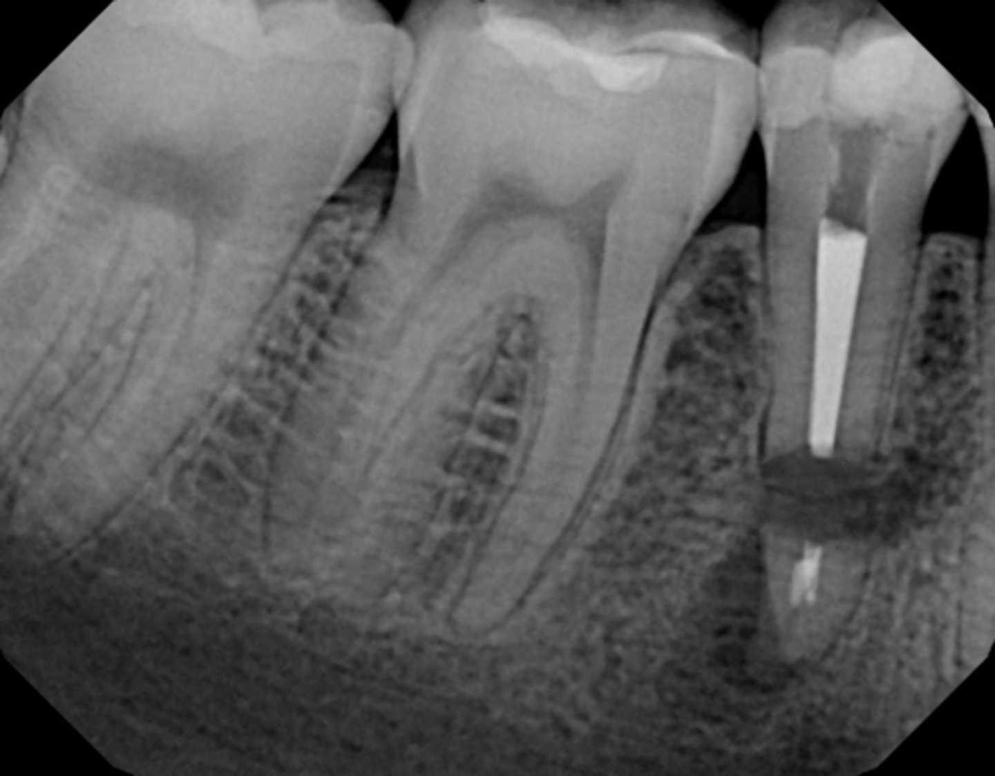
Locate canal
Before surgery on a calcified canal, what should always be attempted first?
calcified/non-negotiable canal
What is the cause of this apical radiolucency?

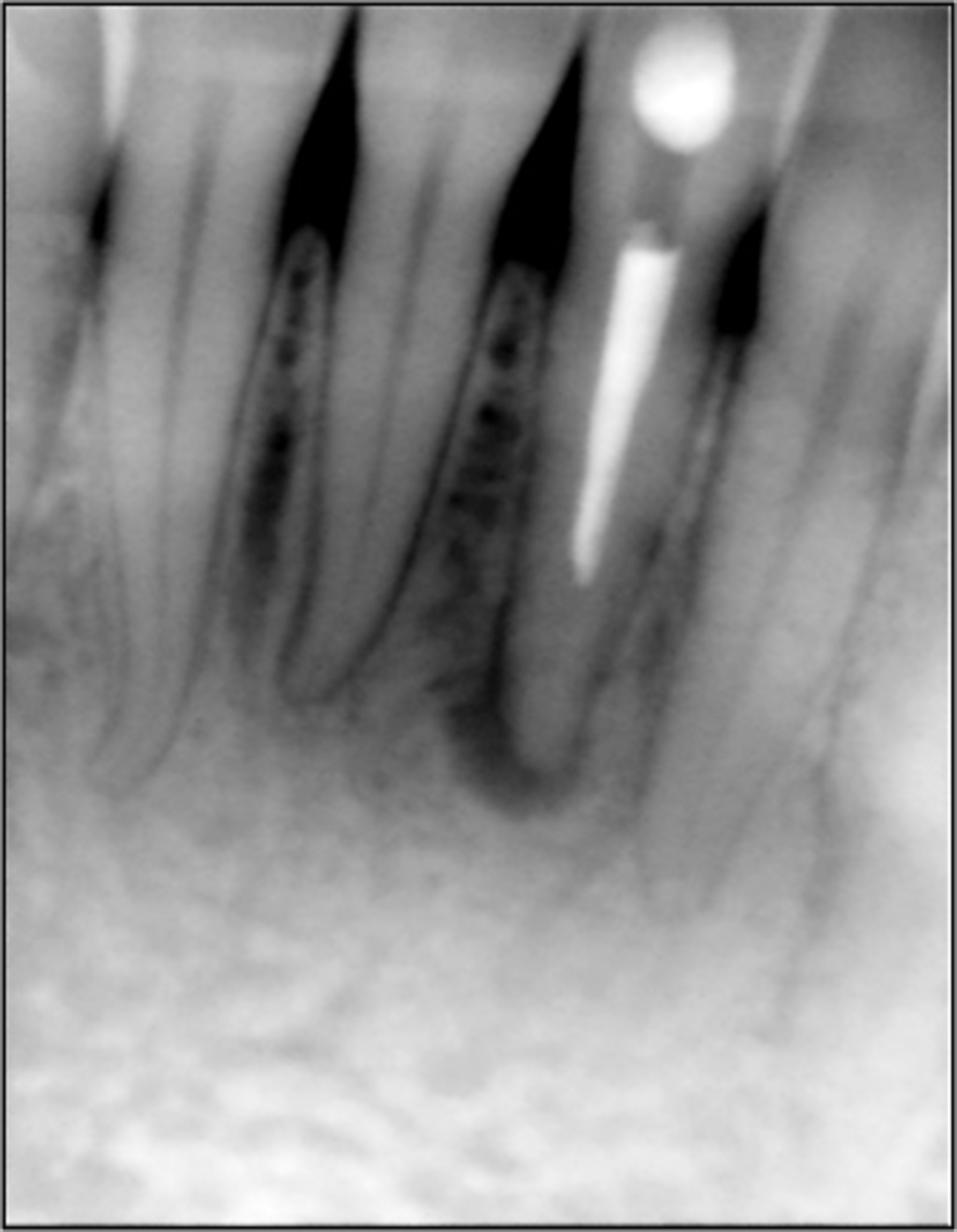
Iatrogenic complications (prevents adequate apical debridement and seal)
ID the procedural error:
- Instrument separation
- Perforation repairs
- Nonnegotiable ledging
- Transportation
- Over-instrumentation with symptomatic overfilling
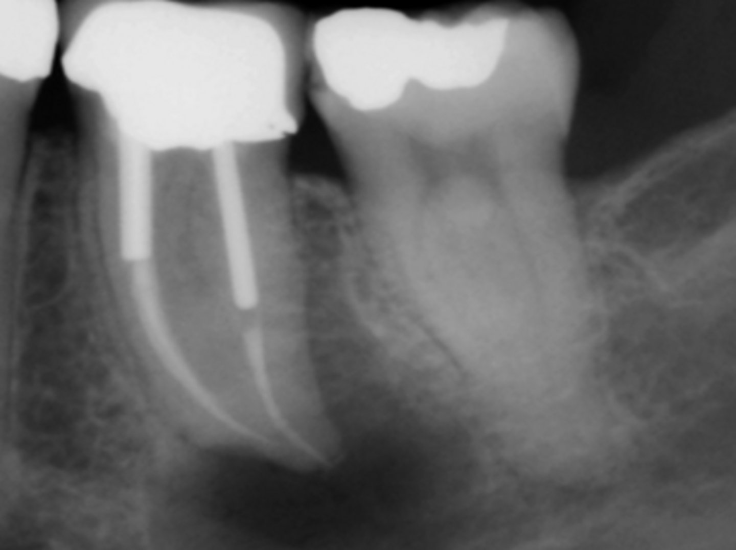
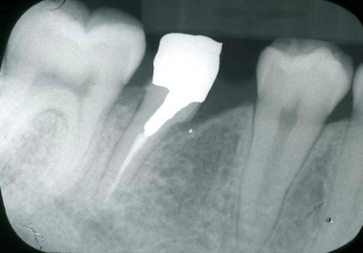
separated instrument
ID the procedural error:

perforation
ID the procedural error:

symptomatic overfilling
Define the following:
- Pain not due to overextended material but due to inadequate apical seal
- Tugback and searing GP 5-7mm from apex to allow GP to fill in 3-D
- Fenestration

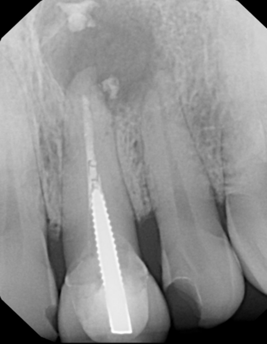
Post too large
ID the procedural error:

Post too long
ID the procedural error:

Post too large (with apical debris)
ID the procedural error:

Internal Resorption: Communicating externally
External Resorption
Apical Resorption
What are the 3 types of resorption repairs?
internal resorption
ID the indication for endo surgery:
(Communicated externally on the DB surface)

Invasive Cervical Root Resorption (ICRR)
What treatment is indicated?

Invasive Cervical Root Resorption (ICRR)
What treatment is indicated?

if the lesion is endo related
What does a biopsy indicate for endo?
Open flaring apex
Porcelain crowns
Fixed bridges
What are 3 false indications for an apicoectomy?
B - should say INADEQUATE perio support
All of the following are contraindications for endodontic surgery EXCEPT
A) When retreatment can be done first!
B) Adequate perio support
C) Tooth is hopeless
D) Poor access
E) Anatomy
F) Non-restorable (caries, not enough tooth structure)
G) Medical reasons
Mental foramen
What anatomical structure is interfering with the ability to do surgery?

Looks for cracks and PDL
Why is the dye used here?

intentional replantation
ID the surgical procedure:
- Performed when surgery is indicated, but access is impossible:
Atraumatic extraction
Apicoectomy with retroprep and retrofil
Irrigate socket with saline
Replantation and splint

root amputation
ID the surgical procedure:
Removal of root that is unsound

Periodontal
Resorption
Vertical Root Fracture
What are 3 reasons you might do a root amputation?
root amputation
ID the surgical procedure:

True (might be an unexpected root amputation!!)
T/F: Always take your own start film!
hemisection
ID the surgical procedure:
- Defective root + overlying coronal tooth structure is removed
- Bicuspidization - Mand molar is separated into mesial + distal halves due to furcational defect.

Check if missed MB2
RCT 10 years ago thru bridge
Sinus tract 3 years ago...apicoectomy done
Sinus tract returned.
What do we do?
