1/367
Looks like no tags are added yet.
Name | Mastery | Learn | Test | Matching | Spaced | Call with Kai |
|---|
No analytics yet
Send a link to your students to track their progress

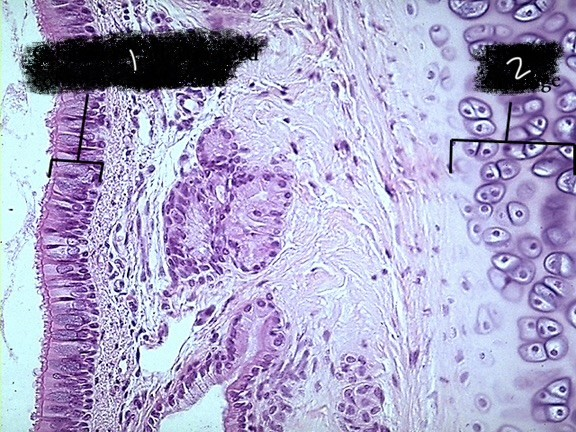
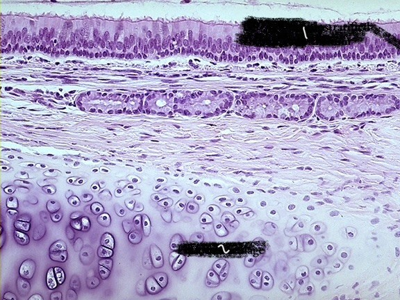
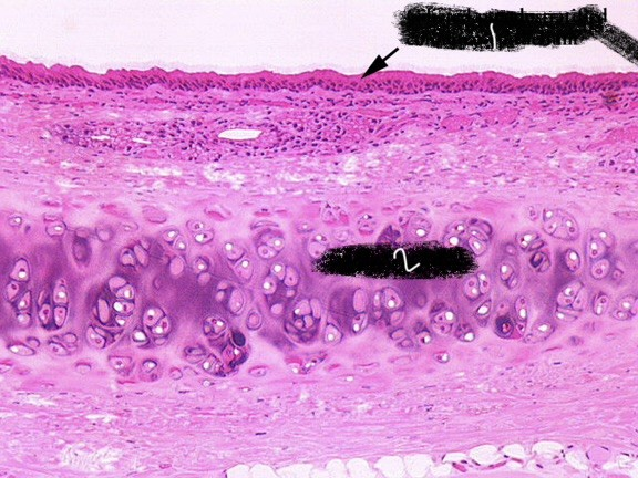
trachea

1
ciliated pseudostratified columnar epithelium

2
hyaline cartilage

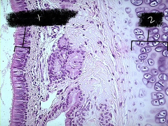
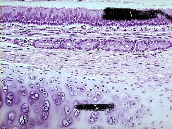
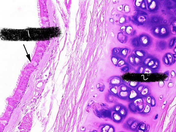
trachea

1
ciliated pseudostratified columnar epithelium

2
hyaline cartilage

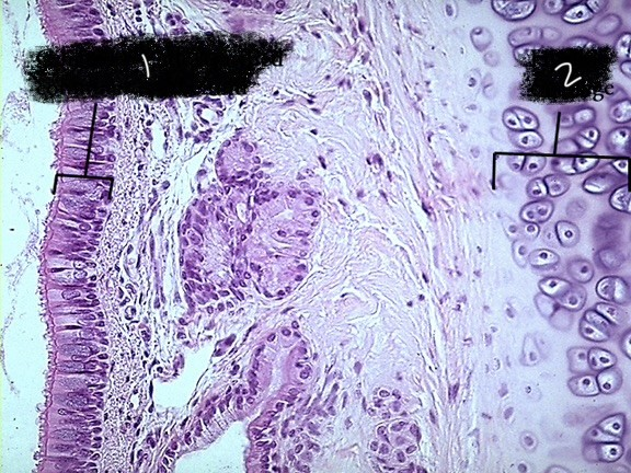
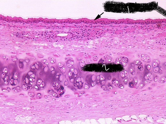
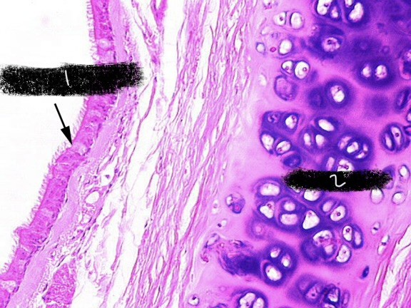
trachea

1
ciliated pseudostratified columnar epithelium

2
hyaline cartilage

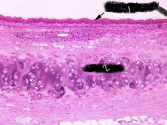
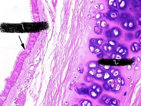
trachea

1
ciliated pseudostratified columnar epithelium

2
hyaline cartilage

trachea

1
ciliated pseudostratified columnar epithelium

2
hyaline cartilage

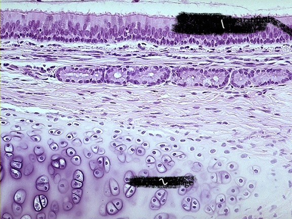
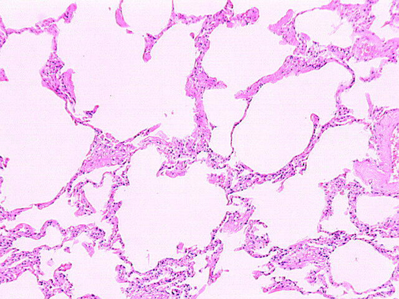
lung tissue

lung tissue

lung tissue

lung tissue

1
lumen of bronchiole

2
alveoli

lung tissue

1
lumen of bronchiole

2
alveoli

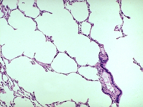
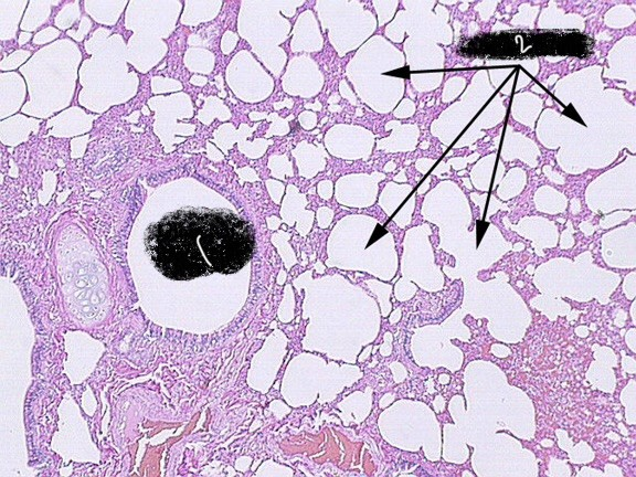
lung tissue

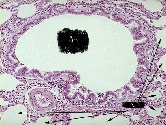
1
alveoli

2
lumen of bronchiole

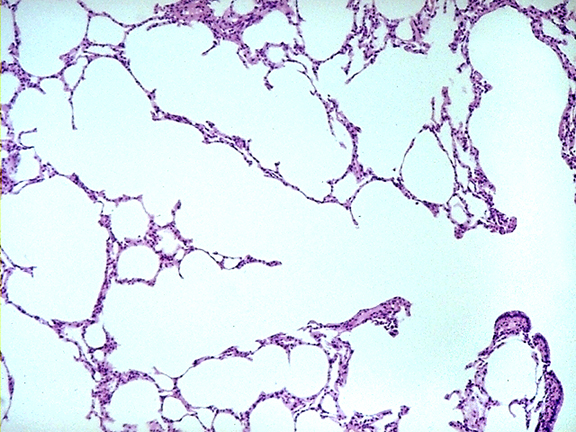
lung tissue

1
lumen of bronchiole

2
alveoli

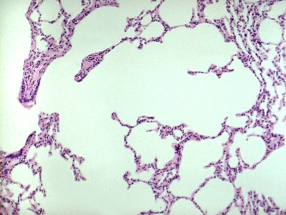
lung tissue

1
alveoli

2
lumen of bronchiole

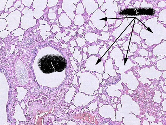
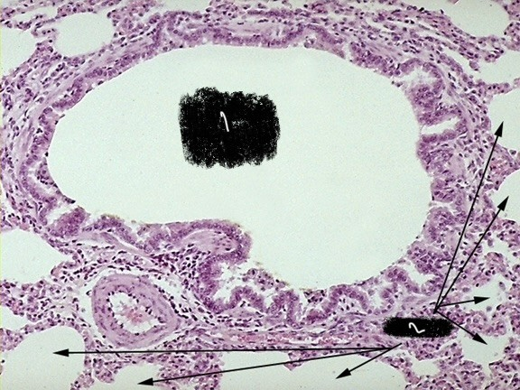
1
alveoli

2
bronchiole

3
superior vena cava

4
right primary bronchus

5
azygous vein

6
esophagus

7
tongue

8
hyoid bone

9
thyroid cartilage of larynx

10
cricoid cartilage of larynx

11
thyroid gland

12
trachea

13
bifurcation of trachea

14
left primary bronchus

15
thoracic aorta

1
trachea

2
right subclavian artery

3
right subclavian vein

4
right internal jugular vein

5
right brachiocephalic vein

6
superior vena cava

7
right lung

8
heart

9
hyoid bone

10
thyroid cartilage

11
cricoid cartilage

12
thyroid gland

13
left common carotid artery

14
left subclavian artery

15
left subclavian vein

16
left internal jugular vein

17
left brachiocephalic vein

18
aorta

19
left lung

1
cricoid cartilage

2
trachea

3
right primary bronchus

4
esophagus

5
hyoid bone

6
thyroid cartilage

7
thyroid gland

8
bifurcation of the trachea

9
left primary bronchus

10
bronchioles

11
thoracic aorta

1
frontal sinus

2
superior turbinate

3
middle turbinate

4
inferior turbinate

5
tongue

6
lingual tonsil

7
vestibular fold

8
true vocal cord

9
trachea

10
sphenoid sinus

11
opening to auditory tube

12
pharyngeal tonsil

13
uvula

14
palatine tonsil

15
esophagus

1
hard palate

2
mandible

3
hyoid bone

4
thyroid cartilage

5
cricoid cartilage

6
nasopharynx

7
soft palate