1/59
Looks like no tags are added yet.
Name | Mastery | Learn | Test | Matching | Spaced | Call with Kai |
|---|
No analytics yet
Send a link to your students to track their progress

Ácino misto - meias-luas serosas e círculo mucoso

Ácino mucoso - núcleo achatado e basal e citoplasma pouco corado

Ácino seroso - núcleo redondo e paranasal e acidofilia apical

Adiposo multiocular - muitas lojas lipídica e núcleo esférico e central

Adiposo multilocular - muitas lojas lipídica e núcleo esférico e central

Adiposo multilocular- muitas lojas lipídicas e núcleo esférico e central

Adiposo unilocular - uma grande loja lipídica e núcleo periferico

Adiposo unilocular - uma grande loja lipídica e núcleo periferico

Cilíndrico simples - 1 camada de células alongadas com núcleo alongado

Cilíndrico simples - 1 camada de células alongadas e núcleo alongados

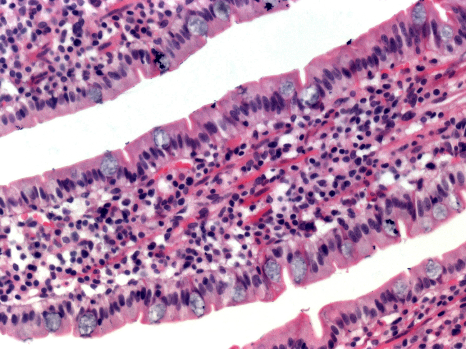
Cilíndrico simples com borda em escova e células caliciformes

Cilíndrico simples com borda em escova e células caliciformes

Cilíndrico simples com planura estriada e células caliciformes

Cilíndrico simples com planura estriada e células caliciformes

Cilíndrico simples - 1 camada de células alongadas com núcleo alongado

Conjuntivo denso não modelado - mais fibras do que células e fibras organizadas sem uma orientação

Conjuntivo elástico - fibras elásticas ondulatórias organizadas em paralelo irregular

Conjuntivo frouxo - mais células do que fibras e presença de fibroblastos ativos

Conjuntivo frouxo - mais células do que fibras e presença de fibroblastos ativos

Conjuntivo reticular - fibras reticulares ramificadas e células reticulares

Conjuntivo reticular - fibras reticulares ramificadas e células reticulares

Cúbico estratificado - mais de uma camada de células cúbica com núcleo central e arredondado

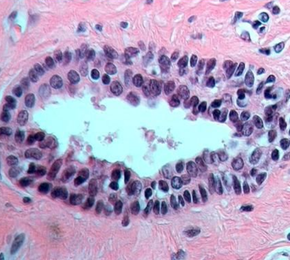
Cúbico simples - 1 camada de células cúbicas com núcleo central e arredondado

Cúbico simples com borda em escova

Cúbico simples com borda em escova

Cúbico simples - uma camada de células cúbicas com núcleo central e arredondado

Conjuntivo denso modelado - mais fibras do que células e fibras organizadas em paralelo

Conjuntivo denso modelado - mais fibras do que células e fibras organizadas em paralelo

Denso modelado - mais fibras do que células e fibras organizadas em paralelo

Denso modelado - mais fibras do que células e fibras organizadas em paralelo

Denso modelado - mais fibras do que células e fibras organizadas em paralelo

Denso não modelado - mais fibras do que células e fibras organizadas sem orientação

Conjuntivo elástico - fibras elásticas onduladas e fibras organizadas em paralelo irregular

Epitélio de transição - células globosas na camada mais apical e mais de uma camada de células

Epitélio de transição - mais de uma camada de células e células globosas

Epitélio de transição - mais de uma camada de células e células globosas

Estratificado cilíndrico - mais de uma camada de células cilíndricas com núcleos alongados

Estratificado cúbico - mais de uma camada de células cúbicas com núcleo central e arredondado

Estratificado cúbico - mais de uma camada de células cúbicas com núcleos central e arredondado

Estratificado Pavimentoso não Queratinizado - mais de uma camada de células pavimentosas com núcleos achatados

Estratificado Pavimentoso não Queratinizado - mais de uma camada de células pavimentosas com núcleos achatados

Estratificado Pavimentoso Queratinizado - mais de uma camada de células pavimentosas com núcleos achatados

Acino misto - meias-luas serosas e círculo mucoso

Ácino misto - meia lua serosa e círculo mucoso

Ácino mucoso - núcleo achatado e periferico e citoplasma pouco corado

Ácino mucoso - núcleo achatado e periferico e citoplasma pouco corado

Ácino seroso - núcleo redondo e parabasal e acidofilia apical

Ácino seroso - núcleo redondo e parabasal e acidofilia apical

Estratificado Pavimentoso não Queratinizado - mais de uma camada de células pavimentosas com núcleos achatados

Pavimentoso simples - uma camada de células pavimentosas com núcleos achatados

Pavimentoso simples - uma camada de células pavimentosas com núcleo achatado

Pavimentoso simples - uma camada de células pavimentosas com núcleos achatados

Pseudoestratificado ciliado - células em alturas diferentes e cílios

Pseudoestratificado com células caliciformes e cílios

Pseudoestratificado com células caliciformes e cílios

Pseudoestratificado com células caliciformes e cílios

Pseudoestratificado com células caliciformes e cílios

Pseudoestratificado esteriociliado

Cúbico simples - uma camada de células cúbicas com núcleo central e arredondado