1/33
Looks like no tags are added yet.
Name | Mastery | Learn | Test | Matching | Spaced | Call with Kai |
|---|
No analytics yet
Send a link to your students to track their progress
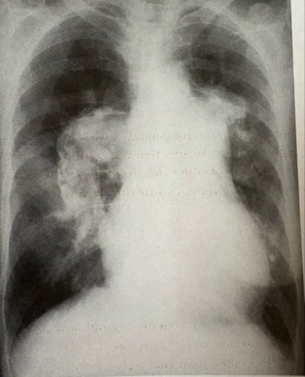
patent ductus arteriosus
what pathology is present?

Eisenmenger Syndrome and atrial septal defect
what pathology is present?

Teratology of Fallot
what pathology is present?

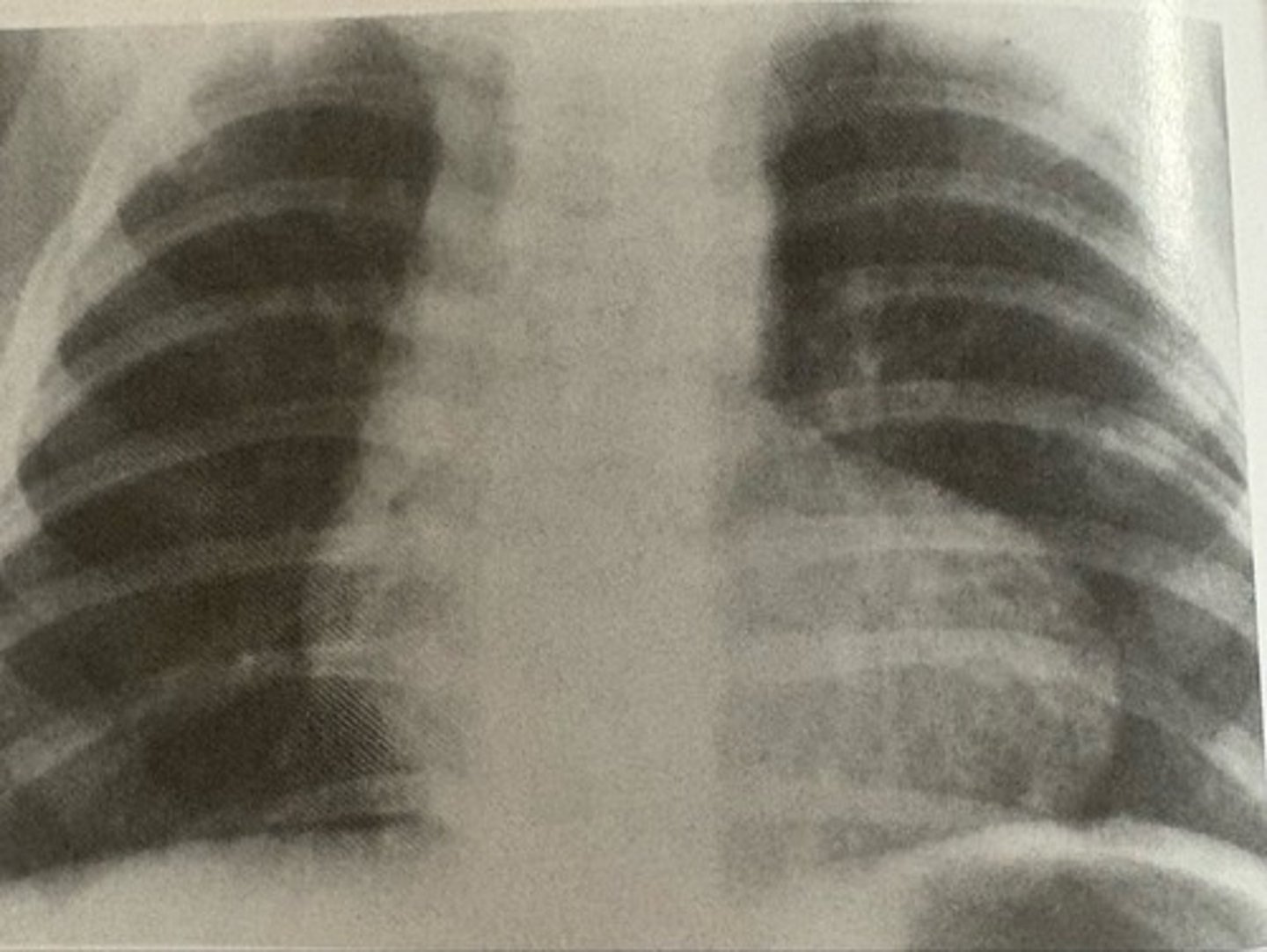
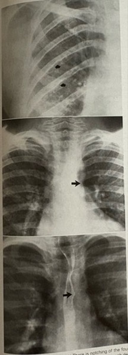
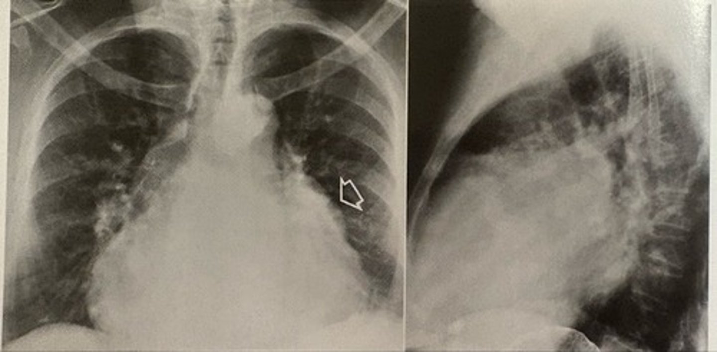
coarction of the aorta
what pathology is present?

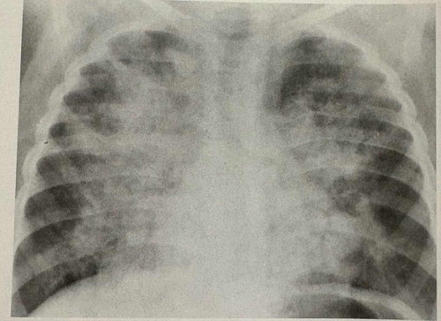
left sided heart failure
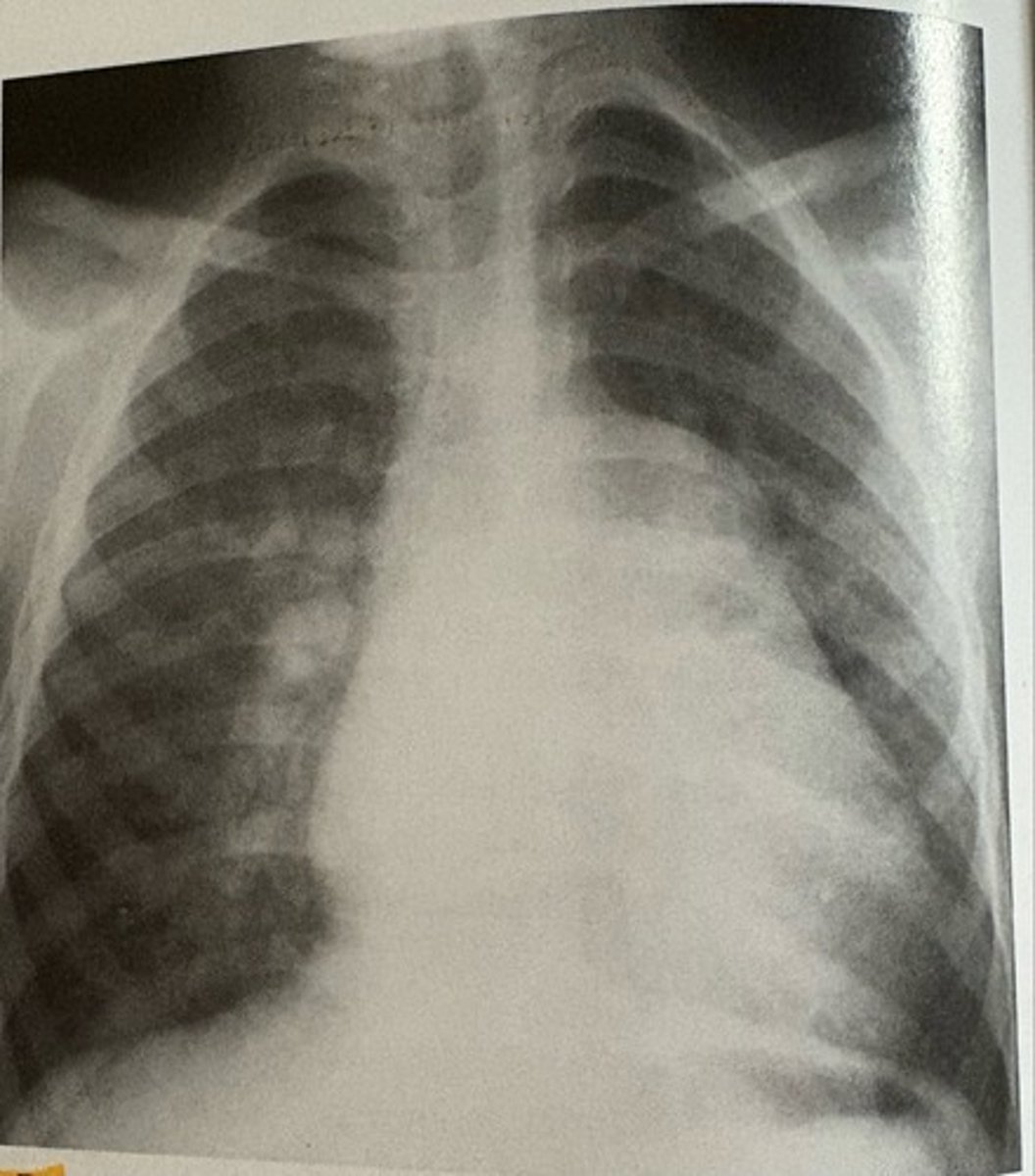
what pathology is present?

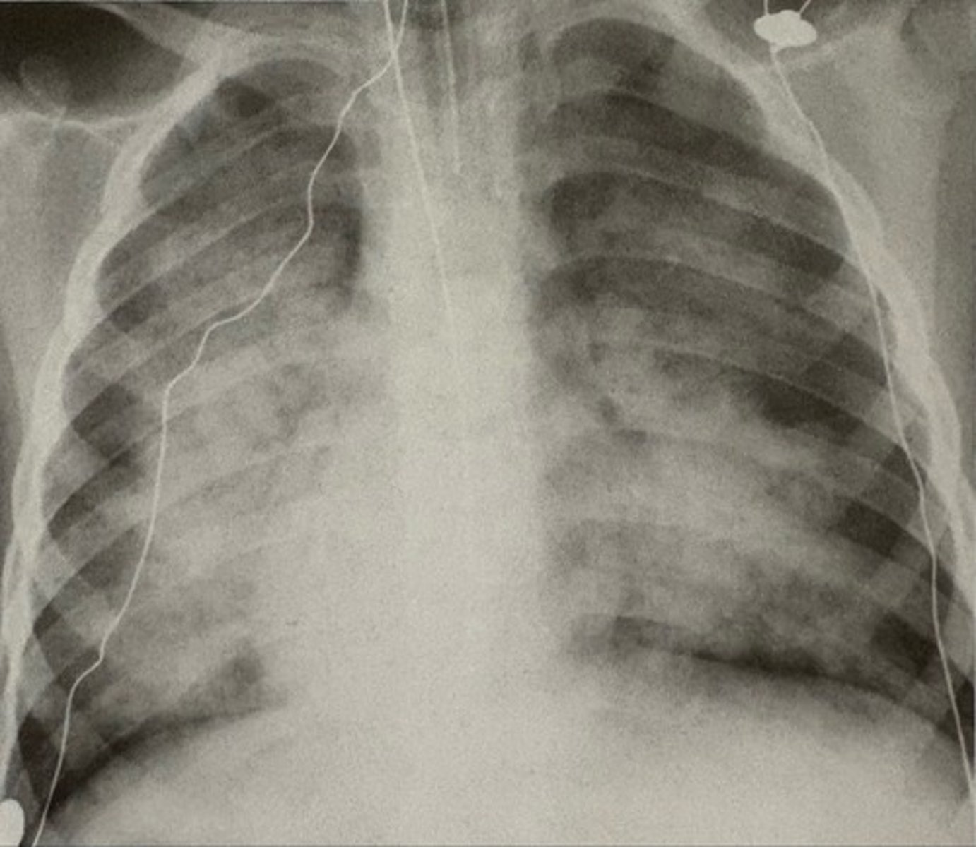
pulmonary edema
what pathology is present?

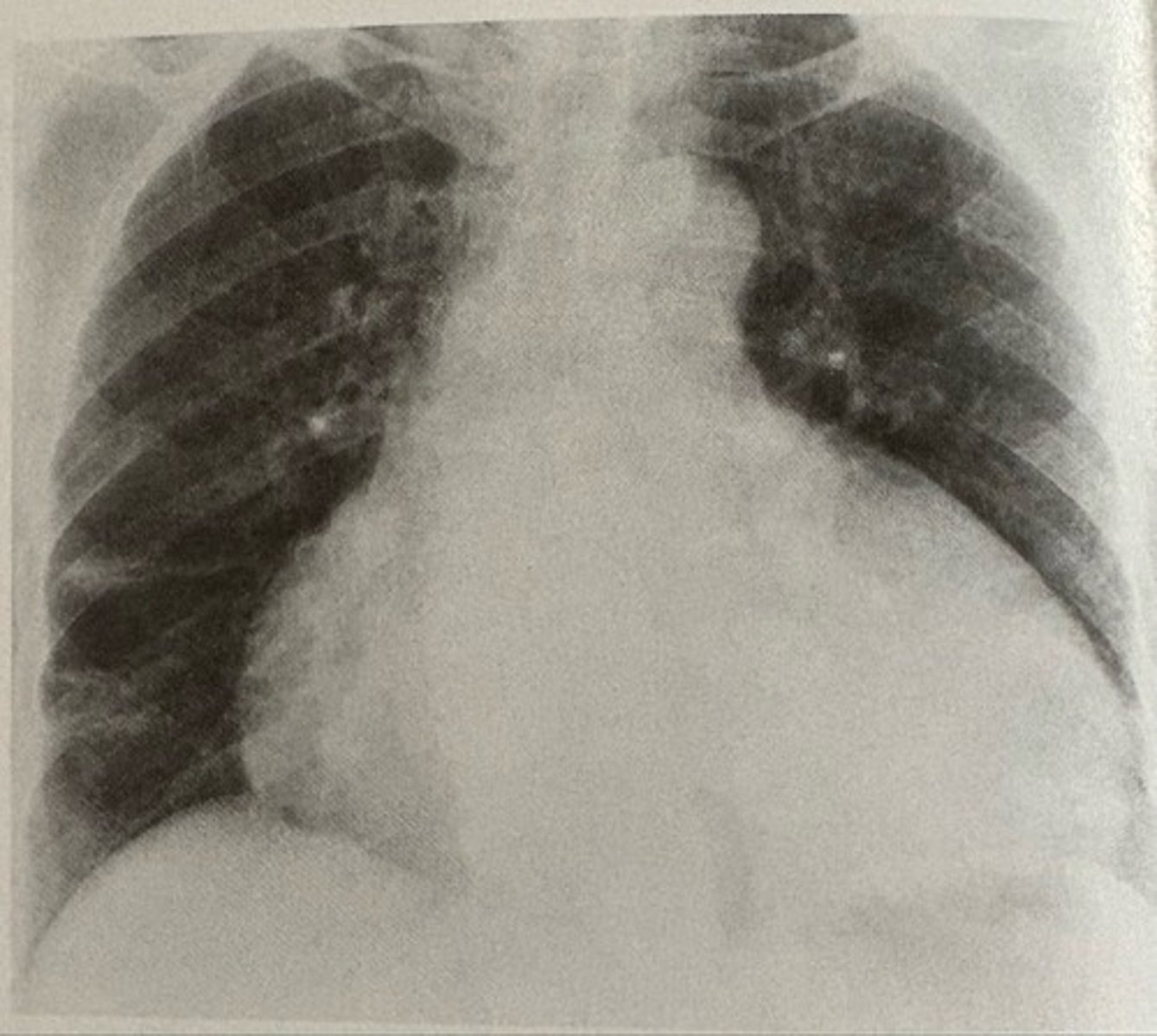
hypertensive heart disease
what pathology is present?

aortic dissection
what pathology is present?

atrial septal defect
what pathology is present?

ventricular septal defect
what pathology is present?

MRI coarction of the aorta
what pathology is present?

ischemic heart disease
what pathology is present?

right sided heart failure
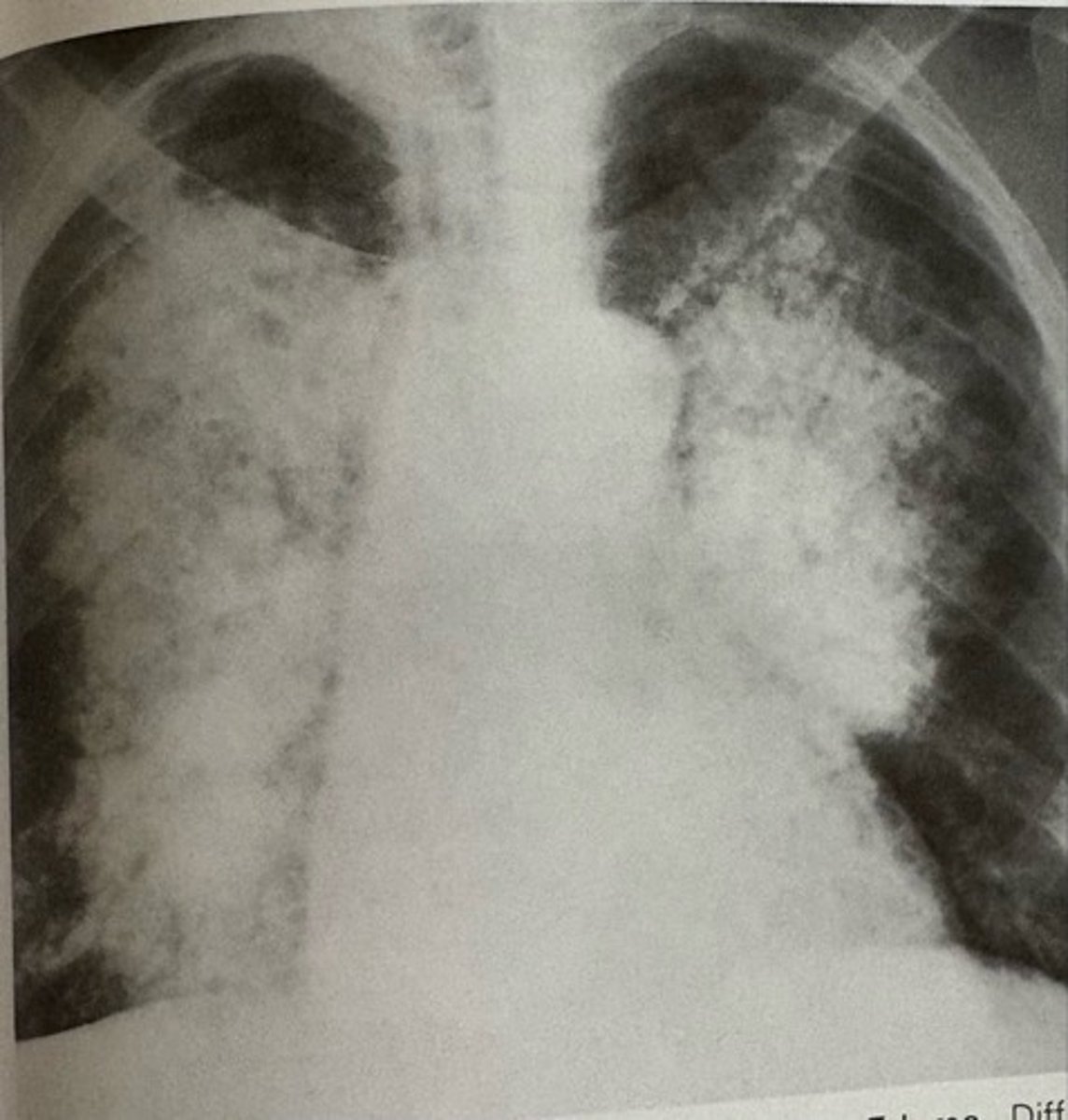
what pathology is present?

butterfly pattern of severe pulmonary edema
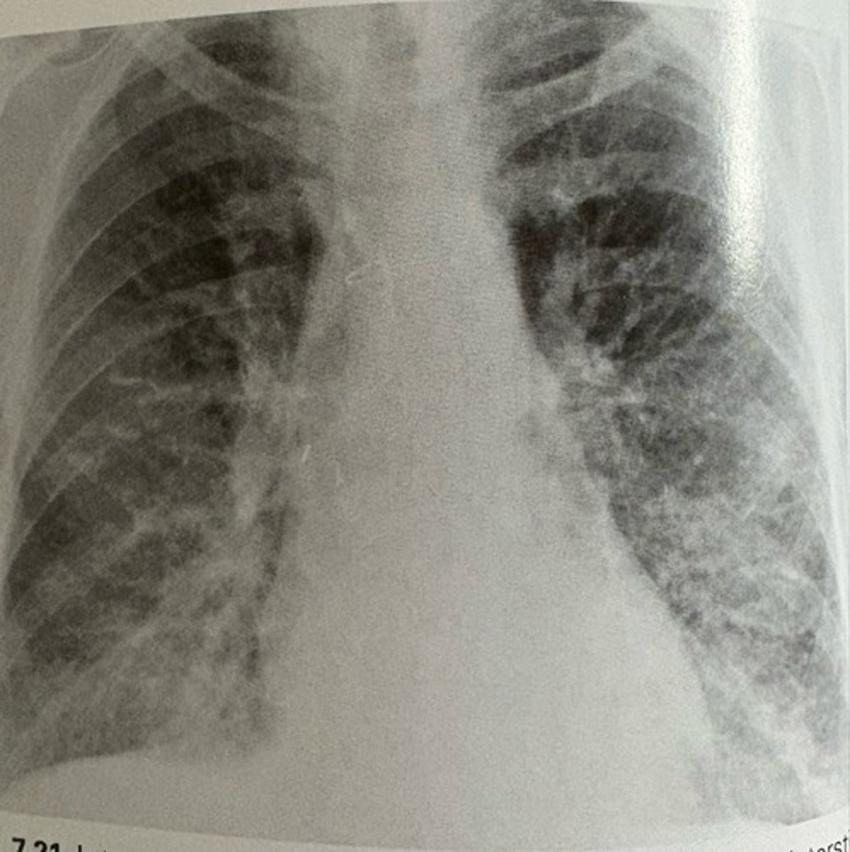
what pathology is present?

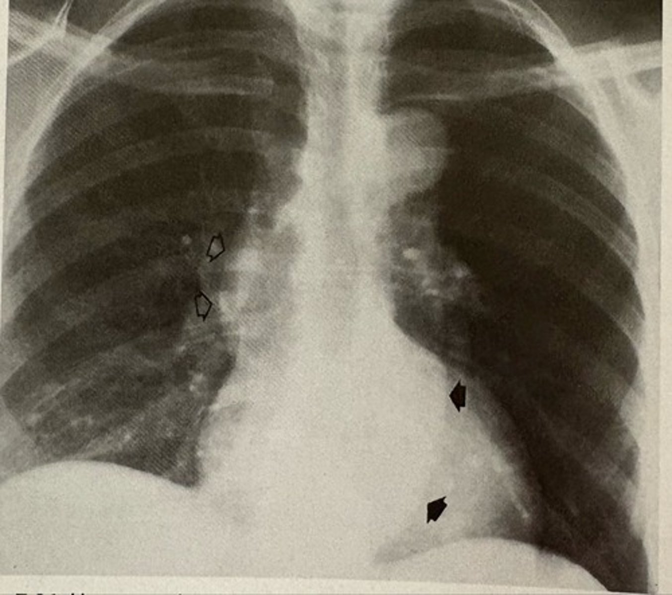
interstitial pulmonary edema
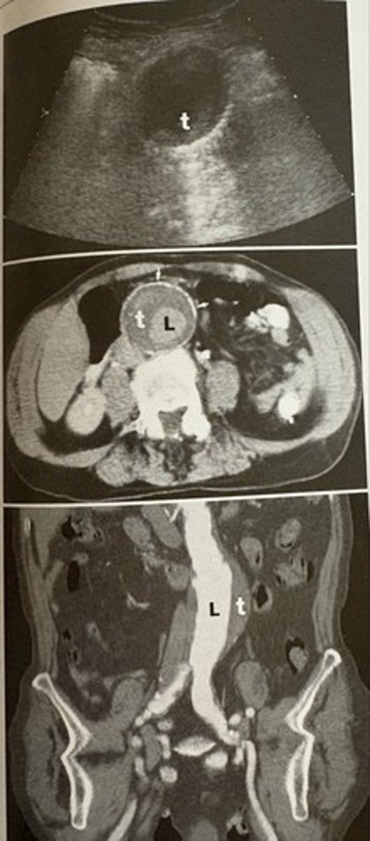
what pathology is present?

loculated pleural effusion (phantom tumor)
what pathology is present?

renovascular hypertension
what pathology is present?

fusiform aneurysm
what pathology is present?

abdominal aorta aneurysm
what pathology is present?

traumatic aneurysm of the aorta
what pathology is present?

CT aortic dissection
what pathology is present?

bilateral atherosclerosis of the femoral arteries
what pathology is present?

atherosclerosis
what pathology is present?

acute embolism occlusion of the left renal artery
what pathology is present?

prosthetic aortic and mitral valves
what pathology is present?

mitral stenosis
what pathology is present?

mitral insufficiency
what pathology is present?

aortic stenosis
what pathology is present?

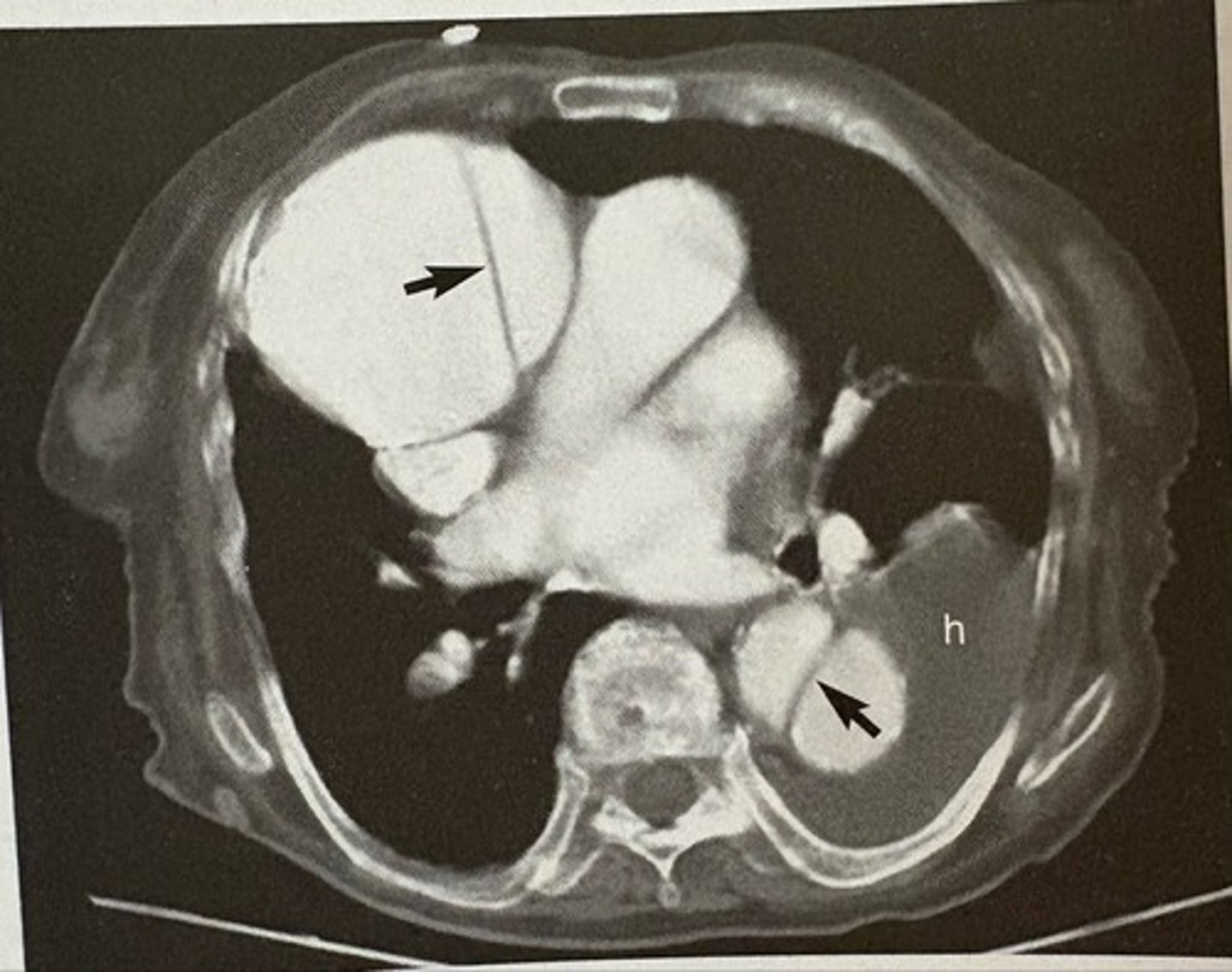
pericardial effusion
what pathology is present?

DVT
what pathology is present?

Varicose veins
what pathology is present?

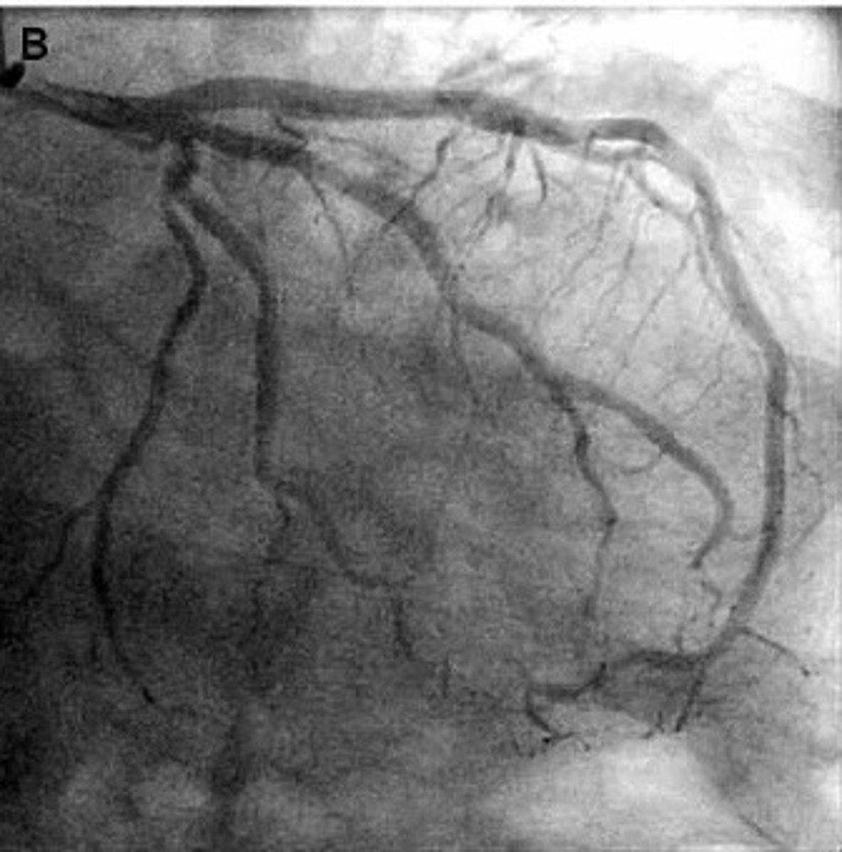
left coronary artery angiogram
what pathology is present?

right coronary artery angiogram
what pathology is present?

calcified abdominal aorta
what pathology is present?
