1/53
Looks like no tags are added yet.
Name | Mastery | Learn | Test | Matching | Spaced | Call with Kai |
|---|
No analytics yet
Send a link to your students to track their progress
what does the reproductive system consists of?
the testes
the intratesticular ducts
the excretory genital ducts
the accessory glands
the penis
What are the Excretory Genital Ducts?
epididimys
the Ductus or Vas Deferens (from scrotum to urethra)
the urethra
What are the accesory glands?
seminal vesicles
the prostate gland
the bolburethral glands
What do the testes produce?
they produce SPERM
What do testes contain?
they contain ENDOCRINE CELLS
What do ENDOCRINE CELLS produce?
they produce hormones (ex. tesosterone)
What is the role of testosterone?
It drives the male reproductive physiology.
What do the genital ducts and accessory sex glands produce?
Secretions required for sperm activity.
Why are the secretions from genital ducts and accessory sex glands important?
They support sperm activity
provide nutrients to spermatozoa.
What is the dense connective tissue capsule that surrounds each testis?
The tunica albuginea.

What structure is formed by the posterior thickening of the tunica albuginea?
The mediastinum testis.
What extends from the mediastinum testis to divide the testis into lobules?
Connective tissue septa.
Approximately how many lobules or compartments does each testis contain?
About 250 testicular lobules.
Why must the testicular temperature be lower than that of the abdominal cavity?
To keep the spermatogenic epithelium alive and active
How does the anatomical position of the testes help regulate their temperature?
Their location below the abdominal cavity in the scrotum helps maintain a lower temperature than inside the abdomen
How many seminiferous tubules are present in each testis?
Each testis contains 250โ1,000 seminiferous tubules.
What is the size of a seminiferous tubule?
150โ200 ยตm in diameter and 30โ70 cm in length.
What is the total combined length of all seminiferous tubules in one testis?
Approximately 250 meters.
What segment does each seminiferous tubule include before joining the mediastinum testis?
A short, straight, and narrower segment called the straight tubule.
What connects the rete testis to the epididymis?
About 10โ20 efferent ductules

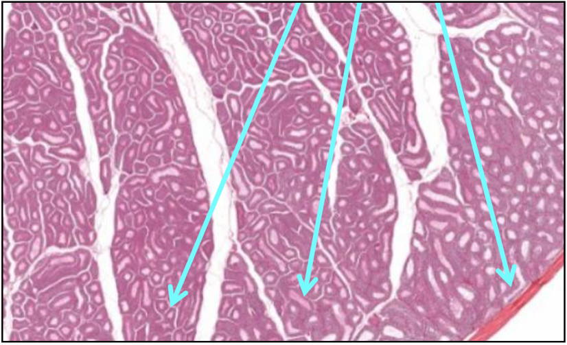
What is shown in this image?
The Testis-testicular lobules
Whar is SPERMATOGONIA?
Spermatogonia are the primitive germ cells found in the seminiferous tubules of the testes
They are the earliest stage of male germ cells and serve as the stem cells for sperm production (spermatogenesis)

How many efferent ductules are present, and what do they connect?
There are approximately 20โ25 efferent ductules, and they connect the rete testis to the proximal portion of the epididymal duct
Where do the efferent ductules form a noticeable bulk?
They form a bulk on the head (caput) of the epididymis
What types of cells line the lumen of the efferent ductules?
The lumen is lined by:
pseudostratified ciliated and non-ciliated columnar epithelial cells
basal cells
a few lymphocytes
What is the main function of the efferent ductules?
Their main function is resorption of fluid

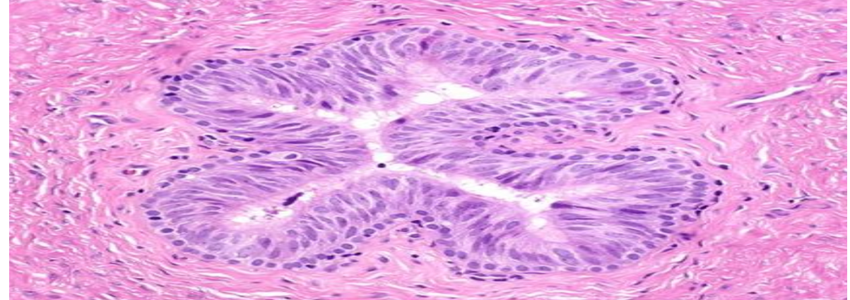
What does the arrows in this image show?
Semoniferous Tubules
Where are Sertoli cells located?
Sertoli cells are located inside the seminiferous tubules

What is the main function of Sertoli cells?
Sertoli cells physically and metabolically support developing sperm precursor cells
How can Sertoli cells be distinguished from neighboring germ cells?
Sertoli cells have:
typically ovoid or triangular euchromatic nuclei with a prominent nucleolus
What do Sertoli cells support within the seminiferous tubules?
They support developing sperm precursor cells (spermatogenic cells)

What kind of cell is the pink ones shown in this image?
Sertoli cells
What are Leydig (interstitial) cells and when do they develop?
Leydig cells are large round or polygonal cells in the interstitial tissue of the testes that develop during puberty
What is the main function of Leydig cells?
They produce and secrete the steroid hormone testosterone, which promotes the development of secondary male sex characteristics
Describe the appearance of Leydig cells:
They are large, round or oval-shaped cells
with a big central nucleus
a prominent nucleolus
have eosinophilic cytoplasm.
How are Leydig cells arranged in the testes?
They are arranged in clusters within the interstitial tissue between seminiferous tubules

What organelles are abundant in Leydig cells and why?
They contain smooth endoplasmic reticulum (SER)
many mitochondria
many small lipid droplets
all supporting steroid hormone synthesis
What is the epididymis?
A long, coiled duct where sperm undergo maturation and short-term storage
What encloses the epididymis?
Connective tissue
What type of epithelium lines the epididymis?
Pseudostratified epithelium with stereocilia
Where is the epididymis located?
At the upper pole of the testis

What is the length of the epididymis?
Apprx 4โ5 meters (when uncoiled)
What are the three anatomical parts of the epididymis?
Head
body
tail

What structure does the tail of the epididymis open into?
The vas (ductus) deferens

What type of epithelium lines the vas (ductus) deferens?
Pseudostratified columnar epithelium

What cells make up the pseudostratified columnar epithelium of the vas deferens?
Principal cell
pencil cells
mitochondria-enriched cells
resting on basal cells
What is the arrangement of the muscular coat of the vas deferens?
Three layers:
inner longitudinal
middle circular
outer longitudinal
What are seminal vesicles?
Paired exocrine glands of the male reproductive system that secrete seminal fluid containing nutrients for sperm
What is the structural organization of each seminal vesicle?
Each seminal vesicle consists of:
a coiled duct with a mucosa made of many thin folds projecting into the lumen, surrounded by two layers of smooth muscle
What components make up the mucosal folds of the seminal vesicle?
a simple columnar epithelium of principal secretory cells
a thin lamina propria
some smooth muscle
What type of glands make up the prostate?
30โ50 branched tubuloacinar glands
What type of epithelium lines the prostate glands?
Columnar or pseudostratified columnar epithelium
How many zones is the prostate organized into?
Three zones
What are the three zones of the prostate?
Transition zone
Intermediate (Central) zone
Peripheral zone