1/22
Looks like no tags are added yet.
Name | Mastery | Learn | Test | Matching | Spaced | Call with Kai |
|---|
No analytics yet
Send a link to your students to track their progress
What are the 2 classifications of root canal morphology?
Vertucci- 8 types
Weine- 4

What is type 1 weine?
single canal from pulp chamber to the apex

What is type 2 Weine?
Two separate canals leve chamber but merge at canal terminus to form a single canal

What is type 3 Weine?
2 distinct canals from pulp chamber to canal terminus

What is type 4 Weine?
Single canal leaves from chamber- divides into 2 separate canals at terminus

What might make access of a maxillary central incisor difficult?
Lingual shoulder
Calcific metamorphosis
Root bulkier than lateral
Lateral canals in middle or apical third
Dilacerations

What is calcific metamorphosis?
Response to trauma- canal space fills with hard tissue- narrow calcified- yellow discolouration

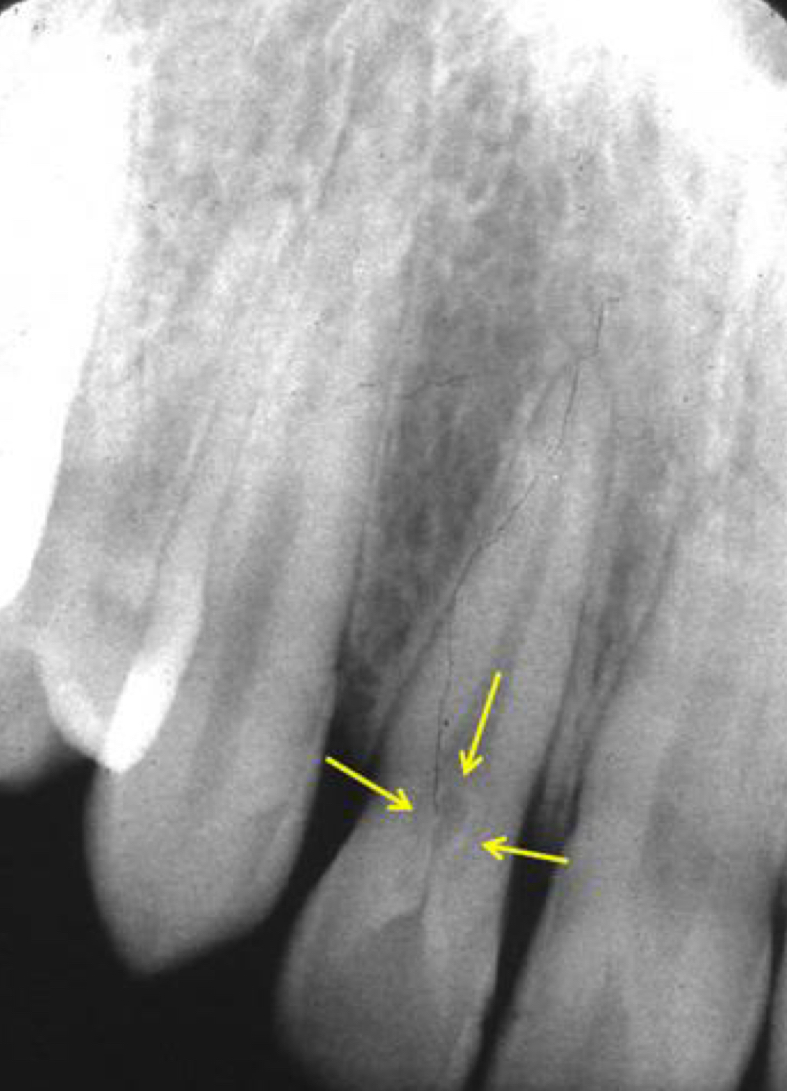
What are dilacerations?
Sharp curve in root suggest trauma or bony interference during root formation

What is the first cause of RCT failure in lateral incisors?
Apical curvature in DP direction- files tend to straighten so don’t instrument apical third

What 2 anomalies are found most commonly in maxillary lateral incisor?
Dens in dente/invaginatus- invagination of enamel
Palatal groove on lingual surface


What are the 3 types of dens invaginatus that are part of Oehlers classification?
1- invagination limited to crown- not beyond CEJ
2- extends beyond CEJ, may/not communicate with pulp
3- extends through root- no communication with pulp

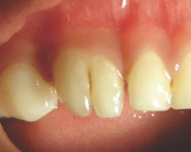
What anomaly found in mandibular lateral incisor?
Germination- one tooth bud tries to divide
Fusion- union of 2 tooth germ so single large tooth
Count the teeth- If more teeth- germination, if less teeth- fusion
What’s this?
Germination

What’s this?
Fusion

What are the anomalies in maxillary and mandibular canines?
2 roots and canals

What is a rare anomaly in a maxillary 1st pm?
3 root canals
What are common anomalies in mandibular 1st pm?
Bi or trifurcations of roots or canals

What is a rare anomaly in mandibular 2nd pm?
2 roots

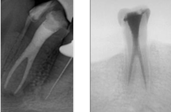
What are the 6 anomalies in maxillary 1st molar?
Single root and canal
2 distal canals
2 palatal roots
Variations in anatomy
3 MB canals
8 canals

What are common anomalies in maxillary 2nd molar?
1 canals
Pulp stones in pulp chamber
5 roots and canals
3 MB canals
What is an anomaly in mandibular 1st molar?
3 roots- extra one called radix entomolaris

What is an anomaly in mandibular 2nd molar?
3rd root
1 conical root with c shaped canal

What is the classification of c shaped root canals according to melton?
