1/44
Looks like no tags are added yet.
Name | Mastery | Learn | Test | Matching | Spaced |
|---|
No study sessions yet.

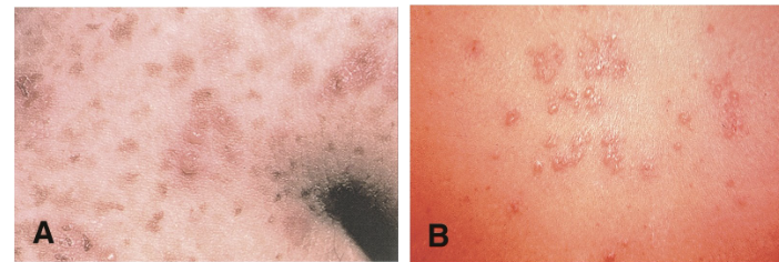
varicella (chickenpox)

herpes zoster

herpes zoster- vesicular stage

herpes zoster- crusting stage

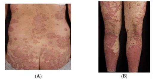
psoriasis

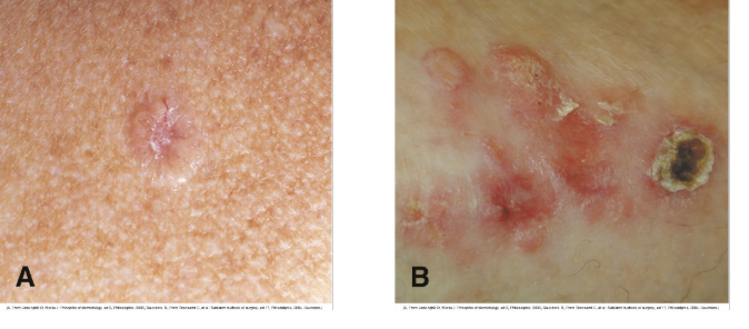
basal cell carcinoma

malignant melanoma

squamous cell carcinoma

merkel cell

dermatitis herpetiformis

crohns disease- skip lesions

jaundice

ascites

spider angiomas
liver disease

petechiae

purpura

ecchymosis

hemarthrosis

true aneurysm

false aneurysm

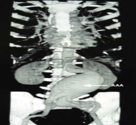
abdominal aortic aneurysm

hemosiderin
chronic venous insuffiency

jugular vein distension
indicative of right sided heart failure

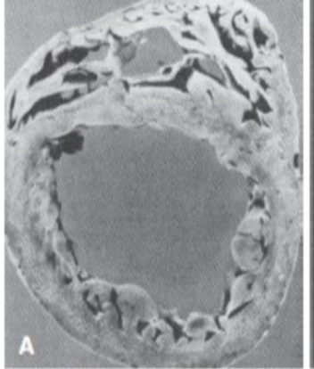
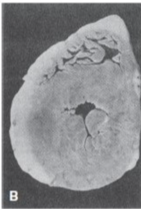
dilated cardiomyopathy

hypertrophied cardiomyopathy

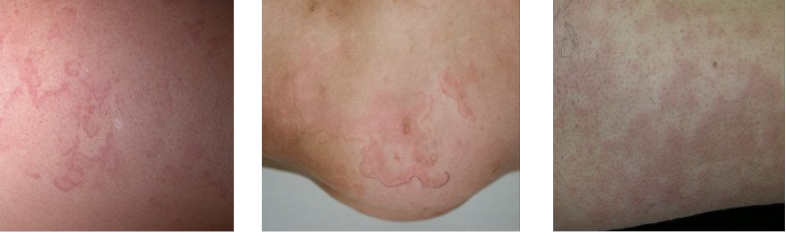
erythema marginatum
indicative of rheumatoid fever

pericardial effusion

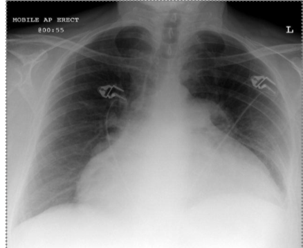
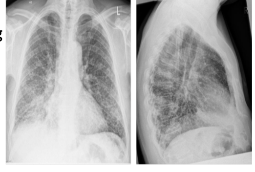
pulmonary tuberculosis

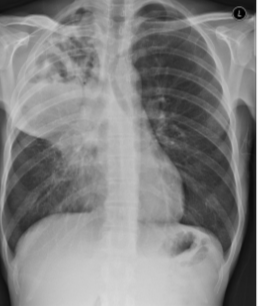
lung abscess

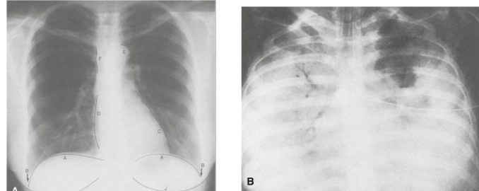
consolidation from pulmonary edema

osteogenesis imperfecta

osteopetrosis

normal bone → osteoporosis

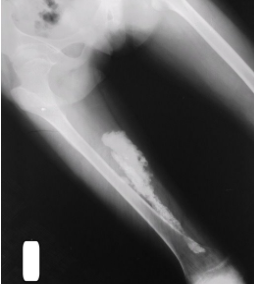
osteomyelitis

osteosarcoma

chondrosarcoma

osteoarthritis

rheumatoid nodules

gout

osteochondritis dissecans

heterotopic myositis ossificans

exophthalmos
indicative of hyperthyroidism

cushings

acute leukemia

multiple myeloma