1/27
Looks like no tags are added yet.
Name | Mastery | Learn | Test | Matching | Spaced | Call with Kai |
|---|
No analytics yet
Send a link to your students to track their progress
What is the difference between estrous and menstrual?
estrous reabsorbs and menstrual bleeds
What is the endometrial status in the estrous cycle?
reabsorbed
What is the menstrual status in the estrous cycle?
shed
What is the sexual receptivity pattern in the estrous cycle?
only during estrous (heat)
What is the sexual receptivity pattern in the menstrual cycle?
continuous
What is ovulation in the estrous cycle?
triggered by LH surge
What is ovulation in the menstrual cycle?
occurs mid-cycle
When does the corpus luteum form?
every cycle in both estrous and menstrual
What is anestrus like in the estrous cycle?
resting stage
What is anestrus like in the menstrual cycle?
absent
During what phase does the follicle grow?
Proestrus
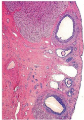
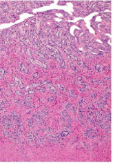
What organ is in the image provided and what phase of the estrous cycle is it in?

ovary in proestrus
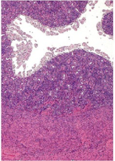
What organ is in the image provided and what phase of the estrous cycle is it in?

ovary in estrus
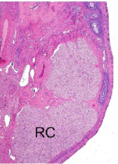
What organ is in the image provided and what phase of the estrous cycle is it in?

ovary in diestrus
What organ is in the image provided and what phase of the estrous cycle is it in?

ovary in diestrus going into anestrus
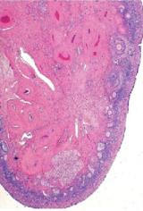
What organ is in the image provided and what phase of the estrous cycle is it in?

ovary in anestrus
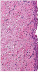
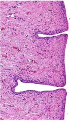
What organ is in the image provided and what phase of the estrous cycle is it in?

uterus in proestrus
What organ is in the image provided and what phase of the estrous cycle is it in?

uterus in estrus
What organ is in the image provided and what phase of the estrous cycle is it in?

uterus in diestrus
What organ is in the image provided and what phase of the estrous cycle is it in?

uterus in diestrus going into anestrus
What organ is in the image provided and what phase of the estrous cycle is it in?

uterus in anestrus
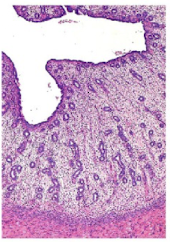
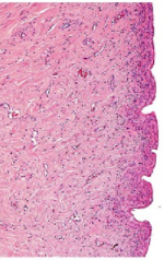
What organ is in the image provided and what phase of the estrous cycle is it in?

vagina in proestrus
What organ is in the image provided and what phase of the estrous cycle is it in?

vagina in estrus
What organ is in the image provided and what phase of the estrous cycle is it in?

vagina in diestrus
What organ is in the image provided and what phase of the estrous cycle is it in?

vagina in diestrus going into anestrus
What organ is in the image provided and what phase of the estrous cycle is it in?

vagina in anestrus
What is the key roll estrogen plays in follicle dominance?
acts in an autocrine/paracrine manner within the ovary to enhance FSH action on the granulosa cells
How is the follicle growth within the ovary prior to FSH release mediated?
internally