1/117
Looks like no tags are added yet.
Name | Mastery | Learn | Test | Matching | Spaced |
|---|
No study sessions yet.

What is A?
Urinary bladder

What is B?
Testicular vessels

What is C?
Ureter

What is D?
Descending colon

What is E?
Rectum

What is F?
Prostate gland

What is G?
Testicle

What is H?
Penis

What is I?
Bulbus glandis

What is J?
Prepuce
What comprises the male reproductive system?
Scrotum,
two testes ,
Two epididymides,
Two vas deferens
One prostrate
Penis
Prepuce
Urethra
What are the functions of the male productive system?
Produces male sex hormones
Develops spermatozoa
Deliver the spermatozoa to the female system

What is the difference between cats and dogs ? Describe
Dogs don’t have bulbo-urethral gland
Where is the scrotum in dogs ?
Lies between the hind legs
Where is the scrotum in cats ?
on perineum below anus
What is the scrotum?
Membranous pouch containing testicles divided by a septum into two halves
Why is the scrotum located outside of the body?
Allows for proper temperature control
High temp = too high production
Low temp = too low production
What does the cremaster muscle do?
Allow position to change

What is A?
Anus

What is B?
Scrotum

What is C?
Prepuce

What is D?
Anus
What is E?
Scrotum
The testicles descend where ?
Through the abdomen through the inguinal ring
What is the term for when one or both testes are retained ?
Cryptorchid
What does chryptorchid mean?
One or both testes retained
Why is an animal with cryptorchid testes’ more likely to become cancerous ?
Due to high temperatures , can also become necrotic
What is the term for when only one reticle is developed/descended at birth?
Monorchid
What does monorchid mean?
Only one testicle developed/descended at birth
can monorchids or cryptorchids be used for breeding?
No

What is A?
Deferent duct

What is B?
Tail of the epididymis

What is C?
Ligament of the tail of the epididymis

What us D?
Proper ligament of the testis

What is E?
Testicular artery and vein mit vegetative nerve fibres and lymph vessels

What is F?
Pampiniform plexus

What is G?
Body of the epididymis

What is H?
Head of the epididymis

What is I?
Entrance to the testicular bursa

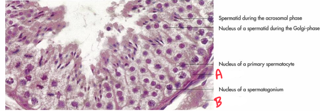
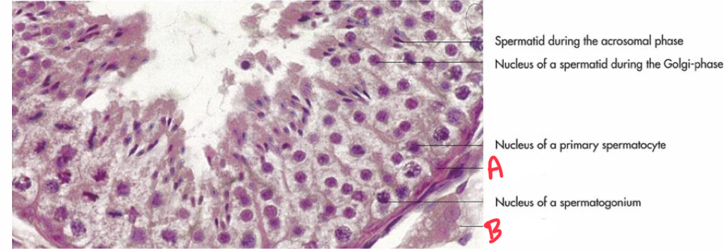
What are the blind ending tubules within the testis tissue called ?
Seminiferous tubules

What make the testis feel very tense?
Seminiferous tubules

The seminiferous tubules drain into what?
Efferent ducts which lead to epididymis - maturation of sperm

The epididymis drains into what?
The vas deferens or spermatic cord to urethra

What is A?
epididymis

What is B?
Ureter

What is C?
Prepuce

What is D?
Deferent duct

What is E?
Prostate gland

What is F?
Urinary gland

What differs between these two?
Cat has bulbourethal gland , glans of penis, dog does not
Dog has os penis, ampulla of the deferent duct, unpaired bulb and long distal part of the glans , cat does not

What is A?
Tail epididymis

What is B?
Proper ligament of the testis and ligament of the tail and epididymis
What are the cells within the testicle ?
Spermatogenic, sertoli, interstitial
What are spermatogenic cells ?
Dividing cells which mature into spermatozoa
What are Sertoli cells ?
Secrete oestrogens and nutrients to prolong survival of sperm
What are interstitial (cells of leydig) cells?
They produce testosterone

What is A?
Sertoli cell

What is B?
leydig cell

What is the blood supply in the spermatic cord?
Testicular artery and vein

What is the pampiform plexus?
Meshwork of veins that surrounds testicular artery. To keep testicle cool and to warm blood when it goes up into abdomen

What is the pelvic portion of the urethra?
Entry point of the deferen duct and accessory reproductive glands

What makes up the penile portion of the urethra?
Spermatozoa from vas deferens and secretions from accessory reproductive glands
Urine from the urinary bladder outside the body

What is A?
Bladder

What is B?
Ureter

What is C?
Vas deferens

What is D?
Ampullary gland

What is E?
Prostate

What is F?
Urethra

What is G?
Beginning of penis
What is the ampullary gland ?
Widening of the vas deferens
Why does the prostate produce alkaline fluid ?
Helps counteract the acidity of the female reproductive tract and provides energy to sperm
What is the prostate ?
Small walnut that surrounds the urethra
What is the function of the prostate ?
Produces a large amount of the seminal fluid that makes up the volume of ejaculate in the dog

What is indicated by the red?
Prostate gland
What species is the bulbourethral glands found ?
Only in the cat and the stallion
Where is the bulbourethral glands found ?
Caudal to the prostrate gland

What is A?
Bulbourethral gland
What does the bulbourethral glands do?
Secretes a thick mucous substance that forms part of the seminal fluid
Clears the urethra of debris prior to full ejaculation

What is A?
Ampulla of the deferent duct

What is B?
Body of the prostate

What is C?
Bulbourethral gland

What is A?
Corpus spongiosum

What is B?
Corpus cavernosum
What kind of organ is the penis & prepuce ?
Tubular organ
What 3 parts does the penis comprise of ?
Root, body and glans

What is A?
Root

What is B?
Body

What is C?
Glans
What are the two strips of erectile tissue ?
Corpus cavernosum, corpus spongiosum
What happens to the corpus spongiosum when engorged with blood?
Expands proximally when engorged with blood along the penis and is known as the bulb of the penis
What are the functions of the penis ?
Convey sperm and fluids from the testis into the female reproductive tract
Convey urine from the bladder to the outside via the urethra
What are the rules of the prepuce ?
To protect the penis

Where does the penis point in dogs ?
Cranial along sternal abdomen

Where is the distal part of the penis in dogs ?
Distal part within prepuce (epithelial tissue)

What bone is in the penis in dogs?
Os penis bone

Where does the penis point in cats ?
Points causally and is shorter

Where is the distal part of the penis in cats ?
Distal part (glans) covered in barbs - induced ovulation

What do the barbs of the penis develop with in cats ?
Testosterone
When does formation of spermatozoa begin?
Puberty
Hypothalamus creates an increasing amount of what?
Gonadotropin-releasing hormone (GnRH)