HMI204 - Image Test Revision

0.0(0)
studied byStudied by 0 people
0.0(0)
full-widthCall Kai
learnLearn
examPractice Test
spaced repetitionSpaced Repetition
heart puzzleMatch
flashcardsFlashcards
GameKnowt Play
Card Sorting

1/44

encourage image

There's no tags or description

Looks like no tags are added yet.

Study Analytics
Name
Mastery
Learn
Test
Matching
Spaced

No study sessions yet.

45 Terms

1
New cards

CT + MRI Orientation

  • Axial

  • Sagittal

  • Coronal

2
New cards
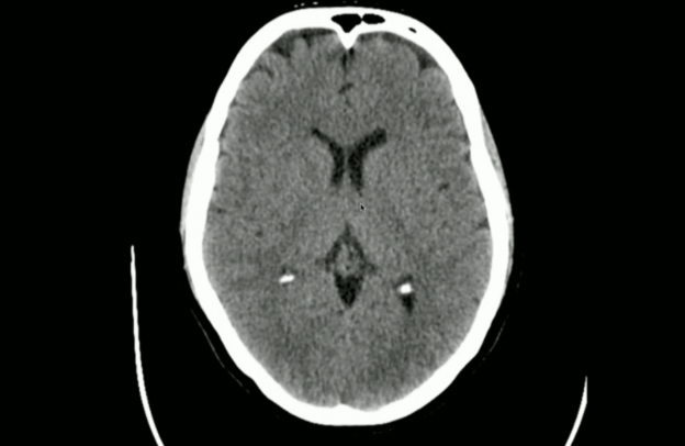
<p>Locate: Sulci, Grey Matter + White Matter</p>

Locate: Sulci, Grey Matter + White Matter

knowt flashcard image
3
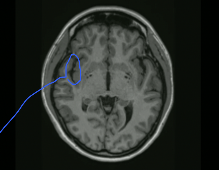
New cards
<p>What is this?</p>

What is this?

Basal Nuclei

4
New cards
<p>What Meningeal Layers are visible?</p>

What Meningeal Layers are visible?

  • Dura Matter

  • Subarachnoid Space = Dark Space

5
New cards
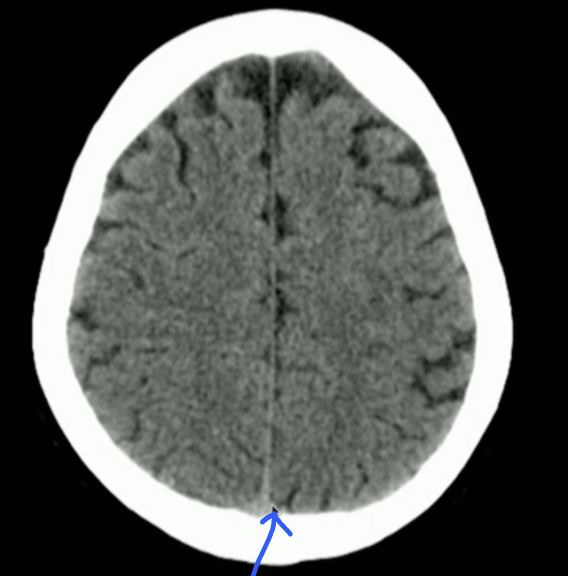
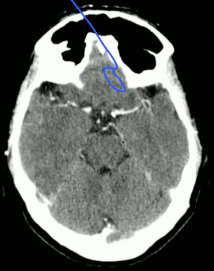
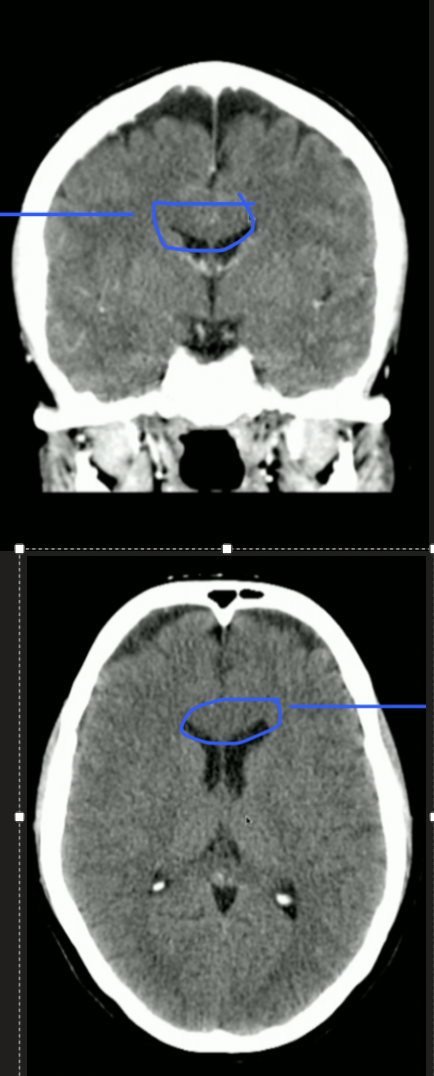
<p>What is the arrow pointing to? + Attachment Points</p>

What is the arrow pointing to? + Attachment Points

  • Falx Cerebri

  • Anteriorly: Crista Galli on Ethmoid Bone

  • Posteriorly: Occipital Protuberance

<ul><li><p>Falx Cerebri</p></li><li><p>Anteriorly: Crista Galli on Ethmoid Bone</p></li><li><p>Posteriorly: Occipital Protuberance</p></li></ul><p></p>
6
New cards
<p>What is the arrow pointing to?</p>

What is the arrow pointing to?

  • Superior Sagittal Sinus

7
New cards
<p>What is this?</p>

What is this?

  • Tentorium Cerebelli

8
New cards
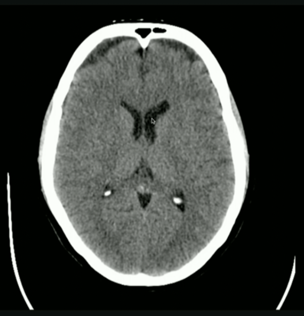
<p>What is the mouse Pointing to? + What does it create?</p>

What is the mouse Pointing to? + What does it create?

  • Anterior Horn of Lat. Ventricle

  • Houses Choroid Plexus → Creates CSF

  • IF: Caudate nucleus swells → Impacts Lat. Ventricle → Huntingtons Disease

9
New cards
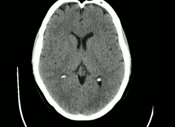
<p>What is in between Lat. Ventricles?</p>

What is in between Lat. Ventricles?

  • Septum Pellucidum

10
New cards
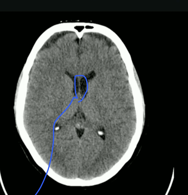
<p>What is this? + Function</p>

What is this? + Function

  • Interventricular Foramen

  • Communicates CSF from Lat Ventricles → 3rd Ventricle

11
New cards
<p>What is highlighted?</p>

What is highlighted?

  • 3rd Ventricle 

  • CSF then goes to Cerebral Aqueduct

12
New cards
<p>What is Top + Bottom Circle + Arrow?</p>

What is Top + Bottom Circle + Arrow?

  • Top: 3rd Ventricle

  • Bottom: 4th Ventricle

  • Arrow: Cerebral Aqueduct

13
New cards
<p>What Fissure is this?</p>

What Fissure is this?

Left Lateral Fissure

14
New cards
<p>What Fissure is this?</p>

What Fissure is this?

Interhemishperic Fissure

15
New cards
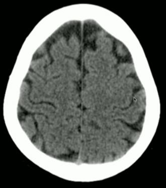
<p>Where is Central Sulcus? + Lobes + Gyrus</p>

Where is Central Sulcus? + Lobes + Gyrus

  • Below T sign

<ul><li><p>Below T sign</p></li></ul><p></p>
16
New cards
<p>What Sulcus is&nbsp;the circle + What Lobe is the arrow </p>

What Sulcus is the circle + What Lobe is the arrow

  • Circle: Lateral Sulcus

  • Arrow: Temporal Lobe

17
New cards
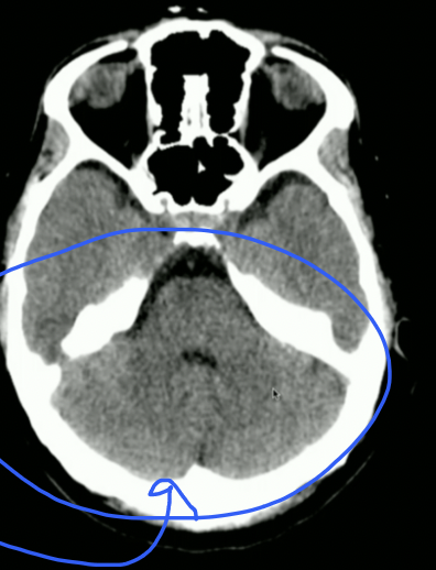
<p>What fossa?</p>

What fossa?

  • Posterior Cranial Fossa

  • THAT IS CEREBELLUM not Occipital Lobe

18
New cards
<p>What Part of Brain Stem?</p>

What Part of Brain Stem?

  • Pons

  • Look for Basilar Groove

19
New cards
<p>What Part of Brain stem?</p>

What Part of Brain stem?

  • Mid-brain

  • Look for Cerebral Aqueduct

20
New cards
<p>What Part of Brainstem?</p>

What Part of Brainstem?

  • Medulla Oblungata

  • Stops at Foramen Magnum

21
New cards

What type of Matter is Corpus Callosum?

  • White matter

22
New cards

Function of Corpus Callosum?

  • To communicate with Cerebral Hemispheres

23
New cards
<p>What Portion of the Corpus Callosum is this?</p>

What Portion of the Corpus Callosum is this?

  • Genu

24
New cards
<p>Is this normal/abnormal?</p>

Is this normal/abnormal?

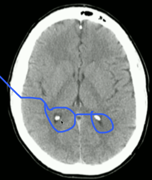
  • Normal: the Choroid Plexus can Naturally Calcify

25
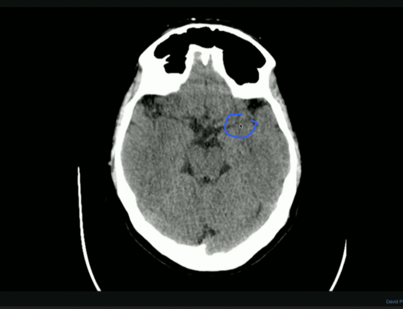
New cards
<p>What vessel would be here?</p>

What vessel would be here?

ACA

26
New cards

What vessel is found Next to Lateral Fissure?

MCA

27
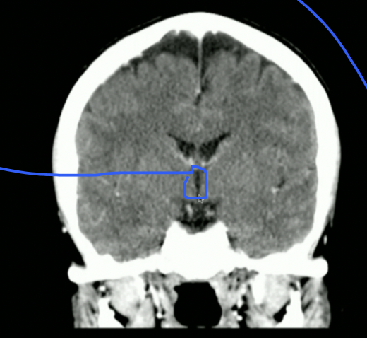
New cards

What vessel is found next to Inter-hemispheric Fissure?

  • ACA

28
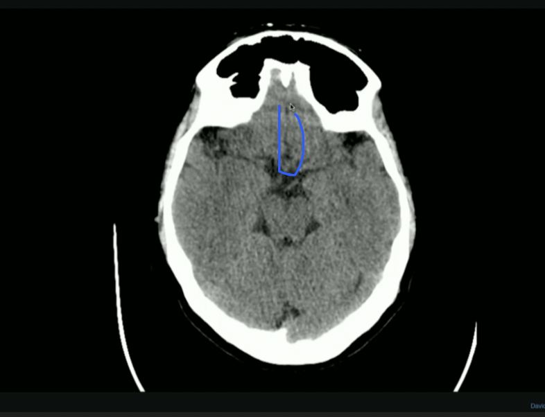
New cards

What vessel is impacted if Falx Cerebri is impacted?

ACA

29
New cards

Difference between MRI T1 & T2 Images?

  • T1: Fat is Bright

  • T2: Fluid is Bright

30
New cards
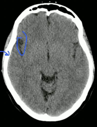
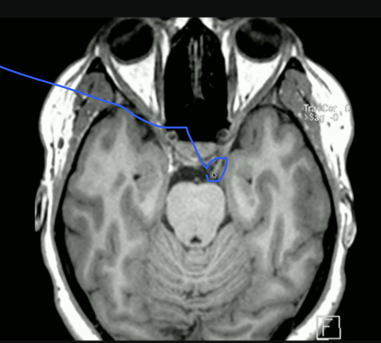
<p>What happens if this space is fractured?</p>

What happens if this space is fractured?

  • All CN that move eye is impacted

  • Trigeminal, Trochlea, Abducent

31
New cards
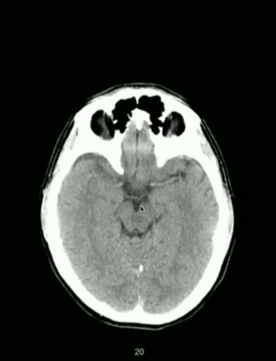
<p>What is this? + Pathway to it</p>

What is this? + Pathway to it

  • Hippocampus

  • Mammilary Body → Fornix → Hippocampus

32
New cards
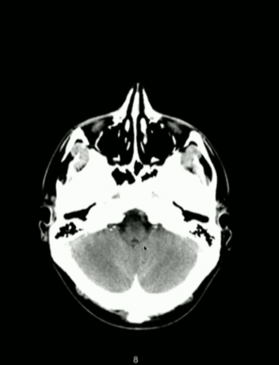
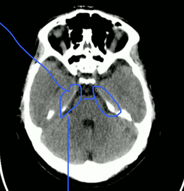
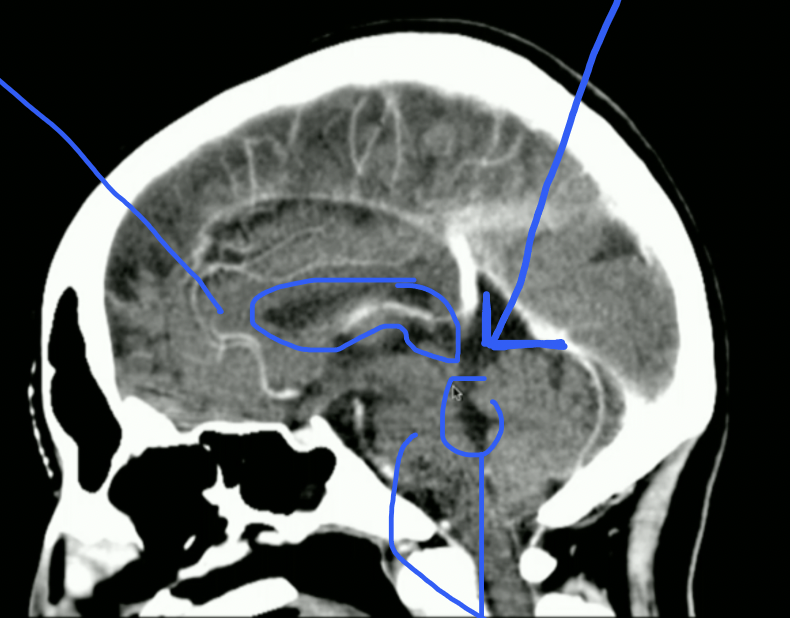
<p>Name these Cisterns</p>

Name these Cisterns

knowt flashcard image
33
New cards
<p>What is this?</p>

What is this?

Lateral Sulcus

34
New cards
<p>What nerve travels here?&nbsp;</p>

What nerve travels here? 

  • Trigeminal Nerve (at level of Pons)

35
New cards
<p>What nerve travels here?</p>

What nerve travels here?

  • CN 3 (3 and 4 are at level of midbrain)

36
New cards
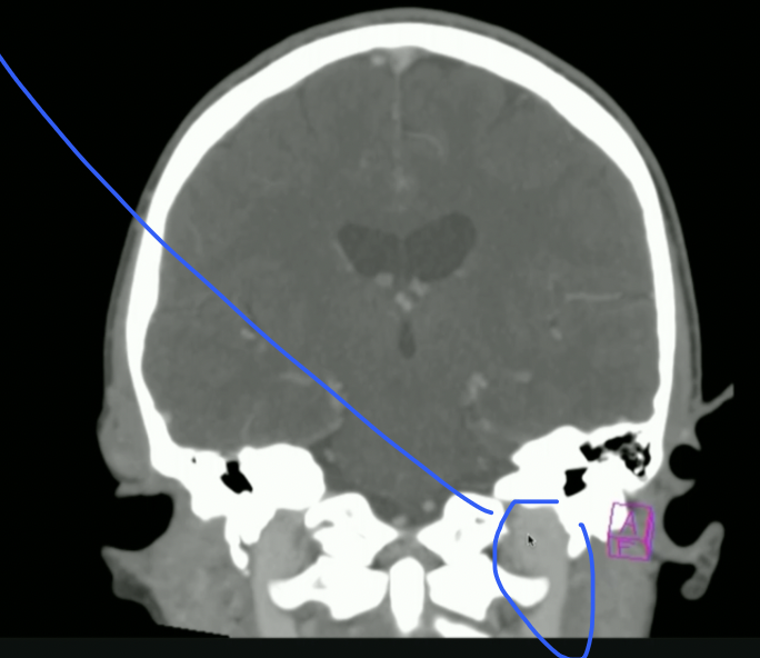
<p>What is the orientation + what are these vessels?</p>

What is the orientation + what are these vessels?

knowt flashcard image
37
New cards
<p>Label these 3 vessels (inferior to superior)</p>

Label these 3 vessels (inferior to superior)

  • Vertebral

  • Basilar

  • PCA

38
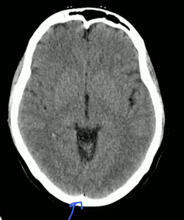
New cards
<p>Orientation?</p>

Orientation?

knowt flashcard image
39
New cards
<p>What vessels are Lateral and Medial</p>

What vessels are Lateral and Medial

Lateral: Internal Carotid

Medial: Vertebral

40
New cards
<p>What veins are these</p>

What veins are these

knowt flashcard image
41
New cards
<p>What vein is highlighted?</p>

What vein is highlighted?

Internal jugular vein

42
New cards

Which Lobe is Taste processed?

Frontal Lobe - Gustatory Cortex

43
New cards

Which Lobe is Sound processed?

Temporal Lobe - Auditory Cortex

44
New cards

Which Lobe is Taste processed?

Occipital Lobe - Visual Cortex

45
New cards