1/84
Endocrine and Reproductive Systems
Name | Mastery | Learn | Test | Matching | Spaced | Call with Kai |
|---|
No analytics yet
Send a link to your students to track their progress
Which part (posterior/anterior) of the pituitary gland has acidophils and basophils
anterior
What hormones do acidophils secrete?
Growth hormone, Prolactin
What hormones do basophils secrete?
Follicle-stimulating hormone, luteinizing hormone, adrenocorticotropic hormones, thyroid stimulating hormone
What hormones are secreted by the posterior part of the pituitary gland?
oxytocin and antidiuretic hormone
What do the follicle cells of the thyroid gland secrete?
thyroid hormone
Follicle cells are of what kind of tissue?
simple cuboidal epithelium
What does the colloid of the thyroid gland do?
stores thyroid hormone as a part of thyroidoglobulin protein
(thyroid) What do parafollicular cells secrete?
calcitonin
What two kinds of cells make up the parathyroid gland?
chief cells and oxyphil cells
What do chief cells secrete?
Parathyroid hormone
What is the function of oxyphil cells?
We dunno lol
How do you tell the difference between chief cells and oxyphil cells?
Chief cells have less cytoplasm; oxyphil cells have more cytoplasm
What two cells make up the pancreas
alpha cells and beta cells
What do alpha cells secrete
glucagon
What do beta cells secrete?
insulin
What color do alpha cells typically stain?
pink
What color do beta cells typically stain?
blue
What cells in the testis secrete testosterone?
interstitial cells of Leydig
What two cells are in the ovary?
follicle cells and corpus luteum cells
What do follicle cells secrete (when mature)
estrogen
What do corpus luteum cells secrete?
progesterone and estrogen
Put the five layers of the adrenal gland in order from superficial to deep
Capsule, zona glomerulosa, zona fasiculata, zona reticularis, adrenal medulla
What does the zona glomerulosa secrete?
mineralocorticoids
What layer of adrenal gland secretes aldosterone
zona glomerulosa
What does the zona fasiculata secrete?
glucocorticoids
What layers of the adrenal gland secrete cortisol?
zona fasiculata and zona reticularis
What does the zona reticularis secrete?
gonadocorticoids
What does the adrenal medulla secrete
epinephrine and norepinephrine

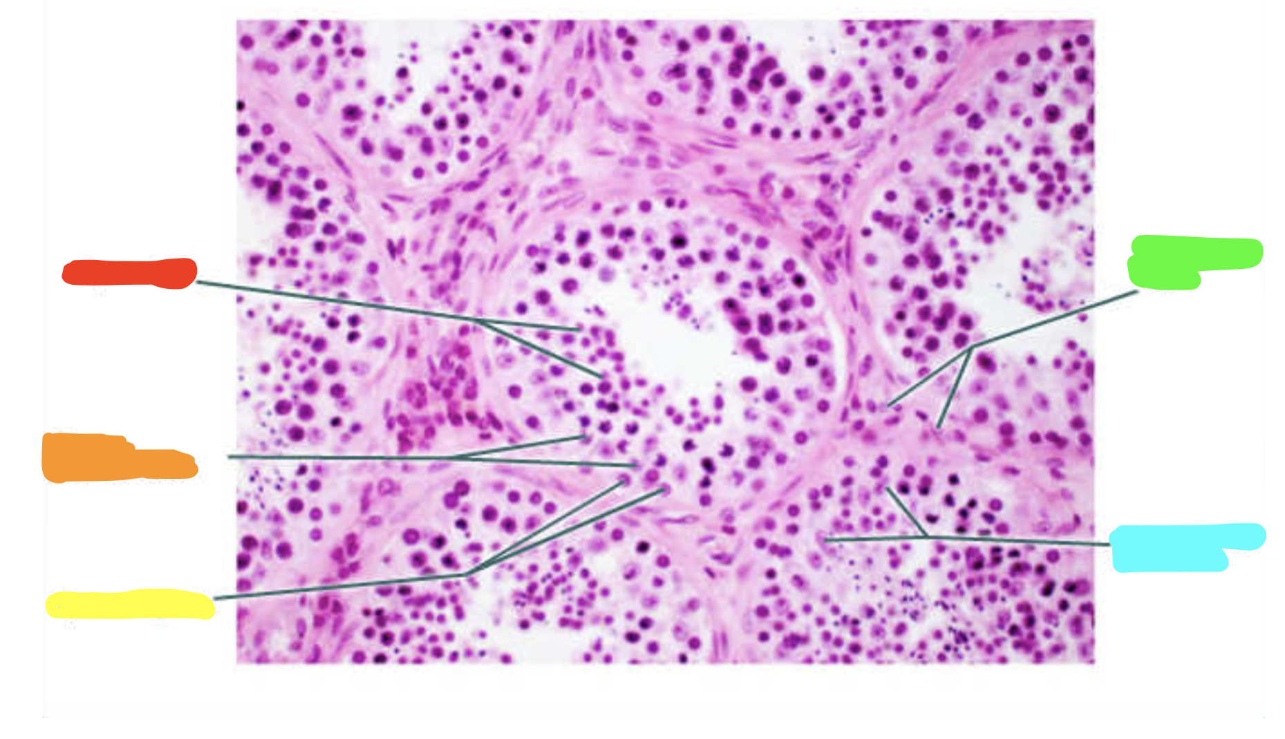
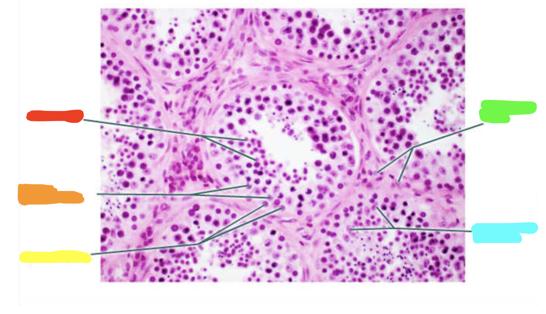
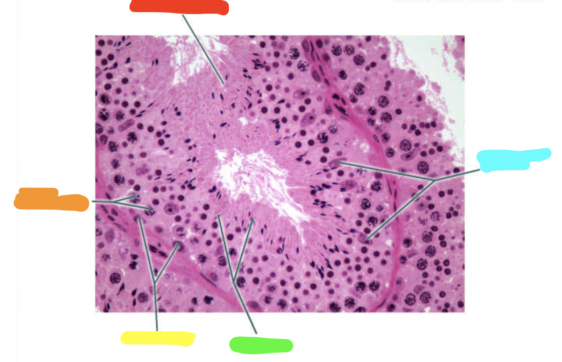
What is this a slide of?
Testis

What is red?
Spermatids

What is orange?
Primary spermatocytes

What is yellow?
Spermatogonia

What is green?
Interstitial cells

What is cyan?
Sustentacular cell nuclei

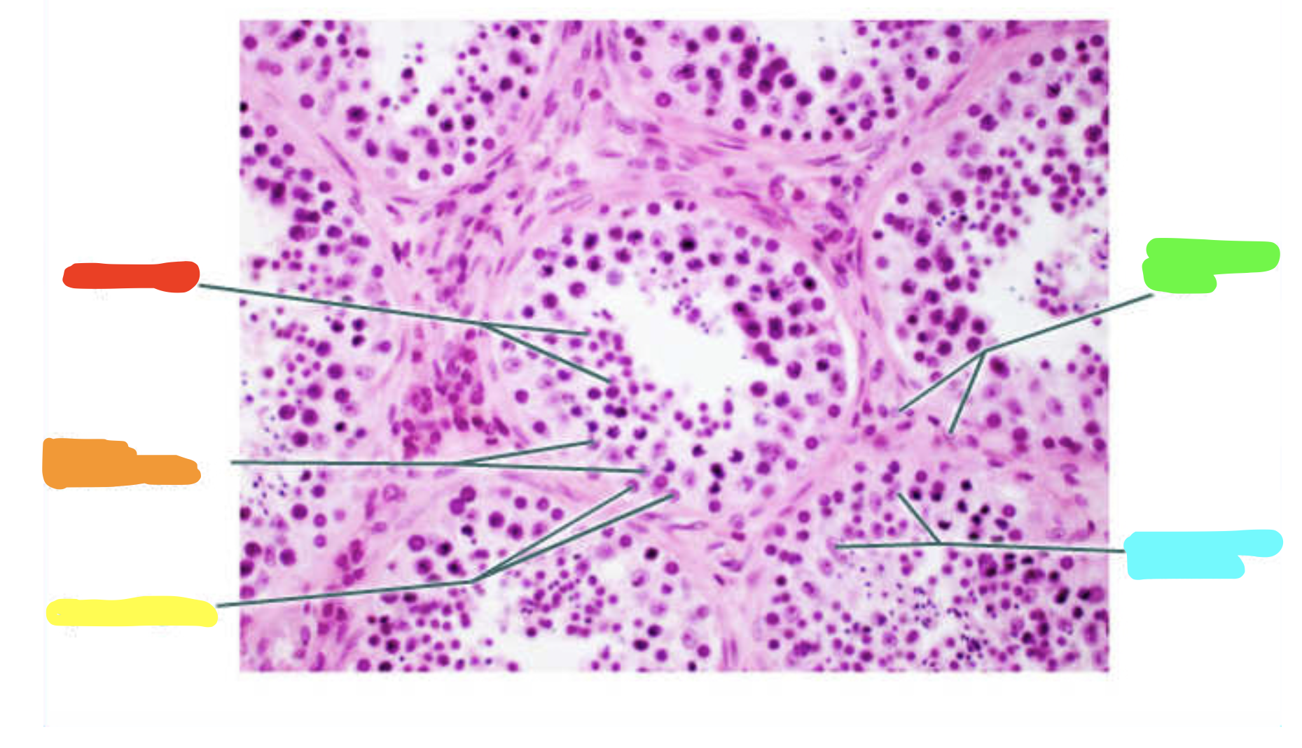
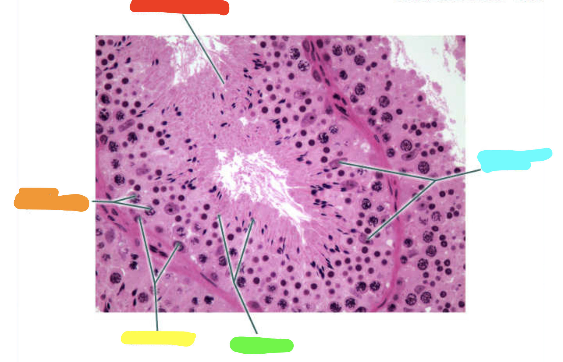
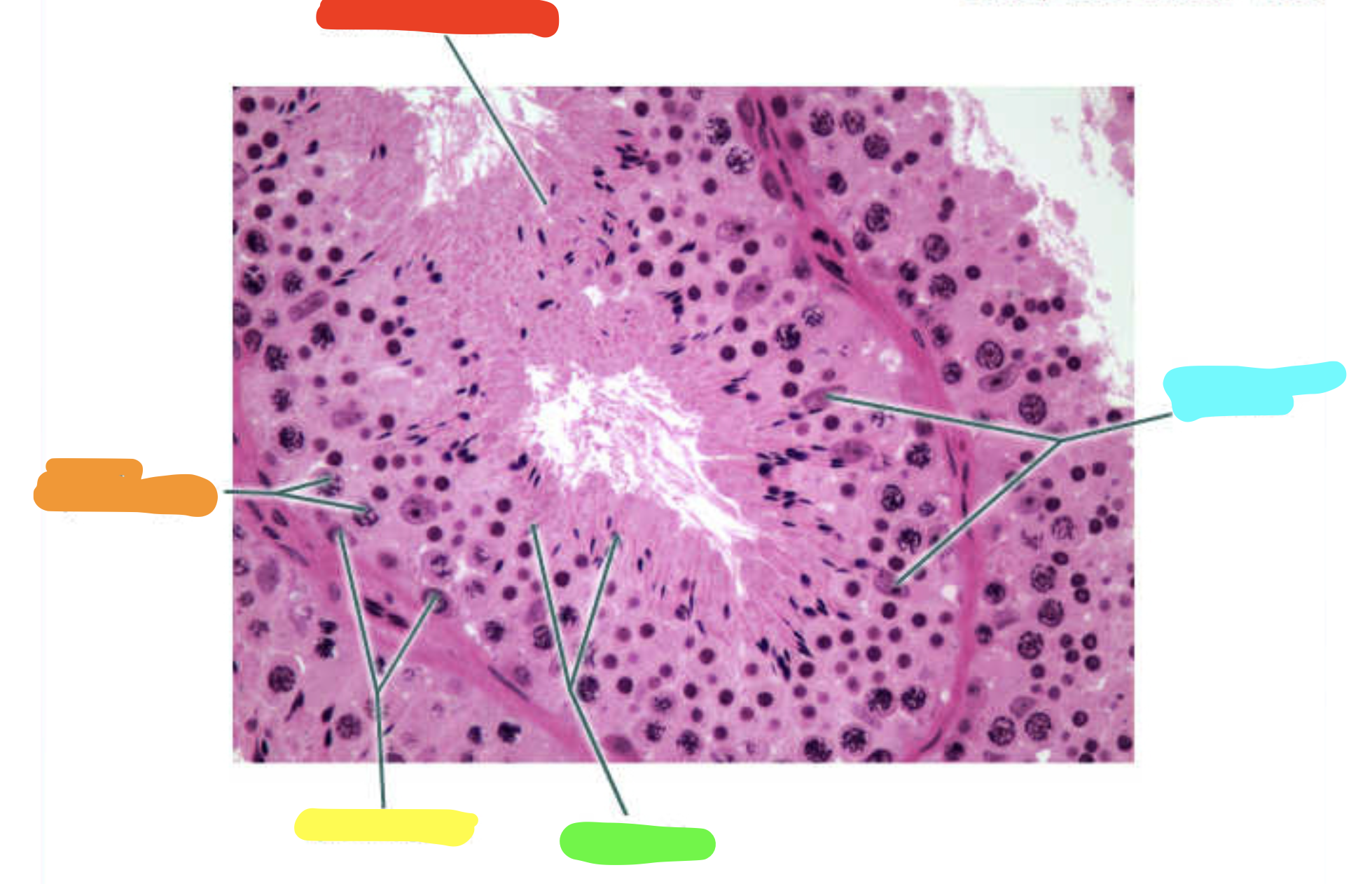
What is this a slide of?
Testis

What is red?
Seminiferous tubule

What is orange?
Primary spermatocytes

What is yellow?
Spermatogonia

What is green?
Spermatids

What is cyan?
Sustentacular cell nuclei

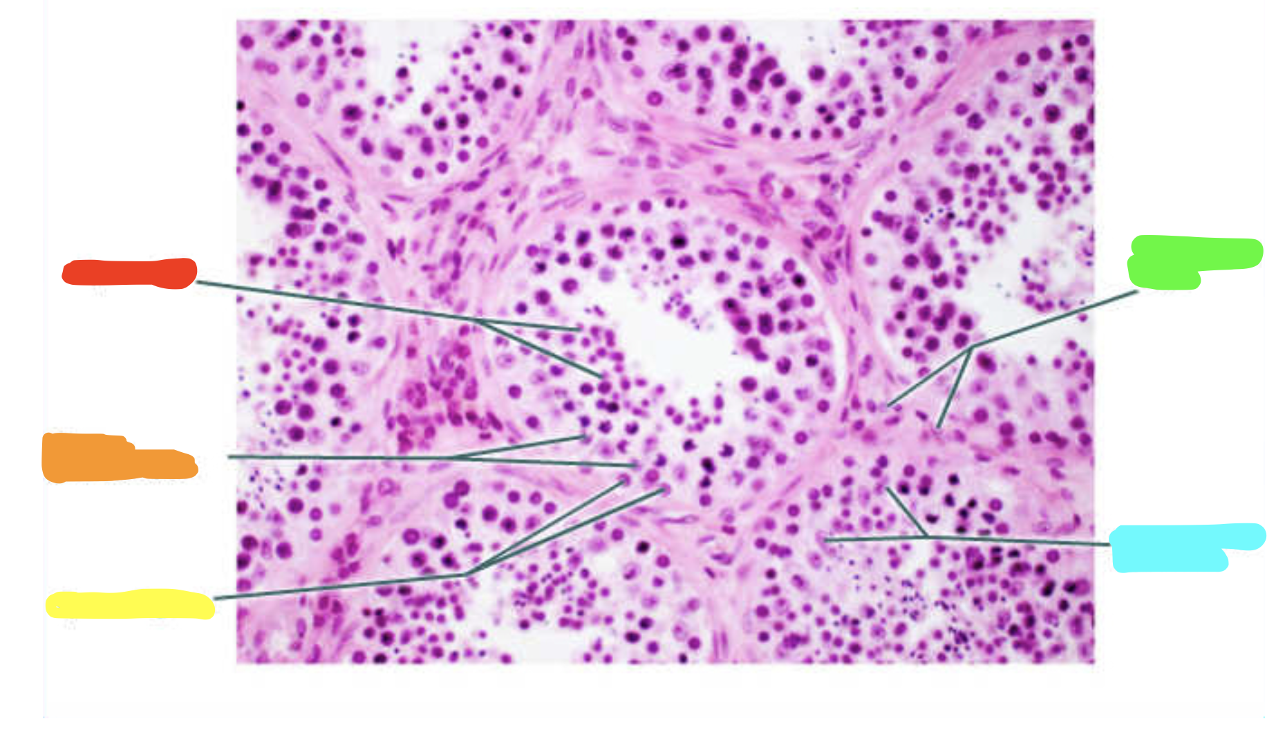
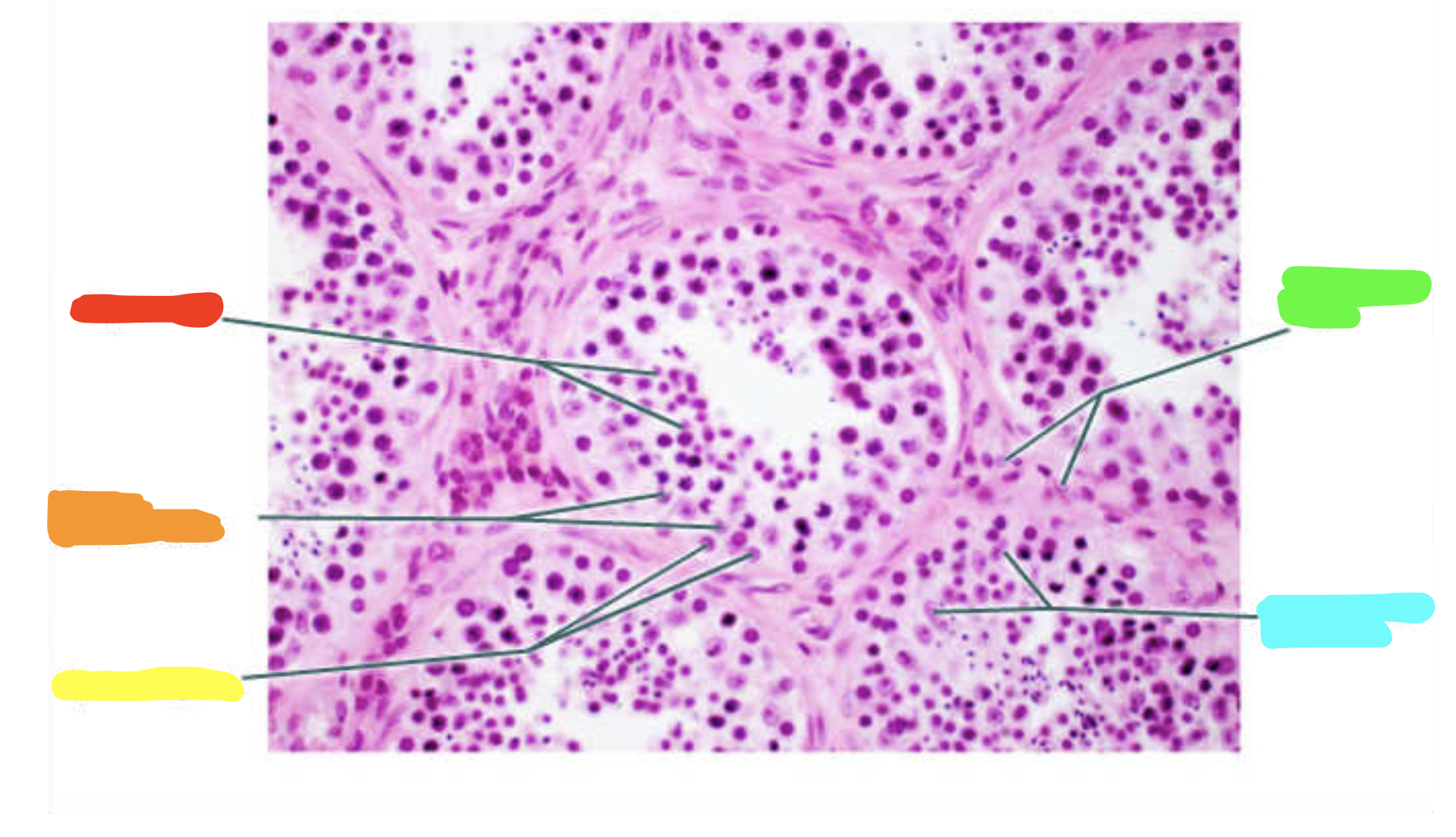
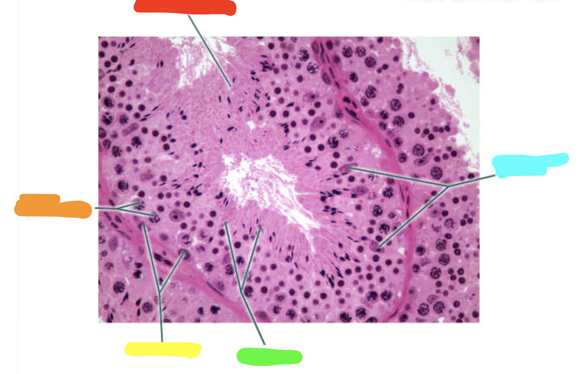
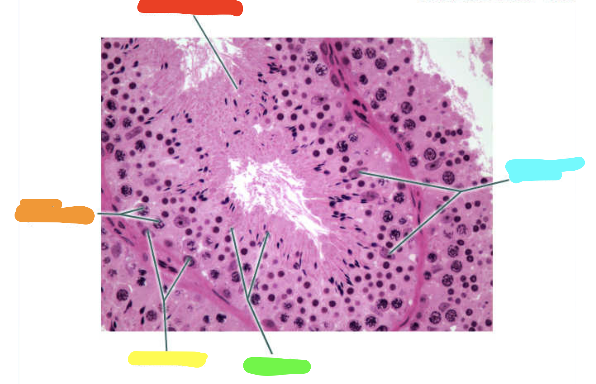
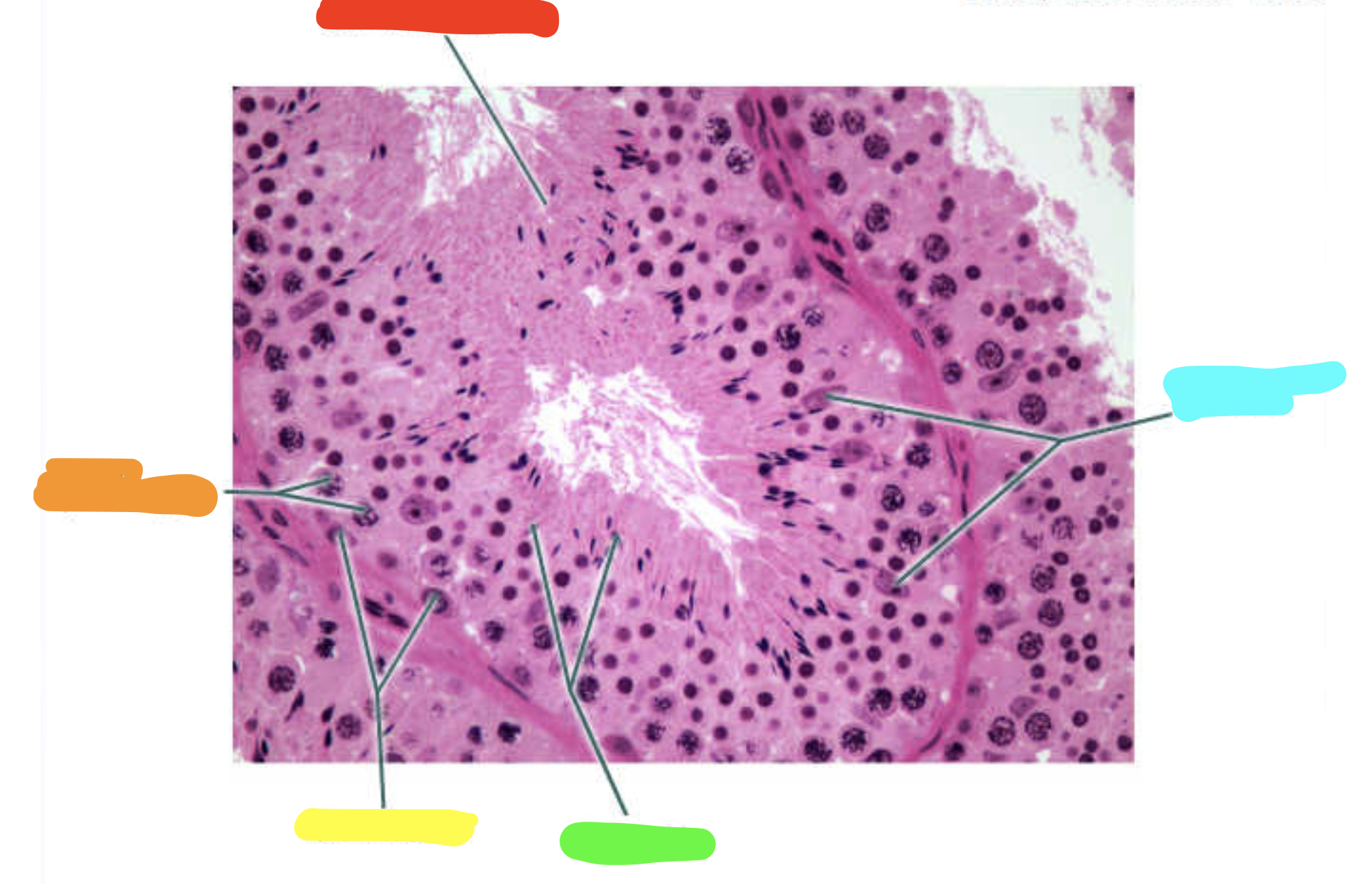
What is this a slide of?
Testis

What is red?
Primary spermatocytes

What is orange?
Spermatogonia

What is yellow?
Spermatids

What is green?
Sustentacular cell nuclei

What is this a slide of?
Epididymis

What is red?
Pseudostratified Ciliated Columnar Epithelium

What is orange?
Spermatozoa

What is yellow?
Stereocilia (non-motile)

What is this a slide of?
Sperm

What is red? (Not a specific part, just what is it)
Sperm

What is orange?
Tail

What is yellow?
Midpiece

What is green?
Head

What is this a slide of?
Ovary

What is red?
Cortex

What is orange?
Corpus luteum

What is yellow?
Mature tertiary follicle

What is green?
Antrum

What is this a slide of?
Ovary

What is red?
Mature tertiary follicle

What is orange?
Primordial follicles

What is yellow?
Antrum

What is green?
Corona radiata

What is cyan?
Oocyte

What is this a slide of?
Pituitary gland

What label is covered by white?
Anterior pituitary

What label is covered by salmon?
Posterior pituitary

What three cells are found in the section labeled by white?
Acidophils, basophils, “chromophobe” cells

The hormones stored in the salmon section are secreted by what?
Hypothalamus

The pink cells in the white-labeled section release what hormone?
Growth hormone and prolactin

The blue cells in the white labeled section secrete what hormones
Follicle-stimulating hormone, Luteinizing hormone, Adrenocorticotropic hormone, Thyroid stimulating hormone

What two structures should you note in the salmon-labeled section?
axon endings and neuroglial cell nuclei

The axons in the salmon-labeled section are from what?
hypothalamic neurons in paraventricular and supraoptic nuclei

Salmon-labeled section secretes what hormones
Oxytocin and antidiuretic hormone

What is this a slide of?
Thyroid gland

What is this a slide of?
Thyroid gland

What is the red?
Follicle cell

What is the yellow?
Colloid

What is the orange?
Parafollicular cells

What type of tissue makes up the red?
simple cuboidal epithelium

Which color stores thyroid hormone and what is the structure called?
Yellow, colloid

How is thyroid hormone stored in the follicle?
As a part of a thyroidoglobulin protein

What does the structure indicated by orange secrete and what is the structure called
Calcitonin, parafollicular cells
What does calcitonin do?
decreases blood calcium by inhibiting osteoclasts