1/23
Looks like no tags are added yet.
Name | Mastery | Learn | Test | Matching | Spaced | Call with Kai |
|---|
No analytics yet
Send a link to your students to track their progress
¿EN QUÉ SE CLASIFICAN LOS TEJIDOS LINFÁTICOS?
EN ORGANOS GENERADORES TAMBIÉN LLAMADOS ORGANOS LINFÁTICOS PRIMARIOS O CENTRALES Y ORGANOS PERIFÉRICOS, TAMBIÉN LLAMADOS ORGANOS LINFÁTICOS SECUNDARIOS
¿QUÉ SUCEDE EN LOS ORGANOS LINFÁTICOS PRIMARIOS?
LOS LINFOCITOS EXPRESAN POR PRIMERA VEZ RECEPTORES PARA EL ANTÍGENO Y CONSIGUEN LA MADUREZ FENOTÍPICA Y FUNCIONAL.
¿QUÉ SUCEDE EN LOS ORGANOS LINFÁTICOS SECUNDARIOS?
SE INICIAN Y DESARROLLAN LAS RESPUESTAS DEL LINFOCITO A ANTÍGENOS EXTRAÑOS
¿CUÁLES SON LOS ÓRGANOS LINFÁTICOS GENERADORES?
TIMO Y MÉDULA ÓSEA
¿CUÁLES SON LOS ÓRGANOS LINFÁTICOS PERIFÉRICOS?
SON LOS GANGLIOS LINFÁTICOS, EL BAZO, EL SISTEMA INMUNITARIO CUTÁNEO Y EL MUCOSO.
¿CUÁL ES LA FUNCIÓN QUE COMPARTEN LOS ORGANOS LINFÁTICOS PERIFÉRICOS?
TRANSPORTE HASTA EL MISMO LUGAR DE ANTÍGENOS Y DE LINFOCITOS VIRGENES
¿QUÉ FUNCIÓN TIENE LA MÉDULA ÓSEA?
ES EL LUGAR DE GENERACIÓN DE LA MAYORÍA DE LAS CÉLULAS SANGUÍNEAS CIRCULANTES MADURAS, INCLUIDOS ERITROCITOS, GRANULOCITOS Y MONOCITOS, Y EL LUGAR DONDE TIENEN LUGAR LOS PRIMEROS ACONTECIMIENTOS MADURATIVOS DEL LINFOCITO B.
¿QUÉ FUNCIÓN TIENE EL TIMO?
ES EL LUGAR DE MADURACIÓN DEL LINFOCITO T. CADA LÓBULO SE DIVIDE EN MÚLTIPLES LÓBULOS POR MEDIO DE TABIQUES FIBROSOS Y CADA LÓBULO CONSTA DE UNA CORTEZA EXTERNA Y UNA MÉDULA INTERNA.
¿CÓMO SE LLAMAN LOS LINFOCITOS EN EL TIMO?
TIMOCITOS
¿QUÉ FUNCIÓN TIENE EL SISTEMA LINFÁTICO?
RECOGER EXCESO DE LÍQUIDO INTERSTICIAL EN EXCESO, TRANSPORTAR LÍPIDOS COMPLEJOS.

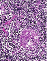
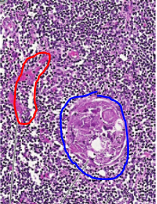
DESCRIBE ESTA IMÁGEN Y EN QUE PARTE SE ENCUENTRAN LOS LINFOCITOS T
ROJO: VASOS SANGUÍNEOS
AZUL: CORPÚSCULO DE HASSALL
CÉLULAS PEQUEÑAS TEÑIDAS DE AZUL SON LINFOCTIOS T EN DESARROLLO (TIMOCITOS)


MENCIONA QUE CÉLULAS CONFORMAN LA CORTEZA Y LA MÉDULA
CORTEZA: LINFOCITOS T Y CÉLULAS EPITELIALES DE LA CORTEZA
MÉDULA: CÉLULAS EPITELIALES DE LA MÉDULA, LINFOCITOS T, MACRÓFAGOS, CÉLULAS DENDRÍTICAS Y CORPUSCULO DE HASSALL.

EXPLICA LA MORFOLOGÍA DEL BAZO
FOLÍCULO SECUNDARIO: TIENEN CENTRO GERMINAL
FOLÍCULO PRIMARIO: ZONA DE LINFOCITOS B
CORTEZA PARAFOLICULAR: ZONA DE LINFOCITOS T
MÉDULA: LINFOCITOS T Y LINFOCITOS B
CÁPSULA: TEJIDO CONJUNTIVO QUE RECUBRE EL ÓRGANO.
SENO SUBCAPSULAR: FLUIDO LINFÁTICO.
¿QUÉ MOLÉCULA DETERMINA DONDE RESIDEN LOS LINFOCITOS B Y T EN EL GANGLIO LINFÁTICO?
LAS QUIMIOCINAS (CITOCINAS QUIMIOTÁCTICAS)
¿QUÉ ES EL BAZO?
UN ÓRGANO SECUNDARIO MUY VASCULARIZADO, CUYAS FUNCIONES PRINCIPLAES SON ELIMINAR CÉLULAS SANGUÍNEAS VIEJAS Y DAÑADAS DE LA CIRCULACIÓN E INICIAR RESPUESTAS INMUNITARIAS ADAPTATIVAS FRENTE A ANTÍGENOS DE TRANSMISIÓN HEMÁTICA.

EXPLICA LA MORFOLOGÍA DEL BAZO
CÁPSULA: ORGANIZACIÓN DEL PERÉNQUIMA
PULPA ROJA: SINUSOIDES VASCULARES LLENOS DE SANGRE
PULPA BLANCA: LINFOCITOS
FOLÍCULO LINFÁTICO: ZONA DE LINFOCITOS B
VAINA LINFÁTICA ARTERIOLAR: ZONA DE LINFOCITOS T
FUNCIÓN DE LOS FAGOCITOS
SE ENCUENTRAN LOS NEUTRÓFILOS, MACRÓFAGOS QUE TIENEN COMO FUNCION IDENTIFICAR, INGERIR Y DESTRUIR A LOS MICROBIOS.
FUNCIÓN DE LOS NEUTRÓFILOS
TAMBIÉN LLAMADOS LEUCOCITOS POLIMORFONUCLEARES, SON POBLACIÓN MÁS ABUNDANTE DE LEUCOCITOS CIRCULANTES. CONTIENEN GRANULOS DE DOS TIPOS: GRANULOS ESPECÍFICOS QUE ESTÁN LLENOS DE ENZIMAS COMO LIZOSIMAS, COLAGENASA Y LA ELATASA Y GRANULOS AZURÓFILOS, QUE SON LISOZIMAS QUE CONTIENEN ENZIMAS Y SUSTANCIAS MICROBICIDAS.
¿QUÉ ES UN MONOCITO?
UNA CÉLULA MONONUCLEADA QUE NO ES MADURA. UNA VEZ ENTRA A LOS TEJIDOS SE DIFERENCIA EN MACRÓFAGO O CÉLULA DENDRÍTICA.
¿QUÉ SECRETAN LOS MACRÓFAGOS PARA QUE OTRAS CÉLULAS RESPONDAN DE FORMA EFICIENTE A LA DEFENSA DEL ANFITRIÓN?
CITOCINAS
¿QUÉ SON LOS MASTOCITOS?
CÉLULAS DERIVADAS DE LA MÉDULA OSEA PRESENTES EN LA PIEL Y EL EPITELIO MUCOSO QUE CONTIENEN GRÁNULOS CITOPLASMÁTICOS LLENOS DE CITOCINAS, HISTAMINA, ETC.
GRANULOS CON PROTEOGLICANOS ÁCIDOS
EXPRESAN EN SU MEMBRANA RECEPTORES DE AB´S COMO rlgE, rlgG. Receptor-IgE-antígeno = DEGRANULACIÓN
MECANISMO EFECTOR: HISTAMINA
¿QUÉ SON LOS BASÓFILOS?
GRANULOCITOS SANGUÍNEOS CON MUCHAS SIMILITUDES A LOS MASTOCITOS. NO SE ENCUENTRAN EN TEJIDOS PERO SON LLAMADOS AL SITIO DE INFLAMACIÓN. EXPRESAN EN SU MEMBRANA RECEPTORES DE AB´S COMO rlgE, rlgG. Receptor-IgE-antígeno = DEGRANULACIÓN
MECANISMO EFECTOR: HISTAMINA
CARACTERÍSTICAS DE LOS EOSINÓFILOS
GRANULOCITOS SANGUÍNEOS QUE EXPRESAN GRÁNULOS CITOPLASMÁTICOS QUE CONTIENEN ENZIMAS LESIVAS PARA LAS PAREDES CELULARES DE LOS PARÁSITOS, PERO QUE TAMBIÉN PUEDEN DAÑAR TEJIDOS DEL ANFITRIÓN.
SUS GRANÚLOS SE TIÑEN CON EOSINA POR SUS PROTEÍNAS BÁSICAS.
EL GM-CSF, IL-3 Y LA IL-5 PROMUEVEN LA MADURACIÓN DEL EOSINÓFILO.
SE ENCUENTRAN EN TEJIDOS PERIFÉRICOS COMO VÍAS RESPIRATORIAS, DIGESTIVA Y TOURINARIA
CARACTERÍSTICAS DE LINFOCITOS T VÍRGENES
SE ENCUETRAN EN ESTADO G'0
EN RESPUESTA A UN ESTÍMULO ENTRAN EN FASE G1 DEL CICLO CELULAR.